Goldakupunktur bei DSH-Rottweiler-Mix "Rex" und Golden Retriever "Emma"

Bei der Goldakupunktur handelt es sich um eine Schmerztherapie bei chronischen Gelenkerkrankungen, wie die Hüftgelenksdysplasie (HD), Ellenbogendysplasie, Kniegelenksarthrosen, Wirbelsäulenveränderungen, etc. Die bereits bestehenden pathologischen Veränderungen an den Gelenken können mit dieser Methode nicht rückgängig gemacht werden, jedoch verbessert sich die Schmerzsituation deutlich. 

Die Beweglichkeit kann gemäß des Alters deutlich verbessert werden.

Wir schaffen es leider nicht, aus einem alten Hund einen jungen Tober zu kreieren. Die Beweglichkeit kann jedoch altersgemäß deutlich verbessert werden. In meiner Praxis arbeite ich seit 2001 sehr erfolgreich mit der Goldakupunktur. Der Erfolg dieser Methode liegt zunächst in der umfassenden Diagnostik. Diese zielt auf eine Erfassung aller relevanten Schmerzsituationen im gesamten Bewegungsapparat. Es ist zwangsläufig so, dass eine chronisch schmerzhafte Bewegung den gesamten Bewegungsablauf verändert. Aus der primären Schmerzsituation, wie z.B. die HD in frühester Jugend, entsteht eine Schonhaltung, die im ungünstigsten Fall die angrenzenden Gelenke unter vermehrte Belastung setzt, wie Kniegelenk, Übergang Kreuzbein- Lendenwirbel und das bei jedem Schritt! So fehlt bei der HD der nötige Schub aus der Hinterhand, und die Gelenke der Vorderextremität werden zwangsweise überbelastet. In diesem Fall entstehen hier sekundäre Gelenkveränderungen durch Überbelastung.

Diagnostik

Die Diagnose erfolgt mit einer Gangbildanalyse und einer Schmerz- und Triggerpunktpalpation. Daneben sind bildgebende Verfahren, wie Röntgen, CT oder MRT notwendig. Anhand der Untersuchungsergebnisse wird festgestellt, ob der Hund für die Methode geeignet ist. Sehr übergewichtige Hunde oder Patienten mit Tumoren können mit der Goldakupunktur nicht erfolgreich behandelt werden. Der Einsatz der Akupunkturpunkte wird nach der klinischen Untersuchung individuell geplant.

Wirkmechanismus

Die entsprechenden Akupunkturpunkte werden so gewählt, dass ein inneres Gleichgewicht im Körper wiederhergestellt wird, welches infolge der chronischen Erkrankung gestört ist. Darüber hinaus wirkt das Gold entzündungshemmend. Es werden Goldionen in das entzündete Gewebe abgegeben, die auf diesem Wege zusätzlich entzündungshemmend wirken.

Durchführung der Goldakupunktur

Es wird bei der Goldakupunktur ausschließlich 24-karätiges Gold verwendet. Ein 1-mm starker Golddraht wird in ca. 2-mm starke Goldstücke zurecht geschnitten. Der minimalinvasive Eingriff wird in einer Kurznarkose durchgeführt. Das Fell muss an den entsprechenden Stellen geschoren werden. Danach erfolgt die Reinigung und Desinfektion der entsprechenden Hautbezirke. Mit einer speziellen Hohlstichnadel werden die Goldimplantate an die Akupunkturpunkte implantiert. Bei verschiedenen Arthrosen implantiere ich noch zusätzlich Gold, um die entzündungshemmende Wirkung des Goldes zu verstärken.

Nachbehandlung

Nach der Goldakupunktur sollen die Hunde ca. 14 Tage an der Leine geführt werden. Eine anschließende Physiotherapie ist ratsam, um die Beweglichkeit der Gelenke zu verbessern und die Muskulatur wieder aufzubauen.

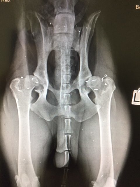
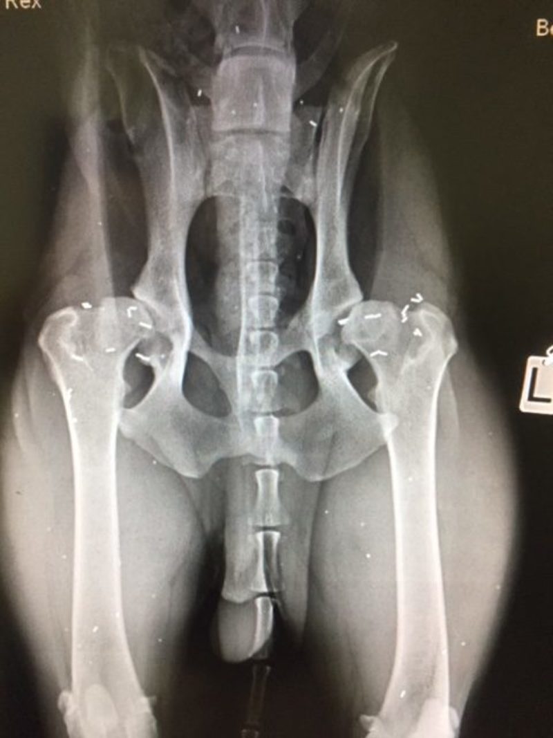
Fallbeispiel 1:  Rex, DSH-Rottweiler-Mix, 15 Monate alt

Rex hatte massive Probleme beim Aufstehen - und seine Hinterhandmuskulatur war wenig ausgeprägt. Er wurde mit neun Monaten in einer großen Klinik geröntgt. Dabei konnte eine schwere Hüftgelenksdysplasie (HD) festgestellt werden. Als Therapie wurde Abwarten vorgeschlagen. Später sollten dann zwei künstliche Hüftgelenke eingesetzt werden. Dem Hund ging es immer schlechter und wurde mir mit 15 Monaten vorgestellt. Die Triggerpunkte waren hochgradig schmerzhaft und in nur wenigen Monaten hatte sich beidseits eine starke Arthrose an den Hüftgelenken entwickelt. Die Goldakupunktur erfolge eine Woche nach der Erstvorstellung. Die Besitzer berichteten, dass Rex bereits zwei Tage nach dem Eingriff deutlich besser lief. Ihnen fiel auf, dass er jetzt in der Lage war, alleine auf die Couch zu springen, was er vorher nicht schaffte. Durch die Schmerzfreiheit konnte er sich viel aktiver bewegen, und die Muskulatur entwickelte sich im Laufe der nächsten Wochen hervorragend. Die Familie fuhr mit ihm an die Nordsee, wo er ohne Probleme mit anderen Hunden am Strand spielen konnte.

Fallbeispiel 2: Emma, Golden Retriever, 4 Jahre alt

Emma litt an einer schweren Hüftgelenksdysplasie (HD). Infolge der anhaltenden Fehlbelastung entwickelte sich eine starke Arthrose am Ellenbogen. Sie erhielt die Goldakupunktur an den Hüften und am Ellbogen. Seitdem läuft sie schmerzfrei und ist eine sehr aktive und verspielte Hündin.