Babesiose – ein Erreger, viele Gesichter

Babesien sind weltweit vorkommende Blutparasiten, die durch Zecken übertragen werden und bei verschiedenen Säugetieren Erkrankungen hervorrufen können. Sie werden ihrer morphologischen Erscheinung nach in große und kleine Babesien eingeteilt. In Europa werden die meisten Infektionen durch die großen Babesien verursacht. Dazu gehören vor allem B. canis, aber auch B. vogeli und seltener die als sehr virulent geltenden B. rossi. Unter den kleinen Babesien besitzen v.a. B. gibsoni, B. conradae und B. vulpes klinische Relevanz. Alle sind obligat zweiwirtig und werden vornehmlich von weiblichen, aber wohl auch männlichen, Schildzecken der Gattung Dermacentor und Rhipicephalus übertragen. Während Ripicephalus noch selten in Deutschland anzutreffen ist, gilt Dermacentor reticulatus v.a. im Osten und Südwesten bereits als endemisch. Dabei sind die Vorkommen meist lokal begrenzt.

Die Übertragung erfolgt vermutlich bereits act Stunden nach Anheften der Zecke. Beschrieben sind außerdem die horizontale Übertragung von kleinen Babesien durch Bissverletzungen, sowie die vertikale Übertragung von B. canis von der Hündin auf die ungeborenen Welpen. Auch Bluttransfusionen spielen eine Rolle, weshalb Spendertiere getestet werden sollten.

Symptome

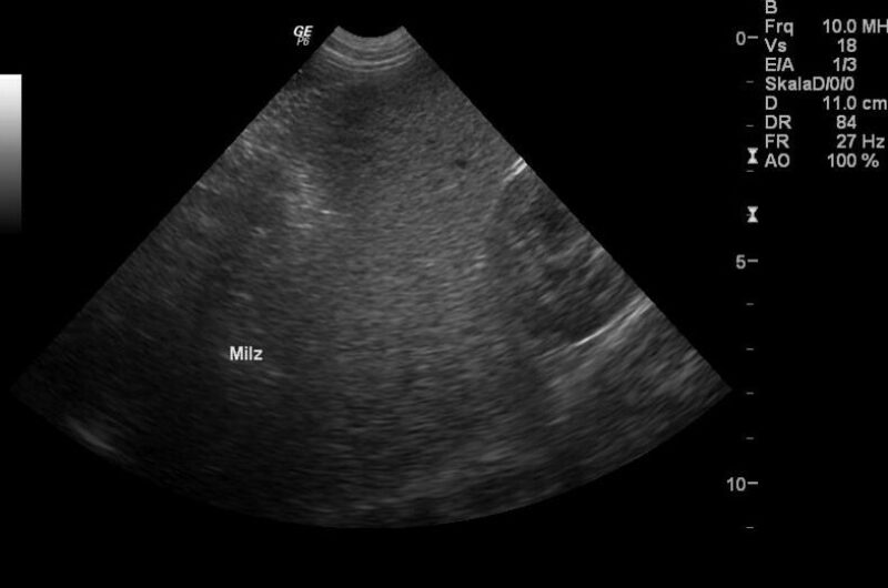
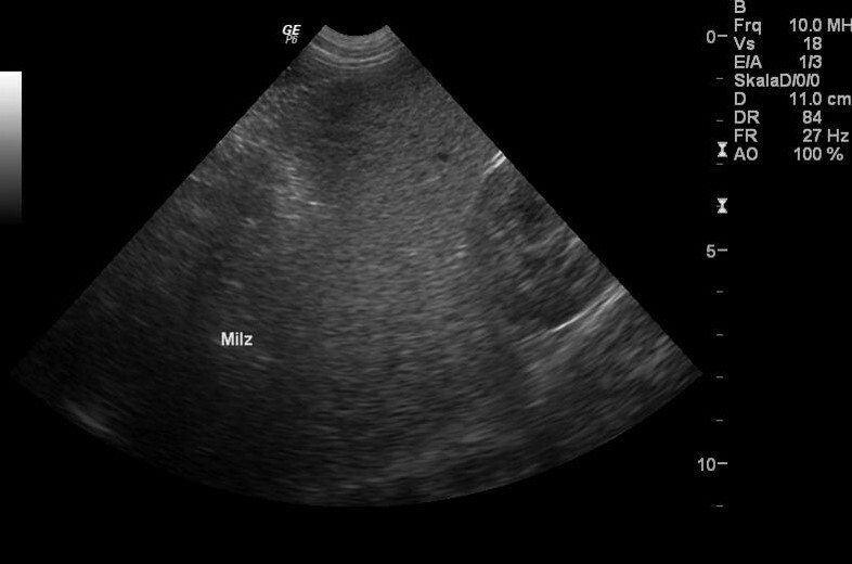
Die Symptome einer akuten Infektion können mild bis hochgradig sein und umfassen Apathie, Fieber, hämolytische Anämie und Thrombopenie. Begleitend können Hämoglobinurie und Ikterus auftreten. Hepatomegalie und Splenomegalie können vorliegen (Abb. 1).

Bei Patienten mit schwerem Verlauf werden nicht selten fulminante Pankreatitiden, Gerinnungsstörungen und DIC beobachtet, SIRS und Schock sind möglich. Durch Hypoperfusion und Hämoglubinurie kann es zu akutem Nierenversagen kommen. Eine gefürchtete Komplikation ist ein akutes respiratorisches Distress Syndrom (ARDS), das häufig tödlich verläuft. Ebenfalls sehr schwerwiegend ist die zerebrale Form, bei der es innerhalb weniger Stunden durch mikrovaskuläre Nekrose, perivaskuläress Ödem und Einblutungen ins ZNS zu Paresen, Paralyse, vestibulären Ausfällen und epileptiformen Anfällen kommt. Auch Herzversagen mit Einblutungen ins Myokard, Ödembildung, Mikrothrombembolien und Rhythmusstörungen ist beschrieben (Abb. 2).

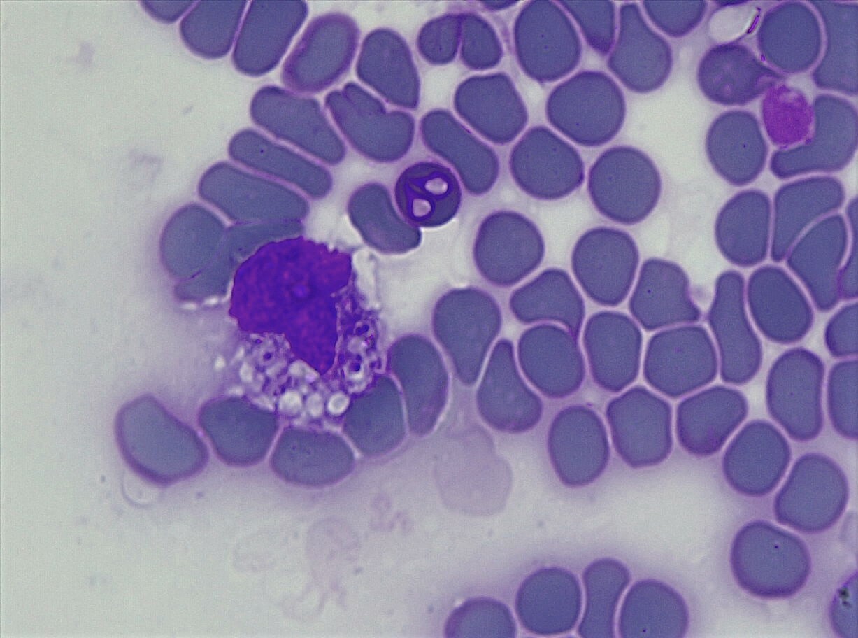
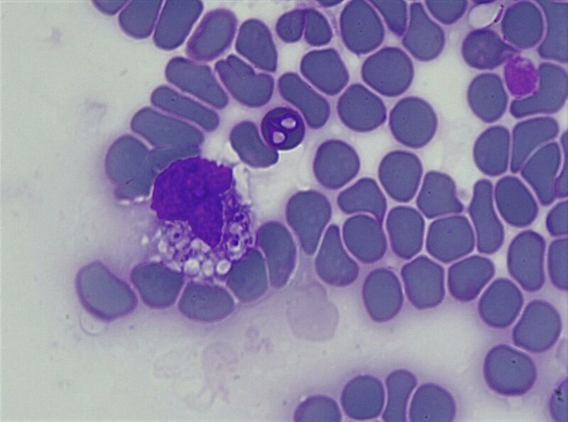
Weiterhin kann es zu sekundär immunmediierter Thrombopenie und sekundär immunmediierter hämolytischer Anämie kommen (Abb. 3).

Meist sind die Konzentrationen von C-reaktivem Protein (CRP) und Laktat erhöht. CRP korreliert mit dem Schweregrad der Infektion und ist ein guter Marker zur Verlaufskontrolle. Es besitzt keine prognostische Aussagekraft. Persistierend erhöhte Laktat-Konzentrationen von > 40 mg/dl waren dagegen in mehreren Studien mit einer schlechten Prognose assoziiert (Abb. 4).

Diagnose

Oft gelingt bereits mikroskopisch der Nachweis befallener Erythrozyten im Blutausstrich. Das gilt vor allem für die großen Babesienarten, die typische Einschlüsse in Erythrozyten bilden. Es empfiehlt sich, zur Untersuchung Kapillarblut (z.B. aus den Ohrkapillaren) zu verwenden, da dort die Konzentration der Parasiten oft höher ist (Abb. 5)

Babesien-DNA kann mittels PCR nachgewiesen werden. Falsch negative Ergebnisse sind jedoch möglich. Da zirkulierende Antikörper erst nach ca. 14 Tagen nachweisbar sind, eignet sich die Serologie nicht zum Nachweis einer akuten Babesiose.

Babesiose ist längst keine reine „Auslandskrankheit“ mehr. Die möglichen Symptome einer akuten Infektion sind vielfältig; der Verlauf kann mild bis schwergradig bzw. letal sein. Therapiert werden sollten nur Hunde mit nachgewiesener akuter Infektion (PCR positiv). Die Zeckenprophylaxe ist und bleibt der wichtigste Teil in der Bekämpfung der Babesiose.

Dr. Laura Fröhlich, Tierärztliche Klinik Oberhaching

Therapie

Das einzige Medikament, das zur Behandlung einer Infektion mit großen Babesien zugelassen ist, ist Imidocarb diproprionat (3-7 mg/kg s.c., meist wird eine Dosierung von 6,6 mg/kg empfohlen). Die Injektion sollte subkutan verabreicht werden, da die i.m.-Injektion häufiger zu Nebenwirkungen führt und schmerzhaft ist. Auf keinen Fall darf es i.v. verabreicht werden. Nach 14 Tagen wird eine zweite Injektion in der gleichen Dosierung empfohlen. Danach sollte der Behandlungserfolg mittels Babesia-PCR kontrolliert werden.

Zu den Nebenwirkungen gehören cholinerge Effekte wie Speicheln, Erbrechen, Diarrhoe und Bradyarrhythmie. Manche Autoren empfehlen daher die Prämedikation mit Atropinsulfat. Desweiteren können Anaphlyaxie auftreten, eine akute Leber- und Nierenschädigung, Lungenödeme und ARDS. Daher sollten kritisch kranke Patienten vor der Gabe von Imidocarb stabilisiert werden, z.B. mit Infusionen oder Transfusionen. Die Gabe von Imidocarb sollte der Therapie der akuten Babesiose mit Nachweis von Babesien im Blutausstrich oder positiver PCR vorbehalten sein. Hunde mit positivem Antikörpertiter ohne klinische Symptome, die PCR negativ sind, sollten im Allgemeinen nicht behandelt werden.

Therapie bei kleinen Babesien

Die Wirksamkeit von Imidocarb diprorionat bei einer Infektionen mit kleinen Babesien gilt als eher mäßig. Generell sind kleine Babesien schwieriger zu therapieren als große, empfohlen wird eine Kombinationstherapie über 10 Tage mit Azithromycin (1x täglich 10 mg/kg p.o.) und Atovaquone (3x tägl. 13,5 -14,5 mg/kg, p.o.) oder Buparavaquone (5 mg/kg i.m., 2x im Abstand von 48 Stunden). Diese Therapie ist die einzige, mit der die Parasitenlast nachweislich unter die Nachweisgrenze mittels PCR gesenkt werden konnte. Experimentell wurden auch verschiedene Antibiotika eingesetzt, darunter Doxyzyklin, wodurch sich zumindest die klinischen Symptome besser kontrollieren lassen. Eine Erregerfreiheit kann damit nicht erzielt werden. Für B. gibsoni sind auch die Kombination von Clindamycin mit Metronidazol und Doxyzyklin oder Enrofloxacin beschrieben. Da bisher wenig wissenschaftliche Beweise für die Effektivität von Antibiose für diese Indikation bestehen, sollte ihr Einsatz restriktiv erfolgen.

Prophylaxe

Die beste Prophylaxe bestand bisher darin, den Hund nicht in gefährdete Gebiete mitzunehmen. Allerdings sehen wir uns heute in der Situation, dass die Vektoren, und damit auch die Babesien, sich über die vormaligen Endemiegebiete ausbreiten. Um einer Infektion vorzubeugen, bleibt daher nur, den Hund konsequent und überall gegen Zecken zu schützen. Zur Wahl stehen repellierende und nicht-repellierende Präparate zur topischen oder systemischen Anwendung. Repellentien enthalten meist Permethrin oder Flumethrin; leider wird zunehmend von Resistenzen gegenüber Permethrin berichtet. Die oral zu verabreichenden Isoxazoline besitzen eine sehr gute akarizide, aber keine repellierende Wirkung. Für Sarolaner beispielsweise wird nach 8 Stunden eine Effizienz von 94% für Rhipicephalus angegeben. Mittlerweile ist aber bekannt, dass bereits früher eine Übertragung erfolgen kann. Es empfiehlt sich daher, den Hund dennoch mehrmals täglich auf Zecken abzusuchen oder zusätzlich ein Repellens zu verwenden.

Eine andere Möglichkeit ist die prophylaktische Verabreichung von Imidocarb diproprionat (6 mg/kg s.c.). Die Schutzwirkung hält 3-6 Wochen. Aufgrund der Nebenwirkungen von Imidocarb sollte diese Maßnahme Ausnahmefällen vorbehalten sein. Eine zusätzliche Zeckenprophylaxe wird empfohlen.

Literatur:

Solano-Gallego et al. A review of canine babesiosis: The European perspective. Parasite Vectors, 2016

Köster et al. Canine babesiosis: a perspective on clinical complications, biomarkers, and treatment. Vet Med Auck., 2015

Sudhakara et al. Clinical and laboratory findings of Babesia infection in dogs. J. Parasit. Dis., 2016.

Varloud et. al. Early Babesia canis transmission in dogs within 24 h and 8 h of infestation with infected pre-activated male Dermacentor reticulatus ticks. Parasite Vectors, 2018.

Stegeman et al. Transfusion-associated Babesia gibsoni infection in a dog. Journal of the American Veterinary Medical Association, 2003

Kirk et al. Efficacy of Azithromycin and Compounded Atovaquone for Treatment of Babesia gibsoni in Dogs. Journal of Veterinary Internal Medicine, 2017