Die geriatrische Katze als Zahnpatient

Die zunehmende Erwartungshaltung unserer Tierbesitzer:innen und der Fortschritt in der Tiermedizin verändert das Berufsbild von Tierärzt:innen in unserer Gesellschaft. Zusätzlich führt ein gesellschaftlicher Wandel zu einer immer engeren Mensch-Tier Beziehung. Die Katze wird zum Familienmitglied und entsprechend wird sie emotional eingebunden. Die enge Verbundenheit von Tierbesitzer:innen unterstützt zwar einerseits den Einsatz anspruchsvoller Tiermedizin, andererseits setzt sie uns Tierärzt:innen auch unter einen immensen psychischen Druck. Wir sind dann im schlechtesten Fall nicht nur wie in früheren Zeiten, einer negativen Mundpropaganda ausgesetzt, sondern haben es mit hochemotionalen Ausbrüchen in den sozialen Medien zu tun. Dies mag einer der Gründe sein, warum wir so zahlreich unversorgte ältere Zahnpatienten in der täglichen Praxis sehen. Durch die hohe Prävalenz von Maulhöhlenerkrankungen bei älter werdenden Katzen kommen neue Herausforderungen auf uns zu, nämlich die beste Versorgung einer Erkrankung unter erschwerten Bedingungen.

Narkosemanagement

Da eine Zahnsanierung beim geriatrischen Patienten optimales Narkosemanagement voraussetzt, sollte hier ein geschultes Team eben diesen Herausforderungen gewachsen sein. Besteht diese Möglichkeit nicht, darf das nicht dazu führen, dass Patienten leiden, sondern dann muss die Konsequenz die Übermittlung an ein vertrauenswürdiges Spezialisten-Team sein. Nach dem Eingriff muss der Patient dann natürlich wieder an die Ursprungspraxis rücküberwiesen werden. Selbstverständlich muss zunächst größte Aufmerksamkeit auf die Evaluation der Narkosefähigkeit unserer Patienten gelegt werden - eine Behandlung um jeden Preis ist abzulehnen.

Eine sporadisch von Besitzer:innen beobachtete plötzlich aufgetretene Inappetenz - auch wenn sie von oralen Entzündungszeichen begleitet sein mag - hat häufig andere Gründe und ist somit unter Umständen irreführend. Der weitgehende Ausschluss anderer Krankheitsursachen muss durch eine eingehende Voruntersuchung mit entsprechenden Blutparametern gewährleistet sein.

Qualifikation zur Fachtierärzt:in für Tierzahnheilkunde

Eine wichtige Voraussetzung für eine professionelle Zahnsanierung ist fachliche Kompetenz durch die konsequente Schulung von Tierärzt:innen und tiermedizinischen Fachangestellten. Eine zuverlässige Diagnosestellung erfordert viel Übung und eine ernsthafte Auseinandersetzung mit dem Fachgebiet der Zahnheilkunde. Diese Fachrichtung hat in den letzten Jahren einen unbestrittenen Boom erlebt. Die Deutsche Gesellschaft für Tierzahnheilkunde (DGT) zählt mittlerweile mehr als 350 Mitglieder. Die Tatsache, dass die Zahnmedizin an den Tiermedizinischen Fakultäten der USA zu den Kern Fachrichtungen der Ausbildung avancierte, überrascht daher wenig. Es ist zu hoffen, dass auch in Deutschland einerseits die Universitäten entsprechend reagieren und andererseits Landestierärztekammern der überfälligen Einführung der Qualifikation zur Fachtierärzt:in für Tierzahnheilkunde nachkommen. Diese Qualifikationsmöglichkeit würde junge Kolleg:innen motivieren, den Qualitätsstandard und damit das Ansehen unseres Berufsstandes erhöhen und somit unseren Patienten nützen.

Letzten Endes gehört eine erfolgreich durchgeführte professionelle Zahnsanierung beim geriatrischen Patienten zu den befriedigendsten Augenblicken unseres Berufes. Eine Katze, die den Besitzer:innen trotz ihres hohen Alters nach einer Zahnbehandlung „wie neu geboren“ erscheint, ist doch genau der Grund, warum unser Beruf so erfüllend sein kann.

Dr. Lorenz Schmid, Oberhaching

Die Zeiten, in denen eine Tiermedizinische Fachangestellte für die Zahnbehandlung abgestellt wurde, sollte in einer modernen Praxis längst der Vergangenheit angehören. Nicht zuletzt gehen solche Praxen ein hohes Risiko ein, im Zweifel juristisch belangt zu werden. Die fachliche Kompetenz von Tierärzt:innen Probleme in der Maulhöhle frühzeitig zu erkennen, spielt eine entscheidende Rolle. Es ist wichtig, Diagnosen im Anfangsstadium zu erkennen, egal ob es sich um eine entzündliche Veränderung oder eine vermeintlich kleine Umfangsvermehrung handelt. Ein diesbezügliches Versäumnis nehmen uns Tierbesitzer:innen zunehmend und zurecht übel. Andererseits tun wir uns schwer damit, wenn eine fundierte Diagnose von Kolleg:innen oder Züchter:innen in Frage gestellt wird.

Compliance

Die Compliance der Tierbesitzer:innen spielt in der Zahnheilkunde eine ganz besondere Rolle. Zahnpatienten müssen regelmäßig vorgestellt werden. In einigen Fällen empfiehlt sich eine mehrfache Nachuntersuchung im Jahr. Der jährliche Zahncheck sollte Teil des Praxismanagements werden, da eine nachlassende Impfbereitschaft unter anderem zu weniger Besuchen in der Praxis führen kann.

Tierkrankenversicherungen

Eine hochwertige Tiermedizin wird ihren Preis haben. Sowohl die Weiterbildung als auch die moderne Praxisausstattung stellt für uns Tierärzt:innrn eine notwendige Herausforderung dar und muss daher entsprechend honoriert werden. Dem kommt entgegen, dass eine steigende Anzahl von Tierkrankenversicherungsanbietern mit zunehmender Transparenz auf den Markt drängt. Die immanente Belastung, aus finanziellen Gründen nicht die beste Versorgung gewährleisten zu können, kann dem Behandler:innen damit zumindest teilweise abgenommen werden.

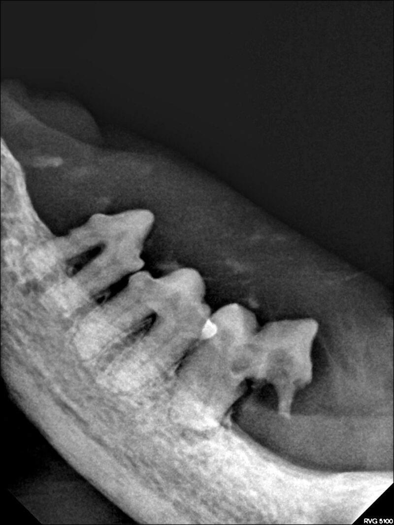
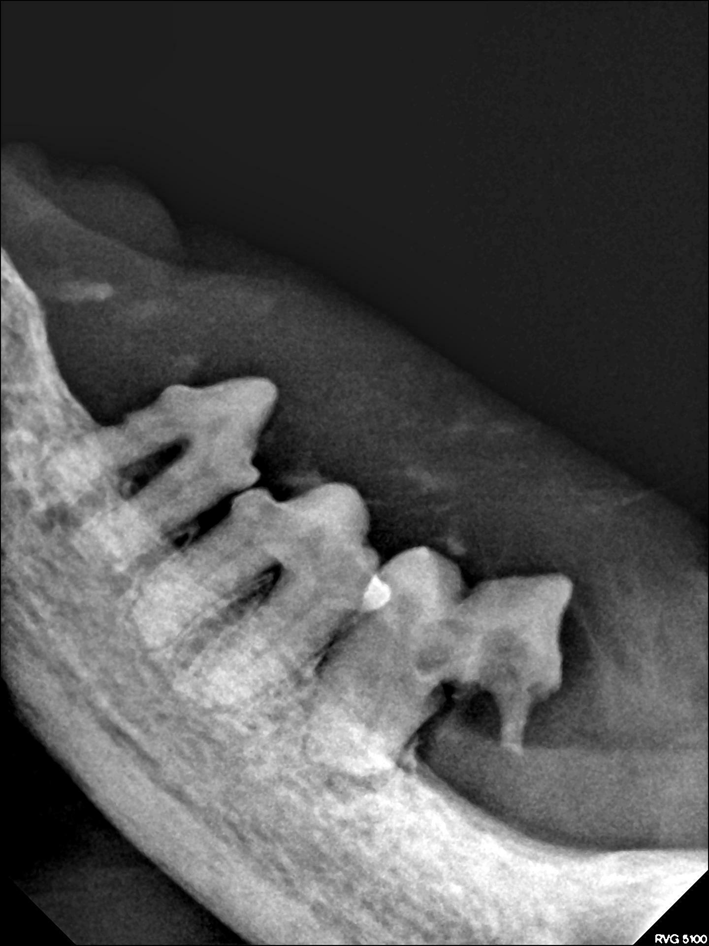
Die tägliche Erfahrung hilft uns dann, die richtigen Entscheidungen zu treffen. Zweifelsohne ist bei der Katze die komplette Dentalröntgenuntersuchung unverzichtbarer Teil einer fundierten Diagnosestellung geworden.

Ein Zahn mit einem grenzwertigen Befund wird beim geriatrischen Patienten möglicherweise eher gezogen als erhalten. Andererseits wird man sich beim älteren und beim Risikopatienten für eine möglichst unkomplizierte Vorgehensweise entscheiden. Sehr umfangreiche Operationen sollten im Interesse des Patienten möglicherweise auf mehrere Termine aufgeteilt werden. Somit ist ein besonderes Augenmerk auf ein gutes Zeitmanagement zu richten.

Take Home Message

Letzten Endes gehört eine erfolgreich durchgeführte professionelle Zahnsanierung beim geriatrischen Patienten zu den befriedigendsten Augenblicken unseres Berufes. Eine Katze, die den Besitzer:innen trotz ihres hohen Alters nach einer Zahnbehandlung „wie neu geboren“ erscheint, ist doch genau der Grund, warum unser Beruf so erfüllend sein kann.