Bring your own case: Dirofilariose bei einer Französischen Bulldogge

Mit der Rubrik „Bring your own case“ öffnen die FRONTIER Kleintierspezialisten bewusst ihre Türen für den fachlichen Austausch: Tierärzt:innen sind eingeladen, komplexe oder ungewöhnliche Fälle aus dem Praxisalltag einzureichen und gemeinsam mit den Spezialist:innen des Überweisungszentrums zu diskutieren. Die spannendsten dieser Fälle werden aufgearbeitet und regelmäßig in den Fachmagazinen KATZENMEDIZIN und HUNDERUNDEN als praxisnahe Einblicke in Diagnostik, Entscheidungsfindung und Therapie vorgestellt.

Liebes FRONTIER-Team,

anbei übersenden wir Ihnen die Röntgenaufnahmen unserer Patientin „Valentine“. Es handelt sich um eine 10-jährige, weiblich kastrierte Französische Bulldogge, die in unserer Praxis aufgrund eines seit längerer Zeit bestehenden, chronischen Hustens vorgestellt wurde. Wir würden uns sehr über Ihre Einschätzung der vorliegenden Röntgenbilder freuen: Welche Befunde lassen sich erkennen und welche differenzialdiagnostischen Überlegungen ergeben sich aus Ihrer Sicht?

Die Auswertung: Radiologische Befunde und differenzialdiagnostische Einordnung

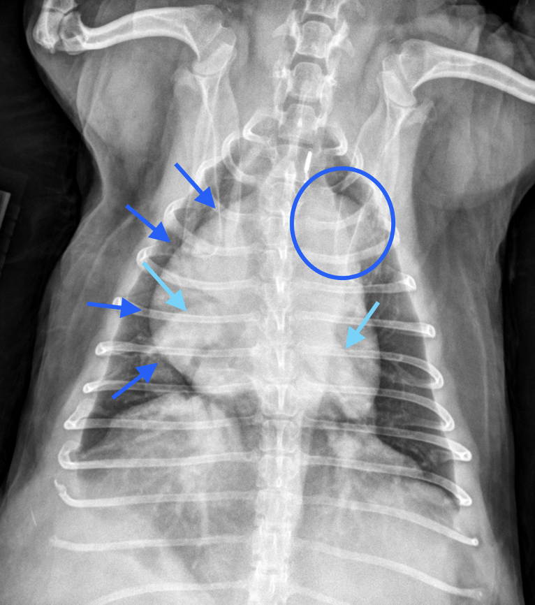
Dr. Anna Adrian, MS, DACVR, antwortet: Vielen Dank für die Zusendung dieses interessanten Falles. Es liegen eine links- und rechtslaterale sowie eine ventrodorsale Thoraxaufnahme vor. In allen drei Projektionen zeigt sich eine ausgeprägte rechtsseitige Kardiomegalie, die mit einer dorsalen Verlagerung der Trachea sowie einem vermehrten Kontakt des Herzens zum Sternum einhergeht (Bild 1, dunkelblaue Pfeilköpfe). In der ventrodorsalen Projektion imponiert die Rechtsherzvergrößerung als typische „reverse D-Form“ (Bild 2, dunkelblaue Pfeile). Zusätzlich fällt in dieser Ansicht auf Höhe der 2-Uhr-Position eine Vorwölbung auf, die einer Dilatation des Truncus pulmonalis entspricht (Bild 2, dunkelblauer Kreis).

Die kaudalen lobären Pulmonalarterien sind hochgradig erweitert, überschreiten deutlich die Breite der 9. Rippe und zeigen einen geschlängelten Verlauf (Bild 1 und 2, hellblaue Pfeile). Zur Erinnerung Venen liegen in der VD-Aufnahme zentral und in der lateralen Aufnahme ventral, wohingegen Arterien lateral und dorsal gelegen sind. Die Vena cava caudalis erscheint geringgradig dilatiert. Das Lungenparenchym weist insgesamt ein leicht- bis mittelgradig ausgeprägtes bronchointerstitielles Muster auf. Im kranialen Abdomen ist eine kraniale abdominale Organomegalie erkennbar, sowie geringgradige Heterogenität des abdominalen Fettgewebes (Bild 1, hellblau gestricheltes Rechteck). Dieser Befund ist vereinbar mit einer Splenomegalie +/- Hepatomegalie und geringgradiger Aszites. Die übrigen abdominalen Strukturen erscheinen unauffällig.

Zusammenfassend liegen eine ausgeprägte rechtsseitige Kardiomegalie sowie eine deutliche Erweiterung der Pulmonalarterien vor. Die Befundkonstellation spricht für eine pulmonale Hypertension in Kombination mit einer Kardiomyopathie, möglicherweise sekundär infolge einer Herzwurmerkrankung oder eines idiopathischen Cor pulmonale. Zur weiterführenden Abklärung wird eine echokardiographische Untersuchung empfohlen. Das bronchointerstitielle Lungenmuster kann altersphysiologisch bedingt sein, differentialdiagnostisch sind jedoch auch eosinophile Infiltrate im Rahmen einer parasitär bedingten Hypersensitivitätsreaktion in Betracht zu ziehen. Die Dilatation der Vena cava caudalis kann einerseits ein Normvariant darstellen, andererseits im Kontext der Rechtsherzvergrößerung auf eine Rechtsherzinsuffizienz oder ein Vena-cava-Syndrom bei hoher parasitärer Last hinweisen.

Die vermutete Splenomegalie +/- Hepatomegalie kann ebenfalls als Folge einer venösen Kongestion bei Rechtsherzversagen oder Vena-cava-Syndrom interpretiert werden. Weitere Differenzialdiagnosen umfassen entzündliche Veränderungen (Hepatitis, Splenitis), sowie neoplastische Infiltrationen. Die geringgradige abdominale Effusion Zur weiteren Abklärung wird eine abdominale Ultraschalluntersuchung empfohlen.

Hintergrund: Dirofilaria immitis und die Pathophysiologie der Herzwurmerkrankung

Der Parasit Dirofilaria immitis ist ein Nematode, der vorwiegend in tropischen und subtropischen Regionen vorkommt, jedoch auch in mediterranen Gebieten verbreitet ist. Die adulten Herzwürmer siedeln sich primär in den Pulmonalarterien an und können eine Länge von bis zu 25 cm erreichen. Bei hoher Parasitenlast kann es zu einer Stauung und Dilatation der Pulmonalarterien kommen, die sich radiologisch als stark erweitert und geschlängelt darstellen. Darüber hinaus ist ein Befall weiterer Strukturen möglich, darunter der Truncus pulmonalis, das rechte Atrium, der rechte Ventrikel sowie der Bereich der Trikuspidalklappe.

Lebenszyklus und Übertragungsweg. Adulte Herzwürmer leben bevorzugt in den Pulmonalarterien und können bei schweren Infektionen zusätzlich im rechten Ventrikel lokalisiert sein. Aufgrund ihrer Größe (ca. 15–25 cm) sind sie insbesondere bei kleinen Patienten oder hoher Wurmlast in der Lage, den pulmonalen Blutfluss erheblich zu beeinträchtigen. Weibliche Würmer setzen Mikrofilarien in den Blutkreislauf frei, die von blutsaugenden weiblichen Stechmücken aufgenommen werden. In diesen entwickeln sich die Larven über mehrere Häutungsstadien zum infektiösen Stadium und werden bei einer erneuten Blutmahlzeit auf einen neuen Wirt übertragen. Nach etwa drei Monaten erreichen die Parasiten ein juveniles adultes Stadium, dringen in das Gefäßsystem ein und migrieren anschließend in Herz und Lunge, wo sie zu geschlechtsreifen Würmern heranwachsen.

Klinische Symptomatik und Krankheitsverlauf beim Hund. Die Ausprägung der Erkrankung hängt maßgeblich von der Wurmbürde, der Dauer der Infektion sowie der Interaktion zwischen Parasiten und Wirt ab. Hunde bleiben häufig lange asymptomatisch. Bei klinisch manifesten Verläufen treten Symptome wie Lethargie, Husten, reduzierte Leistungsfähigkeit, Gewichtsverlust, Aszites und Synkopen auf. Schwere Komplikationen umfassen unter anderem pulmonale Hypertonie, thromboembolische Ereignisse, eosinophile Pneumonitis, Glomerulonephritis, disseminierte intravasale Gerinnung sowie das Vena-cava-Syndrom.

Besonderheiten der Herzwurmerkrankung bei der Katze. Bei Katzen verläuft die Erkrankung in der Regel schwerwiegender, obwohl meist eine geringere Wurmlast vorliegt. Die pulmonale Gefäßreaktion ist ausgeprägter als beim Hund. Klinische Symptome sind häufig unspezifisch und umfassen Anorexie, Gewichtsverlust, Erbrechen, Dyspnoe und Husten. Typisch ist das sogenannte heartworm-associated respiratory disease (HARD), das differenzialdiagnostisch insbesondere vom felinen Asthma abgegrenzt werden muss.

Radiologische Befunde beim Hund. Radiologisch zeigen sich beim Hund vor allem Veränderungen infolge der pulmonalen Hypertonie und der mechanischen Obstruktion durch die Parasiten. Dazu zählen eine Rechtsherzvergrößerung, eine Dilatation des Truncus pulmonalis sowie vergrößerte und geschlängelte lobäre Pulmonalarterien, insbesondere in den kaudalen Lappen. In fortgeschrittenen Stadien kann eine Rechtsherzinsuffizienz vorliegen. Zusätzlich können ein bronchointerstitielles Muster infolge eosinophiler Infiltrationen sowie fleckige pulmonale Verschattungen im Sinne thromboembolischer Prozesse beobachtet werden.

Radiologische Besonderheiten bei der Katze. Bei Katzen ist radiologisch am häufigsten eine Vergrößerung der kaudalen lobären Pulmonalarterien festzustellen. Eine Rechtsherzvergrößerung tritt seltener auf als beim Hund. Häufig finden sich bronchointerstitielle bis alveoläre Lungenmuster sowie eine pulmonale Hyperinflation, die das Bild einer felinen Bronchialerkrankung imitieren können.