Unterzucker - Tumor der Bauchspeicheldrüse bei Setterhündin Ronja

Das erste Mal war Ronja unmittelbar nach dem Aufwachen auffällig: Die neunjährige Setterhündin stand auf und begann zu schwanken, bis sie schließlich in den Vordergliedmaßen zusammenbrach. Abends kollabierte sie wieder und wurde ihrer Haustierärztin vorgestellt, die eine Blutprobe nahm und diese für ein großes Blutbild ins Labor einschickte. Im Laborbericht war ein niedriger Blutzuckerspiegel auffällig, daraufhin wurde uns Ronja sofort zur Abklärung überwiesen.

Unterzucker – gefährlich!
Die Liste der möglichen Ursachen für einen Unterzucker ist lang, und da dies rasch lebensbedrohlich werden kann, ist eine sehr zügige Diagnosestellung nötig. Durch die ersten Laboruntersuchungen ließen sich bei Ronja schon eine Vielzahl an Ursachen ausschließen: eine Blutvergiftung, eine Nebennieren-Funktionsstörung, ein Versagen oder eine Gefäßmissbildung der Leber lagen nicht vor. Folglich kam ein insulinproduzierender Tumor der Bauchspeicheldrüse (Insulinom) als Ursache in Frage. Eine Insulinspiegelmessung wurde eingeleitet. Von großer Wichtigkeit ist hierbei, dass dieser während einer Unterzuckerungsphase - also nüchtern - gemessen wird, da es sonst zu falschen Ergebnissen kommen kann. Der Insulinspiegel erwies sich als hoch. Die Diagnose Insulinom traf die Besitzerin hart, denn ihr war sofort klar, dass es sich hierbei um eine schwerwiegende Erkrankung handelte.

Sofort begannen wir mit einer begleitenden medikamentösen Therapie, um schlimmere Auswirkungen des Tumors auf Ronja und ein weiteres Kollabieren oder gar Anfälle zu vermeiden. Zusätzlich zu Kortison, das die körpereigene Blutzuckerproduktion fördert, baten wir Ronjas Besitzerin, sie häufig in kleinen Portionen fett- und eiweißreich zu füttern, bevor wir die ursächliche Therapie einleiteten.

Insulinom – konservative Therapie oder chirurgische Entfernung?
Grundsätzlich bestehen zwei mögliche Optionen der Behandlung eines Hundes mit einem Insulinom. Die Langzeitaussichten und Überlebenszeiten nach einer erfolgreichen chirurgischen Entfernung des Insulinoms sind deutlich besser als unter einer rein medikamentösen Therapie. So können Hunde nach einer erfolgreichen Operation in Kombination mit Medikamenten bis zu dreieinhalb Jahre lang überleben. Voraussetzung für eine Operation ist allerdings die Darstellung eines einzelnen Tumors im Ultraschall oder in der Computertomographie. Sollte das Insulinom gestreut haben, ist eine Operation nicht sinnvoll. Im Besitzergespräch stellte sich recht rasch heraus, dass eine chirurgische Behandlung, wenn möglich und sinnvoll, gewünscht war. Folglich musste mit größtmöglicher Sicherheit ausgeschlossen werden, dass sich bereits Metastasen gebildet hatten.

Röntgen und Ultraschall für erste Ergebnisse/Untersuchungen
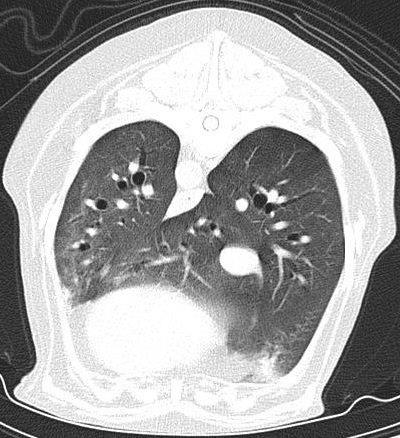
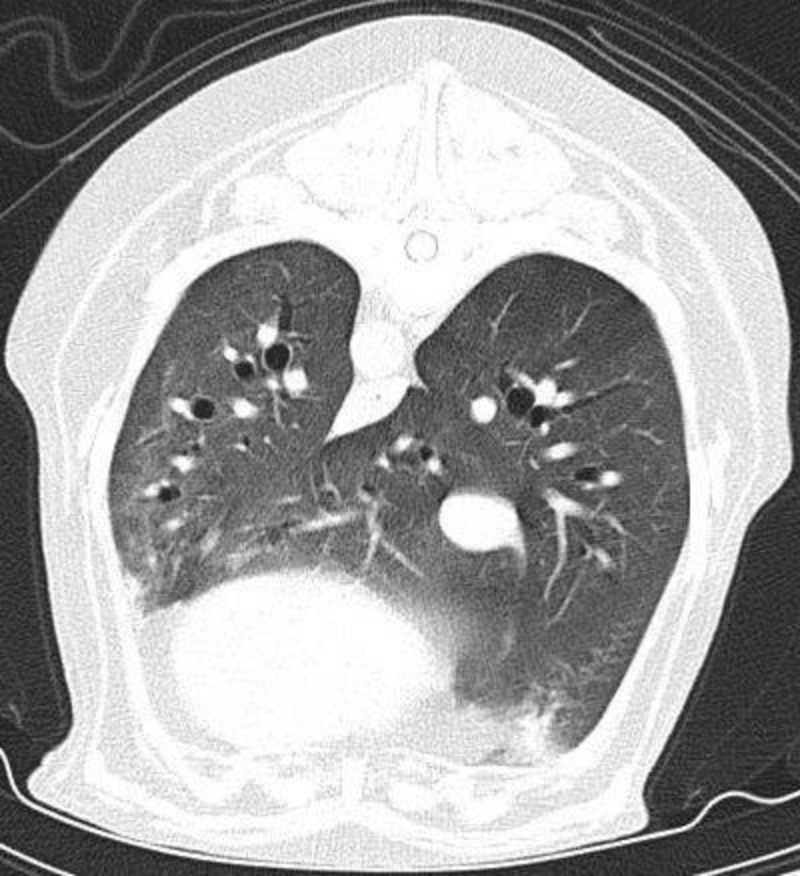
Tückischerweise sind Insulinome in den meisten Fällen sehr klein und sehr schwierig aufzufinden. Wir führten als nächstes eine systematische Suche nach dem Tumor durch. In der Regel sind insulin-ausschüttenden Geschwulste in der Bauchspeicheldrüse zu finden, jedoch können diese in seltenen Fällen auch in einer anderen Körperregion liegen. Zur Tumorsuche wird in der Tiermedizin standardmäßig zunächst ein Ultraschall des Bauchraums und Röntgenbilder des Brustkorbs in drei Ebenen durchgeführt. Ronjas Röntgenbilder der Lunge zeigten zum Glück keine Auffälligkeiten, jedoch konnte im dem Bereich der Bauchspeicheldrüse, der dem Zwölffingerdarm anliegt, eine verdächtige Stelle in der Ultraschalluntersuchung gefunden werden, die jedoch keine eindeutige Aussage zuließ.
 
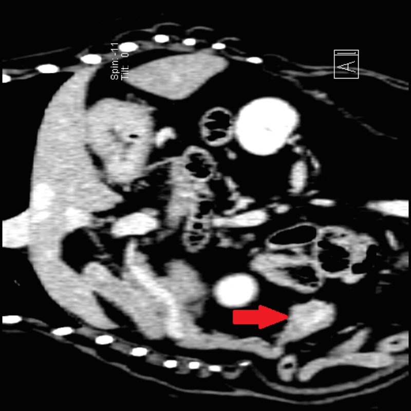
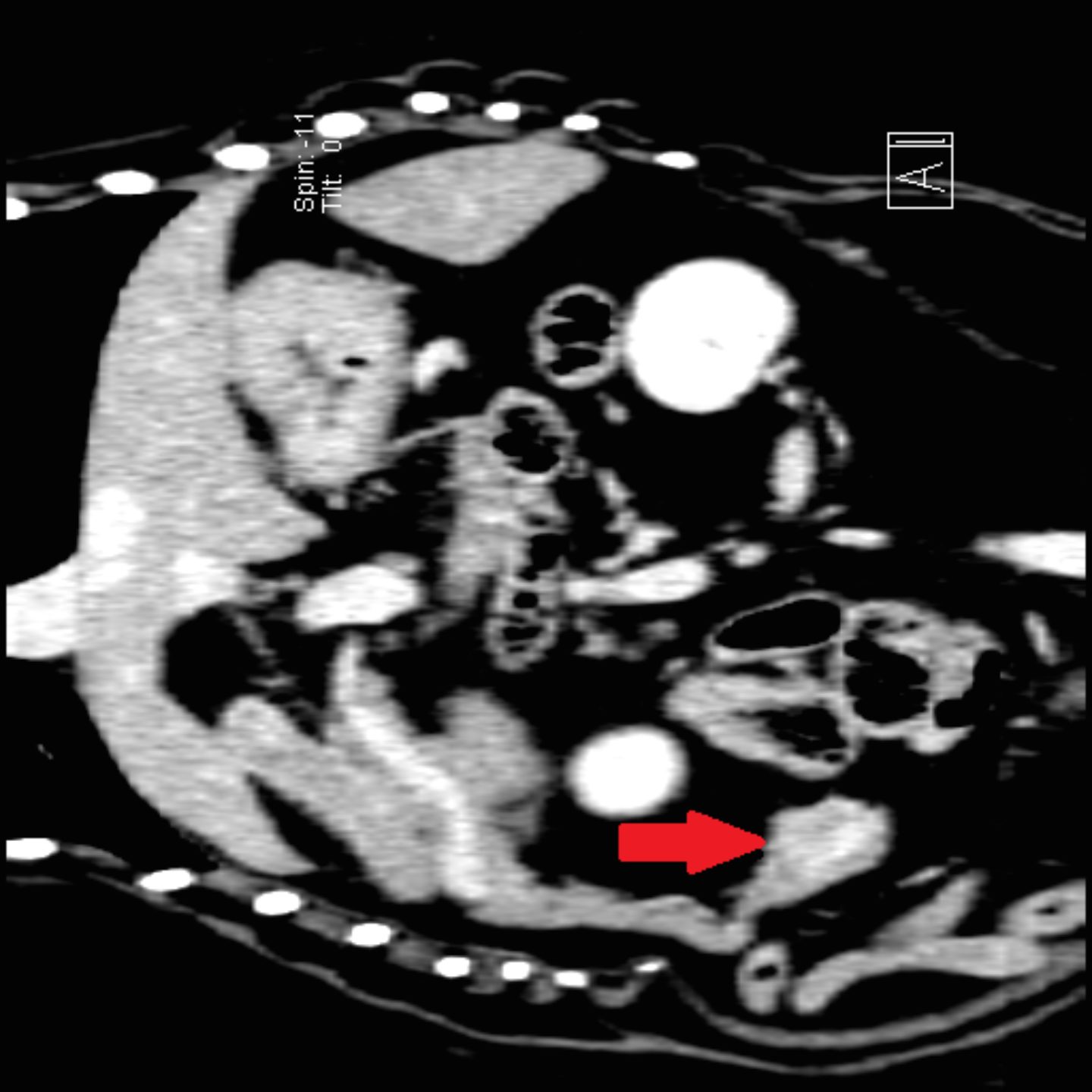
Computertomographie – Suche nach dem Insulinom und nach Streuung
Da Ronja trotz der Kortisontherapie immer wieder Episoden von Schwäche zeigte, galt es nun zügig zu einer Therapieentscheidung zu kommen. Die Computertomographie mit ihrer gegenüber dem Röntgen und Ultraschall deutlich verbesserten Darstellung von Gewebegrenzen ist hier die Methode der Wahl. Ein entscheidender Vorteil ist auch, dass mittels geeigneter Kontrastmittel die Darstellung und Abgrenzung von bösartigen Tumoren möglich ist. Insbesondere lässt sich mit der Computertomographie eine etwaige Streuung der Insulinome mit hoher Zuverlässigkeit abklären.

Tumor im Bereich der Bauchspeicheldrüse. Das Ergebnis der Computertomographie von Ronja zeigte tatsächlich im verdächtigen Bereich der Bauchspeicheldrüse einen Tumor, der nach einer Kontrastmittelgabe deutlich zu erkennen war. Weder in der Brusthöhle noch in der Bauchhöhle waren Metastasen nachzuweisen, was bedeutete, dass das Insulinom noch nicht gestreut hatte. In einem ausführlichen Gespräch wurden die Chancen und die Risiken einer Operation im Detail mit Ronjas Besitzerin besprochen. Bereits zwei Tage später konnte Ronja operiert werden. Bei der Operation wurde Ronja der Teil der Bauchspeicheldrüse entfernt, in dem sich der Tumor befand. Nach der erfolgreichen Operation war ihr Blutzucker innerhalb von kurzer Zeit im Normalbereich. Schon am nächsten Morgen empfing sie ihr Frauchen schwanzwedelnd, als diese zu Besuch kam und zeigte keinerlei Schwäche oder Kollabieren mehr. Bei den folgenden Kontrollen im Laufe des Tages war der Blutzucker weiterhin im Normalbereich, Ronja war beim Gassigehen überaus munter und wir entschieden uns, sie bereits am Abend nach Hause zu entlassen. Bereits in den nächsten Tagen konnte sie ihre alten Gewohnheiten wie zum Beispiel lange Spaziergänge wieder aufnehmen.

10 Monate nach der OP

Mittlerweile ist die Operation zehn Monate her und Ronja ist nach wie vor putzmunter und ihr Frauchen überglücklich, ihr ein längeres und beschwerdefreies Leben ermöglicht zu haben. Die beiden genießen die Zeit, und selbst wenn es irgendwann im Laufe der Zeit zu einem Wiederauftreten des Insulinoms kommen wird, kann dann immer noch eine Behandlung mit Kortison und Proglicem (Diazoxid) begonnen werden, um nochmals wertvolle Lebenszeit zu gewinnen.