Sammy mit Malassezia-Dermatitis

Sammy ist ein etwa vier Jahre alter männlicher Mischling. Im Alter von etwa zwölf Monaten entwickelte er feuchte, nässende Stellen in den Achseln und im Bereich der Innenschenkel. Später kam starker Juckreiz am ganzen Körper dazu. Sammy reibt das Gesicht und beißt sich die Haut überall dort, wo er hinkommt auf. Zuerst fielen die Haare aus, später verfärbte sich die Haut in den beknabberten Bereich ganz schwarz und verdickte sich. Nach einigen Monaten sah die Haut wie Elefantenhaut aus und Sammy roch sehr unangenehm. Besonders die Ohren juckten sehr stark, so dass Sammy sich hier immer wieder kratzte und mit dem Kopf schüttelte.

Die Tierbesitzer stellten Sammy beim Haustierarzt vor, der Kortisoninjektionen gab. Damit war der Juckreiz in der ersten Zeit für 2 bis 3 Wochen teilweise verschwunden, kam aber immer schneller wieder, die Injektionen verloren ihre Wirkung. Auch die Gabe von verschiedenen Ohrentropfen erbrachte immer nur kurzfristige Erleichterung. Bei einer Blutuntersuchung waren Sammys Schilddrüsenwerte auffallend niedrig, so dass der Haustierarzt Schilddrüsenhormone in niedriger Dosierung verschrieb und gleichzeitig über drei Wochen Antibiotika gab. Doch nichts half. Es wurden verschiedene Diäten durchgeführt, um eine Futtermittelallergie auszuschließen, doch auch dadurch wurde der Juckreiz nicht weniger. Schließlich wurde ein Blutallergietest durchgeführt, hierbei zeigten sich Allergien gegen Hausstaubmilben, einige Gräser und Futtermittelallergene. Ansonsten geht es Sammy gut, zwar ist sein Allgemeinbefinden durch den ständigen Juckreiz beeinträchtigt und oft ist er tagsüber sehr müde, weil er sich die ganze Nacht beknabbert und geleckt hat, aber das Fressen schmeckt gut und Gassi gehen macht auch Spaß.

Klinische Untersuchung
Sammy sieht sehr zerrupft aus. Ihm fehlen die Haare an der Halsunterseite, an den Flanken, den Hinterseiten der Ohren und den unteren Gliedmaßen einschließlich der Pfoten. Die Haut in diesen Bereichen und an den Innenseiten der Ohrmuscheln ist schwarz verfärbt und verdickt (Abb. 1-3). Sammy verströmt einen durchdringenden ölig-ranzigen Geruch nach „nasser Socke“, der bald den ganzen Raum erfüllt. Nicht immer sind die Veränderungen so stark, manchmal sieht man äußerlich nur verminderte Behaarung eine leichte Rötung der Haut.

Weiterführende Untersuchungen
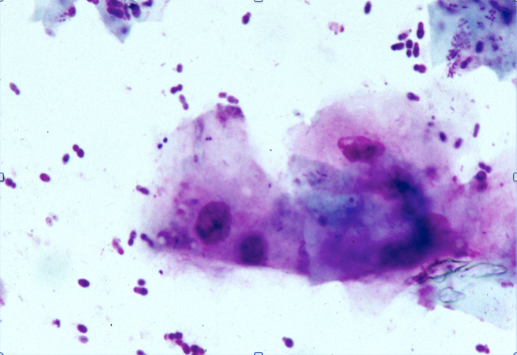
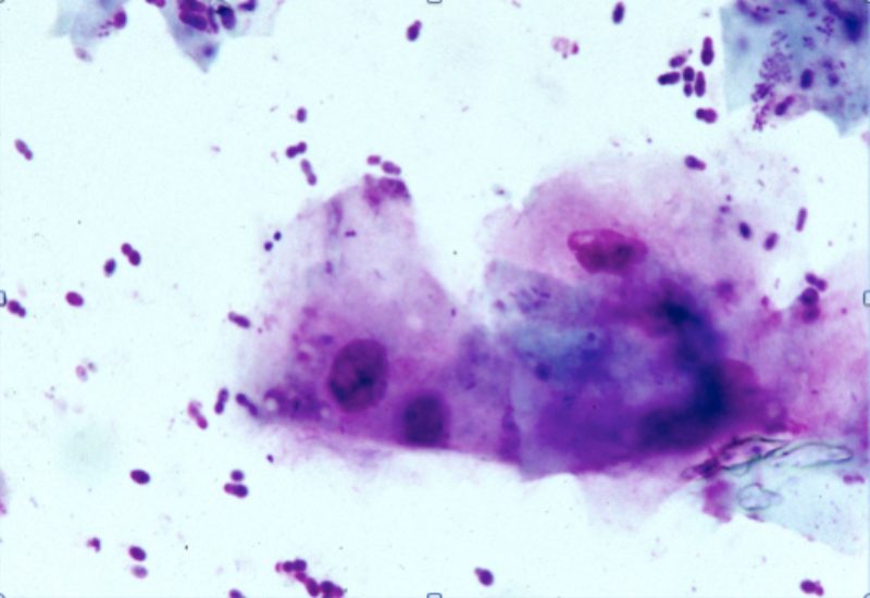
Bei meinen weiterführenden Untersuchungen geht es darum, alle Erkrankungen auszuschließen, die ein Hautbild wie bei Sammy bedingen können. Als erstes suche ich nach Flöhen: negativ.  Dann fertige ich einige Hautgeschabsel an, um den Befall mit Milben, wie z.B. Sarkoptesmilben und Demodexmilben auszuschließen: negativ. Ein alleiniger Befall mit Herbstgrasmilben als Ursache für diese Hauterkrankung halte ich für unwahrscheinlich, da diese Milbenart nur im Spätsommer und im Herbst auftreten, bei Sammy jedoch das ganze Jahr über Probleme bestanden. Bei der Suche nach Herbstgrasmilben konnte ich keine Milben nachweisen. Sie fallen also als Ursache aus. Für die zytologischen Untersuchungen entnehme ich von der Hautoberfläche mit Tesafilmstreifen oder durch Anpressen von Objektträgern Probenmaterial, das ich sofort färbe und mikroskopiere. Hier zeigt sich folgendes Bild: (Abb. 6). Dies sind Malassezia-Hefepilze. Diese finden sich auch auf der Haut von gesunden Hunden, aber in viel geringerer Anzahl. Sie leben besonders dort, wo es warm und feucht ist: in Körperfalten, in den Gehörgängen und im Zwischenzehenbereich. Bei Sammy hat sich die Haut durch das permanente Knabbern und Lecken verdickt und es haben sich Körperfalten gebildet, wo vorher keine waren. Die Haut wurde feucht, Reizung und Verletzung der Haut durch den Juckreiz ermöglichen den Hefepilzen, in die Haut einzudringen und eine richtige Infektion hervorzurufen, wo sie sonst nur die oberflächlichsten Schichten besiedeln und nicht unbedingt Schaden hervorrufen. Man nennt sie auch fakultativ pathogene Keime, sie machen also nur Hauterkrankungen, wenn sie die Möglichkeit haben, in die Haut einzudringen, ansonsten besiedeln sie die Haut, ohne Schaden anzurichten. Durch sein Knabbern und Lecken hat Sammy Eintrittspfoten geschaffen hat und so den Weg für eine richtige Infektion bereitet. Man nennt diese auch Sekundär- oder auch Folgeinfektionen, sie sind Folge und nicht Ursache. Sie können Juckreiz aufrechterhalten, sind jedoch nicht unbedingt alleinige Ursache.

Behandlung
Zur Behandlung kommen Shampoos oder auch Tabletten zum Einsatz, die gegen diese Hefepilze wirksam sind. Dadurch wird der Juckreiz in vielen Fällen deutlich reduziert. Die normale Behandlungsdauer ist ca. drei Wochen. Dann sollte durch entsprechende zytologische Untersuchungen sichergestellt werden, dass die Hefepilz-Infektion ausgeheilt ist. Erst dann sollte die Behandlung abgeschlossen werden. Was hat den Juckreiz und die Hefepilz-Sekundärinfektion ausgelöst? Dies ist die Frage nach den Ursachen. Wenn man neben der Behandlung der Sekundärinfektion nicht gleichzeitig nach den Ursachen sucht, wird man auf Dauer keine Verbesserung erzielen können. Häufige Ursache ist eine Allergie. Bei Sammy wurde schon eine Diät durchgeführt, die eine Futtermittelallergie als Ursache ausgeschlossen hat. Deshalb habe ich einen Hautallergietest empfohlen, damit durch eine Hyposensibilisierung die Allergie unter Kontrolle gebracht werden kann.

Weiterer Verlauf
Bei der Therapiekontrolle nach drei Wochen hat sich der Juckreiz um 70% reduziert. Die Haut ist nicht mehr so heiß und riecht nicht mehr so stark. Bis sich die Verdickung und die Schwarzverfärbung der Haut zurückgebildet hat, wird es sich sicherlich noch einige Wochen dauern. Der Hautallergietest zeigt viele positive Reaktionen auf Gräser und Hausstaubmilben. Nach einer zweijährigen Immuntherapie war Sammy fast beschwerdefrei. Bei starker Pollenbelastung braucht er ab und zusätzliche Medikamente, aber ansonsten ist er ein fröhlicher Hund mit einem schönen Fell.

Fazit
Infektionen mit Hefepilzen (und Bakterien) sind zumeist Folge- oder Sekundärerkrankungen und nicht die Ursache. Nur wenn man diese Infektionen erkennt und gleichzeitig nach deren Ursachen fahndet, kann man die Hauterkrankung dauerhaft unter Kontrolle bringen.