JUST4VETS +

Aggressiv oder nicht aggressiv - Einteilung knöcherne Veränderungen auf dem Röntgenbild

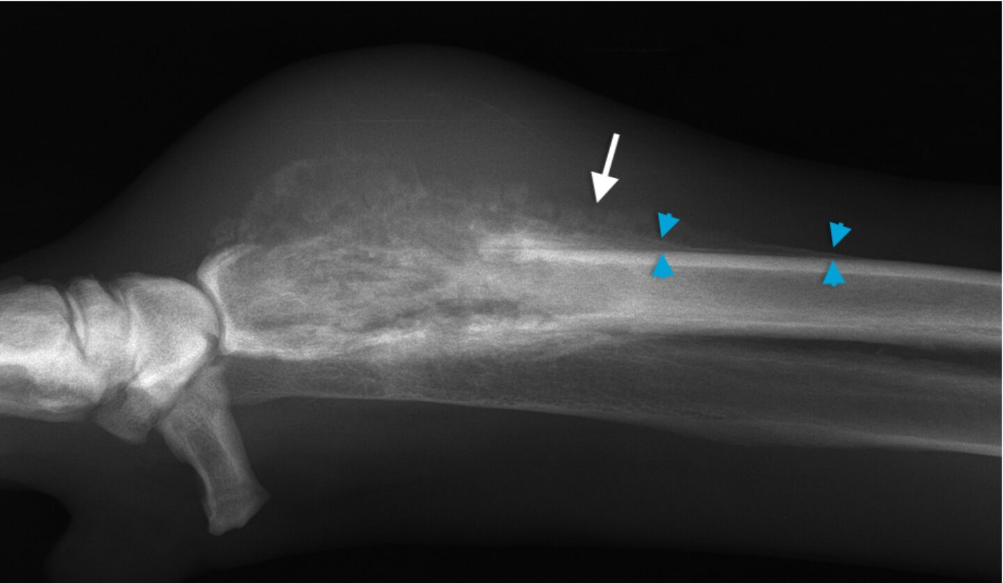
Grundsätzlich kann Knochen mit Substanzverlust (Osteolyse) oder Neubildung von Knochensubstanz (Osteogenese) auf einen Insult reagieren. Meistens findet sich eine Kombination beider Prozesse, wobei ein Prozess überwiegen kann.

Die Einteilung von Knochenveränderungen erfolgt basierend auf ihrem röntgenologischen Erscheinungsbild in aggressive, intermediäre und nicht-aggressive Läsionen. Neben dem Erscheinungsbild von Osteolyse und Osteogenese, bestimmen die Länge der Übergangszone und der zeitliche Verlauf über die Klassifikation. Die verschiedenen Formen der Osteolysen sind in Tabelle 1 aufge

Jetzt kostenlos registrieren
und weiterlesen

Um diesen Beitrag weiterlesen zu können, müssen Sie Tierarzt oder Tierärztin sein und sich registrieren. Wir schalten Sie nach entsprechender Prüfung umgehend frei.

Zur Anmeldung