Berner-Sennenhund Leo: "Bösartiger Tumor"

Der 9-jährige Berner-Sennenhund „Leo“ wurde in der Tierklinik Oberhaching vorgestellt, nachdem seine Besitzer bei ihm drei Monate zuvor eine Schwellung an der Flanke ertastet hatten.

Die erste Anlaufstelle war für die Besitzer natürlich der Haustierarzt, der die Beule für eine Zyste hielt, eine mit Flüssigkeit gefüllt Blase. Nach einer sogenannten Feinnadelaspiration, einer Punktion mit einer sehr dünnen, langen Nadel, die zur Gewinnung einzelner Zellen dient, die im Mikroskop untersucht werden können, wurde die Verdachtsdiagnose Lipom gestellt. Dabei handelt es sich um eine gutartige Fettgewebsgeschwulst.

Endgültige Diagnose: Chondrosarkom

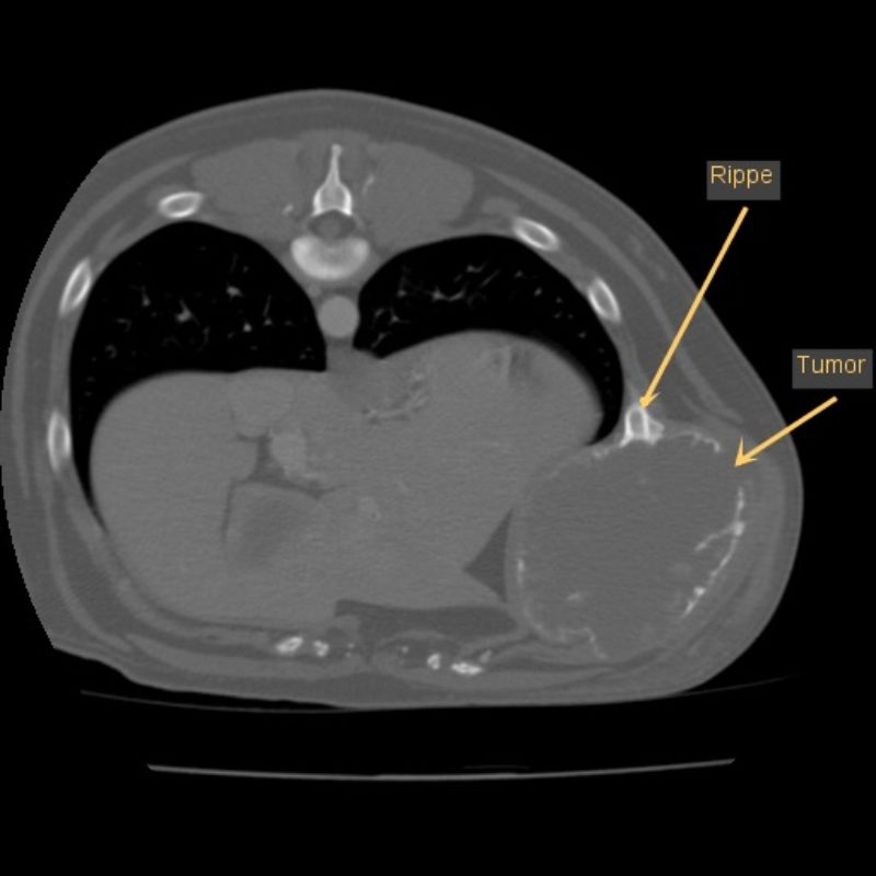
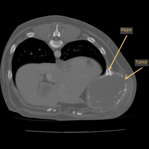
Da die Umfangsvermehrung jedoch weiter wuchs, wurde eine Gewebeprobe mit einer dickeren Stanznadel entnommen. Dies ergab schließlich die endgültige Diagnose „Chondrosarkom“, ein bösartiger Tumor, der vom Knorpelgewebe ausgeht. An dieser Stelle des Körpers entstehen diese Tumoren aus dem bauchseitigen knorpeligen Ende der Rippen.

Bei Vorstellung in der Tierklinik Oberhaching war die Umfangsvermehrung schließlich schon tennisballgroß und sehr derb. Ein vom Haustierarzt angefertigtes Röntgenbild wies bereits auf eine teilweise Auflösung des knöchernen Anteils der elften Rippe hin. Das Allgemeinbefinden des Hundes war ungestört, er war bei gutem Appetit, die Umfangsvermehrung hat ihn nicht weiter gestört.

Computertomographie findet in Vollnarkose statt.

Leo wurde nun nach einer gründlichen allgemeinmedizinischen sowie labortechnischen Untersuchung zur Computertomographie (CT) angemeldet, die in Vollnarkose stattfinden muss. Mit dieser Technik werden mit Hilfe von Röntgenstrahlen ein Millimeter dünne Schichtaufnahmen angefertigt und damit das genaue Ausmaß des Tumors dargestellt. Zum anderen kann im Vergleich zu einem konventionellen Röntgenbild eine überlagerungsfreie Aussage über den Zustand des benachbarten Weichteilgewebes getroffen werden. Diese Informationen sind für den Chirurgen unumgänglich, damit er die Operation planen kann.

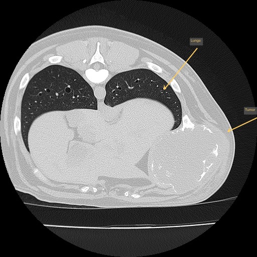
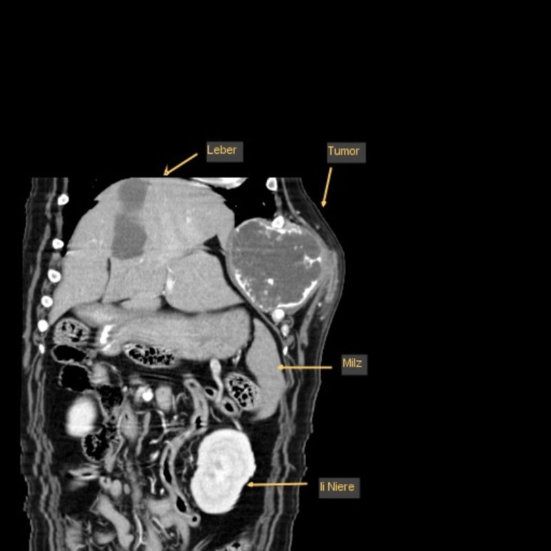
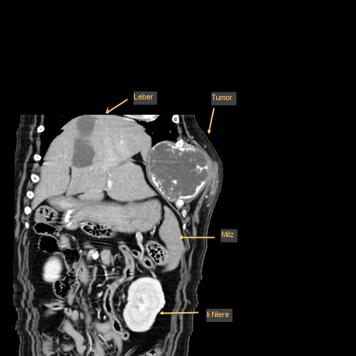
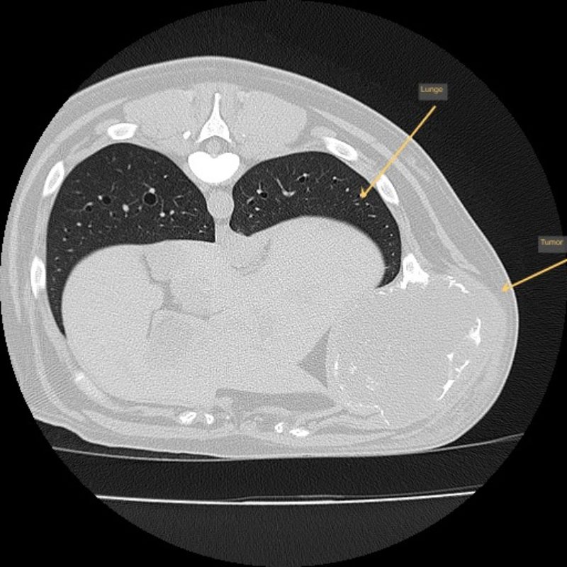
In diesem Fall wurde durch die CT das enorme Ausmaß der Umfangsvermehrung deutlich, sodass insgesamt drei Rippen inklusive der dazwischenliegenden Muskeln in Mitleidenschaft gezogen wurden. Die gute Nachricht war, dass der innerhalb der Bauchhöhle unmittelbar anliegende linke Leberlappen, Magen und Milz sowie der hintere Anteil des linken Lungenflügels im Brustkorb noch nicht vom Tumorwachstum erfasst waren.

Metastasen weder in Brust- noch Bauchhöhle

Um eine Aussage für die Prognose hinsichtlich der Überlebenszeit des Patienten treffen zu können, die sich bei bösartigen Tumoren hauptsächlich vom Vorhandensein von Metastasen ergibt, wurde in der gleichen CT-Untersuchung die Brust- und Bauchhöhle von Leo mitgescannt. In der Lunge, den dem Tumor benachbarten Lymphknoten, sowie Leber und Milz setzen sich erfahrungsgemäß die frühesten Metastasen fest. Manche Besitzer wollen ihrem Liebling bei fortgeschrittener Tumorstreuung die Operation und etwaige langwierige Nachsorgebehandlungen ersparen. Bei diesem Patienten, der ja insgesamt in hervorragender körperlicher Verfassung war, konnten wir weder in der Brust- noch in der Bauchhöhle Metastasen feststellen, sodass einer operativen Entfernung des bösartigen Tumors nichts mehr im Wege stand.

Um Leo eine zweite Narkose für die Operation zu ersparen, wurde im Anschluss an die Computer-Tomographie die Operation geplant und durchgeführt. Obwohl es ein lang andauernder, umfangreicher chirurgischer Eingriff war, erholte sich Leo schnell, kam nach der Narkose gut auf die Beine und konnte bereits fünf Tage nach der Operation nach Hause entlassen werden.

Kontrollen durch den Haustierarzt

In der Zwischenzeit sind sechs Monate vergangen, Leo besucht regelmäßig seinen Haustierarzt zur Kontrolle auf Metastasen und ein eventuelles Turmorezidiv, also ein erneutes Tumorwachstum an derselben Stelle, erfeut sich jedoch bester Gesundheit.