Leishmaniose beim Hund - eine Krankheit mit vielen Gesichtern

Leishmaniose ist eine Erkrankung mit vielen Gesichtern - es gibt nicht DEN Leishmaniosefall! Der Erreger Leishmania infantum kann zu schweren Hautveränderungen (Entzündungen) führen, lokalen, kaum, bzw. nicht heilenden Wunden, hochgradiger oder auch nur leichter Blutarmut, Gerinnungsstörungen des Bluts (z.B. mit Nasenbluten), Nagelbettentzündungen, schlecht oder gar nicht heilenden Wunden an oder zwischen den Ballen oder der Nase, krustigen, manchmal auch blutenden Ohrrandveränderungen, unspezifischer Lahmheit meist mit leicht oder deutlich geschwollenen Gelenken oder nur geschwollen Gelenken ohne Lahmheit, hochgradigen Fieberschüben, wiederkehrend oder andauernd, Störung der Nierenfunktion bis hin zum Nierenversagen und dem Tod - oder - auch zu keinen Symptomen! Dies waren im übrigen nicht alle Symptome!

Überträger: Sandmücken

Übertragen wird der Erreger „eigentlich“ durch Sandmücken. Diese leben nicht im Sand – sie sind sandfarben und sehr klein, 2-3 mm groß. Hauptflugzeit der Mücken ist von Juli bis September. In dieser Zeit werden nachts die Hunde, die nicht mit entsprechenden Ektoparasitika geschützt sind, bis zu 100x pro Stunde gestochen. Aber auch eine Übertragung der Erreger von der Hündin auf ihre Welpen ist über die Plazenta möglich - sowie eine Übertragung beim Deckakt – vom Rüden auf die Hündin oder umgekehrt. Ebenso können Bluttransfusionen und auch Beißereien den Erreger übertragen - letzteres ist jedoch sehr selten der Fall. Somit muss ein Hund nicht mal im „Mittelmeerraum“ gewesen sein, allein die Eltern können ihm die Infektion „vererben“. Darum müssen auch solche Nachkommen unbedingt untersucht. bzw. getestet werden.

Zur Info: Hier finden Sie eine Karte zur Verbreitung von Reisekrankheiten beim Hund

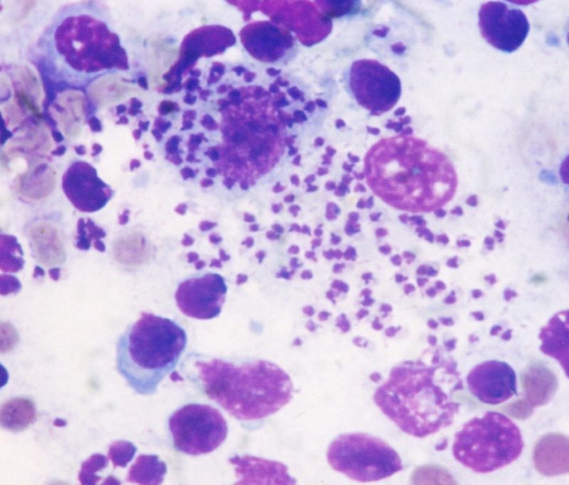
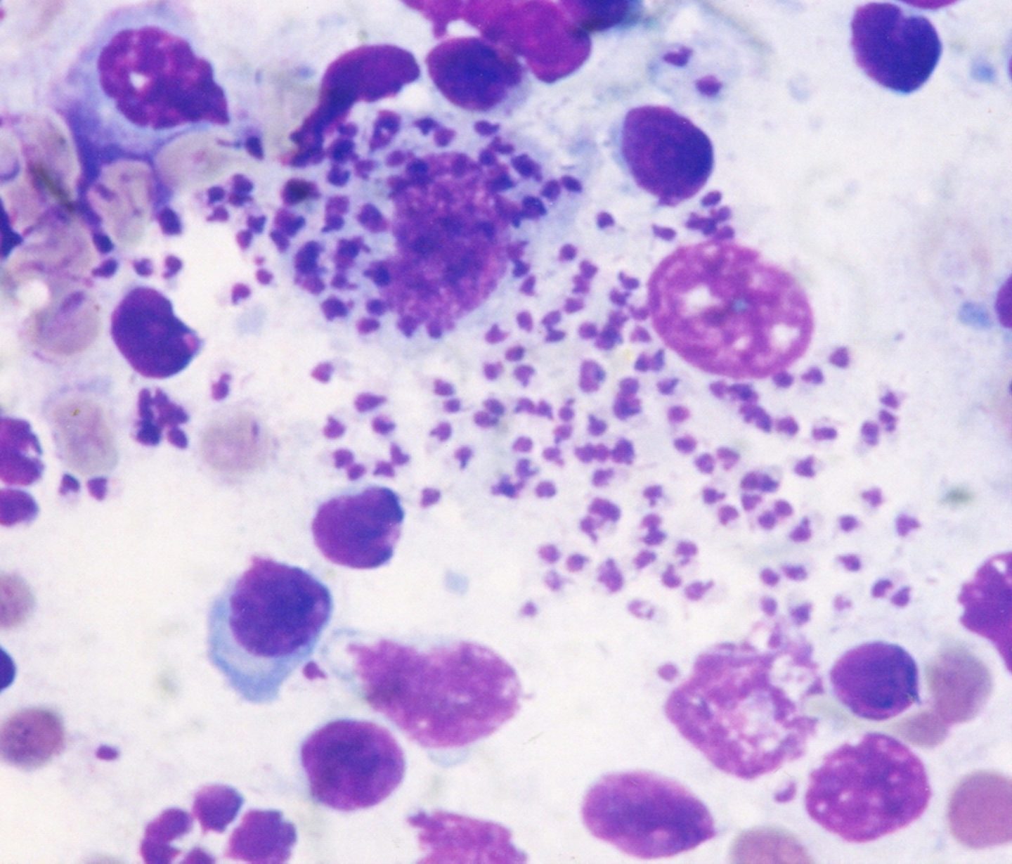
Wie findet man den Erreger?

Routinemäßig durch Blutuntersuchung auf Antikörper, die der Hund gegen den Erreger produziert – diese werden erst Monate, manchmal auch erst Jahre nach der Infektion nachgewiesen (zum Teil weist man den Erreger auch selbst nach). Ein positiver Test auf Antikörper heißt aber nicht, dass der Patient auch wirklich an Leishmaniose erkrankt ist! Er muss Symptome und/oder typische Blutbildveränderungen aufweisen. Ich glaube, es führt zu weit, diese hier alle aufzuzählen. Ebenso auch, dass man selbst ein positives Antikörpertestergebnis manchmal noch hinterfragen muss, denn es gibt Kreuzreaktionen mit anderen Erregern, die zu falsch positiven Ergebnissen führen können. 

Muss ein positiv getesteter Hund immer therapiert werden? Nein – es sei denn, er zeigt Symptome, die auf den „Ausbruch“ der Erkrankung hinweisen oder aber er hat die für die Infektion typisch veränderten Blutwerte, wie z.B. eine Anämie (Blutarmut) oder aber erhöhte Nierenwerte! Ein positives Ergebnis bedeutet aber immer, dass er „jederzeit“ erkranken kann! Nur regelmäßige Blutuntersuchungen können einen Ausbruch frühzeitig erkennen lassen – denn eine Anämie oder auch eine Niereninsuffizient sieht man einem Hund nicht unbedingt zu Beginn an. Eine frühzeitige Therapie verbessert die Prognose – auch wenn die Erkrankung selbst nicht heilbar ist!

Was bedeuten regelmäßige Blutuntersuchungen? In den ersten 1-2 Jahren - nach positiver Diagnose - alle drei Monate (später, wenn stabil, auch bis zu alle 6-12 Monate). Und was soll untersucht werden? Die gesamten Organwerte, großes Blutbild plus Serumelektrophorese, evtl. auch Urinuntersuchungen/UPC und in „größeren“ Abständen auch der Leishmaniose-Titer (IFT) oder -ELISA. Dies alles nur, wenn kein Ausbruch der Erkrankung vorliegt. Sonst muss eine Therapie mit entsprechenden Medikamenten eingeleitet und durch Blutuntersuchungen erneut abgesichert werden! Diese Untersuchungsintervalle sind wirklich nur eine grobe Richtlinie, sie können und müssen von Patient zu Patient angepasst werden!

Erkranken alle Hunderassen gleich häufig/schwer an Leishmaniose? Nein, denn Hunde, die seit Jahrhunderten in Leishmaniosegebieten leben, sind sicher besser angepasst/von der Natur selektiert worden – heißt aber nicht, dass z.B. ein Galgo nicht lebensgefährlich erkranken kann. Allerdings ist seine Prognose sicher besser, als die bei einem Boxer oder einem deutschen Schäferhund, die sich in anderen Klimazonen entwickelt haben.

Leishmaniose ist für den Tierarzt diagnostisch und therapeutische eine Herausforderung und für den Hund eine „tickende Zeitbombe“, die hoffentlich niemals zündet!"

Dr. Martin Borgers, Tierarzt

Wie kann ich meinen Hund vor einer Infektion schützen?

Sollten Sie mit Ihrem Hund in ein Gebiet mit Reisekrankheiten fahren, schützen Sie ihn mit entsprechenden Mitteln – nicht alle Ektoparasitika wirken „gegen“ Sandmücken! Infomieren Sie sich rechtzeitig! Wirksame Substanzen sind z.B. Permetrin und Deltamethrin. Um einen ausreichenden Schutz auch gegen Herzwürmer oder andere Filarien zu haben, bedarf es weitere Wirkstoffe wie z.B. Milbemycinoxim oder Moxidectin. Eine entsprechende Kombination der Medikamente ist wirklich wichtig und notwendig, um einen optimalen und bestmöglichen Schutz zu erzielen! Fragen Sie hierfür bitte Ihren Tierarzt.

Für Hunde, die sich sehr häufig in Gebieten mit Leishmaniose aufhalten sind mittlerweile Impfstoffe gegen diese Erkrankung auf dem Markt. Dennoch sollten auch gegen Leishmaniose geimpfte Hunde trotzdem unbedingt mit Ektoparasitika geschützt werden!

Zusammenfassend möchte ich sagen ...

Sollten Sie einen Hund aus dem Mittelmeerraum aufgenommen haben, lassen Sie ihn nachtesten. War er in seiner Heimat bei Ausreise noch Leishmaniose negativ, so heißt das nicht, dass er nicht doch schon infiziert war oder ist! Und lassen Sie ein Reisekrankheiten-Profil machen, denn es gibt noch weitere Erreger, die in ihm „schlummern“ können! Suchen Sie sich dafür einen Tierarzt, der sich mit Reisekrankheiten auskennt.

Weitere Informationen im Artikel "Von Hund zu Mensch" - Sandmücke macht mächtig Ärger.