Akute Leistungsschwäche bei Riesenschnauzer „Astor“

Anfang März wurde Riesenschnauzer „Astor“ (männlich, 12 Jahre) bei einem Kollegen in der Tierarztpraxis vorgestellt, da er akut Leistungsschwäche zeigte. In der Praxis konnte der Hund nur mit Unterstützung aufstehen und laufen. Zusätzlich berichtete der Besitzer, dass Astor nur noch mit gutem Zureden fressen mag. Außerdem atmet er in Ruhe und im Schlaf sehr flach und schnell. Die beschriebene Symptomatik ist für den Besitzer relativ plötzlich aufgetreten. Astor zeigte laut Besitzer nie eine blaue Zunge oder fiel komplett zur Seite um.

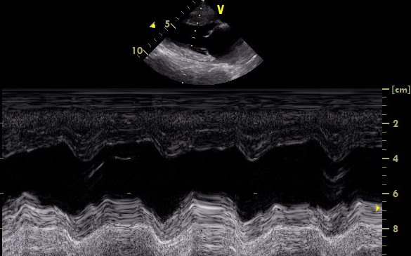
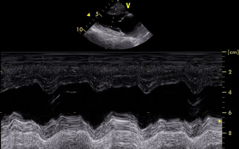
In der klinischen Untersuchung hatte Astor eine rektale Körpertemperatur von 37°Celsius (der Normalwert beim Hund liegt zwischen 38 und 38,5). Die Maulschleimhaut war rosa und feucht, allerdings zeigte sich eine etwas verzögerte kapilläre Füllungszeit von 2-3 Sekunden. Physiologischer Weise liegt diese bei 1-2 Sekunden. Die Herzfrequenz lag bei bis zu 280 Schlägen pro Minute, der Herzrhythmus war unregelmäßig. Ein Herzgeräusch konnte nicht gehört werden. Der Puls war schwach, unregelmäßig mit einem Defizit. Das Abdomen war weich und nicht schmerzhaft. Aufgrund des unregelmäßigen Rhythmus und der viel zu schnellen Herzfrequenz, entschied ich, als nächsten diagnostischen Schritt, ein EKG durchzuführen. Hierfür musste Astor auf der rechten Seite auf dem Boden liegen und die EKG Klemmen wurden an den vier Gliedmaßen befestigt. Diese Untersuchung dauert nur wenige Minuten.

Im EKG zeigte sich eine ventrikuläre Tachykardie mit einer Frequenz von über 300 Schlägen pro Minute (bpm) mit vereinzelten normalen Herzschlägen. Normale Herzfrequenzen bei großen Hunden liegen zwischen ca. 60 und max. 120 Schlägen pro Minute. Bei der ventrikulären Tachykardie handelt es sich um viele aneinander gereihte, ventrikuläre Extrasystolen. Das sind Schläge, die nicht über die normale Reizleitung des Herzens laufen, sondern aus dem Ventrikel, also der Hauptkammer des Herzens stammen und zu früh auftreten. Diese sehen dann im Vergleich zu einem normalen QRS Komplex breiter und bizarr geformt aus. Die Gefahr bei sehr schnellen Extrasystolen besteht darin,  dass sie in die sogenannte vulnerable Phase des vorherigen Schlages treffen und somit Kammerflimmern auslösen können (sogenanntes R auf T Phänomen). Das könnte zum plötzlichen Herztod des Hundes führen. Zusätzlich kommt es durch die vielen schnellen Extraschläge zu keiner normalen Herzfüllung und keinem normalen Herzauswurf mehr und die Folge ist eine Minderdurchblutung, welche schließlich zur gezeigten Schwäche führt.

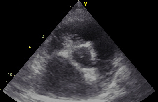
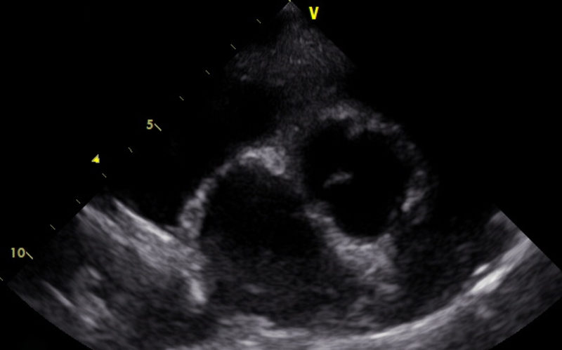
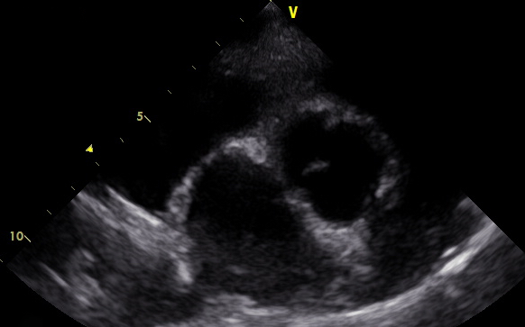
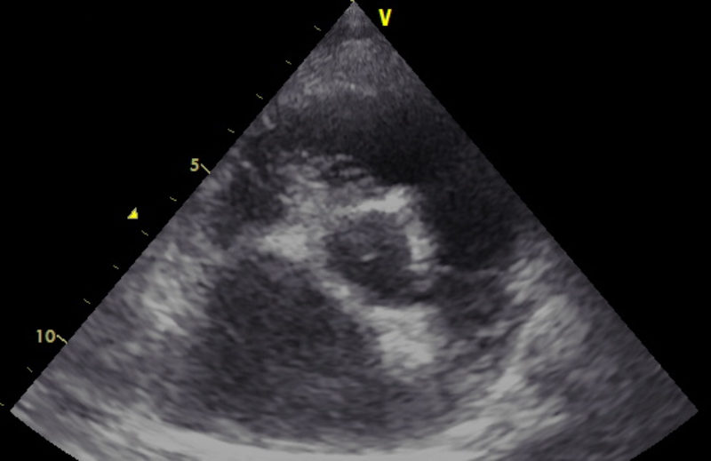
Es gibt verschiedene Ursachen für diese Form der Arrhythmie, welche mit Hilfe einer Echokardiographie weiter abgeklärt werden können. Daher wurde dem Besitzer als nächster diagnostischer Schritt ein Herzultraschall angeraten. Hierfür liegt der Hund auf einem speziellen Tisch und wird in rechter und linker Seitenlage geschallt. Im Herzultraschall zeigte sich in den Phasen, in denen „Astor“ die Rhythmusstörung hatte, eine stark verminderte Pumpleistung des linken Ventrikels mit einem subjektiv vergrößerten linken Herz (Hauptkammer und Vorkammer). Was sich dann auch in den Messwerten bestätigte. In Phasen, in denen der Herzschlag einen normalen Rhythmus hatte, war die Pumpleistung etwas besser, die Messwerte lagen im Graubereich. Der linke Vorhof war leicht vergrößert. Neoplasien oder Veränderungen im Herzmuskel konnten nicht dargestellt werden.

Aufgrund der EKG und Ultraschallbefunde wurde Astor mit verschiedenen Medikamenten behandelt. Da es sich hier um einen sehr kritischen Patienten handelte, der jederzeit hätte versterben können, wurde die Option besprochen, „Astor“ stationär aufzunehmen und  intravenös zu behandeln. Allerdings wollte der Besitzer seinen Hund lieber mit nach Hause nehmen und es mit der oralen Therapie versuchen. Er wurde auf ein Antiarrhythmikum eingestellt, welches über vier Wochen eingeschlichen werden musste. Zusätzlich bekam er ein Medikament, dass die Pumpkraft des Herzens steigert  und wurde anfangs auf niedrig dosierte Entwässerung gesetzt.

Eine EKG-Kontrolle sollte 5-6 Wochen nach Beginn der antiarrythmischen Therapie durchgeführt werden, wenn der volle Wirkspiegel des Medikaments erreicht ist. Eine Ultraschallkontrolle wurde in 3 Monaten angeraten. Hier war es wichtig zu sehen, ob es durch die Arrhythmie zu einem Herzmuskelschaden gekommen ist (Tachykardie induzierte Kardiomyopathie) oder ob die ventrikuläre Tachykardie ein Teil der sogenannten dilatativen Kardiomyopathie ist. Das ist eine häufige Herzerkrankung, die besonders die großen Hunderassen betrifft.

Mit dem Besitzer wurde besprochen, dass die Prognose sehr vorsichtig ist und dass man erst sehen muss, wie gut „Astor“ auf die Therapie anspricht.

Im April wurde „Astor“ zur ersten Kontrolle vorgestellt. Laut Besitzer ging es ihm schon viel besser. In der klinischen Untersuchung hatte er eine regelmäßige Herzfrequenz von ca. 100 Schlägen pro Minute. Im EKG zeigte sich ein normaler Sinusrhythmus mit vereinzelten ventrikulären Extrasystolen. Einzige Auffälligkeit war eine Hypovoltage (zu niedrige R-Zacke), allerdings konnte hierfür keine Ursache gefunden werden.

Ende Mai wurde dann „Astor“ erneut zur Ultraschallkontrolle vorgestellt. Ihm ging es nach wie vor gut. Im Ultraschall zeigte sich eine deutlich verbesserte Pumpfunktion des linken Ventrikels. Alle Messwerte lagen wieder im Referenzbereich. Eine weitere Untersuchung im August zeigte stabile Werte.

Auch neun Monate nach Erstvorstellung bei mir geht es „Astor“ mit entsprechender Therapie gut. Er macht noch seine längeren Spaziergänge, zwar gemächlichen Schrittes, so wie es sich für einen Senioren gehört, aber mit viel Freude.