​Bandscheibenvorfall beim Hund – wenn’s hinten richtig klemmt!

„Quickstep“, ein acht Jahre alter, kastrierter männlicher Beagle wurde wegen einer akuten Lahmheit der linken Hintergliedmaße und hochgradiger Schmerzsymptomatik in der Sprechstunde vorgestellt. Er konnte nicht mehr aufs Sofa springen, zitterte in der Hinterhand, ließ den Schwanz nur noch hängen, fiel teilweise beim Kotabsatz hin und schrie bei Bewegung spontan auf. Schmerzmittel zeigten nur eine vorübergehende Verbesserung der Symptomatik. Vorerkrankungen des Bewegungsapparates waren nicht bekannt.

„Quickstep“ zeigte bei Vorstellung ein reduziertes Allgemeinbefinden bei unauffälligen Vitalparametern. Er lahmte mittelgradig auf der linken Hintergliedmaße und setzte diese im Stand nicht richtig auf. Die Gelenke waren beim Abtasten unauffällig, und es gab keine Anzeichen auf eine Verletzung. Nach Hinten ziehen der Hinterbeine, Anheben der Rute sowie Druck auf die hintere Lendenwirbelsäule bereiteten ihm sehr große Schmerzen. Die neurologische Untersuchung zeigte nur geringgradige Defizite im Bereich der linken Hintergliedmaße.

Weiterführende Untersuchungen
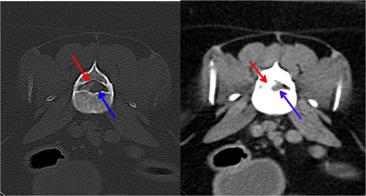
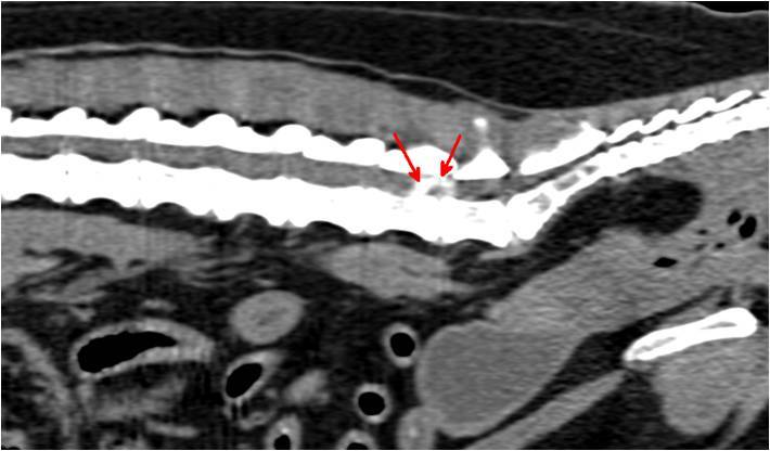
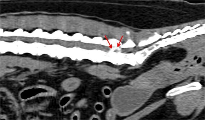
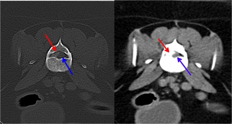
Die vor der Narkose durchgeführte Blutuntersuchung ergab keine Abweichungen von den Normalwerten. Die Röntgenbilder der Knie- und Hüftgelenke waren unauffällig. Bei der seitlichen Aufnahme der Lendenwirbelsäule fiel ein verengter und unruhiger Zwischenwirbelspalt zwischen dem 6. und 7. Lendenwirbel auf (Bild 1). Es wurde der Verdacht auf eine Bandscheibenerkrankung in diesem Bereich geäußert und den Besitzern eine weitere Abklärung mittels Computertomographie empfohlen. In der computertomographischen Untersuchung der Wirbelsäule konnte zwischen dem 6. und 7. Lendenwirbel in den knöchernen Wirbelkanal sowie in das linke Nervenaustrittsloch vorgefallenes Bandscheibenmaterial nachgewiesen werden (Bild 2 und 3). Dieses verursachte eine Kompression des Nervengewebes. Dieser Druck des vorgefallenen Bandscheibenmaterials auf das Nervengewebe war ursächlich für die hochgradige Schmerzhaftigkeit.

„Quicksteps“ Diagnose: Linksseitiger Bandscheibenvorfall zwischen dem 6. und 7. Lendenwirbel
Die Wirbelsäule beim Hund besteht, wie auch beim Menschen, aus einzelnen Wirbeln. Jeder Wirbel besteht aus einem Wirbelkörper und einem Wirbelbogen, in welchem geschützt, das Rückenmark liegt. Der Wirbelbogen trägt verschieden Fortsätze, um einerseits mit den benachbarten Wirbeln Kontakt aufzunehmen und anderseits der Muskulatur oder Sehnen und Bändern Ansatz zu bieten. Zwischen den knöchernen Wirbelkörpern liegen, um eine Bewegung zu ermöglichen, als flexible Strukturen die Bandscheiben. Diese bestehen aus einem äußeren Faserring, dem sogenannten Anulus fibrosus, und einem inneren Gallertkern, dem Nucleus pulposus. Grundsätzlich unterscheidet man, neben Sonderformen, zwei Typen von Bandscheibenvorfällen. Bei beiden Formen kommt es zu einer Degeneration der Bandscheibe. Beim sogenannten Typ-I Vorfall reißt der Anulus fibrosus ein und der Nucleus pulposus fällt in den Rückenmarkskanal vor (Extrusion). Beim Typ-II Vorfall reißt der Faserring nicht vollständig, sondern wird durch den Nucleus pulposus in den Rückenmarkskanal gedrückt (Protrusion). Da das Rückenmark im knöchernen Wirbelkanal liegt, kann es nicht ausweichen und wird komprimiert, also eingeklemmt. Dies verursacht Schmerzen und/oder Ausfälle der Funktion des Nervengewebes in unterschiedlicher Ausprägung bis hin zur Querschnittslähmung. Bandscheibenvorfälle sind die häufigsten neurologischen Erkrankungen beim Hund. Grundsätzlich können alle Hunde von einer Bandscheibenerkrankung betroffen sein. Gehäuft treten sie jedoch bei sogenannten chondrodystrophischen Rassen, wie unter anderem Dackel, Pekinese und Beagle auf. 

Die Behandlung kann entweder konservativ oder chirurgisch erfolgen. 

Die Therapieentscheidung hängt vor allem vom Patienten selbst ab: Die Symptome des Patienten, insbesondere der Grad und die Dauer der neurologischen Ausfälle und dem Ansprechen auf eine eventuell bereits durchgeführte konservative Behandlung. Daneben aber auch von den Möglichkeiten und den Wünschen des Besitzers. Bei der konservativen Behandlung ist die strikte Ruhighaltung über einen Zeitraum von mindestens 3 bis 4 Wochen die wichtigste Maßnahme. Daneben werden unterstützend Medikamente wie Schmerzmittel und muskelentspannende Präparate verabreicht. Diese Methode ist vor allem bei Patienten geeignet, die „nur“ unter Rückenschmerzen leiden. Ziel eines chirurgischen Vorgehens ist es das vorgefallene Bandscheibenmaterial zu entfernen um dadurch das eingeklemmte Rückenmark und die Nervenwurzeln zu entlasten. Hierfür ist eine exakte Diagnostik von entscheidender Bedeutung, dass der Chirurg genau weiß, an welcher Stelle er operieren muss. Dies sind Paradedisziplinen der Computer- und Magnetresonanztomographie.

Zurück zu „Quickstep“. Gemeinsam mit den Besitzern des Hundes wurde die Entscheidung zu einem chirurgischen Vorgehen im unmittelbaren Anschluss an die computertomographische Untersuchung getroffen. Es wurde eine sogenannte Hemilaminektomie durchgeführt (Bild 4). Bei dieser Operationstechnik wird der knöcherne Wirbelkanal halbseitig auf Höhe einer Bandscheibe eröffnet, indem mittels einer Fräse und weiteren speziellen Instrumenten die Anteile des Wirbelbogens und der Zwischenwirbelgelenke entfernt werden. Dadurch bekommt man Zugang zum Rückenmark und dem vorgefallenen Bandscheibenmaterial. Dieses konnte bei „Quickstep“ dadurch entfernt werden und eine Dekompression des Nervengewebes erreicht werden. Ob und wie weit sich dieses erholt mussten nun die nächsten Wochen zeigen. Bei der Entlassung aus der Klinik konnte er selbstständig, auch wenn noch etwas unsicher in der Hinterhand, gehen. Es wurde eine strikte Ruhighaltung über acht Wochen verordnet sowie in den ersten sechs Tagen ein Antibiotikum und für zehn Tage ein Schmerzmittel. 

Zwei Wochen nach der Operation wurde „Quickstep“ zum Fäden ziehen vorgestellt. Die Wunde war gut verheilt, er lief normal, zeigte keine spontanen Schmerzäußerungen mehr und wirkte insgesamt deutlich entspannter. Die geringgradigen neurologischen Defizite der linken Hintergliedmaße bestanden noch, schränkten ihn aber nicht weiter ein.