VetStage Fallbeispiel des Monats: Toxoplasmose bei einer allergischen Katze unter Cyclosporin-Therapie

Ein spannender ophthalmologischer Fall aus dem AniCura Kleintierzentrum Weingarten von Dr. Cristina Popa, GPCert Dermatologie.

In diesem Fallbericht wird der Verlauf einer achtjährigen Freigängerkatze vorgestellt, die aufgrund einer Atopie über einen längeren Zeitraum mit Cyclosporin behandelt wurde. Während der Therapie zeigte sie plötzlich hochgradige Symptome einer systemischen Toxoplasmose. Dieser Fall eröffnet die Diskussion über Herausforderungen bei der Diagnose und Behandlung von Toxoplasmose in einer immunsuppressiven Patientengruppe.

Symptome

Die Katze wurde in die tierärztliche Notfallpraxis gebracht, nachdem dem Besitzer eine deutliche Verschlechterung des Gesundheitszustandes aufgefallen war. Die Katze hatte in den letzten drei Tagen schwerwiegende Symptome wie Dyspnoe, Anorexie und Fieber entwickelt. Zudem verweigerte die Katze die Nahrungsaufnahme und hatte deutlich an Gewicht verloren. Bei der klinischen Untersuchung wies die Katze eine Körpertemperatur von 40,4 °C und blasse Schleimhäute auf. Aufgrund einer Atopie wurde die Katze seit ca. 1 Jahr kontinuierlich mit Cyclosporin behandelt. In der Anamnese wurde erwähnt, dass die Katze regelmäßigen Kontakt zu anderen Freigängerkatzen hatte, jedoch keine neuen Tiere in der Umgebung waren.

Diagnostik

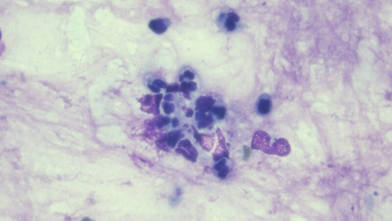
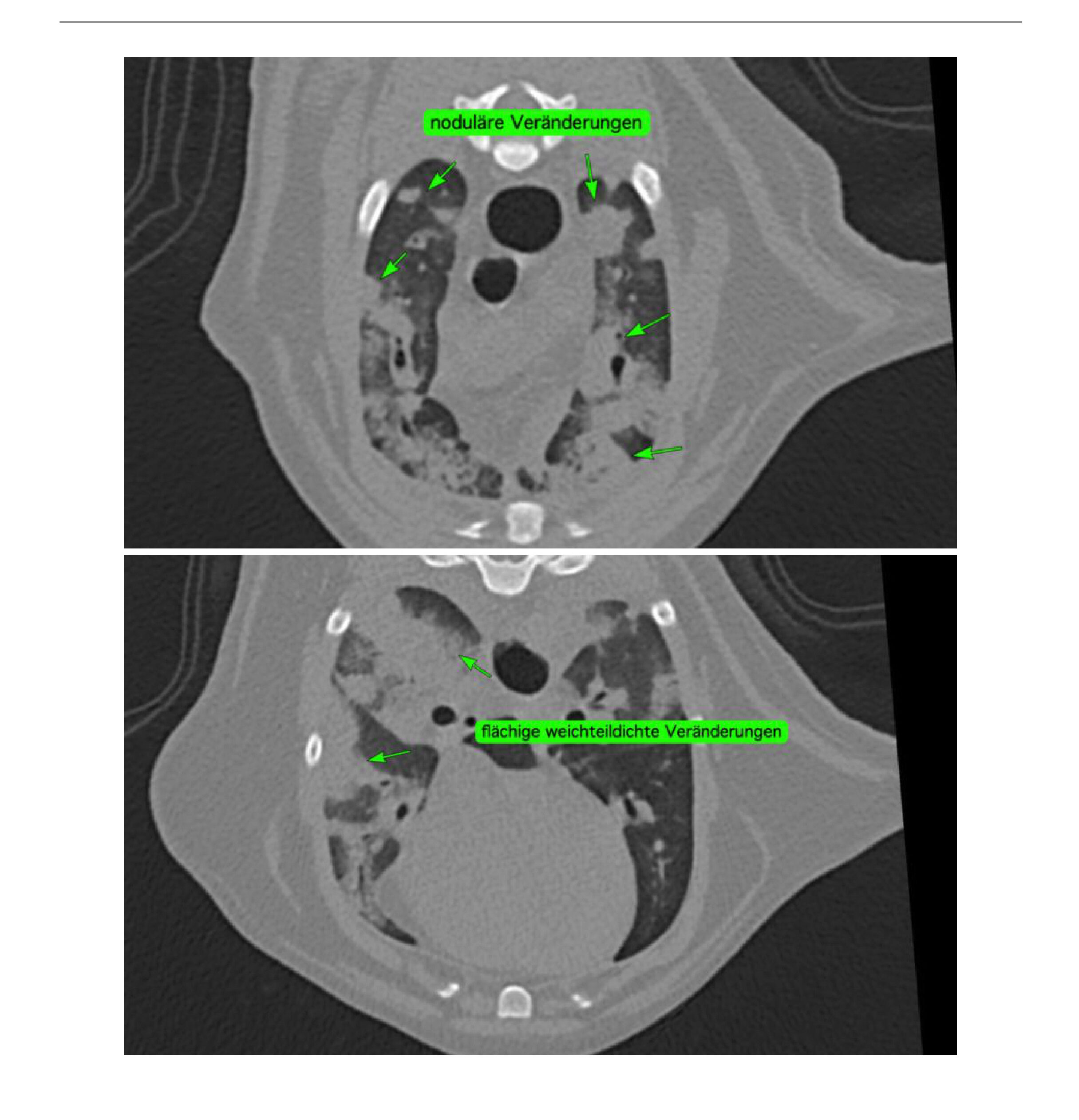
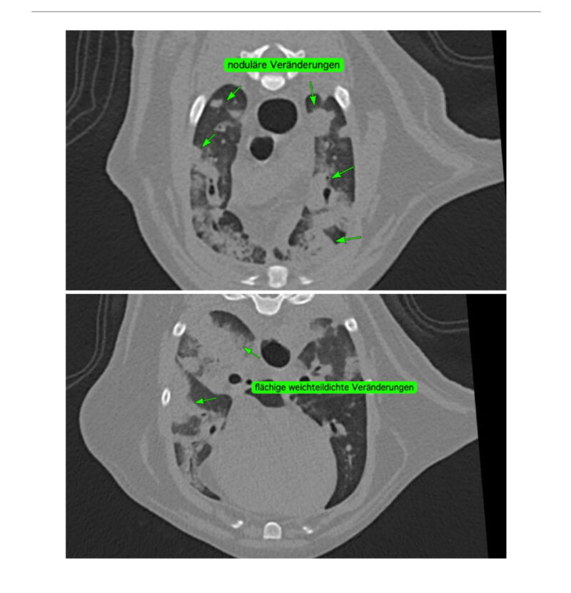
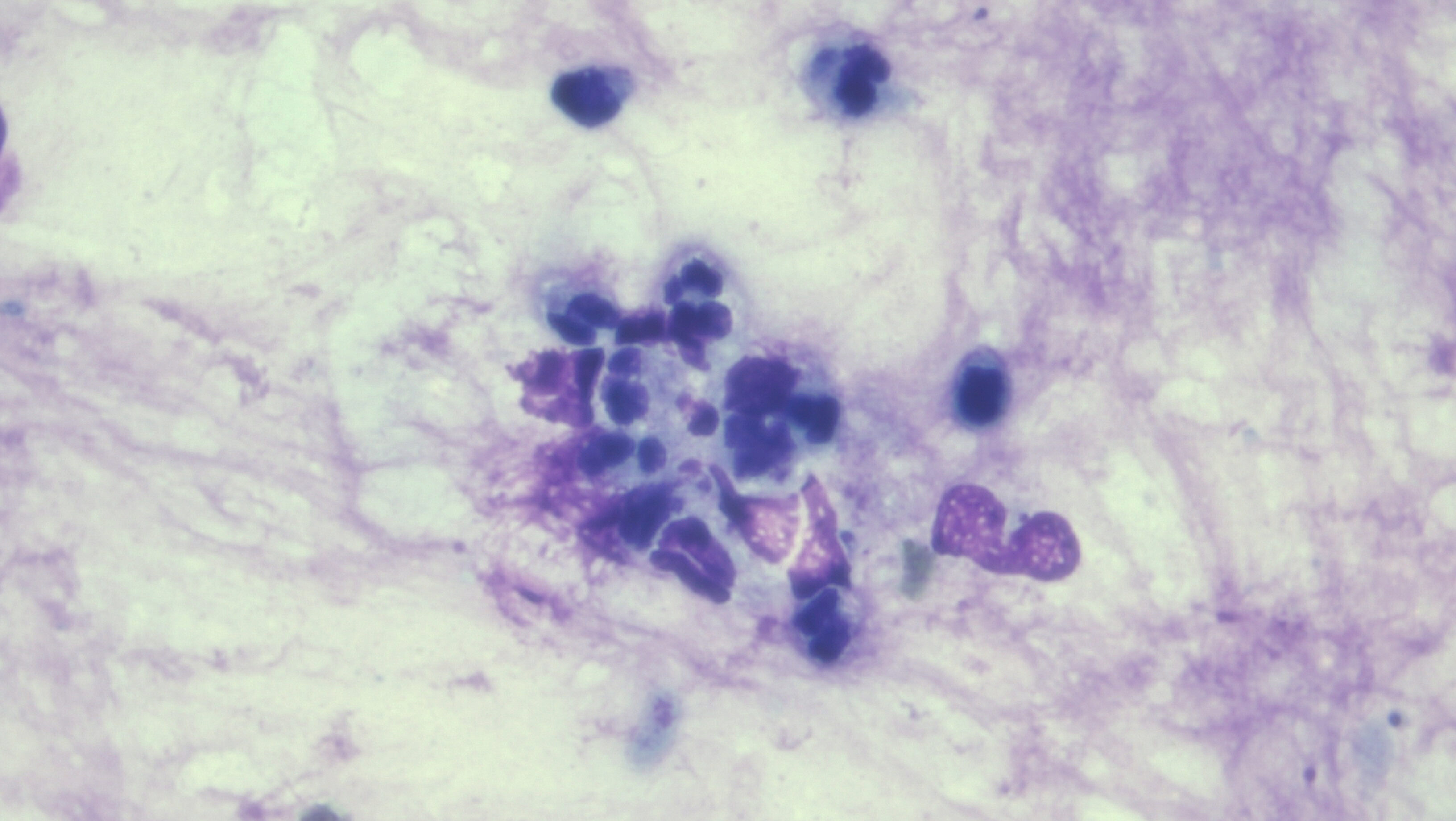
Die initiale Blutuntersuchung ergab eine Leukopenie und erhöhte Leberwerte. Diese Befunde ließen eine systemischen Infektion vermuten, wobei insbesondere eine Toxoplasmose in Betracht gezogen wurde. Ein serologischer Test auf Toxoplasma gondii wurde am selben Tag eingeleitet, um die Verdachtsdiagnose zu bestätigen. Zusätzlich wurde ein Röntgenbild des Thorax angefertigt, das eine beidseitige pulmonale Infiltration und perihiläre Verdichtungen aufzeigte. Die serologischen Resultate waren positiv und bestätigten das Vorhandensein von Antikörpern gegen Toxoplasma gondii. Im Gesamtkontext wurde daher der Verdacht auf eine Toxoplasmose erhärtet, die aufgrund der Immunsuppression der Katze und Kontakt zu potentiellen Überträgertieren begünstigt wurde.

Therapie, Verlauf und Outcome

Zunächst erhielt die Katze Amoxicillin-Clavulansäure. Da sich darunter keine Verbesserung der Symptome einstellte, wurde die Katze auf Clindamycin umgestellt. Obwohl initial leichte Verbesserungen wie eine normale Körpertemperatur und eine niedrigere Atemfrequenz festgestellt werden konnte, verschlechterte sich der Zustand der Katze zunehmend. Sie zeigte starke Atemnot, war apathisch und anorektisch. Auch das Fieber stieg weiter an. Die Katze wurde aufgrund der schlechten Prognose und Therapieansprache schlussendlich euthanasiert. Der Fall führt die Herausforderungen im Umgang mit Toxoplasmose bei immunsuppressiven Katzen vor Augen und unterstreicht die Bedeutung einer zeitnahen und präzisen Diagnose sowie der Wahl der geeigneten therapeutischen Strategie.

Take Home Message

Immunsuppressive Therapien wie Cyclosporin können bei Katzen latente Infektionen reaktivieren und schwere, systemische Verläufe begünstigen. Bei akut erkrankten, immunsupprimierten Katzen sollte Toxoplasmose früh mitgedacht und gezielt abgeklärt werden, um wertvolle Zeit für die Therapie zu gewinnen.

Immunsuppressive Therapien wie Cyclosporin können bei Katzen latente Infektionen reaktivieren und schwere, systemische Verläufe begünstigen."

Dr. Cristina Popa, AniCura Kleintierzentrum Weingarten

Quiz

Welche Risikofaktoren können die Entwicklung einer systemischen Toxoplasmose bei Katzen begünstigen?

  • a) Rohfleischfütterung
  • b) Immunsuppression durch Medikamente wie Cyclosporin
  • c) Kontakt mit infektiösen Beutetieren
  • d) alle genannten

Welcher Labor- und Bildgebungsbefund spricht am ehesten für eine systemische Toxoplasmose bei der Katze?

  • a) Erhöhte Nierenwerte, normales Röntgen
  • b) Normales Labor, knochendichte Infiltrate in der Muskulatur
  • c) Leukopenie, pulmonale Infiltrate im Röntgen
  • d) Hyperthyreose, Gasansammlung im Abdomen

Welche Überlegung ist bei der Behandlung von Toxoplasmose unter bestehender Cyclosporin-Therapie besonders wichtig?

  • a) Cyclosporin erhöhen zur Stabilisierung des Immunsystems
  • b) Clindamycin nur bei bakterieller Sekundärinfektion einsetzen
  • c) Nutzen-Risiko-Abwägung der Immunsuppression und ggf. Reduktiuon/Absetzen
  • d) Behandlung primär mit Penicillin

    Die Auflösung und noch mehr Bilder findest du hier: www.vetstage.de/beitrag/2630. Noch mehr Beiträge und spannende Fälle findest du unter www.vetstage.de/profile/akademie#specialists