Mischlingsrüde Quax - "Würmer im Herz"

Der mittelalte Mischlingsrüde Quax wurde uns eines Montag morgens in der Sprechstunde vorgestellt. Er hatte im Laufe des Wochenendes mindestens zehn Synkopen (kurzzeitige plötzliche Bewusstseinsverluste) erlitten. Dazwischen hatte er sich unauffällig verhalten.
Quax war drei Monate zuvor aus Spanien importiert und von seinen neuen Besitzern adoptiert worden. Eine vorsorgliche Untersuchung auf Reiseerkrankungen war negativ verlaufen. Allerdings hatte er anfänglich leichte Hustenprobleme gezeigt, die auf die Unannehmlichkeiten der Reise zurückgeführt wurden, und es war ein rechtsseitiges leises Herznebengeräusch aufgefallen, das noch weiterführend untersucht werden sollte.
 
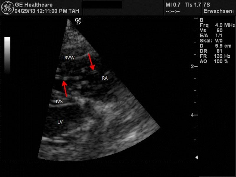
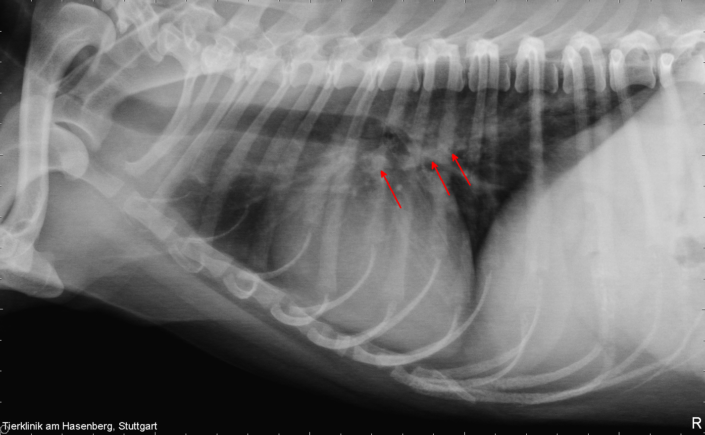
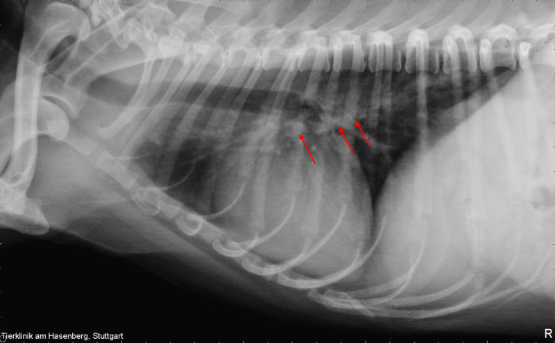
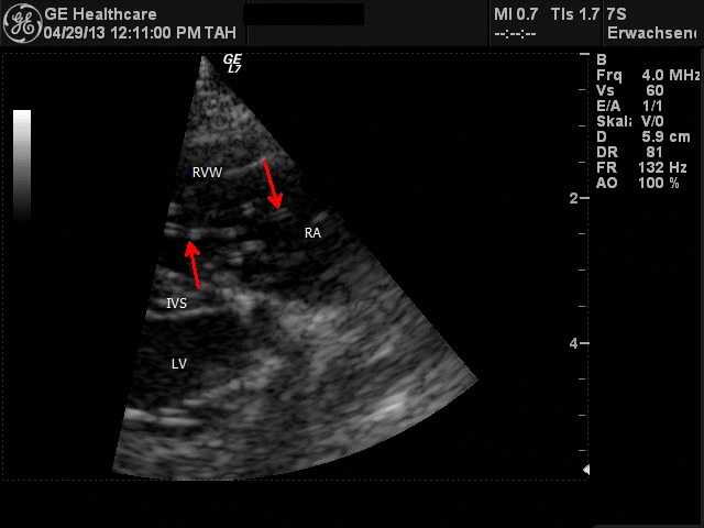
In der Sprechstunde zeigte sich Quax nun in stabilem Zustand. Beim Abhören des Brustraumes fielen ein Herznebengeräusch rechts mit einer Intensität 3/6 (Intensität wird in 6 Grade eingeteilt / Grad 3: moderate Lautstärke) und abnorme Atemnebengeräusch auf. Der Puls war kräftig und der Hund zeigte keine erneute Synkope während der Untersuchung. Wir fertigten Röntgenbilder des Brustraumes an, die eine leichte Herzvergrößerung mit Betonung des Rechtsherzens und wolkig-fleckige Verschattungen der Lunge im Hilusbereich und von da aus in den kaudalen Lungenlappen ziehend zeigten. In der Echokardiographie (Ultraschalluntersuchung des Herzens) ergab sich dann ein ungewöhnlicher Befund: die rechte Herzkammer war deutlich erweitert, und in ihr schwappte ein regelrechtes großes Knäul aus echogenen Doppellinienstrukturen im Blutfluss des Herzens hin und her. Die Pulmonalarterie, die aus der rechten Herzkammer in die Lunge führt, war erweitert, und auch da waren charakteristische Doppellinien zu sehen. Selbst im rechten Vorhof und bis in die davor liegende Vena Cava konnten sonographisch Doppellinien verfolgt werden. Dies war das typische Bild eines sogenannten Cavasyndroms, ausgelöst durch adulte Herzwürmer, die sich im Herzen aufhalten. Ein zusätzlich durchgeführter Herzwurm-Antigen-Test verlief dieses Mal positiv.

Herzwürmer: Dirofilaria immitis

Die sogenannten Herzwürmer, Dirofilaria immitis, sind Parasiten, die in Europa vorwiegend im warmen Mittelmeerraum zu finden sind. Ihre Vorstadien werden über Mückenstiche auf den Hund übertragen. Die Larven (Mikrofilarien) wandern in die Gefäße ein und erreichen so ihren bevorzugten Lebensort in den Lungenarterien ihres Wirtes. Sie reifen dort zu erwachsenen (adulten) bis zu 15 cm langen Würmern (Makrofilarien) heran. Bei starkem Befall können diese adulten Herzwürmer auch ins Rechtsherz und in die davor liegende Vena Cava vordringen. Die Mikrofilarien sind frühzeitig, aber unsicher nachweisbar und müssen differenziert werden, denn nicht alle stammen von Dirofilaria immitis. Die Makrofilarien sind frühestens ein halbes Jahr nach Infektion über einen Antigentest nachweisbar. Aufgrund des zunehmenden Hundetourismus ist die Erkrankung in den letzten Jahren  bei uns im Vormarsch.

Mehrmonatige Therapie

Für Quax begann nun eine mehrmonatige Therapie. Im ersten Schritt wurde er mit einem Herzmedikament zur Unterstützung der Funktion des angegriffenen Herzens, einem Antibiotikum gegen bestimmte Keime, die gerne in den Herzwürmern leben und den Hund zusätzlich gefährden können und einem Kortison zur Eindämmung entzündlich-allergischer Reaktionen versorgt. Auch wenn sich Quax daraufhin bereits deutlich besser fühlte, musste er unbedingt strikt ruhig gehalten werden. Es folgte dann die chirurgische Entfernung der Herzwürmer aus dem Rechtsherz und, soweit erreichbar, aus den großen Lungenarterien. Dieser Schritt war notwendig, da das medikamentöse Abtöten einer so großen Wurmbürde ein zu großes Risiko für das Leben des Hundes darstellen würde. Unter lokaler Betäubung wurde über einen kleinen Hautschnitt die große Halsvene dargestellt, Mit einer langen, flexiblen Fremdkörperzange wurden die Würmer aus dem Herzen entfernt. Quax überstand diesen Eingriff mit Bravour.

Da bei diesem Eingriff aber niemals alle Würmer erreicht werden können, ist die Behandlung damit noch nicht abgeschlossen. In den folgenden zwei Monaten wurde Quax mit einem Medikament zum Abtöten der Mikrofilarien behandelt. So entwickeln sich keine neuen adulten Würmer mehr, und die jungen adulten Würmer können noch ein wenig älter werden, was sie empfänglicher macht  für das Medikament, das sie dann abtötet. Zu Beginn des dritten Monats musste Quax dann eine Woche stationär in unsere Klinik kommen und bekam eine Injektion eines entsprechenden Medikamentes, das die adulten Herzwürmer abtötet. Die stationäre Überwachung ist wegen der Gefahr von Lungenembolien, ausgelöst durch sterbende Herzwürmer, notwendig. Die Hunde sollen insbesondere in dieser Phase absolut ruhig gehalten werden, was stationär meist sehr gut funktioniert. Einen Monat später wiederholte sich dieses Procedere, wobei dieses Mal zwei Injektionen im Abstand von 24 Stunden verabreicht wurden. Quax vertrug die Behandlung sehr gut, zeigte keine Komplikationen und wurde der Liebling unseres Stationsteams.

Mit diesem letzten Schritt war die Behandlung gegen Herzwürmer abgeschlossen, und mit sehr hoher Wahrscheinlichkeit hat man auch alle Parasiten erreicht. Erst vier Wochen später durfte Quax dann wieder wie gewohnt rumtollen. Die beiden folgenden Herzwurm-Antigen-Tests - sechs und zwölf Monate später - verliefen negativ.

Diese ganze Prozedur liegt nunmehr fünf Jahre zurück. Quax steht weiterhin unter einem Herzmedikament, da er am rechten Herzen eine Klappeninsuffizienz zurückbehalten hat, aber es geht ihm bestens. Er zeigt keine Leistungsschwächen, kein Husten und keine Synkopen mehr, kann mit seinen Gefährten unbeeinträchtigt spielen  und besucht uns regelmäßig zu echokardiographischen Kontrollen.