Aortenstenose bei "Mailow"- Wenn die Hauptschlagader verengt ist.

Ein Herzgeräusch wurde im Rahmen eines Impftermins bei der Allgemeinuntersuchung bei "Mailow", einem Golden Retriever Welpen, im Alter von zehn Wochen festgestellt. Ansonsten war die Untersuchung unauffällig, und Mailow zeigte weder in der Praxis noch zuhause für eine Herzerkrankung sprechende Symptome. Ein Herzgeräusch sollte auch beim Welpen in der Regel durch eine echokardiografische Untersuchung (Herzultraschall) weiter abgeklärt werden. Durch eine solche Untersuchung kann eine eindeutige Diagnose gestellt und so die Prognose und weitere Behandlungsmöglichkeiten mit den Besitzern besprochen werden.

Bei Mailow konnte das systolische Herzgeräusch auf der linken Seite des Brustkorbes im Bereich der Herzbasis am lautesten gehört werden. Als Ursache für ein solches Herzgeräusch kommt neben einer Aortenstenose auch eine Pulmonalstenose (Einengung des Ausflusstraktes der rechten Herzhälfte) in Frage. Im Falle von hochgradigen Aortenstenosen fällt bei der klinischen Untersuchung neben dem Herzgeräusch ein schwacher Puls auf - dies war bei Mailow aber nicht festzustellen.

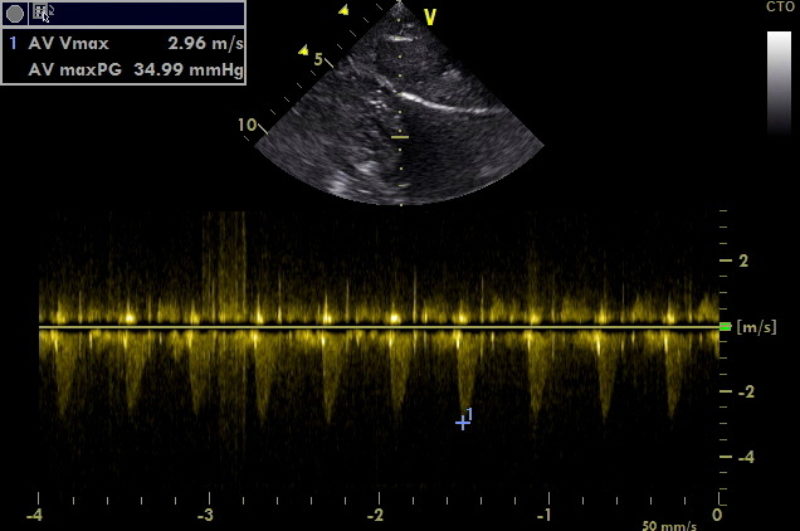
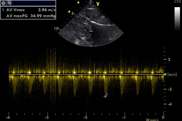
Bei der ersten Herzultraschalluntersuchung war Mailow fünf Monate alt. Dabei wurde im linksventrikulären Ausflusstrakt vor der Aortenklappe eine Einengung festgestellt. Es wurde eine geringgradige Subaortenstenose (SAS) diagnostiziert. Aortenstenosen verschlimmern sich häufig im Laufe des Wachstums, daher sollten auf jeden Fall auch bei anfänglich geringgradigen Befunden Folgekontrollen durchgeführt werden. Mailows Befund blieb relativ stabil. Bei seiner letzten Untersuchung war Mailow fast drei Jahre alt.  Man maß in der Aorta eine maximale Blutflussgeschwindigkeit von 3 m/s (dies entspricht einem Druckgradienten von 36 mmHg). Bei gesunden Hunden ist die Blutflussgeschwindigkeit in der Aorta in der Regel unter 1,8 m/s (entspricht ca. 13 mmHg). Mit Hilfe der Flussgeschwindigkeit beziehungsweise des Druckgradienten kann man den Schweregrad der Aortenstenose einteilen.

Bei Boxern zum Beispiel werden Aortenstenosen anhand des Druckgradienten wie folgt klassifiziert: zwischen 20 und 49 mmHg als leichte Aortenstenose, zwischen 50 und 80 mmHg als mittelschwere Aortenstenose und ab 80 mmHg als schwere Aortenstenose. Analog dazu geht man bei Hunden mit Druckgradienten von weniger als 50 mmHg davon aus, dass sie eine relativ normale Lebenserwartung und keine oder nur geringe Einschränkungen durch ihre SAS haben. Bei Hunden die wiederum einen Druckgradienten von über 125 mmHg haben, ist es sehr wahrscheinlich, dass es zu schwerwiegenden Komplikationen wie einem plötzlichen Herztod kommt.

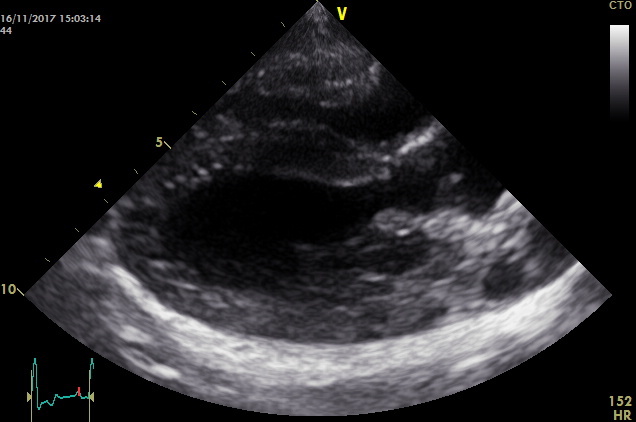
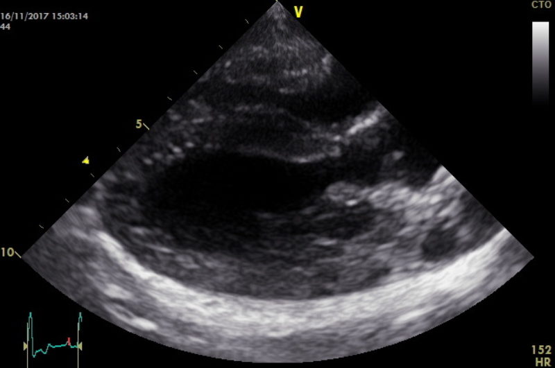
Mailow: geringgradiger Befund

Da es sich bei Mailow lediglich um einen geringgradigen Befund handelt, hat er wahrscheinlich eine ganz normale Lebenserwartung. Er sollte jedoch nicht zur Zucht eingesetzt werden, da man (unter anderem bei Golden Retrievern) von einer Vererbung ausgeht. Bei einer Aortenstenose handelt es sich um eine in der Regel angeborene Einengung der Aorta, die den Ausstrom des Blutes aus der linken Hauptkammer beeinträchtigt. Je nach Lokalisation der Stenose unterscheidet man verschiedene Formen. Wenn die Aortenklappe selbst ursächlich ist spricht man von einer valvulären Aortenstenose. Wenn vor der Aortenklappe, also herznah, eine Einengung auftritt spricht man von einer subvalvulären Aortenstenose (oder Subaortenstenose (SAS)). Sehr selten kann es auch bei Tieren zu einer supravalvulären Aortenstenose kommen, hierbei ist die Verengung nach der Aortenklappe.

Den ersten Verdacht, dass ein Hund betroffen ist, kann man durch eine Auskultation (Abhören) des Herzens stellen. Als Besitzer merkt man den Hunden nicht unbedingt an, dass sie eine angeborene Herzerkrankung haben. Manche der schwer betroffenen Welpen sind kleiner, schwächer und weniger lebhaft als die Wurfgeschwister, andere entwickeln im Laufe Ihres Lebens Symptome wie Leistungsinsuffizienz oder Atemnot. Einige schwer betroffene Hunde haben Synkopen (Ohnmachtsanfälle) oder erleiden einen plötzlichen Herztod. Die SAS gilt als die häufigste angeborene Herzerkrankung bei großen Hunderassen. Zu den prädisponierten Rassen zählen z.B. Golden Retriever, Boxer und Neufundländer, aber auch kleinere Rassen wie Möpse und Bulldoggen können betroffen sein.

Durch die Einengung des Ausflusstraktes der linken Hauptkammer kommt es zur Hypertrophie (Verdickung) des Herzmuskels der linken Kammer. Diese war aufgrund der nur geringgradigen Stenose in Mailows Fall glücklicherweise nur sehr milde.

In schweren Fällen ist der Herzmuskel der linken Kammer massiv verdickt, was sich wiederum negativ auf seine Durchblutung auswirkt und unter anderem zu malignen ventrikulären Extrasystolen (Herzrhythmusstörungen) und Sekundentod führen kann. Durch die veränderten Blutflussgeschwindigkeiten kann es außerdem zu kleinen Läsionen an der Aortenklappe kommen, was das Risiko einer Endokarditis erhöht. Asymptomatische Hunde wie Mailow mit nur geringgradigen Befunden benötigen in der Regel keine Therapie. Bei Hunden mit SAS, die Symptome zeigen und/oder einen höheren Schweregrad haben, wird in den allermeisten Fällen eine, an die Befunde angepasste, medikamentöse Therapie verordnet. Leider gibt es derzeit kein standardmäßig durchgeführtes Operationsverfahren zur erfolgreichen Therapie der Aortenstenose beim Hund. Eine Intervention wird momentan nur in Ausnahmefällen in Betracht gezogen