Kaiserschnitt bei Labrador-Hündin Nala

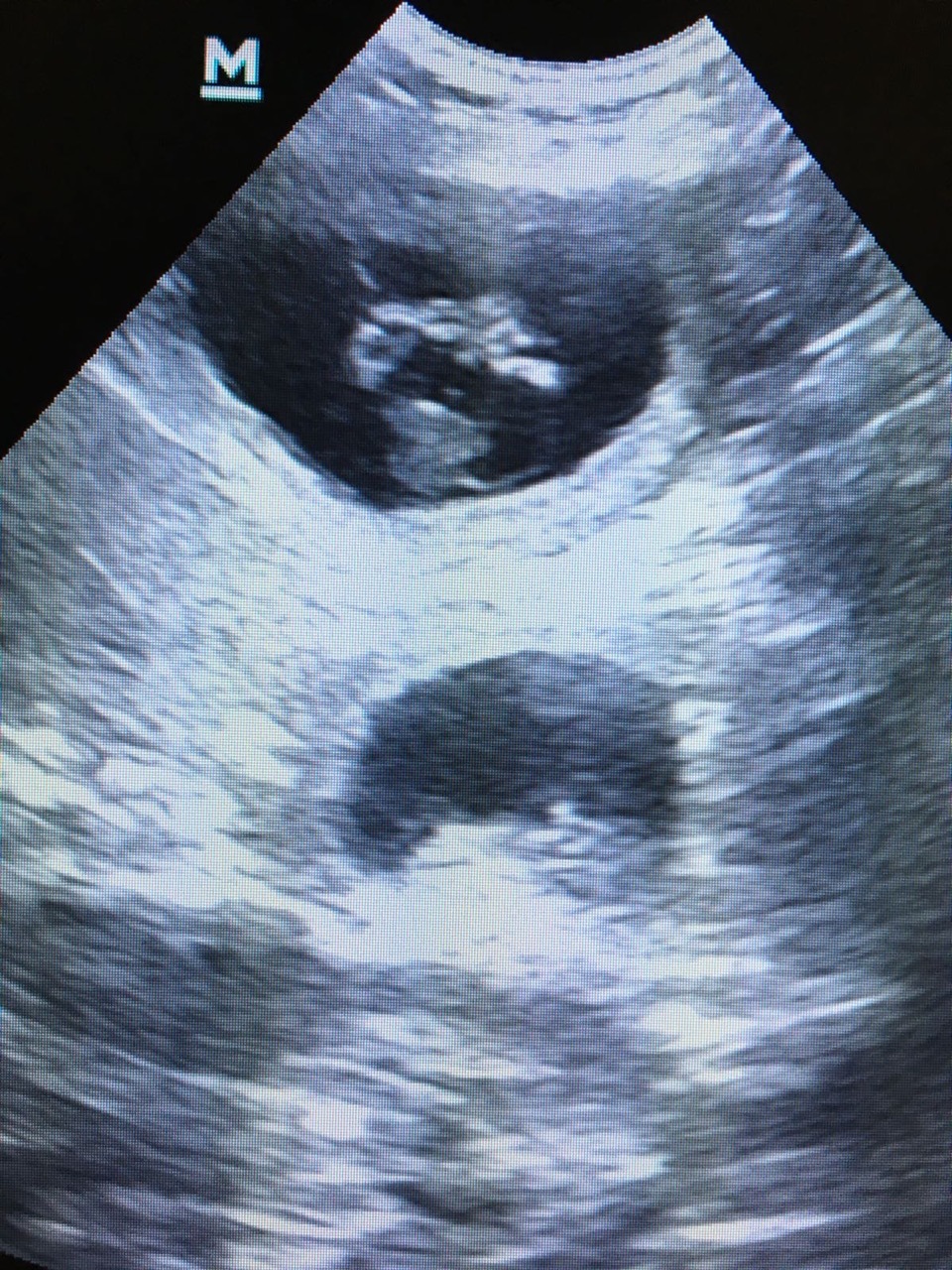
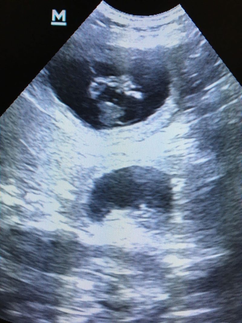
Die Besitzer von Nala, einer dreijährigen braune Labrador-Hündin, wünschten sich Welpennachwuchs. Nachdem der passende Rüde gefunden war, wurde der Wunsch Wirklichkeit. Nach ca. 28 Tagen konnte per Ultraschall eine Trächtigkeit bei Nala nachgewiesen werden.  

Fünf Wochen später an einem späten Nachmittag setzten die Wehen bei Nala ein. Der erste Welpe wurde gegen 19.00 Uhr geboren. Als nach zwei Stunden kein weiterer Welpe kam, nahmen die Besitzer Kontakt mit mir auf. Während der ca. einstündigen Fahrt in die Praxis erblickten zwei weitere Welpen das Licht der Welt.
 
Die Untersuchungen Nalas per Ultraschall und Röntgen ergaben keine pathologischen (krankhaften) Befunde. Bei der Blutuntersuchung wurden eine leichte Anämie (Blutarmut) und ein deutlicher Hinweis auf eine bakterielle Infektion festgestellt. Nach entsprechender medikamenteller Behandlung mit Dauertropfinfusion wurde ein Welpe geboren. Trotz sich anschließender Arzneimittelgaben konnte keine weitere Spontangeburt ausgelöst werden.

Durch Wehenschwäche verursachte Geburtsstockungen. Entscheidung: Kaiserschnitt

In Absprache mit den Besitzern entschied ich mich für einen Kaiserschnitt, um eine gute Überlebenschance der noch nicht geborenen Welpen zu erhalten. Aufgrund der fortgeschrittenen Zeit, mittlerweile war es Mitternacht, und der Notbesetzung des OP-Teams wurden die Tierbesitzer in die Versorgung der Welpen mit einbezogen. Umgehend war Nala für die Operation vorbereitet und narkotisiert. Fünf weitere Welpen konnten lebend entwickelt werden. Leider waren zwei Welpen bereits im Mutterleib verstorben.
 
Da die Besitzer die Fruchtbarkeit der Hündin für eventuell folgende Trächtigkeiten erhalten wollten, verzichtete ich auf eine Ovariohysterektomie (Entfernung der Eierstöcke und der Gebärmutter).

Ich als Tierarzt wünsche mir, dass die Züchter bereits vor oder kurz nach der Bedeckung Kontakt mit mir aufnehmen. So kann ich die Besitzer auf die bevorstehende Geburt vorbereiten und entsprechende Handouts übergeben."

Dr. Uwe Müller, Tierarzt in Treuen

Die Wundheilung der Operationswunde verlief ohne Komplikationen. Nala kümmerte sich vorbildlich um ihre Welpen. Bedauerlicherweise verstarb ein Welpe nach ca. 10 Tagen ohne ersichtlichen Grund. Umso erfreulicher ist es, dass nach neunwöchiger Kinderstube acht muntere junge Labradorwelpen mittlerweile ein neues Zuhause gefunden haben. Diese durch Wehenschwäche verursachten Geburtsstockungen begegnen uns häufiger in der Geburtskunde des Hundes (v. a. bei Rassen schwerer als 25 kg). Begünstigt werden sie durch Begleiterkrankungen (z. B. Anämie, Infektion usw).
 
Frühzeitiger Kontakt zum Tierarzt 

Ich als Tierarzt wünsche mir, dass die Züchter bereits vor oder kurz nach der Bedeckung Kontakt mit mir aufnehmen. So kann ich die Besitzer auf die bevorstehende Geburt vorbereiten und entsprechende Handouts übergeben. Großen Wert lege ich dabei auf die richtige Ernährung, Haltung und Behandlung (z. B. Entwurmung) der tragenden Hündin. Weiterhin ist es mir möglich, den Zeitraum der anstehenden Geburt, auch personell, entsprechend planen und im Notfall einschreiten zu können. Dem Tierbesitzer wird die Suche nach einem Tierarzt und das Verschwenden wertvoller Zeit somit erspart.