Diagnostik von Nierenerkrankungen bei der Katze

Chronische Nierenerkrankung (CKD) und akute Nierenschädigung (AKI) gehören zu den häufigsten internistischen Problemen bei älteren Katzen. Die Herausforderung in der Praxis ist weniger die Interpretation des einzelnen Laborwertes als die korrekte Einordnung im klinischen Kontext für das weitere Vorgehen. Im Folgenden soll kurz auf die wichtigsten Bausteine der Diagnostik bei der Katze eingegangen werden, orientiert an den Empfehlungen der IRIS (International Renal Interest Society), einem unabhängigen, international besetzten Expertengremium, das evidenzbasierte Richtlinien zum Staging, zur Diagnostik und zur Therapie von Nierenerkrankungen bei Hund und Katze veröffentlicht. IRIS empfiehlt, Diagnosen und Staging möglichst am stabilen Patienten zu stellen und Befunde zu wiederholen, bevor therapeutische Entscheidungen getroffen werden.

Anamnese und Untersuchung

Katzen, v. a. im Anfangsstadium einer CKD, zeigen meist nur unspezifische oder milde Symptome: Polyurie und Polydipsie, Gewichtsverlust, mäßige Inappetenz, gelegentlich Erbrechen oder Obstipation. Bei der Allgemeinuntersuchung sollte besonders auf den Allgemeinzustand inkl. Hydratationszustand und Muskelmasse, die Schleimhäute (Ulzera) sowie einen urämischen Geruch geachtet werden. Teilweise können auch Veränderungen der Nieren palpatorisch auffallen. Dabei sprechen kleine, feste Nieren eher für eine CKD, während vergrößerte oder schmerzhafte Organe bei AKI oder postrenalen Problemen vorkommen können.

Diagnostik

Die Urinanalyse liefert bereits in sehr frühen Stadien der Erkrankung Hinweise, wenn sich die Nierenfunktion verschlechtert. Die Harngewinnung per Zystozentese ist in der Regel die beste Wahl, da daraus auch eine bakterielle Kultur angelegt werden kann. Die harnspezifische Dichte (USG) gibt einen ersten Hinweis auf die Konzentrationsleistung der Niere: Ein Wert ≥ 1,035 macht eine renale Azotämie bei gleichzeitiger Kreatininerhöhung und inaktivem Sediment weniger wahrscheinlich, während eine wiederholt inadäquate Konzentration (häufig < 1,035) den Verdacht auf eine CKD stützt. Einzelwerte sind störanfällig; am sinnvollsten ist eine Verlaufsbeurteilung anhand von mindestens zwei (besser drei) Proben, idealerweise vor Infusionen.

Das Sediment hilft, Harnwegsinfekte, Entzündungen oder Kristalle zu erkennen. Bei verdächtigen Befunden sollte eine bakteriologische Kultur angelegt werden. Ob eine Proteinurie vorliegt, kann nur im Urin mit inaktivem Sediment beurteilt werden. Für die IRIS-Subklassifikation ist der Urin-Protein/Kreatinin-Quotient (UPC) entscheidend. Bei Katzen gilt: < 0,2 nicht proteinurisch, 0,2–0,4 grenzwertig, > 0,4 proteinurisch.

Kreatinin ist der klassische Marker für eine verminderte glomeruläre Filtrationsrate (GFR), hängt jedoch auch von der Muskelmasse ab. Das bedeutet: Bei Katzen mit reduzierter Muskelmasse kann das Kreatinin trotz eingeschränkter GFR normal bis niedrig sein. Hier hilft SDMA (symmetrisches Dimethylarginin) als ergänzender Marker; SDMA steigt bei abnehmender GFR früher an und ist weniger von der Muskelmasse beeinflusst. In der Praxis bewährt sich die Kombination: Ein moderat erhöhtes SDMA bei noch normalem Kreatinin kann eine beginnende CKD anzeigen und Anlass sein, Urin, Blutdruck und UPC sorgfältig zu prüfen und/oder die Werte nach einigen Wochen zu kontrollieren.

Zusätzlich gehören Harnstoff, Phosphat, Kalium und Calcium in das Basisprofil; ein Blutbild liefert Hinweise auf eine nicht regenerative Anämie bei fortgeschrittener CKD. Bei Katzen ab dem mittleren Alter sollte das Gesamt-T4 mitbestimmt werden, da eine Hyperthyreose eine Niereninsuffizienz maskieren kann.

Ein neuerer Marker ist FGF-23, ein von Osteozyten gebildetes, phosphaturisches Hormon, das die renale Phosphatausscheidung steigert und über die Suppression von 1,25-(OH)₂-Vitamin-D in den Mineralhaushalt eingreift. Bei Katzen mit CKD steigt FGF-23 häufig früh – teils vor der Hyperphosphatämie – an und ist in Studien mit einer schnelleren Progression und ungünstigerem Überleben assoziiert; damit kann er perspektivisch eine ergänzende Rolle in der Diagnostik spielen.

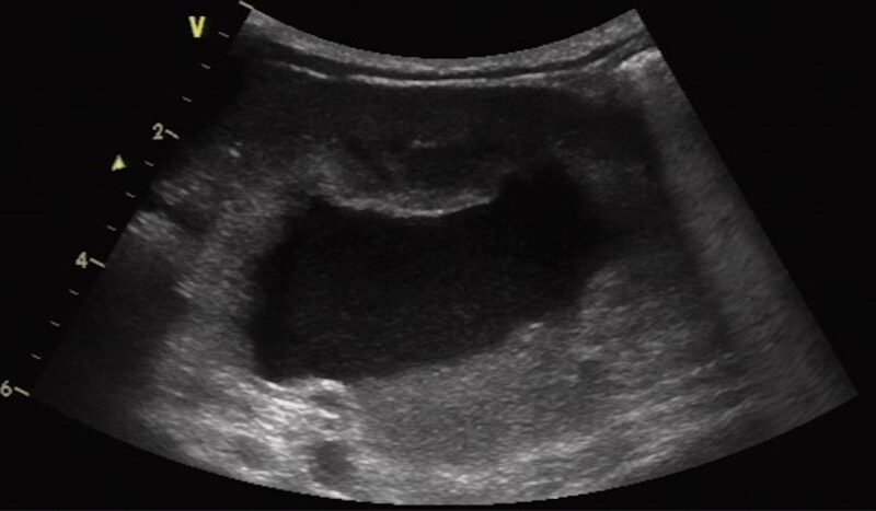
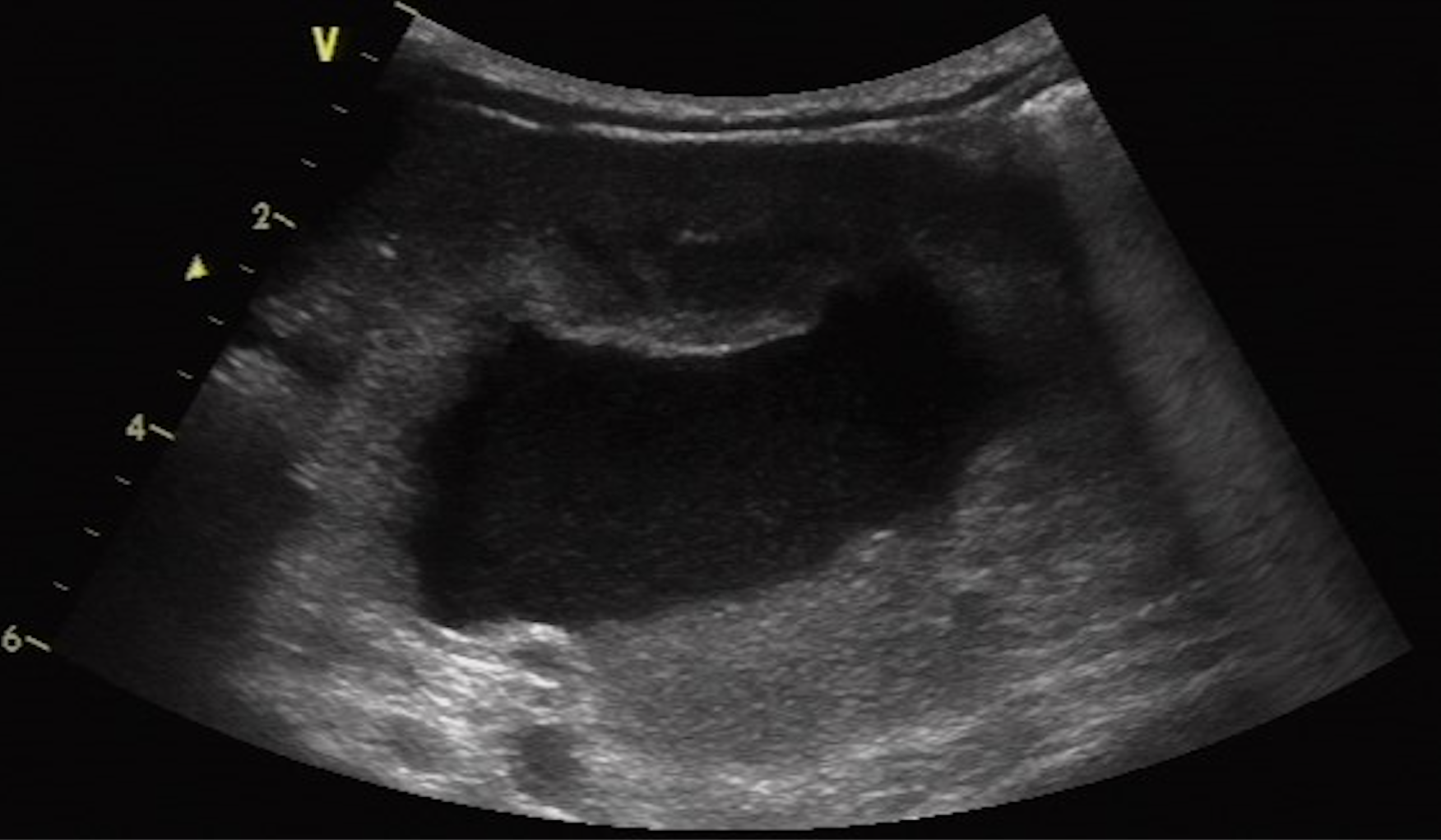
Die Sonographie ist die Methode der Wahl, um CKD-typische Veränderungen (kleinere, unregelmäßige, oft hyperechogene Nieren) zu erkennen, postrenale Ursachen (Pyelektasie, Harnleiterdilatation, Harnblasensteine) auszuschließen und Begleitbefunde zu dokumentieren. Röntgen kann ergänzend eingesetzt werden, z. B. wenn Mineralisationen oder Nephrolithen vermutet werden.

Eine Nierenbiopsie oder Feinnadelaspiration (FNA) ist selten erforderlich und nur sinnvoll, wenn das Ergebnis die Therapie tatsächlich verändern würde (z. B. bei Verdacht auf eine primär glomeruläre Erkrankung oder Amyloidose).

IRIS-Staging

Das IRIS-Staging teilt die CKD vor allem anhand des Kreatinins (und unterstützend SDMA) in vier Stadien ein. Wichtig ist, dass das Staging an einem stabilen Patienten erfolgt, idealerweise mit mindestens zwei übereinstimmenden Messungen. Zeigt sich eine Diskrepanz – z. B. Kreatinin weist auf Stadium 2, SDMA auf Stadium 3 –, orientiert man sich im Zweifel am höheren Stadium, sofern die Erhöhung persistiert und prä- oder postrenale Einflüsse ausgeschlossen sind. Für das Substaging kommen Proteinurie (UPC) und der systolische Blutdruck hinzu. Die Kombination aus Stadium, Proteinuriegrad und Blutdruck liefert eine robuste Einschätzung von Prognose und Behandlungsbedarf.

Eine AKI kann wie eine dekompensierte CKD erscheinen – und umgekehrt. Der Verlauf ist hier entscheidend für die Einschätzung. Bei einer prärenalen Azotämie durch Dehydratation oder bei einer postrenalen Obstruktion verbessern sich die Werte z. B. nach Rehydratation bzw. Entfernung der Blockade häufig innerhalb von 24–48 Stunden. Bleibt das Kreatinin trotz adäquater Flüssigkeitstherapie erhöht und ist das USG inadäquat, spricht dies für eine renale Ursache.

Screening

Bei Katzen ab 7–8 Jahren empfiehlt sich ein jährliches, ab 11–12 Jahren ein halbjährliches Screening bestehend aus Anamnese, Untersuchung, USG/Sediment, Kreatinin, SDMA, Phosphat und Blutdruck; bei Auffälligkeiten kommt der UPC hinzu. Proteinurie ist ein negativer Prognosefaktor – auch ein grenzwertiger UPC (0,2–0,4) sollte ernst genommen und engmaschig überwacht werden.

Take-Home-Message

Zuverlässige Nierendiagnostik bei der Katze gelingt, wenn Urin (USG/Sediment/UPC), Serum (Kreatinin + SDMA), Blutdruck und Sonographie systematisch kombiniert und Befunde am stabilen Patienten bestätigt werden. Besonders wichtig ist zudem das routinemäßige Screening, um Nierenerkrankungen frühzeitig zu erkennen und anschließend leitliniengerecht nach den IRIS-Empfehlungen zu behandeln.

Literatur

  • Acierno MJ, Brown S, Coleman AE, Jepson RE, Papich M, Stepien RL, Syme HM. ACVIM consensus statement: Guidelines for the identification, evaluation, and management of systemic hypertension in dogs and cats. J Vet Intern Med. 2018 Nov;32(6):1803–1822.

  • Elliott J, Tang PK. Fibroblast growth factor 23 – A review with particular reference to the physiology and pathophysiology of phosphate homeostasis in the cat. Vet J. 2025 Feb;309:106271.

  • Hall JA, Yerramilli M, Obare E, Jewell DE. Comparison of serum concentrations of symmetric dimethylarginine and creatinine as kidney function biomarkers in cats with chronic kidney disease. J Vet Intern Med. 2014 Nov–Dec;28(6):1676–1683.

  • International Renal Interest Society (IRIS). Staging of Chronic Kidney Disease in Cats.

  • Segev G, Cortellini S, Foster JD, Francey T, Langston C, Londoño L, Schweighauser A, Jepson RE. IRIS best practice consensus guidelines for the diagnosis and management of acute kidney injury in cats and dogs. Vet J. 2024 Jun;305:106068.