Klimaerwärmung – kommen nun die Herzwürmer Dirofilaria immitis?

Im Folgenden möchte ich einerseits in Anbetracht des Klimawandels die Wahrscheinlichkeit einer autochthonen Dirofilaria (D.) immitis Infektion im deutschsprachigen Raum erörtern, d.h. nördlich der Alpen, Deutschland, Österreich, Schweiz - und andrerseits ein paar wichtige Punkte zur klinischen Präsentation erläutern.

Was sagt die "Wissenschaft" zum Thema?

Bereits im 2009 haben Claudio Genchi et al. im Veterinary Parasitology über «Climate and Dirofilaria infection in Europe» geschrieben und vor einer Zunahme der Dirofilariose im Norden Europas gewarnt. Es gilt als bewiesen, dass Dirofilariose zumindest in südosteuropäischen Ländern zugenommen hat. Für eine Übertragung von Dirofilariose braucht es folgende Faktoren:

1. gewisse Zahl mikrofilariämischer Hunde

2. empfängliche Mücken

3. passendes Klima für die Inkubation in der Vektormücke.

Bei 30° C ist die Entwicklung von Mikrofilarien bis zu infektiösen L3 Larven in 8-9 Tagen abgeschlossen; diese Zeit erhöht sich auf 10–14 Tage bei 26° C, 17 Tage bei 22° C, und 29 Tage bei 18° C. Unterhalb von 14 C° ist die Entwicklung von D. immitis nicht möglich. Schließlich wird eine maximale Lebenserwartung für eine Vektormücke von 30 Tagen angenommen. Es braucht also eine minimale Anzahl Tage mit einem gewissen Delta oberhalb dieser Grenztemperatur, damit Larven Infektivität erreichen. Konkret werden 130 "Deltatemperatur-Tage" postuliert. Basierend auf dieser Zahl 130, bräuchte es bei 17° C (d.h. delta-Temp: 17-14 = 3° C) 43 Tage (d.h. 130d:3), was über der Lebenserwartung der Mücke ist, also nicht geht. Bei 10° C vermindert sich die Zeit auf 26 Tage. Mit Vorhersagemodellen basierend auf diesen Eckdaten ermöglichen die Sommertemperaturen mit Spitzenwerten im Juli auch in hohen Breitengraden die Inkubation mit Dirofilarien, wobei es wohl mehrere sukzessive Jahre mit erfüllten Kriterien für ein endemisches Vorkommen braucht.

Welches ist meine Wahrnehmung im 2020?

Obwohl der Klimawandel auch in der Schweiz in aller Munde ist, scheint aktuell der klassische Herzwurm, D. immits, nördlich der Alpen unverändert eine reine Importerkrankung und wird entsprechend nicht sehr häufig diagnostiziert. Die Annahme ist naheliegend, dass die Alpen unverändert eine wichtige Barriere darstellen. Jedoch wäre zu erwarten, dass in Anbetracht sehr großen Vorkommens in der Poebene zumindest im Tessin D. immitis zunehmend zum Problem würde. Falls dem so wäre, ist diese Information nicht nach Zürich vorgedrungen. Denkbar wäre, dass generell bereits so gute Prophylaxe betrieben wird, dass wir deshalb die Krankheit nicht zu Gesicht bekommen. Die Feststellung bleibt: wir sehen zwar tatsächlich mehr Fälle mit einem positiven Resultat für D. immitis, jedoch sind alles importierte Fälle. Was für Zürich gilt, dürfte ziemlich sicher auch für Deutschland gelten.

Trotz Klimawandels ist die Dirofilariose aktuell nördlich der Alpen eine reine Reisekrankheit. Bei der Diagnose der Dirofilariose sind zwei Punkte wichtig: daran denken & mittels zwei verschiedener zuverlässiger Tests bestätigen."

Prof. Dr. Tony Glaus, Vetsuisse Fakultät Universität Zürich

Neben der geographischen (Nicht-) Verbreitung von D. immitis gibt es gegenüber dem bei uns weit verbreiteten Angiostrongylus (A.) vasorum einige wichtige pathophysiologische Unterschiede: D. immitis ist ein langer Wurm von ca. 20 cm Länge, liegt entsprechend eher in größeren Lungenarterien und löst praktisch nur als Lungenarterienwurm Krankheitssymptome aus. Ektopische Manifestationen sind zwar möglich, aber sehr selten (zum Vergleich: A. vasorum nur 2 cm lang, v.a. in peripheren Lungenarterien, oft ektopisch u.a. Hirn, und systemisch mit Blutungsneigung). D. immitis ist auch pathogen für Katzen, was für A. vasorum nur sehr theoretisch gilt. Krankheitssymptome sind vor allem ausgelöst durch Entzündungsvorgänge an den Gefäßen mit assoziierten respiratorischen Symptomen, Husten und Dyspnoe, weniger oft mit schwerwiegenden thromboembolischen Gefässobstruktionen und assoziierter Leistungsschwäche. Schwere Verlaufsformen mit hochgradiger, akut lebensbedrohlicher Lungenthrombose oder Kavalsyndrom sehen wir nur in Ausnahmefällen.

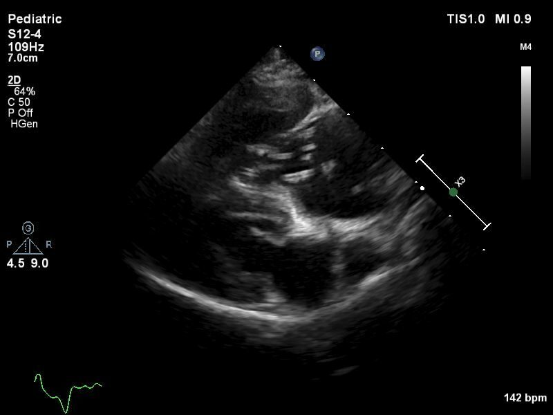
Die Diagnose wird meist nicht gestellt, weil ein Hund symptomatisch ist, sondern weil er aus einem endemischen Gebiet importiert wurde. Tatsächlich sind die meisten an uns überwiesenen Hunde asymptomatisch . Dann stellt sich die Frage, ob die Diagnose auch stimmt und ob entsprechend eine Behandlung indiziert ist. Gemäß der Empfehlung der American Heartworm Society (AHS) sollte die Diagnose basierend auf zwei positiven Testresultaten bestätigt sein. Das kann theoretisch ein Nachweis von Larven durch einen Knott’s Test plus ein positiver Antigentest sein. Nachdem ein Knott’s Test nicht als sensitiv gilt, führe ich diesen nie durch, sondern wiederhole bei einem überwiesenen Patienten zuerst einen Antigentest in einem anderen Labor. Teils können zwar Larven in einem Blutausstrich direkt unter dem Mikroskop gesehen werden; häufiger handelt es sich dabei aber um D. repens. Schließlich können in Einzelfällen adulte Würmer in der Lungenschlagader echographisch dargestellt werden, was dann als beweisend gilt.

Positive PCR-Resultate

In letzter Zeit wurden wir vermehrt konfrontiert mit positiven PCR-Resultaten. Teilweise machten diese Resultate so wenig Sinn, dass der Referent sich bei Kardiologen in den USA informierte, was von PCR zu halten sei. Antwort nach ihrerseits Rückfrage bei USA-Parasitologen: gar nichts. Mit anderen Worten, ich verlasse mich insbesondere bei asymptomatischen Hunden unverändert primär auf zwei positive Antigentests in verschiedenen glaubwürdigen Labors. Ein Antigentest fällt negativ aus, wenn ein Hund nur von männlichen Würmern befallen ist oder wenn die Weibchen immatur sind; demgegenüber kann ein Test bereits bei Befall mit nur einem weiblichen adulten Wurm positiv sein - gilt also als sehr sensitiv.

Die hauptsächlichen Herausforderungen zur Diagnose einer D. immitis Infektion sind es also:

a) daran zu denken,

b) nur "sinnvolle" Tests durchzuführen und

c) ein positives Resultat nicht überzubewerten.

Unser Behandlungsprotokoll von D. immitis basiert auf den Empfehlungen der American Heartworm Society (AHS); sie wurden aber vom Autor modifiziert, um u.a. auf die spezifischen Gegebenheiten in einem nicht endemischen Gebiet sowie auf den «prudent use of antibiotics» Rücksicht zu nehmen. Die ausführlichen Empfehlungen und das Originalprotokoll können nachgelesen werden unter: Empfehlungen der American Heartworm Society

Modifiziertes Protokoll Vetsuisse UZH

Tag 0: sichere Diagnosestellung = a) typische klinische / radiologische Veränderungen plus positiver Antigentest oder b) asymptomatisch plus 2 positive Tests, entweder wiederholt positiver Antigentest von anderem Hersteller oder positiver Antigen- und Mikrofilarientest oder c) eindeutig identifizierbare adulte Würmer im Echo. Falls symptomatisch, Beginn Bewegungsrestriktion, falls symptomatisch, Beginn Prednisolon: 0.5 mg/kg bid x 1 Wo, dann sid x 1 Wo, dann q48h x 1 Wo sowie Larvizid (Herzwurmpräventivum)

Tag 30: Larvizid (Herzwurmpräventivum, verschiedene Präparate auf dem Markt), Melarsamin, 2.5 mg/kg i.m. tief lumbar; 30 min. vorher Prämedikation mit Buprenorphin (0.01 mg/kg i.m., da schmerzhaft), Prednisolon: 0.5 mg/kg bid x 1 Wo, dann sid x 1 Wo, dann q48h x 1 Wo sowie, wenn noch nicht erfolgt, ab jetzt rigorose Bewegungsrestriktion bis Tag 90

Tag 60: Larvizid (Herzwurmpräventivum), Melarsamin, 2.5 mg/kg i.m. tief lumbar, wiederholen im Abstand von 24 h; jeweils Prämedikation mit Buprenorphin (0.01mg/kg i.m.), Prednisolon: 0.5 mg/kg bid x 1 Wo, dann sid x 1 Wo, dann q48h x 1 Wo sowie weiterhin rigorose Bewegungsrestriktion x 1 Monat wie bereits erwähnt

Tag 240: 6 Monate nach Doppelbehandlung Antigentest zum Beleg der erfolgreichen Therapie

Falls der Auslandaufenthalt weniger als vier Monate zurückliegt, erfolgt bei Tag 30 nur eine larvizide Behandlung und die restliche Behandlung verschiebt sich um einen Monat.

Kommentar zur Bewegungsrestriktion

Bei Vorliegen von (anstrengungsabhängiger) Dyspnoe bedeutet dies komplette Boxenruhe unter klinischer Überwachung. Klinisch völlig unauffällige Patienten behalten wir demgegenüber nicht stationär, sondern schreiben anstrengungsfreie Bewegung zur bloßen Versäuberung unter Leinenzwang vor.