Mitralklappenendokardiose bei Beagle "Bubbles"

Als die elfjährige Beagle-Hündin Bubbles den Untersuchungsraum betritt, meint man zunächst eine muntere ältere Hundedame vor sich zu haben. Beagle-typisch schaut sie sich mit bester Laune einmal im unbekannten Raum um, peilt wedelnd die Ecke der Arbeitsplatte an, in der die Leckerlies stehen und versucht mal, ob sie selbst drankommt. Doch sieht man genauer hin, wird klar, warum Bubbles zur Herzuntersuchung vorgestellt wird: Trotz ihrer fröhlichen Art atmet Bubbles schwer und häufig, ebenso bewegt sich ihr Bauch beim Luftholen deutlich mit. Ihre Zunge erscheint leicht bläulich und als Bubbles sich bemüht an die Hundekekse zu kommen fängt sie vor Aufregung oder Anstrengung an zu husten. All das sind deutliche Anzeichen, dass mit dem Herzen tatsächlich etwas nicht stimmen könnte.

Bubbles zeigt bereits beim Herumlaufen im Untersuchungszimmer einige Anzeichen dafür, dass das Herz krank sein könnte: Sie atmet betont über die Bauchpresse, ihre Zunge ist eher bläulich und bei Anstrengung hustet sie. Die Besitzer berichten darüber hinaus vom Husten, wenn Bubbles morgens aufsteht und auch davon, dass Bubbles nicht mehr gerne Spazieren geht und draußen nur noch hinter ihnen herläuft. Bubbles ist auch bereits einmal umgefallen, als sie auf der Wiese einer Katze hinterhergerannt ist und ganz vergessen hatte, dass sie ja eigentlich nicht mehr so gerne laufen will und kann. Sie rannte plötzlich los und bellte dabei laut, so wie es nun mal beim Beagle Sitte ist. Nach wenigen Metern fiel Bubbles dann mitten aus dem Rennen auf die Seite und blieb bewusstlos liegen. Nach ein paar Augenblicken rappelte sie sich wieder auf und schien wieder in Ordnung.

"Abgebrochener" Herztod

Diese Episode war eine sogenannte Synkope, die man dramatisch auch als abgebrochenen Herztod bezeichnen könnte. Das Herz kam vor Überanstrengung und Sauerstoffmangel ins "Stolpern" und konnte somit das Gehirn nicht mehr mit Blut versorgen, Bubbles wurde ohnmächtig. Zum Glück entschied sich das Herz rechtzeitig wieder regelmäßig zu schlagen, und Bubbles wachte wieder auf. Die Besitzer jedoch erkannten das Warnsignal und entschieden sich, das Herz untersuchen zu lassen. Bei der allgemeinen Untersuchung fällt vor allem ein lautes regelmäßiges Zisch-Geräusch des Herzens auf, welches man schon fast ohne Stethoskop hören kann. Auch die Lunge hört sich nicht mehr normal an: bei jedem Atemzug hört man ein knistern, als würden in Bubbles Lunge Badeschaumbläschen zerplatzen. Dies ist ein typisches Anzeichen für Wasser in der Lunge.

Die Mitralklappenendokardiose ist mit Abstand die häufigste Herzerkrankung des Hunde."

Allana Kasperczyk, Tierärztehaus Darmstadt

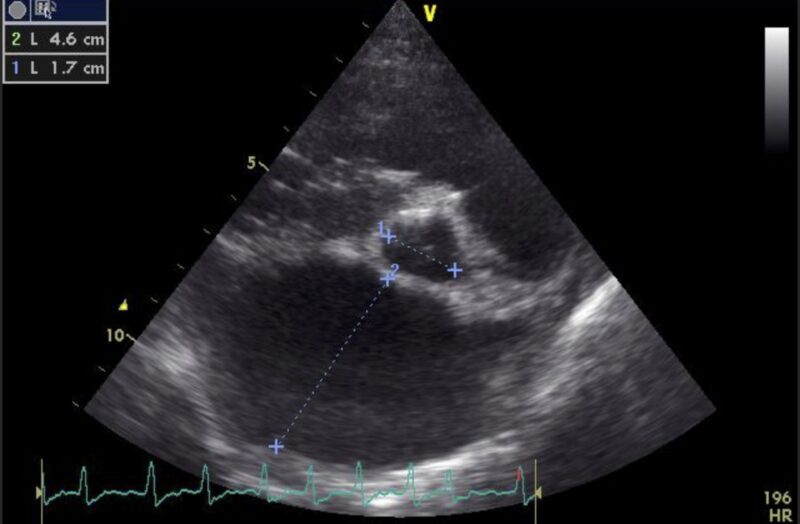
Auf den Röntgenbildern bestätigt sich das, was bei der Untersuchung schon verdächtig war: Das Herz ist deutlich zu groß und man kann ein Lungenödem, also gestaute Gefäße sowie Wasser in der Lunge erkennen.

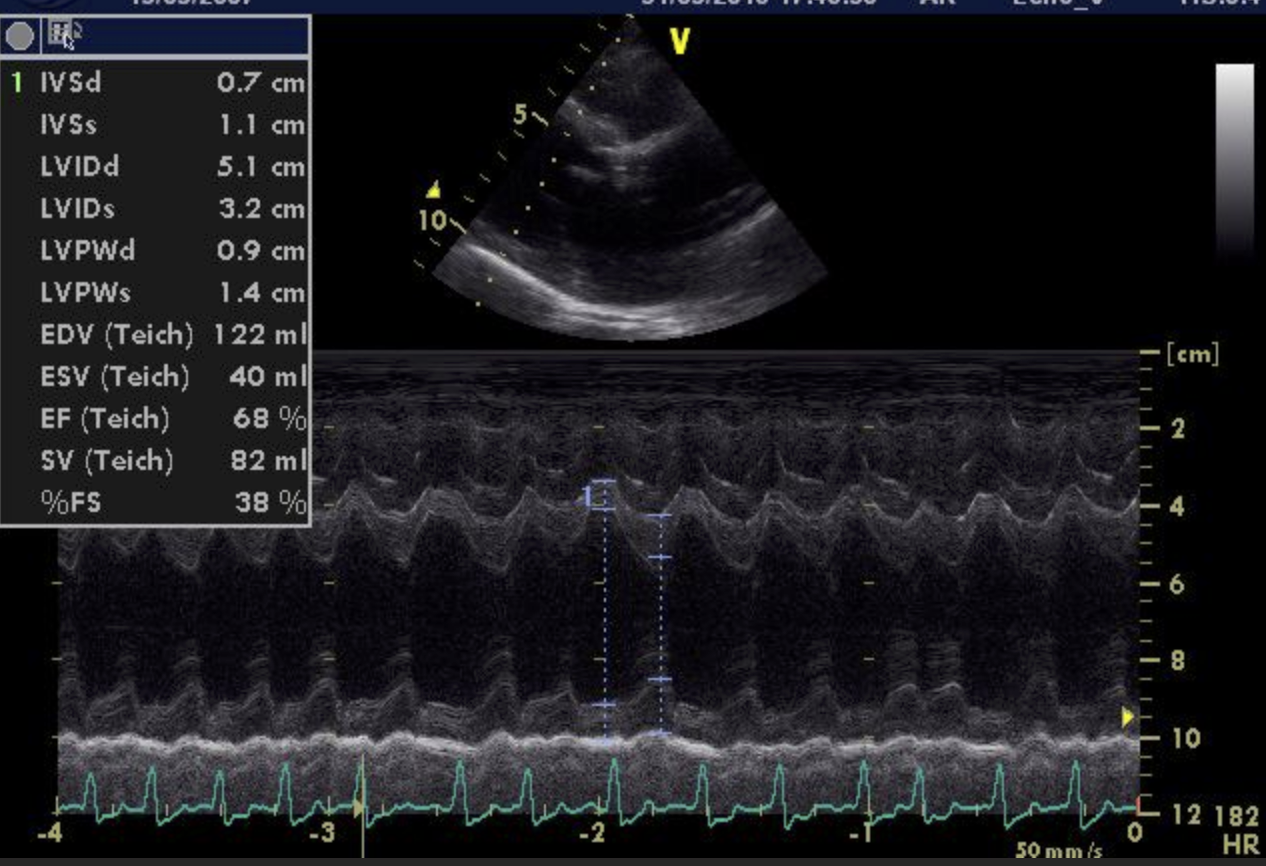
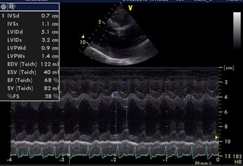
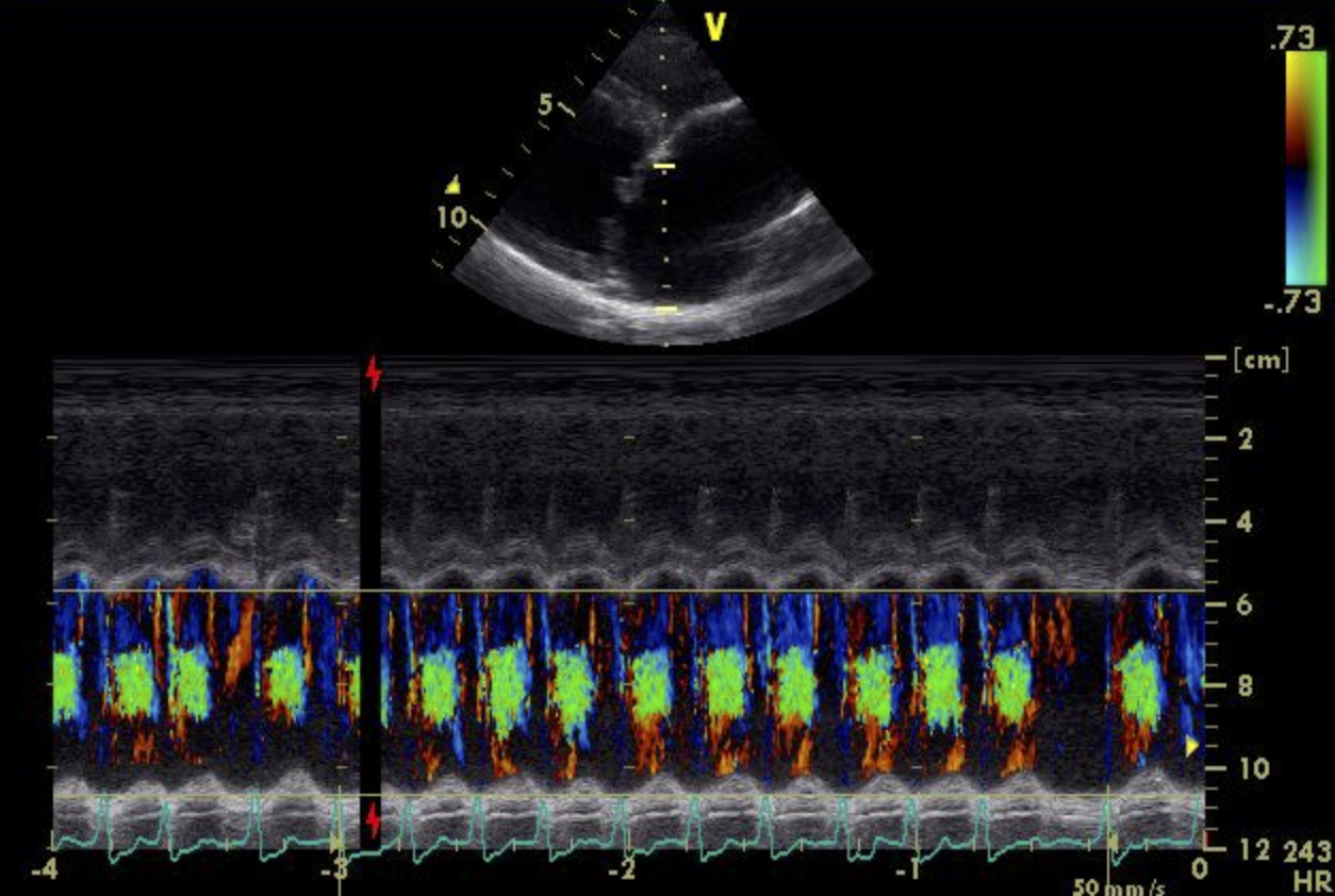
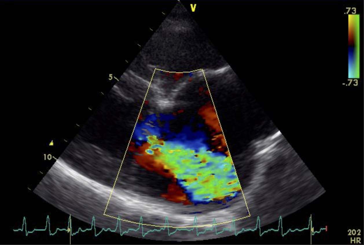
Die Ultraschalluntersuchung des Herzens zeigt letztendlich die Ursache der Veränderungen: Bubbles Herzklappe zwischen dem linken Vorhof und der linken Herzkammer, die Mitralklappe, schließt sich nicht mehr vollständig. Das EKG bei Bubbles ist in Ruhe unauffällig.

Endocardiose der Mitralklappe

Die Erkrankung, die Bubbles hat heißt Endocardiose der Mitralklappe. Die Mitralklappe dient als Ventil im linken Herzen. Nachdem sich der linke Vorhof mit frischem Blut aus der Lunge gefüllt hat, öffnet sich die Mitralklappe und der linke Vorhof entleert sich in die linke Herzkammer. Ist diese gefüllt, schließt die Klappe fest und dicht ab und die linke Kammer pumpt das Blut weiter in die Aorta, die Hauptschlagader des Körpers.

Bei einer Mitralklappenendocardiose wird das Gewebe der Klappe im Lauf der Zeit schwächer. Durch diese Schwäche reißt das Gewebe immer wieder ein, verheilt und reißt wieder ein, so dass sich wulstige Narben bilden und das Gewebe nicht mehr so straff oder so zart ist, wie in jungen Jahren. Durch die krankhaften Veränderungen der Klappe kann diese (wie in Bubbles Fall) nun aber nicht mehr schließen, und es kommt zu einer Undichtigkeit (Insuffizienz). Während des Pumpvorgangs fließt durch das kaputte Ventil ein Teil des Blutes retour in den linken Vorhof, anstatt in den Körperkreislauf entlassen zu werden.

Das hat gravierende Folgen - da immer ein Teil des Blutes zurückgedrückt wird, muss das Herz mehr arbeiten, um das gleiche Blutvolumen umzuwälzen. Es kommt also zu einer Erhöhung der Schlagfrequenz und gleichzeitig zu einer Erhöhung des Blutdrucks, da ja ein gewisses Volumen fehlt und sich dadurch die Gefäße enger stellen müssen. Dadurch entsteht aber ein Teufelskreis, denn durch die Blutdruckerhöhung und das schnellere Schlagen des Herzens kommt es auch zu einem stärkeren Rückfluss durch die insuffiziente Klappe. Dies wiederum weitet den linken Vorhof, der sich ja eigentlich nur mit Blut aus der Lunge füllen soll und nun aber auch noch eine weitere Menge, die aus der Herzkammer zurück gedrückt wird, aufnehmen muss.

Es kommt zur Vorhofvergrößerung. Dadurch weitet sich aber naturgemäß auch die Undichtigkeit der Mitralklappe, da deren Ansätze ja im Übergang zwischen linker Kammer und linken Vorhof sitzen. Die Flügel der Klappe werden regelrecht weiter von einander weggeschoben. Dadurch fließt eine größere Menge des Blutes zurück, der Vorhof wird stärker geweitet und das Herz muss noch mehr arbeiten, wodurch der linke Vorhof sich weiter dehnt. Ab einer gewissen Menge zurückfließenden Blutes und einer bestimmten Vergrößerung des linken Vorhofs kommt es dann zu einen Rückstau des Blutes in die Lunge. Der flüssige Anteil des Blutes, welches sich in den Gefäßen staut, wird regelrecht in das Lungengewebe gedrückt. Es kommt zum „Wasser in der Lunge“ welches den Gasaustausch in der Lunge stört und somit die Atmung erschwert. Der typische Herzhusten und die betonte schwere Atmung setzten ein.

Die Mitralklappenendokardiose ist mit Abstand die häufigste Herzerkrankung des Hundes. Die Erkrnakung kommt typischerweise bei Toys, kleinen und mittelgroßen Hunden vor. Bei einigen Rassen, wie z.B. beim Dackel, beim Yorkshire Terrier oder beim Cavalier King Charles Spaniel können die degenerativen Prozesse an den Klappen bereits sehr früh zu einer therapiebedürftigen Herzerkrankung führen.

Heute geht man davon aus, dass es eine genetische Ursache für diese Erkrankung gibt, die gehäuft bei bestimmten Rassen und in bestimmten Linien vorkommt. Die Hunde haben bereits von Beginn an eingebaute Sollbruchstellen im Gewebe der Klappen. Das Gewebe der Klappen reißt schon beim jungen Hund ein, verheilt, reißt ein, verheilt usw. Die Erkrankung beginnt unbemerkt und schleichend und wird oft im späten Mittelstadium, wie bei Bubbles, vom Besitzer überhaupt erst bemerkt, da der Hund vorher weder hustet noch eine Leistungsschwäche aufweist.

Individuell auf den Patienten eingestellte medikanentöse Therapie

Kranke und undichte Herzklappen kann man beim Hund (noch) nicht reparieren, aber passende und individuell eingestellte Medikamente können die Erkrankung abbremsen. Mittlerweile gibt es sehr gute Therapiemöglichkeiten für Hunde, um diese Erkrankung aufzuhalten, sobald sie dem Herzen Probleme bereitet. Wichtig ist es, den richtigen Zeitpunkt zu finden. Am sichersten findet ihn ein auf Herzerkrankungen spezialisierter Tierarzt mit den oben beschriebenen Untersuchungsmethoden. Je früher eingegriffen wird, desto länger geht es dem Patienten gut. Lebensdauer und -qualität können mit den Medikamenten - im Anfangsstadium eingesetzt - über viele Jahre erhalten bleiben. Sind die degenerativen Prozesse am Herzen jedoch bereits weit vorangeschritten, verkürzt sich diese Überlebenszeit trotz der Medikamente drastisch. Daher kann nur geraten werden, ab dem Moment, ab dem der Haustierarzt beim Untersuchen ein Nebengeräusch am Herzen hört, einen Termin bei einem auf Kardiologie spezialisierten Kollegen zu machen und auch regelmäßig weiter kontrollieren zu lassen, damit man den Zeitpunkt nicht verpasst.

Leider war die Erkrankung bei Bubbles bereits sehr weit fortgeschritten. Nach nur drei Monaten musste die Entscheidung getroffen werden, Bubbles entgültig zu erlösen.