Mr. President hat Probleme im Maul – mehr Lebensqualität durch eine Zahnoperation

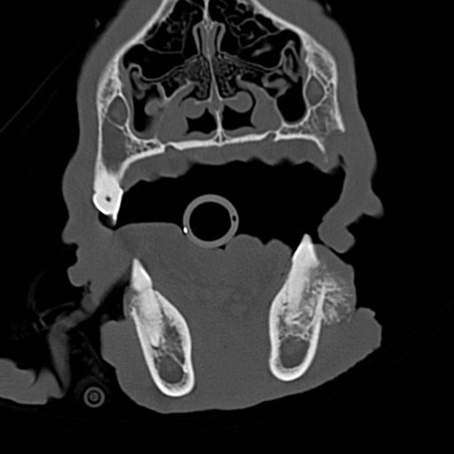
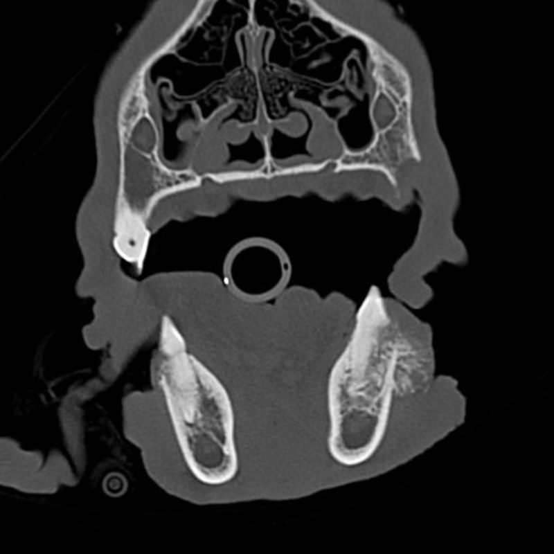
Mr. President, ein elfjähriger Briard, wurde von seiner Besitzerin in unserer Klinik vorgestellt. Der Hund frisst schlecht, und es befindet sich immer wieder Blut in seinem Wassernapf. Eine gründliche Untersuchung des Hundes zeigte eine Wucherung im Unterkiefer, die sich über mehrere Zähne erstreckte. Mr. President hatte zudem Zahnstein und Entzündungen am Zahnfleisch. Eine Röntgenaufnahme sollte nun Klarheit bringen. Um ein aussagekräftiges Röntgenbild erstellen zu können, ist eine Vollnarkose erforderlich. Während dieser Narkose sollte der Zahnstein entfernt und eine Gewebeprobe entnommen werden. Anhand dieser Gewebeprobe kann festgestellt werden, um welche Art von Wucherung es sich handelt. Anhand dieses Befundes wissen wir dann auch, ob es sich um eine gutartige oder eine bösartige Wucherung handelt und können entsprechend behandeln.

Die Gewebewucherung war dunkel pigmentiert und hatte eine blumenkohlartige Struktur. Mehrere Erkrankungen kamen zunächst in Frage. Als gutartige Wucherung kamen acanthomatöse Ameloblastome und sogenannte Epuliden (Zahnfleischwucherungen) in Frage. Die bösartige Variante sind Melanome, Fibrosarkome oder Plattenepithelkarzinome, um nur ein paar wenige zu nennen. Im Verlauf der weiteren Untersuchung unter Narkose zeigte sich, dass ein Zahn im Bereich der Wucherung lose ware. Der Knochen war ebenfalls betroffen. Der Zahn P4 im Oberkiefer biss in die Masse ein. Dies führte zu den Blutungen und war die Ursache für das Blut im Wassernapf von Mr. President. Beide Zähne, der lose Zahn und der, der in die Masse einbiss, wurden entfernt.

Aus unterschiedlichen Bereichen im Maul wurden Gewebeproben entnommen und zu Untersuchung in die Pathologie geschickt. Wenige Tage später erhielten wir das Ergebnis des Labors. Bei der Wucherung handelte es sich um ein acanthomatöses Ameloblastom, einen gutartigen Tumor, der jedoch wie ein bösartiger Tumor in das Gewebe und den Knochen wächst. Er metastasiert (streut) allerdings nicht. Ameloblasten sind Zellen, die bei der Zahnentwicklung entstehen. Der Zahnschmelz wird aus diesen Zellen gebildet. Die Ameloblasten gehen normalerweise beim Zahndurchbruch verloren. Einige der Zellen können jedoch auch im Zahnhalteapparat verbleiben und beim älteren Hund Tumoren entstehen lassen. Diese Tumoren können an unterschiedlichen Stellen im Kiefer auftreten, meistens jedoch im Unterkiefer im Schneidezahnbe reich. Es kann jedoch jeder andere Zahn betroffen sein. Bei Mr. President hat sich der Tumor im Seitenzahnbereich des Unterkiefers gebildet.

Die Heilungsaussichten sind sehr gut, wenn der Tumor vollständig mit dem Zahnhalteapparat entfernt wird. Es ist nicht erforderlich, extrem viel Gewebe um den Tumor herum zu entfernen. Die genauen Operationsgrenzen wurden vor der Operation durch eine Computertomographie bestimmt. Dieses Verfahren lässt die Knochenstruktur sehr gut erkennen. So lässt sich sehr viel genauer als mit einem Röntgenbild beurteilen, wie weit die Veränderung reicht. Der Tumor lässt sich anhand dieses Befundes komplett entfernen.

Nicht jede Wucherung in der Maulhöhle muss bösartig sein, auch wenn es auf den ersten Blick so aussieht.“

Dr. Barbara Möhnle, Tierärztliche Klinik Hanauerland

Die Besitzerin des Patienten legte viel Wert auf die Erhaltung von möglichst viel gesundem Gewebe. Der vordere Bereich mit Eckzahn und Schneidezähnen, zwei Backenzähne und das Kiefergelenk sollten geschont werden. Es wurde eine Teilresektion des Unterkiefers vorgenommen. Das betroffene Gewebe wurde entfernt und in die Pathologie geschickt. Der Befund zeigte, dass sich die Operationsgrenzen im gesunden Gewebe befanden.

Mr. President erholte sich sehr schnell von dem Eingriff. Der Eckzahn, zwei Backenzähne und die Schneidezähne waren nach wie vor vorhanden, so dass er das Maul gut schließen konnte. Der gesunde Kiefer glitt zu Beginn ein wenig zur erkrankten Seite ab und verursachte ein leichtes Klappern. Dies regulierte sich jedoch schnell von selbst. Der Hund hat gelernt, den Kiefer mit der Muskulatur der gesunden Seite mittig zu halten. Der Briard konnte nun nur noch auf einer Seite wirklich kauen. Die Zähne des Oberkiefers waren fast vollständig vorhanden, aber im Unterkiefer fehlte nun der Knochen.

Mit der Unterstützung der Besitzerin wurden anfängliche Schwierigkeiten schnell beseitigt. Der Hund hat sehr schnell gelernt, mit der neuen Situation zurechtzukommen. Er bekam von nun an weiches Futter, das er nicht übermäßig kauen musste. Mr. President hatte nach der Operation keinerlei Probleme und keine Beeinträchtigung der Lebensqualität. Er wurde fünfzehn Jahre alt.