Schmerztherapie beim Hund - "Muffin und das Gold"

Muffin ist erst eineinhalb Jahre alt. Der quirlige Riesenschnauzer-Mischling läuft seit ein paar Wochen „hinten sehr komisch“. Am Wochenende wollte er nicht aufstehen, hat „verzweifelt“ geguckt und sich dann hoch gequält. Das Schmerzmittel, welches die Haustierärztin verschrieb, hat nicht geholfen. Muffin setzt das linke Hinterbein fast gar nicht auf, legt sich sehr schnell hin und kann nicht in das Auto springen. Die zur Hilfe gerufene Physiotherapeutin rät seinem Frauchen zu einer Untersuchung in der Tierarztpraxis am Gotenring in Köln-Deutz.

Nach einem ausführlichen Vorbericht geht es zur Gangbildanalyse auf die Straße. Hier zeigt Muffin das typische Bild einer Hüftgelenksproblematik. Er wackelt mit seinem Hinterteil hin und her, die Körpermitte „twistet“ ebenfalls. Er geht im Passgang und humpelt hinten links deutlich. Außerdem läuft er nicht gerade, sondern immer schief. Sitzen kann er nur seitlich im Damensitz, und wenn er sich legt, fällt das hintere Ende immer zu einer  Seite weg. Zum Aufstehen drückt er sich erst vorne hoch und schiebt das hintere Ende danach hoch.

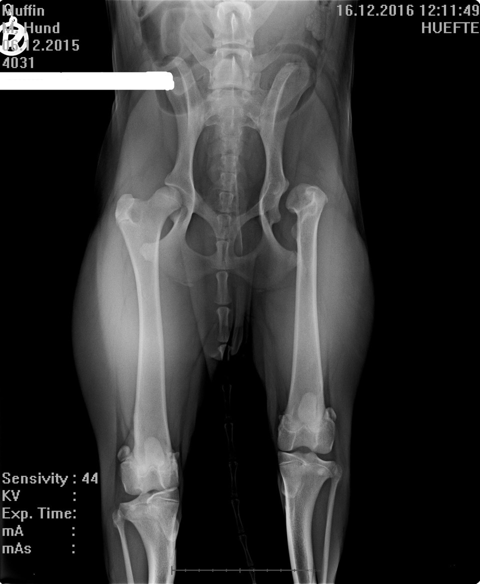
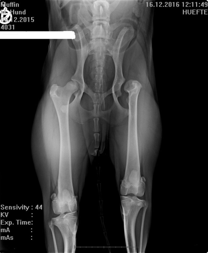
Die Schmerzpunktuntersuchung zeigt, dass er nicht nur an beiden Hüftgelenken, sondern durch seine Gangart auch schon im Rücken, an beiden Kniegelenken und aufgrund der Verlagerung seines Gewichtes nach vorne sogar in der Vorderhand Schmerzen hat. Muffins Frauchen ist verzweifelt und muss aus Mitleid mit ihrem Liebling weinen - er ist doch noch so jung. Alle schmerzhaften Bereiche müssen geröntgt werden, um zu sehen, was los ist und was die Schmerzen verursacht. Muffin ist ganz lieb und hält brav still, als er nach dem Abhorchen seines Herzens einen Venenkatheter in die Vene geschoben bekommt. Es pickst kurz, und innerhalb von ein paar Minuten sinkt er in die Arme von Frauchen. Er schläft ruhig und sanft ein, damit er schmerzlos und ordentlich gelagert geröntgt werden kann. Die Diagnosen sind niederschmetternd für sein Frauchen.

Links hat Muffin so gut wie gar kein Hüftgelenk, rechts eine mittelgradige Hüftgelenksdysplasie. In der Lendenwirbelsäule „fehlt“ ein Wirbelkörper. Statt sieben wie bei Hunden allgemein üblich, hat er nur sechs von der Natur zugeteilt bekommen. Zum Glück zeigen die Knie- und Ellenbogengelenke röntgenologisch bisher keine Anomalien oder arthrotische Veränderungen. Sie schmerzen, da die Muskulatur in diesen Bereichen durch die Fehlbelastung dauerhaft verspannt und verhärtet ist.Ich berate Muffins Frauchen und erkläre ihr,  dass bei all diesen Problemen die Goldakupunktur helfen kann. Auch die muskulär bedingten Probleme in der Vorderhand können in einem Schritt mit behandelt werden.

Bei dieser minimal-invasiven Therapiemethode werden sehr kleine Golddrahtstücke unter die Haut und in die Muskulatur „injiziert“. Die Edelmetallstücke verbleiben dann lebenslang im Tier und stimulieren dort dauerhaft die Akupunkturpunkte. Durch die Stimulation dieser Punkte werden die vorhandenen Schmerzen reduziert oder (im besten Falle) komplett genommen. Die Mechanismen, über die dieser Effekt erreicht wird, sind bisher nicht komplett geklärt. Die Ausschüttung von körpereigenen Schmerzkontrollsubstanzen, wie beispielsweise Endorphinen, gehört gesichert dazu.

Muffin muss nun „Fell lassen“.  An allen Stellen, an denen Akupunkturpunkte behandelt werden sollen, wird er von meinen Mitarbeiterinnen geschoren. Die kahlen Stellen werden sorgfältig gesäubert und desinfiziert - so wie bei einer Operation. Sogar die Kastrationsnarbe von Muffin muss behandelt werden. Dort hatte sich nach der Operation eine „Narbenstörung“ gebildet. Durch diese kommt es zu Verkrampfungen in der Bauchmuskulatur. Nach der Vorbereitung des Patienten, der immer noch selig schlummert, nimmt die Tierarzthelferin die Implantationsbestecke und das Gold zur Hand. Für jeden Akupunkturpunkt muss sie nun ein kleines Stückchen Gold in die Spitze der speziell angefertigte Spritze, einlegen. Mit diesem vorbereiteten Instrument steche ich in die Muskulatur ein und lege jedes einzelne Goldstückchen sorgfältig an den ausgewählten Akupunkturpunkt in das Gewebe. In ein Gelenk darf ich auf keinen Fall spritzen, denn dann wäre das Gold im Gelenkspalt und würde dort starke Schmerzen verursachen - ähnlich wie ein Stein im Schuh.

Die Auswahl der geeigneten Akupunkturpunkte ist Erfahrungssache. Dafür habe ich jahrelang gelernt und tue dies auch heute immer noch. Bei nicht so schweren Fällen sind es häufig nur ein paar Goldstückchen, die gebracht werden. Bei schwierigen Patienten sind es entsprechend mehr. Muffin bekommt knapp 40 der wirkungsvollen Edelmettalstückchen. Sein Frauchen darf bei der Behandlung dabei bleiben und jeden Handgriff mit eigenen Augen verfolgen. Sie ist fasziniert. Als alles vorbei ist und der junge Rüde durch ein Gegenmittel wieder wach wird, versucht er schon nach ein paar Minuten seine ersten  Steh- und Gehversuche auf den nun vergoldeten Beinen. Das fühlt sich etwas wackelig an, da die Muskulatur durch die Akupunkturwirkung nach dem Eingriff locker und schmerzfrei ist. Abends gibt es für den tapferen Muffin ein besonders leckeres Abendbrot.

Vierzehn Tage muss er nun an der kurzen Leine im Schritt gehen. Damit wird verhindert, dass er durch die neuen Bewegungsmöglichkeiten einen Muskelkater im ganzen Körper bekommt. Muffin findet das sehr überflüssig, und Frauchen hat alle Mühe, ihn in diesen 14 Tagen zu bremsen. Zum Glück kommt zweimal pro Woche die Physiotherapeutin und massiert ihn. Die Physiotherapeutin, die Muffin ja schon vor der Behandlung kannte,  ist begeistert. Die Muskulatur ist weich. Schon nach ein paar Tagen bemerkt sie erste Ansätze von sich aufbauender Muskulatur, wo vorher kaum noch welche zu fühlen war.

Endlich sind zwei Wochen rum, und es steht wieder ein Ausflug nach Köln an, wo erstmals der Behandlungserfolg überprüft wird. Muffins Frauchen berichtet, dass er wieder die Treppen hoch läuft, er sich viel gerader setzen und legen kann. Aufstehen fällt ihm ebenfalls viel leichter als vorher. Das Hinterteil wackelt zwar noch immer hin und her, aber lange nicht mehr so stark wie vor der Goldakupunktur. Überhaupt ist das gesamte Gangbild viel stabiler.  Zur Untermauerung des Erfolges hebt Muffin zum ersten Mal das kranke Hinterbein in bester Kung-Fu-Manier und hinterlässt sein Autogramm in Köln-Deutz. Die Schmerzuntersuchung zeigt, dass er von den Schmerzen vor zwei Wochen so gut wie gar nichts mehr spürt (Foto des Protokolls).

Solche Erfolge sind häufig schnell zu verzeichnen. Andere Patienten benötigen etwas länger. Besonders die ganz alten Patienten mit sehr vielen „Baustellen“, brauchen auch mal drei bis vier (in Extremfällen auch fünf bis sechs) Monate, um in der neuen, schmerzfreien oder schmerzreduzierten Situation anzukommen. Wer sein Leben lang Schmerzen ausweichen musste und vielleicht sogar mit vielen Operationsfolgen oder angeborenen Problemen durch sein Leben gegangen ist, der kann diese Spirale manchmal nicht ganz zurückdrehen. Ein Restschmerz kann dann bleiben, oder im Falle von Arthrosen immer mal wieder die Gabe eines Schmerzmittels notwendig machen. Zum Beispiel bei Wetterwechseln oder nach ungewohnter Belastung können solche Medikamente dann hilfreich sein.  Auch gibt es Patienten, die in Ergänzung zur Goldakupunktur zur besseren Beweglichkeit, Gelenksinjektionen mit Hyaluronsäure oder regenerative Behandlungen wie eine PRP-Therapie (Platlet rich plasma) benötigen. Die Zusammenarbeit mit den Tierphysiotherapeuten nimmt außerdem einen hohen Stellenwert ein. Diese betreuen die vergoldeten Patienten je nach Bedarf mehr oder weniger intensiv. Manche sehen die Vierbeiner nach der Goldakupunktur gar nicht mehr.

Acht Wochen nach der Goldakupunktur zeigt die Nachuntersuchung, dass Muffin schmerzfrei ist und mit seinen orthopädischen Problemen auch auf Dauer sehr gut leben und sich bewegen kann. Er tobt, und spielt ausgelassen und dauerhaft mit seinen Freunden, überholt diese häufig im Wettrennen. Er balanciert auf Baumstämmen und springt über fast jeden Zaun. Sein Frauchen muss wieder ein bisschen weinen. Diesmal aber aus Freude über die Schmerzfreiheit ihres Lieblings.

Die Goldakupunktur ist eine nicht nur minimal-invasive, sehr schonende Schmerztherapie. Sie kann auch mit allen schulmedizinischen Diagnostik- und Behandlungsmethoden kombiniert werden. Diese Möglichkeit der (falls nötigen) Kombination und die vorherige individuelle und exakte Diagnostik helfen Patienten mit Hüft- und anderen Gelenkproblemen, Arthrosen und Spondylosen, mit Operations- oder Unfallfolgen, mit angeborenen Anomalien bis hin zu Patienten mit Lähmungserscheinungen durch Bandscheibenvorfälle.