CBCT jenseits von Zahn und Gelenk

Klinische Erfahrungen mit dem NewTom 7G mit Dual Energy.

Die Cone-Beam-Computertomographie (CBCT) ist in der Veterinärmedizin bislang vor allem für die hochauflösende Darstellung knöcherner Strukturen bekannt. Insbesondere in der Zahnheilkunde, Kieferchirurgie und Gelenkdiagnostik hat sie sich fest etabliert. In den vergangenen Jahren hat sich die Technologie jedoch deutlich weiterentwickelt. Moderne CBCT-Systeme mit großem Field of View (FOV), verbesserter Detektortechnologie und neuen Rekonstruktionsverfahren erweitern das Einsatzspektrum zunehmend auch auf Weichteilfragestellungen.

In unserer Klinik nutzen wir mit dem NewTom 7G bereits die zweite Generation eines CBCT-Systems. Diese Entscheidung unterstreicht unsere Überzeugung vom Potenzial dieser Technik. Neben dentalen und orthopädischen Fragestellungen setzen wir das Gerät zunehmend für Weichteilerkrankungen im Kopfbereich, im Thorax und im Abdomen ein. Insbesondere seit Einführung der Dual-Energy-Technologie zeigt sich, dass das CBCT in ausgewählten Fragestellungen eine diagnostische Qualität erreichen kann, die bislang dem Multislice-CT (MSCT) vorbehalten war.

Technischer Hintergrund

Das CBCT arbeitet mit einem kegelförmigen Röntgenstrahl und einem Flachdetektor, der in einer oder wenigen Rotationen ein komplettes Volumen erfasst. Dies ermöglicht eine sehr hohe isotrope räumliche Auflösung bis in den Submillimeterbereich und prädestiniert das Verfahren für die detaillierte Darstellung knöcherner Strukturen. Im Vergleich dazu bietet das Spiral-CT (MSCT) eine höhere zeitliche und kontrastbezogene Auflösung, insbesondere für dynamische Weichteil- und Mehrphasenuntersuchungen. Durch den großvolumigen Strahlkegel ist das CBCT grundsätzlich anfälliger für Streustrahlung und weist vermeintlich eine geringere Kontrastauflösung für Weichteile auf. Fortschritte in Akquisition, Rekonstruktion und insbesondere die Dual-Energy-Technologie zeigen jedoch ein deutliches Potenzial zur kontinuierlichen Verbesserung der Weichteildarstellung.

Moderne CBCT-Systeme mit großem Field of View (FOV), verbesserter Detektortechnologie und neuen Rekonstruktionsverfahren erweitern das Einsatzspektrum zunehmend auch auf Weichteilfragestellungen."

Dr. Marco Werhahn Beining, Klinik für Kleintiere Sottrum

Dual Energy im CBCT

Das NewTom 7G kombiniert zwei unterschiedliche Energieprofile in einem Scan. Diese Dual-Energy-Technik erlaubt eine bessere materialspezifische Differenzierung und führt zu einer signifikant verbesserten Weichteilauflösung. In der klinischen Praxis resultiert daraus eine klarere Abgrenzung von Organstrukturen, Tumorgewebe, Gefäßverläufen und pathologischen Veränderungen.

Klinische Einsatzbereiche

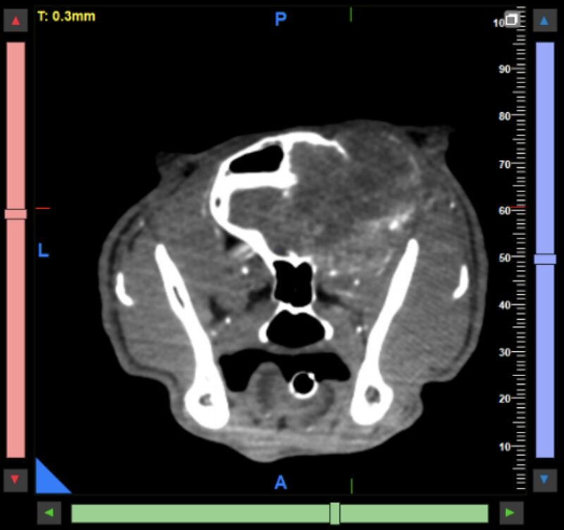
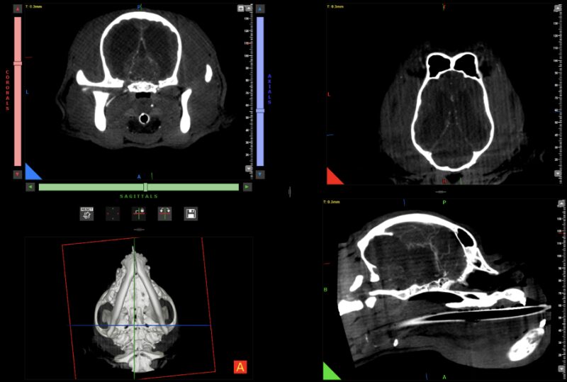
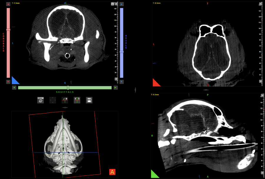
Kopf und Hals: Tumoren im und am Kopf lassen sich mit dem CBCT sehr präzise darstellen. Neben der exzellenten Beurteilung knöcherner Invasionen können auch Weichteilanteile zuverlässig abgegrenzt werden, was insbesondere für die präoperative Planung relevant ist. Kiefer- und Zahntumoren sowie komplexe dentale Erkrankungen profitieren weiterhin von der hohen Ortsauflösung des CBCT, die in diesen Bereichen einem klassischen Slice-CT überlegen sein kann. Bei brachycephalen Patienten hat sich das präoperative Dental-CT als Standard etabliert und ersetzt häufig eine Vielzahl konventioneller Dentalröntgenaufnahmen (Abb. 1 & 2).

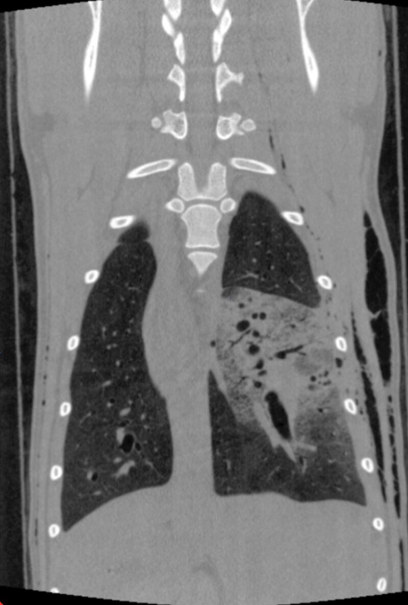
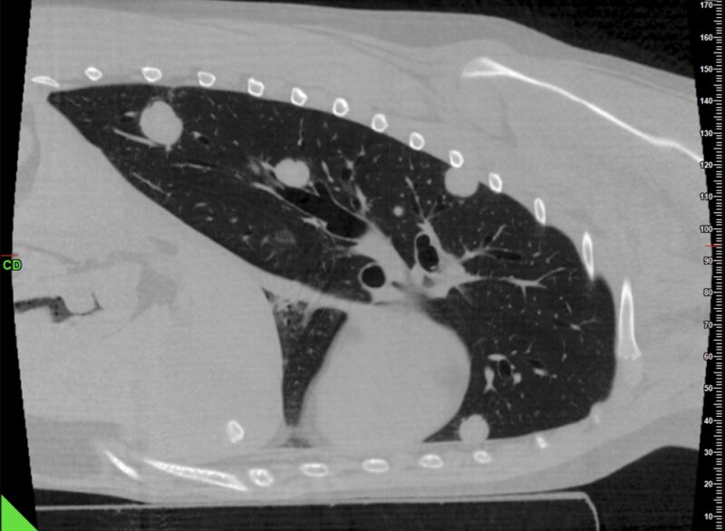
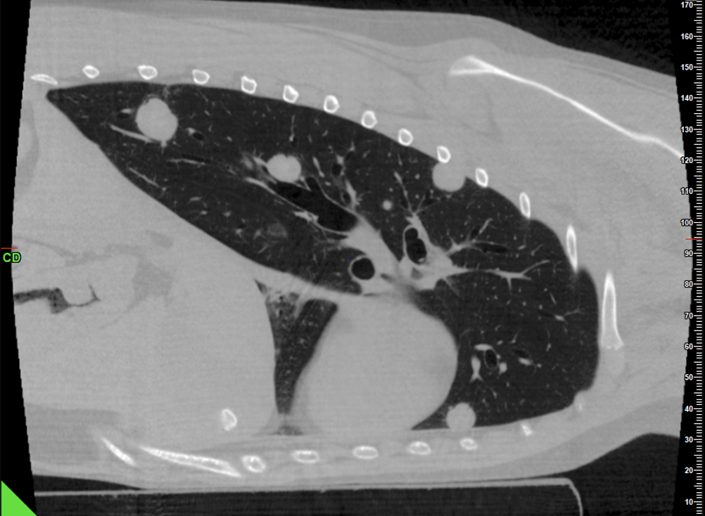
Thorax: Im Thorax wird das CBCT ebenso routinemäßig eingesetzt. Es erlaubt die Beurteilung von Raumforderungen, größeren parenchymatösen Veränderungen und mediastinalen Prozessen bei vergleichsweise kurzer Untersuchungszeit (Abb. 3 & 4).

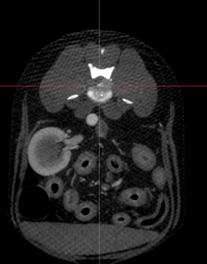
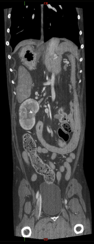
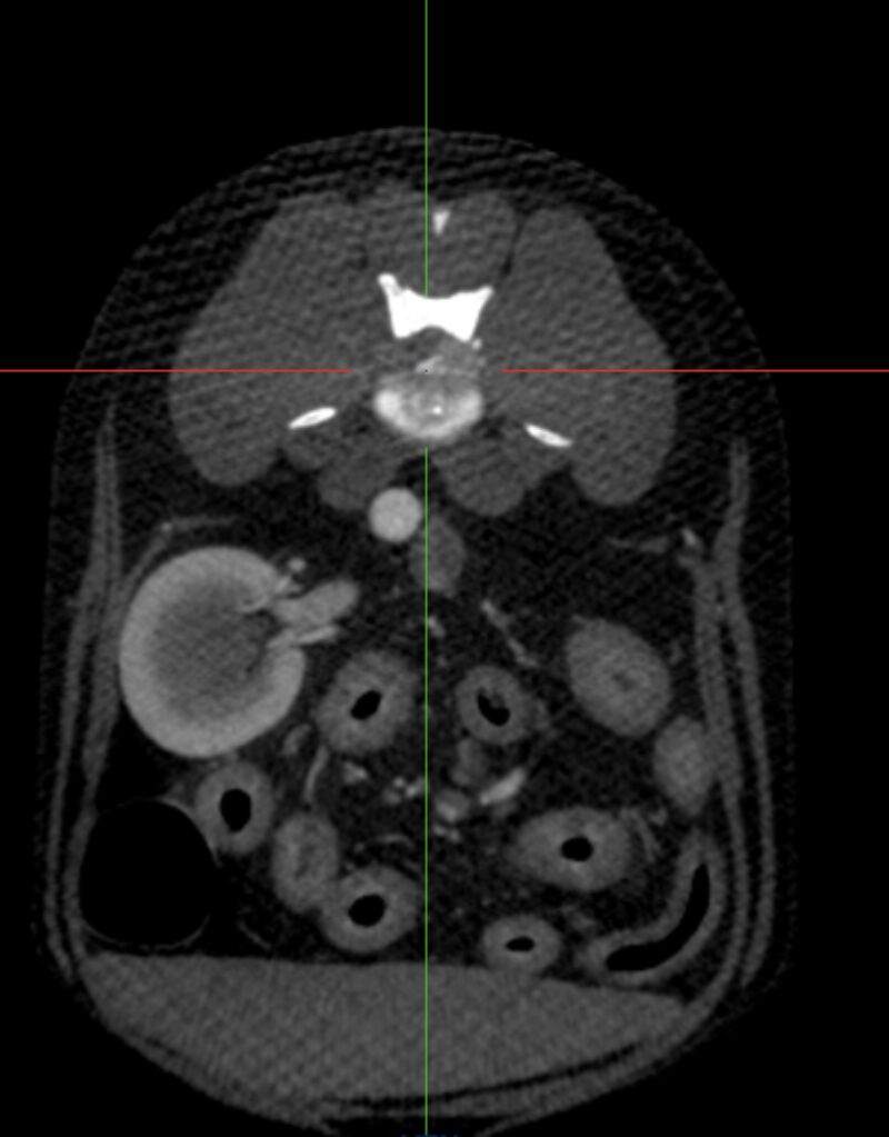
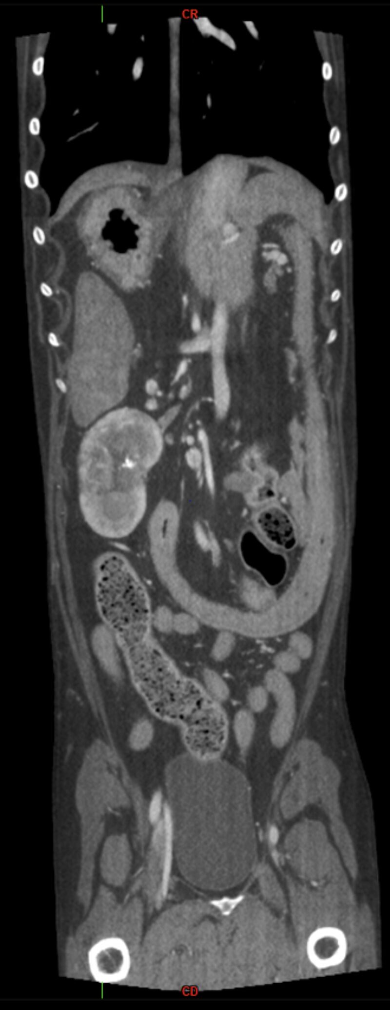
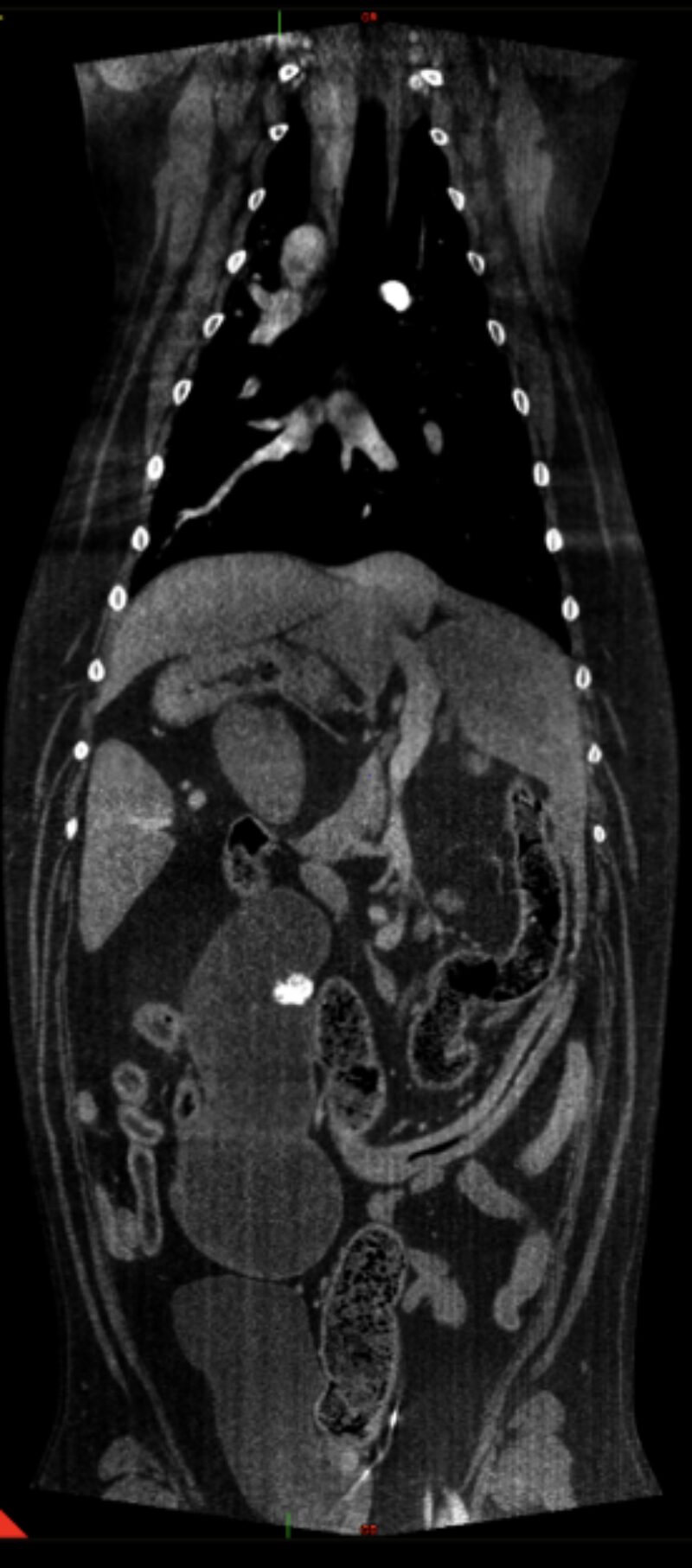
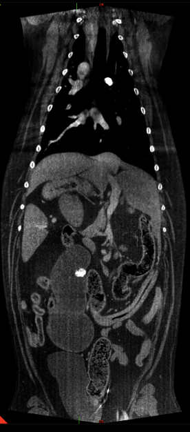
Abdomen: Ein wesentlicher Schwerpunkt unserer klinischen Arbeit liegt im Abdomen. Neben der Darstellung abdominaler Tumoren und struktureller Organveränderungen konnten auch Gefäßanomalien wie portosystemische Shunts erfolgreich dargestellt werden. Für viele klar definierte Fragestellungen stellt das CBCT eine praktikable und diagnostisch wertvolle Alternative zum MSCT dar (Abb. 5 & 6).

Kopf und Wirbelsäule: Auch in diesem Segment sind CBCT Einsätze aussagekräftig und erfolgreich – hier werden Scans zur genauen Diagnosestellung vom MRT abgelöst, wenn auch die zukünftige Optimierung mittels künstlicher Intelligenz die Bildqualität nochmals absehbar erhöhen wird (Abb. 7 & 8).

Grenzen des Verfahrens

CBCT und MSCT sind nicht vollständig austauschbar. Limitationen des CBCT bestehen insbesondere bei mehrphasigen Kontraststudien sowie bei sehr großen Patienten, etwa Doggen oder vergleichbar großen Hunden. Ein routinemäßiges Ganzkörperscanning oder kombinierte Untersuchungen mehrerer Körperregionen in einer Kontrastphase sind hier nicht ohne weiteres möglich. In solchen Fällen ist entweder eine präzise Fokussierung der Fragestellung oder der Einsatz eines MSCT erforderlich.

Für wen ist ein modernes CBCT sinnvoll?

Ein modernes CBCT eignet sich besonders für breit aufgestellte Tierarztpraxen und -kliniken, die sowohl von der hochauflösenden Knochen- und Zahndarstellung als auch von einem relevanten Anteil an Weichteil-CT-Untersuchungen profitieren möchten. Voraussetzung ist stets eine klar definierte Fragestellung und ein realistisches Verständnis der technischen Grenzen. Die Kombination verschiedener Bildgebungsverfahren erweitert das diagnostische Spektrum erheblich. Während die Kombination aus CBCT und MSCT maximale Flexibilität bietet, erfordert sie zwei röntgenbasierte Systeme. In unserer Klinik haben wir uns bewusst für die Kombination aus Dual-Energy-CBCT und MRT entschieden. Dadurch können wir insbesondere die verbleibende Lücke in der Weichteildiagnostik, einschließlich neurologischer Fragestellungen, schließen. Die Zahl der Patienten, bei denen relevante Einschränkungen bestehen, ist gering.

Perspektive: KI-gestützte Bildoptimierung

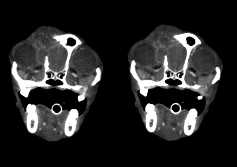
Ein weiterer Entwicklungsschritt ist die Integration künstlicher Intelligenz in die Bildrekonstruktion. In Zusammenarbeit mit der Firma Hawkcell verfolgen wir das Ziel, Bildqualität, Rauschreduktion und Rekonstruktionsparameter automatisiert an die jeweilige Fragestellung anzupassen. Erste Ergebnisse zeigen eine deutliche Qualitätssteigerung, in ausgewählten Anwendungen vergleichbar mit einem 16-Zeilen-Multislice-CT.

Vergleichende Darstellung eines KI optimierten Kopfscans einer Katze mit einem destruktiven Tumor im Kopfbereich (links original, rechts KI gestützt).

Dr. Marco Werhahn Beining, Klinik für Kleintiere Sottrum

Fazit

Das CBCT hat sich in den letzten Jahren deutlich gewandelt. Moderne Systeme wie das NewTom 7G mit Dual-Energy-Technologie sind längst mehr als reine Werkzeuge für die Tierzahnheilkunde oder die Gelenkdiagnostik. In multimodalen Fragestellungen bietet das CBCT heute eine überzeugende Weichteildarstellung im Kopf, im Thorax und im Abdomen und kann damit einen festen Platz im diagnostischen Workflow der Kleintiermedizin einnehmen.

Take-Home-Message

Moderne CBCT-Systeme mit Dual Energy haben sich zu vielseitigen diagnostischen Werkzeugen entwickelt, die weit über die klassische Knochen- und Zahnbildgebung hinausgehen. In Kombination mit KI-gestützter Bildoptimierung kann das CBCT in einer breiten Fragestellungen eine Bildqualität erreichen, die mit einem Multislice-CT vergleichbar ist. Doch CBCT ist nicht gleich CBCT – wir raten dazu sich unterschiedliche Systeme im alltäglichen Gebrauch zu begutachten und das beste System für sich persönlich herauszufinden.