Das Eigentliche ist häufig unsichtbar: Die „Zahnlücke“ von Nando

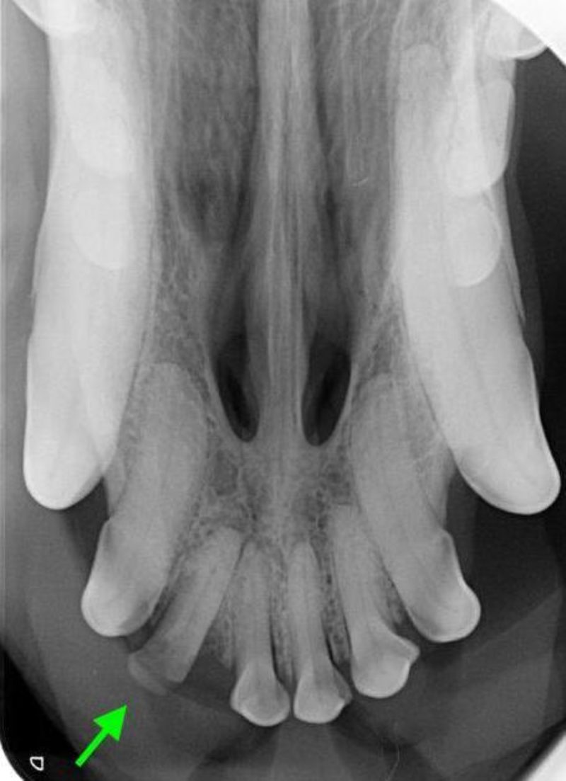
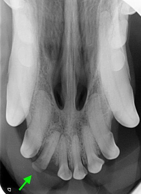
Der hübsche neun Jahre alte schwarze Mischlingsrüde Nando aus Italien wird vorgestellt, da die Besitzerin Zahnstein und einen unangenehmen Geruch aus der Maulhöhle festgestellt hat. Während der Untersuchung werden folgende Befunde erhoben: mittelgradiger Zahnstein an den meisten Zähnen, im Unter- und Oberkiefer je ein abgebrochener Schneidezahn (Abb. 1 und 2) und eine große „Zahnlücke“ im Unterkiefer rechts (Abb. 3). Hier scheinen die drei letzten Backenzähne zu fehlen. Nando ist ein sportlicher und schlanker Hund. Sein Herz schlägt regelmäßig und ohne Nebengeräusche. Dennoch untersuchen wir vor der Operation sein Blut, um mögliche Anästhesierisiken weitgehend ausschließen zu können. Wenige Tage später werden Nandos Zähne in Narkose sorgfältig von Zahnstein befreit und anschließend poliert. Von den beiden abgebrochenen Schneidezähnen und dem Bereich der vermeintlichen Zahnlücke im Unterkiefer werden Röntgenbilder angefertigt. Die Kronen der beiden Schneidezähne sind so tief abgebrochen, dass die Pulpahöhle offen liegt (Abb. 4). Im Bereich der „Zahnlücke“ zeigt das Röntgenbild Wurzelanteile nicht vollständig vorhandener oder vielleicht auch nicht vollständig ausgebildeter Zähne (Abb. 5).

Vorgehen bei den abgebrochenen Schneidezähnen

In der Pulpa verlaufen die Blut- und Nervengefässe eines Zahnes. Da die Schneidezähne von „Nando“ so tief abgebrochen sind, dass Blut und Nervengefäße nicht mehr durch die Schicht des Dentins und des Zahnschmelzes vor einem Kontakt mit der Außenwelt geschützt sind, ist eine Behandlung unbedingt erforderlich. Denn zum einen besteht die Gefahr einer Infektion, und zum anderen ist beim Tier in diesem Fall genauso wie beim Mensch mit Zahnschmerzen zu rechnen. Eine aufwändige Wurzelbehandlung, die für abgebrochene oder anderweitig erkrankte Zähne auch beim Tier möglich ist, scheint im Fall der funktionell wenig bedeutsamen Schneidezähne nicht gerechtfertigt. Daher ziehen wir bei „Nando“ die beiden abgebrochenen Schneidezähne in der Vollnarkose.

Vorgehen bei der vermeintlichen „Zahnlücke“

Was bei augenscheinlicher Betrachtung zunächst wie eine ganz normale „Zahnlücke“ aussieht, stellt sich im Röntgenbild ganz anders dar. Bei Nando zeigt es an dieser Stelle Zahnreste, die kreuz und quer im Knochen des Unterkiefers liegen. Nun muss die Entscheidung gefällt werden, ob diese Zahnreste an Ort und Stelle belassen oder operativ entfernt werden. Wir haben die Zahnreste belassen, denn im Röntgenbild sind keine Hinweise auf eine Entzündung der Wurzelanteile oder des sie umgebenden Knochens oder die Ausbildung einer Zyste (s.u.) zu finden. Auch die äußerlich sichtbare Schleimhaut ist in diesem Bereich vollkommen reaktionslos. Nichts deutet auf die in der Tiefe des Unterkieferknochens liegenden Zahnanteile hin. Allerdings muss Nando in Zukunft weiter auf Entzündungs- oder Schmerzanzeichen überwacht werden, denn die Situation könnte sich im Verlaufe seines Lebens noch ändern. Mit zunehmendem Alter wird das jedoch immer unwahrscheinlicher. Eine regelmäßige Röntgenkontrolle zur Evaluierung der tiefliegenden Wurzelanteile ist wünschenswert.

Das vollständige Gebiss eines erwachsenen Hundes zählt 42 Zähne, das des Menschen im Vergleich hierzu nur 32.

Dr. Gabriele Walb, Wiesbaden-Naurod

An dieser Stelle ein Wort zu „Zahnlücken“ im Gebiss unserer Hunde

Das vollständige Gebiss eines erwachsenen Hundes zählt 42 Zähne, das des Menschen im Vergleich hierzu nur 32. Sind nicht alle 42 Zähne an der vorgesehenen Position vorhanden, gibt es hierfür mehrere Gründe:

1.    Ursprünglich vorhandene Zähne sind bereits verloren gegangen.

2.    Ein Zahn ist tatsächlich nicht angelegt, es handelt sich um eine wirkliche Zahnlücke.

3.    Ein Zahn ist angelegt, ist aber in der Tiefe des Knochens liegengeblieben und hat den Weg an die Oberfläche nicht gefunden. Man spricht hier von impaktierten (d.h. es liegt ein Hindernis im Weg), bzw. retinierten Zähnen (d.h. der Zahn ist richtig angelegt, bricht aber einfach nicht an die Oberfläche durch).

Es sind die im Kieferknochen steckengebliebenen Zähne, die von uns entdeckt werden müssen. Denn nicht immer bleiben diese Zähne reaktionslos in der Tiefe liegen. Es kann zu einer Ausbildung von Zysten (flüssigkeitsgefüllte Hohlräume) um retinierte Zähne herum kommen. Im Röntgenbild sind diese Knochenzysten als dunkle, runde Bezirke zu erkennen. Sie verdrängen das Knochengewebe und können die Belastbarkeit des Kieferknochens deutlich mindern. Der Knochen kann an der Stelle so geschwächt werden, dass er bei einem herzhaften Zubeißen einfach durchbricht. Die Zysten können den Kieferknochen aber auch vermeintlich so stark auftreiben, dass man diese Verdickung auf den ersten Blick mit einem Tumor verwechseln könnte. Damit wird deutlich, wie wichtig es ist, das Gebiss der Hunde auf Vollständigkeit zu überprüfen und Röntgenbilder anzufertigen, wenn Zähne fehlen. Stellt man im Röntgen fest, dass Zähne zwar angelegt sind, aber nicht den Weg an die Oberfläche in die Maulhöhle finden, sollten diese Zähne bei jungen Hunden präventiv gezogen werden, um der Entstehung der oben erwähnten Komplikationen vorzubeugen. Die Wahrscheinlichkeit, dass sich eine Zyste um retinierte oder impaktierte Zähne entwickelt, sinkt ab dem Alter von fünf Jahren.

So waren bei Nando sowohl das Alter von neun Jahren als auch die fehlenden klinischen und radiologischen Anzeichen für eine Entzündung bzw. Knochenzyste ausschlaggebend für die Entscheidung, die Wurzelteile an Ort und Stelle zu belassen. Hätten die Röntgenbilder gezeigt, dass sich eine Knochenzyste im Bereich der Wurzelteile ausgebildet hätte, wäre eine operative Entfernung der Zyste und der Wurzelanteile notwendig gewesen. Nando hatte jedoch Glück, ein solch aufwändiger Eingriff war bei ihm nicht notwendig. Er konnte kurze Zeit nach dem Eingriff, von Zahnstein und zwei abgebrochenen Zähnen befreit, wieder nach Hause gehen. Es ist sichergestellt, dass er keine Zahnschmerzen hat und in seiner Maulhöhle keine Voraussetzung für die Entwicklung einer Parodontitis mehr gegeben ist. Wenn die Besitzer seine Zähne täglich bürsten, können sie diesen Status erhalten und gleichzeitig die vermeintliche Zahnlücke im Blick behalten.

Diese kleine Abhandlung zur „Zahnlücke“ zeigt, dass nicht nur die vorhandenen und möglicherweise erkrankten Zähne unserer Aufmerksamkeit bedürfen, sondern auch die vermeintlich fehlenden, deren Vorhanden- oder Nichtvorhandensein jedoch nur mit einer Röntgenaufnahme beurteilt werden kann ...

... denn das Eigentliche ist häufig unsichtbar.