​Faust und das große Herz

Zwei Tage vor Weihnachten kam Faust zu mir in die kardiologische Sprechstunde. Überwiesen von einer benachbarten Praxis mit dem Verdacht auf ein vergrößertes Herz. Faust ist ein 7 Jahre und 9 Monate alter, groß gewachsener Labrador mit 44 kg Körpergewicht. Die Besitzer bemerken seit fast einem halben Jahr, das Faust ruhiger geworden ist. „Er war noch nie die Sportskanone“ sagt Frauchen, „hat aber jetzt deutlich an Leistung eingebüßt“. Futter- und Wasseraufnahme waren, wie es sich für einen Labrador gehört, weiterhin normal. Am Vortag hatte Faust Husten gezeigt.

Als Faust am 22.12 bei uns vorstellig wurde, hatte sich der Husten aufgrund der verabreichten Medikamente bereits leicht verbessert. Wir haben zunächst eine eingehende kardiologische Untersuchung durchgeführt und dabei eine Tachycardie (einen sehr schnellen Herzschlag) befunden können. Das Herz war eher leise und ein ebenfalls leises Herznebengeräusch war mit dem Stethoskop zu auskultieren. Die Atemfrequenz lag bei etwa 40 Zügen pro Minute.

Eine angefertigte Röntgenaufnahme des Brustkorbes im seitlichen Strahlengang lieferte uns den ersten Beweis. Das Herz war riesengroß, durch die Ausdehnung des Herzens wird die Luftröhre mit den Hauptbronchien zur Wirbelsäule gedrängt und eingeengt. Das ist ein möglicher Grund für den Husten unserer herzkranken Hunde. Wir haben das Herz vermessen, die Längsachse und die Querachse des Herzens werden nach bestimmten Vorgaben auf die Länge der Brustwirbelkörper umgerechnet. Bei Faust ergab sich eine Größe von 13,2 Wirbelkörpern, normal ist ein Wert von 9-10,5, mit rassebedingten Schwankungen.

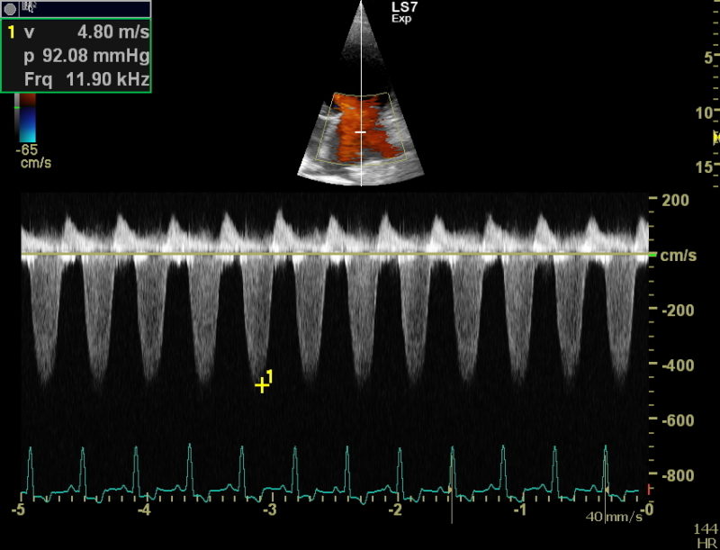
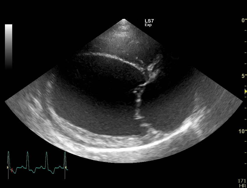
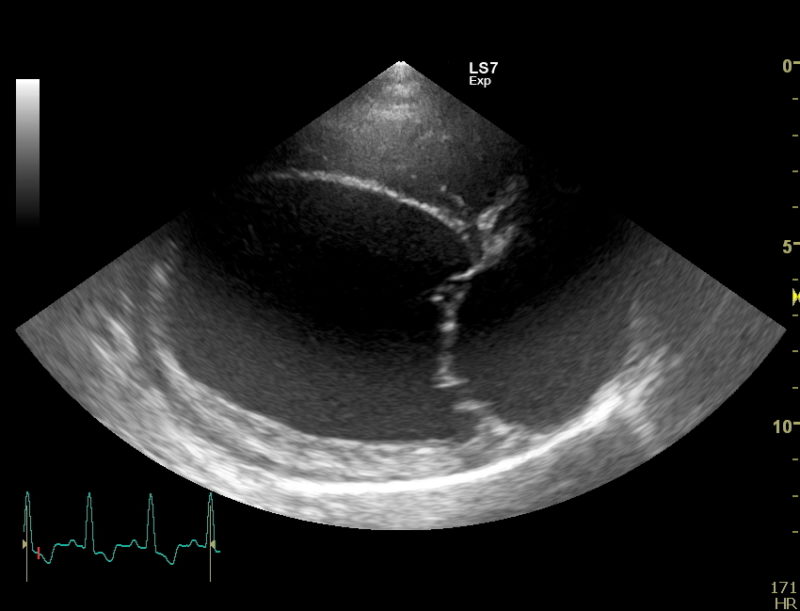
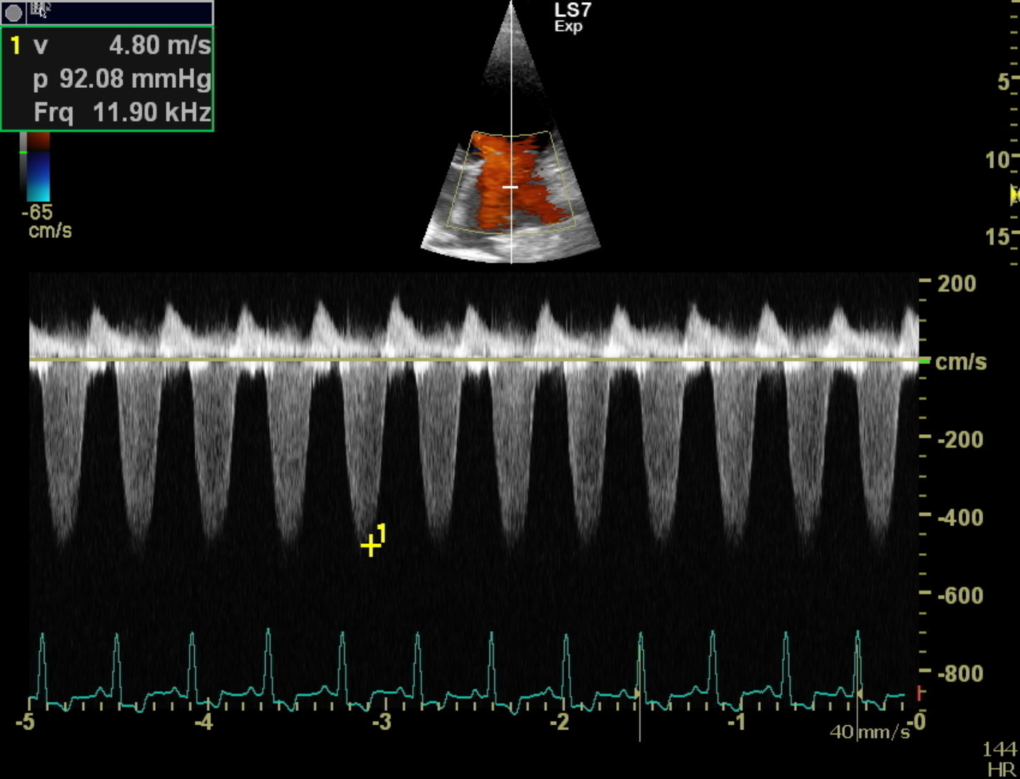
Weitergehend haben wir dann eine Herzultraschalluntersuchung durchgeführt um weitere Informationen über die zugrundeliegende Erkrankung zu bekommen. Auch in der Echokardiografie stellte sich das Herz deutlich zu groß da. Die linke Hauptkammer und der linke Vorhof sind massiv volumenüberladen, also mit zu viel Blut gefüllt. Durch die starke Blutfülle im Herzen hat sich auch der Klappenapparat der Mitralklappe aufgedehnt, sodass dieses Rückschlagsventil zwischen der linken Kammer und dem linken Vorhof nicht mehr richtig abdichtet. Resultat ist eine Mitralklappeninsuffizienz, die bei jedem Herzschlag etwas Blut in den linken Vorhof zurückfließen lässt. Der linke Vorhof wird, wie hier bei Faust sehr groß und das Blut staut in den Lungenkreislauf zurück, es entsteht ein Lungenödem. Vereinfacht gesagt Faust hat „Wasser auf der Lunge“, eine weitere wichtige Ursache für Husten bei unseren herzkranken Hunden. Die Herzmuskulatur bei Faust ist eher dünn und die Pumpkraft (Kontraktilität) der Herzmuskulatur ist sehr schwach.

Daraus leitet sich die Diagnose ab: Faust hat eine dilatative Cardiomyopathie, DCM.

Dabei handelt es sich um eine primär zu schwache Herzmuskulatur. Der Herzmuskel pumpt nicht ausreichend kräftig genug und der Blutdruck des Hundes sinkt, der Körper reagiert und lagert mehr Flüssigkeit in den Gefäßen und dem Herzen ein und kann somit den Blutdruck zunächst wieder stabilisieren. Der Blutdruck sinkt aber bei nachlassender Kraft der Herzmuskulatur weiter ab und der Körper lagert noch mehr Blut und Flüssigkeit ein um den Blutdruckabfall zu kompensieren. Was kurzfristig gut gedacht ist, führt bei dieser Erkrankung langfristig durch diesen Teufelskreis zu einer massiven Größenzunahme des Herzens.

Für Faust bedeutet die Diagnose, dass er nun täglich Medikamente einnehmen muss. Aufgrund der massiven Größenzunahme des Herzens und des daraus resultierenden Lungenödems, bekommt Faust Entwässerungstabletten (Diuretika). Die am Vortag bekommene Entwässerungsspritze hat schon einmal dazu beigetragen, dass über die Nacht der Husten deutlich besser geworden war. Ein ebenfalls sehr wichtiger Wirkstoff bei der DCM ist Pimobendan, ein Medikament, das die Herzmuskulatur kräftiger schlagen lässt, sodass das Herz wieder etwas stärker pumpen kann. Zusätzlich werden ganz individuell weitere Medikamente eingesetzt.

Faust hat sehr gut auf die Therapie angesprochen, bereits einige Tage später war der Husten vollkommen verschwunden, Spaziergänge konnten ausgedehnt werden und die alte Leistungsbereitschaft war wieder auf dem Stand wie vor einem Jahr. Eine Woche nach der kardiologischen Untersuchung wurde beim Haustierarzt ein Blutbild angefertigt, insbesondere sollten die Nieren- und die Schilddrüsenwerte überprüft werden. Alle Werte zeigten sich altersentsprechend normal.

Bei der Kontrolluntersuchung am 5. März mussten wir leider eine weitere Verschlechterung der gemessenen Werte feststellen. Faust hatte einige Tage zuvor wieder zu husten begonnen, das Blutvolumen im linken Herzen hatte noch einmal zugenommen, lediglich die Pumpkraft des Herzens war etwas besser als bei der Erstuntersuchung. Wir haben die Dosierungen der Herzmedikamente noch einmal angepasst und hoffen, dass es unserem Patienten nun noch lange gut geht.

Leider ist der Verlauf der DCM mit Medikamenten nur zu verlangsamen, die Erkrankung ist nicht heilbar. Das Wichtigste dabei ist eine gute Früherkennung. Große Hunde sollten regelmäßig vom Tierarzt abgehört werden und bereits bei kleinen Unregelmäßigkeiten wie Rhythmusstörungen (Extrasystolen) oder einem leisen Herznebengeräusch besser eine Ultraschalluntersuchung durchgeführt werden. Bei besonders betroffenen Rassen (Dobermann, Irischem Wolfshund, Dogge...) ist durchaus sogar eine jährliche Vorsorgeuntersuchung des Herzens mittels Ultraschall empfehlenswert.