​Der abgebrochene Eckzahn von Polizeihund Piko

„Piko“ ist ein zweijähriger belgischer Schäferhund, der als Polizeihund im Schutzdienst eingesetzt wird. Er wurde durch seinen Diensthundeführer in meiner Fachpraxis für Tierzahnheilkunde vorgestellt, da „Piko“ seit einigen Tagen  im Training Probleme zeigte. Er rutschte immer wieder vom Schutzdienstärmel ab, da er scheinbar nicht mit voller Kraft zubeißen konnte. „Piko“ fraß aber ganz normal und zeigte auch sonst scheinbar keinen Schmerz.

Bei der klinischen Allgemeinuntersuchung zeigten sich keine Auffälligkeiten, bei der Untersuchung der Maulhöhle und der Zähne konnte man am rechten Unterkiefereckzahn eine kleine Absplitterung erkennen. Dies könnte die Ursache für den „lockeren Biss“ sein. „Piko“ wurde in Allgemeinanästhesie versetzt um die Maulhöhle und Zähne eingehend untersuchen zu können. An der Bruchstelle des rechten Unterkiefer-Eckzahnes konnte ein kleiner rötlicher Punkt ausgemacht werden, der auf die unmittelbare Nähe der Frakturstelle zur Pulpenhöhle, dem Sitz des „Nervs“ schließen ließ. Nach der Röntgenuntersuchung des Zahnes wurde der Zahn trepaniert, um die Pulpa beurteilen zu können. Hierbei entwich unter Druck stehender Eiter und Blut, was schließlich erklärte, warum „Piko“ nicht mehr mit voller Kraft zubeißen konnte.

Warum Hunde bei Zahnschmerzen die „Zähne zusammenbeißen"?

Obwohl es sich bei einer derartigen Entzündung um einen hochgradig schmerzhaften Prozess handelt, fraß „Piko“ ganz normal und zeigte auch keinen Schmerz oder sonstige Verhaltensauffälligkeiten. Warum? Hunde erleiden dieselben Zahnschmerzen wie wir Menschen - das konnte durch wissenschaftliche Untersuchungen zweifelsfrei festgestellt werden. Hunde bzw. Wölfe haben aber in der freien Wildbahn keine Möglichkeit, etwas an der Ursache zu ändern und einen Tierzahnarzt aufzusuchen. Wenn SICH ein Wolf im Rudel jedoch aufgrund von Zahnschmerzen beim Fressen nicht durchsetzen kann, wird er von seinen Kollegen „rausgebissen“ und muss sich „hinten anstellen“. Er bekommt das, was die anderen Wölfe übrig lassen. Der Anfang vom Hungertod. Und somit „beißen“ auch unsere Hunde beim Fressen die Zähne zusammen und vermeiden es, Zahnschmerzen zu zeigen.

Welche Behandlungsmöglichkeiten gibt es beim abgebrochenen Zahn mit entzündeter Pulpa?

Grundsätzlich gibt es bei Zahnfrakturen mit Entzündung des Pulpa nur zwei Möglichkeiten: Entweder man unterzieht den Zahn einer Wurzelkanalbehandlung oder man „zieht“ den Zahn. Die letzte Option kam für „Piko“ nicht in Betracht, würde doch das Fehlen eines Eckzahns seine Dienstfähigkeit ausschließen. Auch für die ordnungsgemäße Zungenführung sind die Unterkiefereckzähne wichtig. Fehlt ein Unterkiefereckzahn, hängt die Zunge meist auf der Seite des Fangs heraus. Dies führt nicht selten zu sehr schmerzhaften Zungenverletzungen. Auch führt die Extraktion eines Unterkiefereckzahnes zu einer deutlichen Schwächung des Unterkiefers, denn die Wurzel des Unterkiefereckzahnes ist etwa anderthalb mal so groß wie die sichtbare Zahnkrone. Es kann zur Fraktur des Unterkiefers kommen. Also viele Argumente, die für einen Zahnerhalt durch Wurzelkanalbehandlung sprechen.

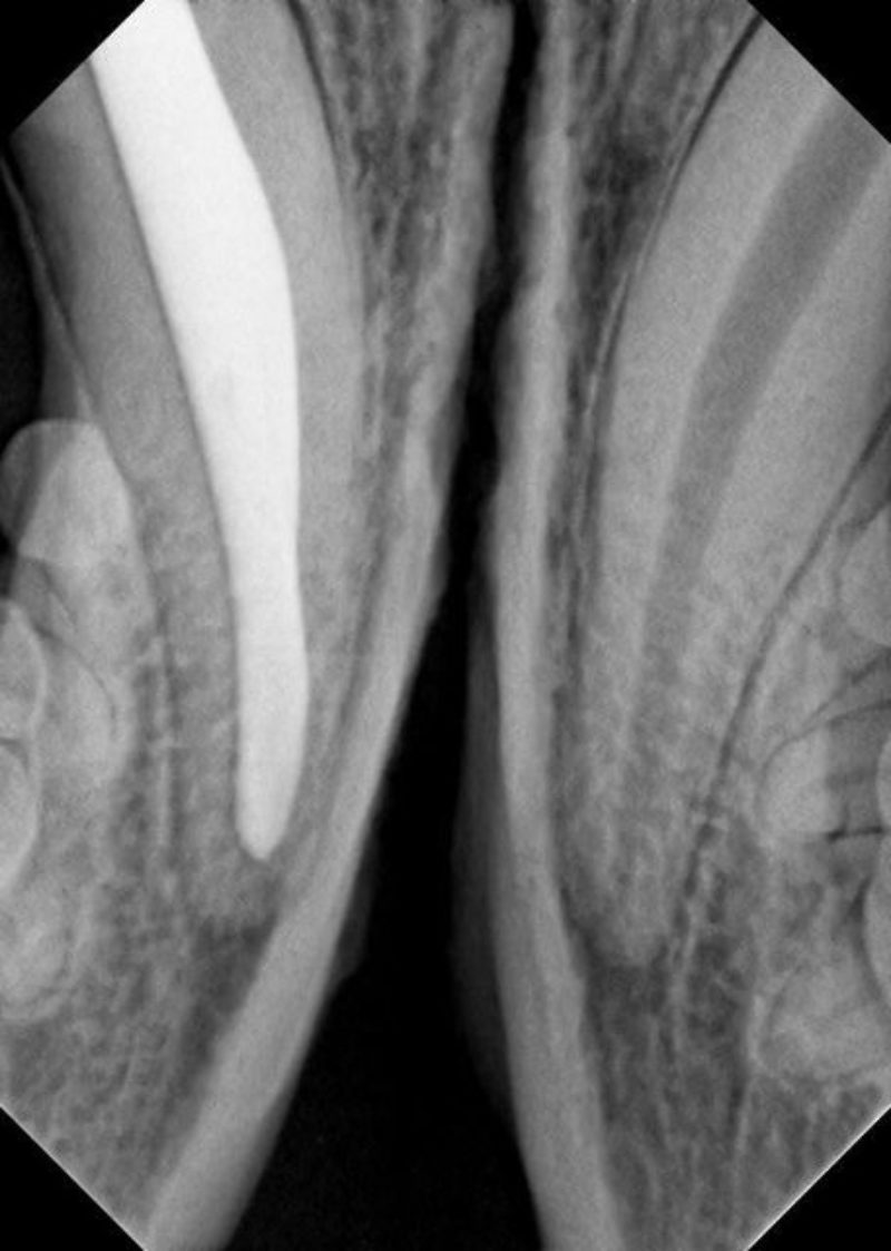
Wie ging es aber mit „Piko“ weiter?

Zuerst wurde die Pulpenhöhle über einen Hilfszugang von vorne eröffnet, um einen  möglichst gradlinigen Zugang zur Wurzelspitze zu erhalten. Dann wurde die eitrig entzündete Pulpa entfernt. Unter Spülung mit desinfizierenden Lösungen wurde die Pulpenhöhle mit dünnen Feilen in aufsteigender Größe gereinigt und ausgeformt. Nach Entfernung der sogenannten Schmierschicht wurde der Pulpenkanal mit Kochsalzlösung gespült und mit feinen Papierspitzen getrocknet. Es schloss sich die Einpassung des sogenannten Master-Points an, eines dünnen Kautschuk-Stiftes aus Guttapercha, der die Wurzelspitze verschließen soll. Hierzu wurde eine kleine Menge  Sealer in die Pulpenhöhle eingebracht, ein Material, das die kleinsten Kanäle im Bereich der Wurzelspitze abdichtet und in Verbindung mit dem Masterpoint den hermetischen Verschluß der Pulpenhöhle Richtung Wurzelspitze übernimmt. Nach dem Einbringen und Verdichten weiterer kleinerer Guttapercha-Stifte erfolgte eine Zwischenfüllung und schließlich eine Deckfüllung aus Kunststoff, um die Pulpenhöhle auch zur Zahnkrone hin abzudichten. Nach Ausarbeitung der Füllung und Politur konnte „Piko“ schließlich aus der Narkose aufwachen. „Piko“ konnte bereits am nächsten Tag wieder arbeiten.

Anders als bei uns Menschen können Wurzelbehandlungen beim Tier in vielen Fällen in nur einer Behandlungssitzung abgeschlossen werden. Die Erfolgsprognose einer Wurzelkanalbehandlung ist mit über 85% sehr hoch, was auch den Aufwand der Behandlung rechtfertigt.

Ob ein Zahn besser extrahiert (gezogen) oder mit einer Wurzelkanalbehandlung versorgt werden sollte, ist von mehreren Faktoren abhängig. Grundsätzlich sollten funktionell wichtige Zähne möglichst erhalten werden. Dies sind die Eckzähne des Oberkiefers- und des Unterkiefers sowie die Reißzähne, also die letzten Prämolaren des Oberkiefers sowie die ersten Molaren des Unterkiefers. Wichtig für die Entscheidung ist auch der Zustand des abgebrochenen Zahnes. Ist ein Zahn weit unten am Zahnfleisch abgebrochen oder der Zahn gar längs gespalten, ist unter Umständen eine Wurzelkanalbehandlung nicht sinnvoll bzw. auch nicht möglich. Auch massive entzündliche Veränderungen im Bereich der Wurzelspitze des frakturierten Zahnes führen oft zu unbefriedigenden Ergebnissen. In solchen Fällen kann eine Extraktion sinnvoller sein.