Speckle Tracking: ein echokardiographisches Tool zur Analyse des Herzmuskels

Einleitung

Die anatomische und funktionelle Beurteilung des Herzmuskels ist in der Veterinärkardiologie von großem Interesse. Für seine Erkrankung gibt es unterschiedliche Noxen: genetische Dispositionen, alimentäre Defizite (z.B. Taurinmangel, Vorsicht bei getreidefreier Ernährung!), infektiöse Ursachen (Viren, Bakterien, Pilze) sowie traumatisch bedingte Veränderungen. Primäre Klappenerkrankungen haben längerfristig ebenfalls einen negativen Effekt auf das Myokard. Bei letzterer unterscheiden sich wieder angeborene Vitien von erworbenen.

Überwiegend große Hunderassen neigen, oft bereits in jungen Jahren, zu einer Verminderung der Myokarddurchmesser und Vergrößerung der Herzhöhlen. Die Dilatative Kardiomyopathie (DKM, DCM engl., Abb. 1) hat einen klinisch längerfristigen - für Besitzer nicht bemerkbaren - Verlauf bis der Hund plötzlich deutliche Leistungsschwäche zeigt und Stauungsbeschwerden, in dramatischen Verläufen kann es auch zu einem spontanen Herztod kommen. Aufgrund der Zunahme der Kavitätengröße werden die AV-Klappen in ihrem Anulus fibrosus dissoziiert und damit wird eine Vitium freigegeben, dass eine Regurgitation des Blutes in die Atrien erlaubt. Die atriale Dilatation triggert Vorhofarrhythmien und Stauungen des kleinen und großen Kreislaufs werden begünstigen. Die Kardiomyozyten können feingeweblich rassetypisch unterschiedliche Muster in mikroskopischen Untersuchungen aufweisen: es werden einerseits Fettgewebszelleinlagerung zwischen den Kardiomyozyten beobachtet, anderseits auch Fehlanordnungen der Filamente. In beiden Fällen ist das Ergebnis eine Verminderung der muskulären Kontraktilität und Pumpleistung des Herzens.

In der kardiologischen Diagnostik sind wir interessiert, diese Fälle so früh wie möglich zu ermitteln, um rechtzeitig ab gewissen Schweregraden therapeutisch sinnvoll gegensteuern zu können. Viele dieser Patienten gelten bei Hundebesitzern noch als asymptomatisch. Neben dem Vorbericht nutzen wir die klinische Untersuchung, das EKG, die bildgebende Diagnostik (radiologischen Thorax Untersuchung sowie eine standardisierte Echokardiographie mit ein- und zweidimensionalem Echo, sowie der Doppleruntersuchung). Spezialisten wenden auch 3D- und 4 D-Techniken an, die insbesondere bei Jetquantifizierung Vorteile haben. Zusätzlich werden Laboruntersuchungen genutzt, die kardiale Biomarker wie NTproBNP und sensitives Troponin I enthalten können.

Die Herzmsukelanalyse ist aber nicht nur diagnostisch von Interesse, sondern hat auch direkte therapeutisch Konsequenzen. Einige häufig eingesetzte Kardiotherapeutika haben einen deutlichen Einfluss auf die Inotropie des Herzmuskels, z.B. Pimobendan, aber auch Herzglykoside. Andere wiederum können negativ inotrop wirken, wie Calziumantagonisten und viele ß-Blocker. Diese Arzneieigenschaften müssen beim Therapieentscheid und Therapieziel abgewogen werden!

Eine jüngere echokardiographische Methode zur Untersuchung des Herzmuskels, die aber keine der etablierten Methoden ersetzt, sondern in Ergänzung gesehen werden muss, ist das Speckle Tracking. In der Humanmedizin steht die Indikation für die Speckle Tracking Untersuchung bei Patienten mit Klappenerkrankungen, ischämischer Herzkrankheit, Kardiomyopathien, subklinischer linksventrikulärer Dysfunktion sekundär zu Chemotherapie und generell zu Bestimmung der ventrikulären (oder auch atrialen) Funktion.

Das Myokardium kann anatomisch und funktionell beim Hund durch eine Vielzahl von Noxen geschädigt werden und zu klinischer Dekompensation im Alltag oder unter Narkosebedingungen führen. Es gibt umfassende Möglichkeiten zur Evaluation des myokardialen Status. Speckle Tracking ist eine relativ neue echokardiographische Methode, die als sinnvolles Tool ergänzend in Diagnostik und Therapieentscheid herangezogen werden kann. Die Durchführung ist an besondere Hardware und Softwarebedingungen der Echomaschine geknüpft."

Dr. Ralf Tobias, Hannover

Die Methode Speckle Tracking

Das Speckle Tracking ist eine nicht invasive Methode, wie die anderen echokardiographischen Disziplinen auch. Es misst die myokardiale Deformation unabhängig vom Anschallwinkel und wurde in der Humanmedizin validiert durch MRT und Farb-Gewebe-Doppler. Eine Standardisierung wurde durch europäische und amerikanische Echokardiographiegesellschaften (EACVI/ASE) sowie technischer Repräsentanten aller Herstellerfirmen durchgeführt.

Voraussetzung ist ein Echogerät mit Schallköpfen die mit hoher Bildrate arbeiten (> 100fps) insbesondere wenn die Patienten hohe Herzfrequenzen haben. Artefakte und schlechte Auflösung können einen negativen Einfluss auf die Untersuchungsergebnisse haben. Das Gerät muss mit einer besonderen Software ausgestattet sein. Damit sind wir bereits bei den Limitierungen der Methode: die einzelnen Hersteller haben nicht zwingend die gleiche Methode implementiert, so dass es zu einer firmenabhängigen Auswerte- und Darstellungsstrategie kommen kann. Die ermittelten Werte können nicht auf einer Maschine eines anderen Herstellers reproduziert und verglichen werden, sondern sind systemimmanent.

Der Autor arbeitet mit dem Phillips-System, welches eine semi-automatische Cardiac-Motion-Quantifizierung (aCMQ) vornimmt. Der Anwender wählt in der Region Of Interest drei Punkte an: im Bereich des Mitralklappenanulus jeweils einen und den dritten in der Herzspitze. Das System erkennt die kardialen Grenzlinien und nimmt Abstand zum Epikard. Speckles repräsentieren Gewebemarker, die in den Grauskalen des Herzechos im zweidimensionalen Bild verteilt sind und durch den Herzzyklus Bild für Bild verfolgt werden (Tracking). Das Speckle Tracking ist in der Lage verschiedene Eben zu erfassen: longitudinale, radiale und circumferentiale.

In einer apikalen echokardiographischen Herzansicht ist der Fluss-Vektor direkt von der Basislinie zur Herzspitze ziehend und verläuft tangential zur Endokard Linie. Die Messungen erfolgen winkelunabhängig, was einen großen Vorteil und Unterschied zum Gewebedoppler darstellt. Die aus dem Speckle Tracking ermittelte dimensionslose Größe nennt man Strain. Sie wird in Prozent angegeben. Die natürliche Strain bezieht sich auf die sich verändernde Referenzlänge eines Objektes sobald es sich verformt. Strain beschreibt die Deformation des Objektes in Bezug auf seine originale Form und Größe. Die Strainrate beschreibt wie schnell sich dieser Verformungsvorgang abspielt. Die Langrangian Strain misst alle Deformationen gegen eine definierte Referenzlänge. Der Muskel ist mit seiner Dehnung und Verkürzung zu seiner Ausgangsposition ein ideales Objekt.

In praxi wird das Myokardium (LV/RV oder Atrien) in 7 Segmente unterteilt, die z.B. für den linken Ventrikel eine Hufeisenform annehmen, die Grenzen dieser enddiastolischen Region Of Interest (ROI) können manuell korrigiert werden über die Software des Geräts. Erfasst wird die endokardiale -, epikardiale Grenze und die myokardiale Mittellinie. Die Akquise der Werte erfolgt automatisch, semiautomatisch oder manuell. Die Einbeziehung des Perikardiums kann zu einer Reduzierung der Strainwerte führen! Die ROI Segmente bekommen Farben und Kürzel zugeordnet (Tabelle 1, Abb.2), die für Myokardsegmente stehen und so können nicht nur globale sondern auch regionale Dysfunktionen erkannt werden.

Der Gerätemonitor gibt die Strainmessergebnis in Form einer Kurve an , deren wellenförmige Line den Farbsegmenten entspricht und die zeitliche Veränderung der Strain beurteilbar macht. Jede ROI hat auch hier ihre definierte Farbe und der Durchschnittswert wird in einer globalen Strain Kurve als weiße Punktlinie angezeigt. Der Anteil der einzelnen Segmente an der GS ist abhängig von ihrer Größe. Das Maximum der globalen Strain GS wird als globale longitudinale Strain definiert (GLS).

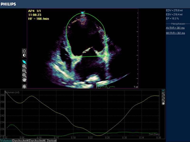
Das Ergebnis der GLS wird in negativ -%- Zahlen angegeben. In besonders schwer erkrankten Fällen kann die Zahl positiv werden! Je höher die negative Zahl angegeben wird desto stärker ist die Verformung bzw. Kinesie des Muskels. Darüber hinaus wird nach der Simpson Methode eine Ejektionsfraktion ermittelt , die in EF % angegeben wird (Abb. 3).

Der Kardiologe erhält demnach Aussagen über die regionale Verformungsleistung des Myokards und seine Auswurfleistung. Damit liegen wichtige Werte zur Beurteilung der Inotropie des Herzmuskels vor, die für Diagnostik und Therapie wesentlich sind. In einer praxisinternen Auswertung von 40 asymptomatischen und befundfreien Patienten lag die GLS, ermittelt mit aCMQ Software, zwischen -15 und -25%. Ejektionsfraktionen nach Simpson zwischen 40 und 55%.

Strain GLS % und Ejektionsfraktion EF % im Rahmen der Routinediagnostik

Jede Herzkrankheit hat stadienabhängig Einfluss auf die myokardiale Verformung und Leistung und vice versa. Beeindruckend sind Strainabweichungen z.B. bei Patienten mit Aortenklappeninsuffizienz mit oder ohne Dekompensation: es weichen diejenigen ROI Segmente des Speckle Trackings ab vom Durchschnitt, die durch den Jetverlauf berührt werden, dazu zählen i.d.R. das aortennahe septale Basalsegment und das kontralaterale Hinterwandsegment. Die Schwere der Strainabweichung lässt sich mit der Schwere der Aorteninsuffizienz korrelieren (Abb.4 ).

Globale Dysfunktion des linken Ventrikels durch Dilatation bei einer DKM oder infolge eines Ductus botalli persisitens oder einer chronischen Aorteninsuffizienz können bei hochgradigen Befunden sehr niedrige oder gar positive Strainzahlen hervorbringen. Die Ejektionsfraktion ist in diesen Fällen i.d.R. vermindert (Abb. 3).

Die Wirkung positiv inotroper Medikamente (z.B. Pimobendan oder ß-Metildigoxin) auf den Herzmuskel kann über Speckle Tracking ebenfalls verfolgt werden. Das wesentlich stärkere positive Inotropikum Pimobendan lässt die EF% der Tiere im Vergleich zum Ausgangswert oft deutlich ansteigen. Hunde mit moderat erniedrigter Ejektionsfraktion von z.B. 32% können 60% EF und mehr in Kontrollen erreichen. Das gleiche gilt für eine Zunahme der Strainzahlen im negativen Bereich . Insbesondere bei Grenzfällen in der Therapieentscheidung können mit diesen Messungen Indikationen für positive Inotropika präzisiert werden.

Literaur beim Verfasser

Tabelle 1: ROI Region Of Interest Segmente Linker Ventrikel:
Apex : Weiß
ApS, apikal septal: grün
MIS, mittleres Septumsegment: hellblau
BIS, basales Septumsegment: gelb
ApL, apikales laterales Hinterwandsegment: rot
MAL, mittleres Hinterwandsegment: dunkelblau
BAL, basales Hinterwandsegment, hellrot