​Plattenepithelkarzinom am Oberkiefer bei Cocker Spaniel "Timo"

Timos Besitzern war im Herbst letzten Jahres erstmals eitriger Nasenausfluss bei Ihrem elfjährigen Cocker-Spaniel-Rüden aufgefallen. Eine Behandlung mit einem Antibiotikum brachte nur kurzfristig Besserung. Kurze Zeit später bemerkten sie außerdem eine Umfangsvermehrung am rechten Oberkiefer. Ihr Tierarzt vermutete eine entzündete Zahnwurzel, und Timo wurde daraufhin einer Zahnsanierung unterzogen. Der betroffene Backenzahn wurde gezogen und eine kleine Gewebeprobe aus dem veränderten Bereich entnommen und zum Pathologen geschickt. Die eingeleitete patho-histologische Untersuchung ergab dann den Verdacht eines entzündlich überlagerten Plattenepithelkarzinoms des Zahnfleisches.

Zur weiteren Abklärung und zur Beratung wurde Timo Ende November in der onkologischen Sprechstunde der Tierklinik Hofheim vorgestellt. Timo präsentierte sich als aufmerksamer und munterer Hund ohne jegliche Allgemeinbefindensstörung. Die klinische Untersuchung bei uns war bis auf mittelgradig vergrößerte Lymphknoten rechtsseitig am Unterkiefer unauffällig. Am rechten Oberkiefer im Bereich des entfernten Backenzahns war eine Auftreibung des Zahnfleischs zu erkennen, die sich Richtung Gaumen  und Oberlippe ausdehnte. Die restlichen Zähne waren unauffällig.

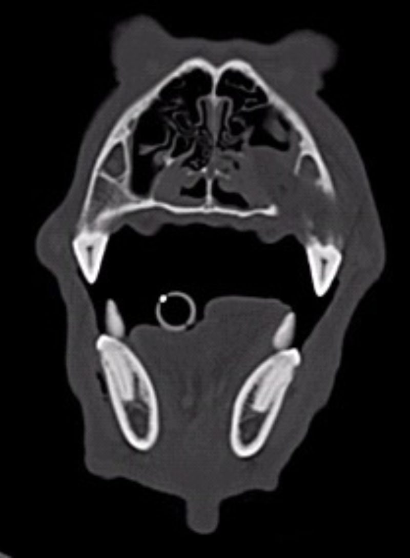
Für eine ausführliche Untersuchung der Maulhöhle sowie eine Computertomographie  (CT) wurde Timo anschließend kurz in Narkose gelegt. Im CT konnte man eine mottenfraßartige Auflösung des Kieferknochens im Bereich der etwa 2,5 cm großen Umfangsvermehrung sowie eine Verbindung zwischen der Schleimhaut der Maulhöhle und der rechten Nasenhöhle erkennen. Die regionären Lymphknoten waren etwas vergrößert. Der Brustkorb sowie das Lungengewebe stellten sich unauffällig dar. Das radiologische Bild der aggressiven Knochenläsion im rechten Oberkiefer mit begleitender Weichteilraumforderung war mit dem vermuteten Plattenepithelkarzinom in Einklang zu bringen.

Plattenepithelkarzinome des Zahnfleischs gehören zu den häufigsten bösartigen Tumoren der Maulhöhle des Hundes. Sie zeigen oft ein äußerst invasives Wachstum. Das bedeutet, dass diese Tumoren in umliegendes Gewebe und Knochen eindringen. Es kann zu einer Auflösung des Knochens, Zahnlockerung und Zahnverlust kommen. Manchmal kann die Zerstörung des Knochens, wie in Timos Fall, auch zu einem Durchbruch in die Nasenhöhle führen. Dies äußerte sich bei Timo in Form von eitrigem Nasenausfluss. Erfreulicherweise metastasieren Plattenepithelkarzinome des Zahnfleischs eher selten bzw. recht spät im Verlauf der Erkrankung. Am ehesten streut dieser Tumor in die Lymphknoten, die Lunge oder selten auch in andere Organe.

Nachdem Timos Lymphknoten mittelgradig vergrößert waren, wurde eine Feinnadelaspiration (Punktion des Lymphknotens mit einer dünnen Kanüle) durchgeführt. Glücklicherweise konnten hier keine bösartigen Zellen nachgewiesen werden. Es war lediglich ein entzündliches Zellbild zu sehen, was als Reaktion des Lymphknotens auf den Tumor bzw. seine Begleitentzündung zu werten ist.  

Aufgrund des invasiven Wachstums ist ein oberflächliches Abtragen des Tumors leider nicht erfolgsversprechend, und es kommt schnell zu einem Wiederauftreten des Tumors. Die Therapie der Wahl stellt daher eine Kieferresektion dar. Hierbei wird der Tumor, sowie der veränderte Kieferknochen großzügig entfernt. Wenn damit eine komplette Entfernung des Plattenepithelkarzinoms erreicht werden kann, ist die Prognose günstig und es kann in vielen Fällen sogar von einer Heilung ausgegangen werden. Alternativ besteht auch die Möglichkeit einer Strahlentherapie, da die Plattenepithelkarzinome der Maul-Schleimhaut gut auf eine Bestrahlung ansprechen. Auch hiermit kann eine lange Überlebenszeit erreicht werden.  Gerade bei inoperablen Tumoren ist dies eine gute Option. Timos Besitzer haben sich nach reiflicher Überlegung und Besprechung im Familienkreis zu einer Kieferresektion entschieden. Hunde tolerieren eine solche in der Regel sehr gut und können nach Abschluss der Wundheilung ein ganz normales Leben - auch mit Kaustangen und Kauspielzeug - führen.

Timo wurde einige Tage später bei uns operiert - der betroffene Kieferknochen inkl. Sicherheitsabstand wurden entfernt. Bereits am Tag nach der Operation wurde der Patient mit Futter in Hackbällchen-Konsistenz angefüttert. Die erste Kontrolle der Nähte war äußerst zufriedenstellend, und Timo konnte so drei Tage nach der Operation bereits wieder entlassen werden. Die Wundheilung schritt schnell voran und auch der eitrige Nasenausfluss ist komplett abgeklungen. Wir wie auch Timos Besitzer waren mit dem Verlauf der Heilung sehr zufrieden. Auch optisch fällt nicht auf, dass ihm ein Stück Oberkiefer fehlt.

Selbstverständlich leiteten wir erneut eine pathohistologische Untersuchung des entfernten Knochenstücks ein. Erfreulicherweise konnten hier tumorfreie Resektionsränder nachgewiesen werden. Das bedeutet, dass der Tumor komplett entfernt worden ist und man bei Timo auf eine vollständige Heilung hoffen darf.