Hyperdontie: Ist eine Extraktion notwendig?

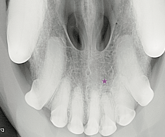
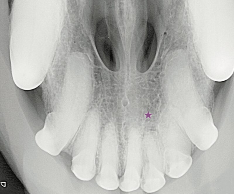
Wann ist eine Extraktion überzähliger Zähne notwendig? Das Röntgenbild kann Aufschluss geben, wie in diesem Fall bei einem Mischlingshund, 8 Jahre, männlich kastriert.

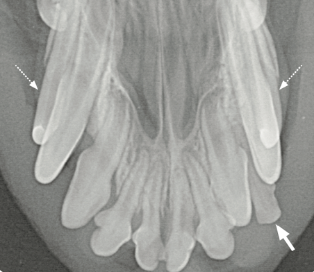
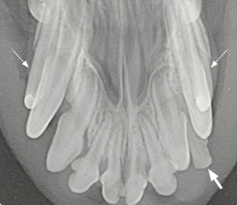
Der Röntgenbefund zeigt den doppelt angelegten I2 im Oberkiefer links sowie eine periapikale Radioluzenz (★) und einen erweiterten Parodontalspalt (▶️). Aufgrund der Überlagerung der Wurzelbereiche wie hier im linken Incisivibereich konnte dieser erst durch die Anfertigung einer intraoralen Schrägaufnahme besser beurteilt werden.

Differentialdiagnostisch sollten persistierende Incisivi – Milchzähne (▶️) ausgeschlossen werden. Sofern stomatologisch wie röntgenologisch keine Hinweise auf eine Zahnerkrankung vorliegen, kann der zusätzliche Zahn belassen werden. Allerdings wird ein Zuchtausschluss empfohlen.

Weitere Fallbeispiele aus dem Bereich Dentalröntgen, die auch für die Kommunikation mit den Patientenbesitzer:innen eingesetzt werden können, bietet der aktuelle Metacam® Fortbildungskalender."

"Mein Lila Kalender" powered by Boehringer Ingelheim Vetmedica

Mit 2 ATF-Stunden akkreditierte Fortbildung

Weitere Fallbeispiele aus dem Bereich Dentalröntgen, die auch für die Kommunikation mit den Patientenbesitzer:innen eingesetzt werden können, bietet der aktuelle Metacam® Fortbildungskalender. Er liefert praktizierenden Tierärzt:innen außerdem viele Tipps, wie sie z.B. mit einem stationären Gerät röntgen können oder für welche Situationen sich ein Dentalröntgengerät empfiehlt.

Das Bildmaterial ist auch in der digitalen Version unter www.meinlilakalender.de erhältlich. Online kann zusätzlich eine ATF-Prüfung abgelegt werden, die mit 2 ATF-Stunden akkreditiert ist.

www.meinlilakalender.de

Das Röntgenbild kann Aufschluss geben, wie in diesem Fall bei einem Mischlingshund, 8 Jahre, männlich kastriert."

"Mein Lila Kalender" powered by Boehringer Ingelheim Vetmedica