Lungenbefunde in der Bildgebung beim Hund – strukturierte Diagnostik mit Röntgen, CT und TFAST

Pulmonale Erkrankungen zählen zu den häufigsten Indikationen für bildgebende Diagnostik in der Kleintierpraxis. Klinische Symptome wie Dyspnoe, Husten, reduzierte Belastbarkeit oder Zufallsbefunde erfordern eine rasche und zugleich differenzierte Abklärung. Die Aussagekraft der Bildgebung hängt dabei weniger vom einzelnen Verfahren als von der zielgerichteten Kombination aus Thoraxröntgen, Computertomographie (CT) und thorakalem Point-of-Care-Ultraschall (TFAST/POCUS) ab. Jedes Verfahren beantwortet spezifische klinische Fragestellungen – und hat klare Limitationen, die in der Befundinterpretation berücksichtigt werden müssen.

Thoraxröntgen – unverzichtbare Basis mit systematischen Grenzen

Das Thoraxröntgen stellt in der stabilen Patientensituation weiterhin die primäre Untersuchungsmethode dar. Es erlaubt eine globale Beurteilung von Lungenparenchym, Pleuralraum, Herzsilhouette und großen Gefäßen und eignet sich gut für Verlaufskontrollen. Die diagnostische Aussagekraft steigt signifikant bei konsequenter Anfertigung von drei Projektionen (rechts- und linkslateral sowie dorsoventral oder ventrodorsal).

Radiologische Lungenmuster (Abb. 1) dienen der strukturierten Beschreibung, sind jedoch keine Diagnosen. Ein alveoläres Muster mit Aerobronchogrammen findet sich typischerweise bei Pneumonie, Lungenödem oder Atelektase, wobei die Verteilung (kranioventral vs. perihilär/kaudodorsal) wichtige Hinweise auf die Ätiologie liefert. Das interstitielle Muster ist besonders unspezifisch und kann frühe entzündliche Prozesse, Ödeme, Blutungen, Neoplasien oder fibrotische Veränderungen widerspiegeln. Ein bronchiales Muster findet sich häufig bei (chronischen) Atemwegserkrankungen, während ein noduläres Muster differenzialdiagnostisch Neoplasien, granulomatöse Prozesse oder Abszesse umfasst. Zentrale Limitation des Röntgens ist die Überlagerung anatomischer Strukturen, wodurch kleine Läsionen, frühe Parenchymveränderungen oder komplexe Atemwegserkrankungen häufig nicht sicher erfasst werden. In diesen Fällen ist eine weiterführende Schnittbilddiagnostik indiziert.

In Tabelle 1 sind die verschiedenen Röntgenmuster mit ihren Merkmalen, relevanten Differentialdiagnosen und den typischen Limitationen gelistet.

Röntgen, CT und TFAST beantworten unterschiedliche klinische Fragestellungen in der Lungendiagnostik – ihre kombinierte Anwendung ist entscheidend für eine präzise Befundinterpretation. Nicht das einzelne Verfahren, sondern der strukturierte, indikationsbezogene Einsatz bestimmt die diagnostische Qualität und den klinischen Nutzen."

Dr. Heike Karpenstein-Klumpp, Tiergesundheit Baden-Baden

Computertomographie – Referenzstandard für Parenchym und Atemwege

Die CT ist das sensitivste Verfahren zur Beurteilung pulmonaler Veränderungen beim Hund und stellt den diagnostischen Referenzstandard für Parenchymerkrankungen, Atemwegspathologien und das onkologische Staging dar. Durch die überlagerungsfreie Darstellung lassen sich selbst millimetergroße Läsionen sicher detektieren und charakterisieren.

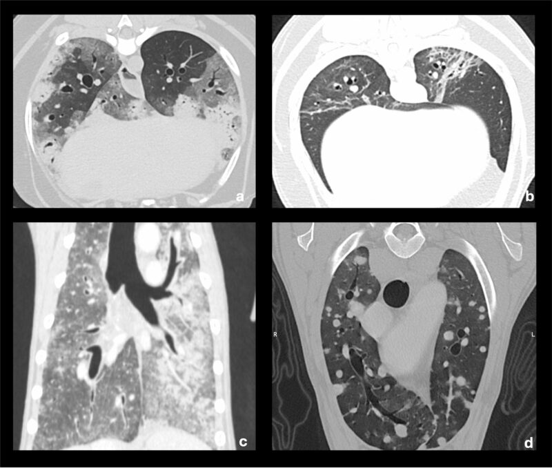
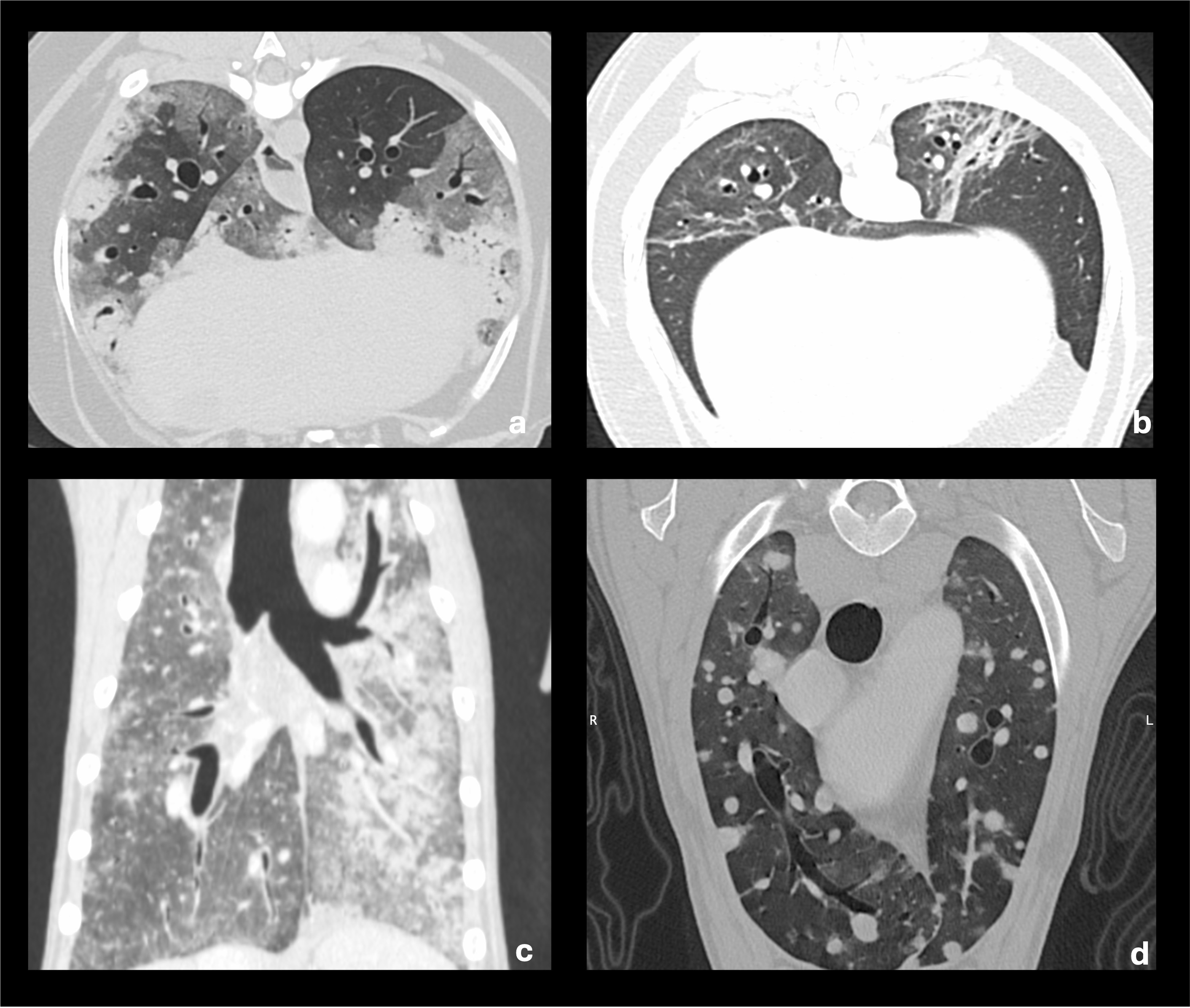
Ein wesentlicher Vorteil der CT liegt in der morphologischen Subklassifikation von Veränderungen, die im Röntgen lediglich als „interstitiell“ imponieren. Ground-glass-Opazitäten, Konsolidierungen, retikuläre Veränderungen oder endobronchiale Muster (z. B. „tree-in-bud“) lassen sich differenzieren und klinisch einordnen (Abb. 2). Dies ist entscheidend für die Abgrenzung zwischen entzündlichen, ödematösen, hämorrhagischen oder atelektatischen Prozessen.

Besondere klinische Relevanz hat die CT bei:

  • Verdacht auf pulmonale Metastasierung
  • chronischem oder therapieresistentem Husten
  • Abklärung von Bronchiektasen oder Bronchomalazie
  • Fremdkörperverdacht in den Atemwegen
  • unklaren oder widersprüchlichen Röntgenbefunden
  • präinterventioneller Planung (Biopsie, Chirurgie)

Ein wichtiger Interpretationsaspekt ist die lagerungs- und narkosebedingte Atelektase, die vor allem in abhängigen Lungenarealen auftritt und entzündliche Veränderungen vortäuschen kann. Standardisierte CT-Protokolle, kurze Atemstillstände und eine bewusste Bewertung der Verteilungsmuster sind essenziell, um Fehldiagnosen zu vermeiden. In Tabelle 2 finden sich verschiedene CT-Befunde mit den markanten morphologischen Merkmalen und der klinischen Interpretation.

Limitationen der CT sind der Einsatz von Narkosen, Bewegungsartefakte bei unzureichender Atemkontrolle sowie Kosten und Verfügbarkeit. In der Regel sollte bei onkologischen Fragestellungen, Gefäß- und Mediastinalbeurteilung oder zur Abgrenzung komplexer Läsionen ein Scan nach Kontrastmittelgabe ergänzend zur nativen Untersuchung durchgeführt werden.

TFAST – thorakaler Ultraschall als Entscheidungshilfe im Notfall

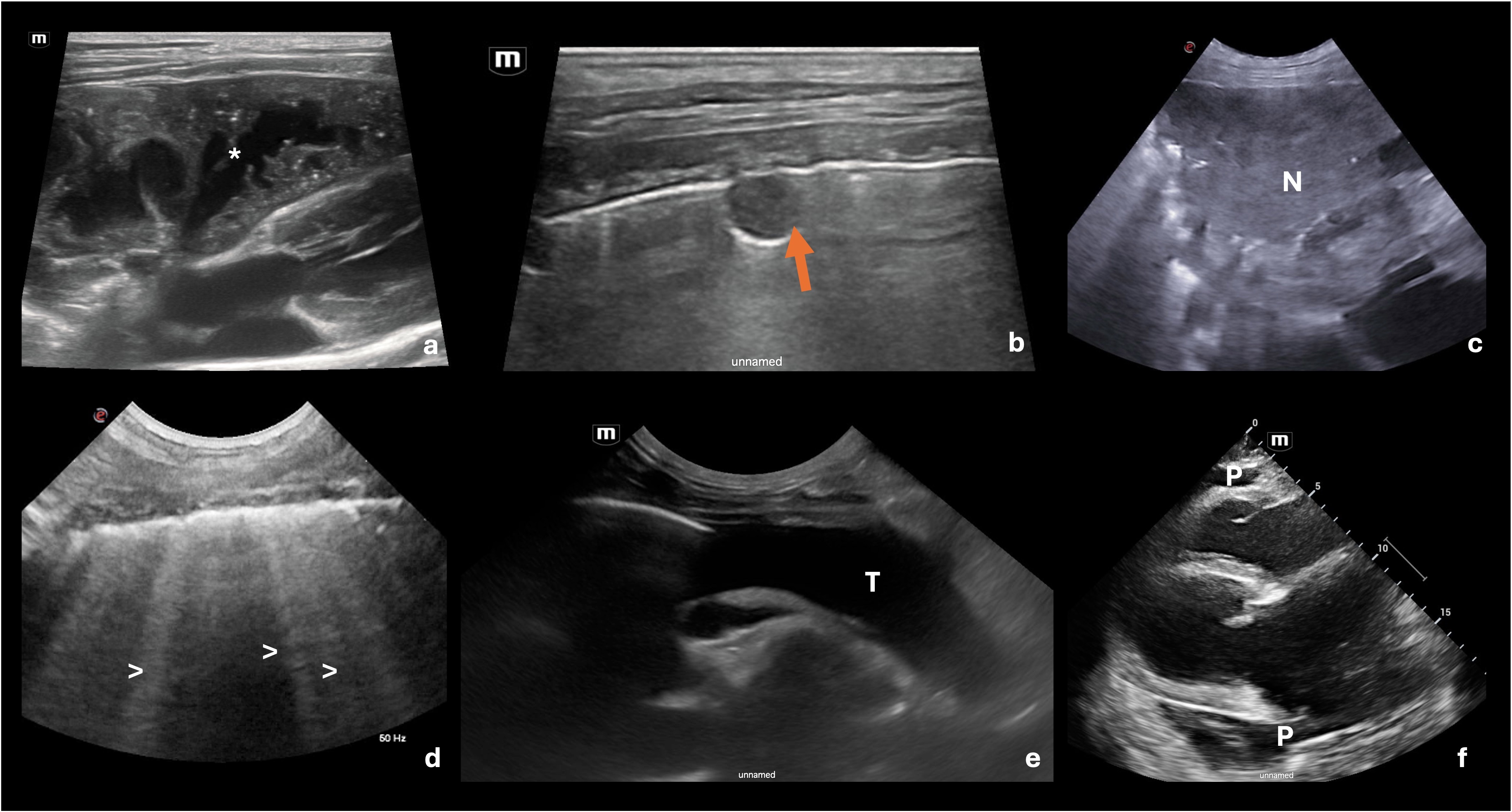
Der thorakale Point-of-Care-Ultraschall, insbesondere im Rahmen des TFAST-Protokolls, ist ein etabliertes Instrument in der Notfall- und Intensivmedizin. Ziel ist nicht die vollständige Parenchymdiagnostik, sondern die rasche Beantwortung lebensentscheidender Fragen. Das Vorgehen ist prinzipiell auf Hund und Katze übertragbar - Abb. 3 zeigt die Durchführung bei einer Katze. In Abb. 4 werden verschiedene thorakale Ultraschallbefunde präsentiert. Neben dem TFAST hat der Ultraschall für die Probengewinnung eine große Bedeutung – ettliche pulmonale Läsionen lassen sich sonographisch darstellen und dann gezielt punktieren.

TFAST erlaubt eine hochsensitive Detektion von Pleuraergüssen, auch in sehr geringer Menge, und eignet sich hervorragend zur sicheren Punktionsplanung. Ebenso lassen sich Pneumothoraces zuverlässig erkennen, etwa durch fehlendes „lung sliding“ oder das Vorliegen eines „lung point“ (Grenze zwischen Pneumothorax und normaler Lunge). Perikardergüsse können zeitgleich beurteilt werden. Darüber hinaus sind pleuranahe Konsolidierungen sichtbar, etwa bei schweren Pneumonien oder Atelektasen. Zentrale oder milde parenchymale Veränderungen bleiben jedoch häufig unerkannt. TFAST ist daher klar als ergänzendes, frageorientiertes Verfahren zu verstehen und ersetzt weder Röntgen noch CT.

Verschiedene Ultraschallbefunde aus dem TFAST, ihre Ultraschallzeichen und die klinische Bedeutung sind in Tabelle 3 zusammengefasst.

Integrativer Ansatz – wann welches Verfahren?

Die höchste diagnostische Sicherheit entsteht durch die situationsangepasste Kombination der Verfahren. Beim instabilen Patienten mit Dyspnoe oder Trauma steht TFAST oder Röntgen an erster Stelle, gefolgt vom CT, sobald der Zustand es erlaubt. Beim stabilen Patienten mit chronischen Atemwegssymptomen bildet das Röntgen die Basis, während die CT bei unklaren, persistierenden oder komplexen Befunden frühzeitig eingesetzt werden sollte. Im onkologischen Kontext ist die CT dem Röntgen hinsichtlich Sensitivität und Therapieentscheidungen überlegen.

Take Home Message

Röntgen, CT und TFAST beantworten unterschiedliche klinische Fragestellungen in der Lungendiagnostik – ihre kombinierte Anwendung ist entscheidend für eine präzise Befundinterpretation. Nicht das einzelne Verfahren, sondern der strukturierte, indikationsbezogene Einsatz bestimmt die diagnostische Qualität und den klinischen Nutzen.