Die Tücken der Internistik - "Der Fall Lisa“

Lisa, ein niedliches, kleines Zwergspitzmädchen im bereits fortgeschrittenen Alter von dreizehneinhalb Jahren wird in der allgemeinen Sprechstunde der Klinik vorgestellt: Lisa mag nur wenig fressen. Da sie aus dem Fang riecht und auch Zahnstein hat, denkt Herrchen an Zahnschmerzen, eventuell auch an eine Gastritis, denn sie frisst in den letzten Tagen vermehrt Gras. 

Lisa flitzt, rassetypisch, quirlig durch den Untersuchungsraum. Bei der allgemeinen Untersuchung auf dem Behandlungstisch muss bestätigt werden, dass die Zähne der Hündin hochgradigen Zahnstein und ihre Maulhöhle weitere Veränderungen in Form von kleinen Wucherungen aufweisen. Doch das, was besonders, neben dem Vorhandensein einiger Gesäugetumore, auffällt, ist die gelbliche Verfärbung des Teils des Auges, der Sklera. "Sklera" ist der lateinische Fachausdruck für die Lederhaut des Auges. Aufgrund ihrer weißlichen Farbe wird sie auch weiße Augenhaut genannt. Sie umschließt den Augapfel fast vollständig und schützt das Auge. 

Lisas Bauch zeigt sich beim Betasten etwas druckempfindlich. Das hauptsächliche Problem der Hündin ist also eine Gelbsucht, ein sogenannter Ikterus, was sich labormedizinisch durch die deutliche Erhöhung des Gallenfarbstoffes im Blut (Bilirubinämie) bestätigte. Dadurch kann ihr übel sein, und ebenfalls ist dadurch die Appetitlosigkeit zu erklären.

Doch woher rührt der Ikterus? 

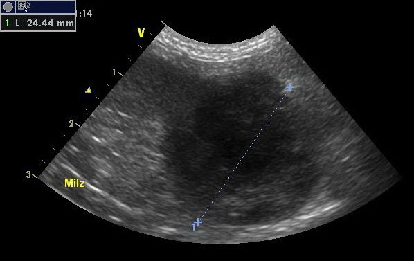
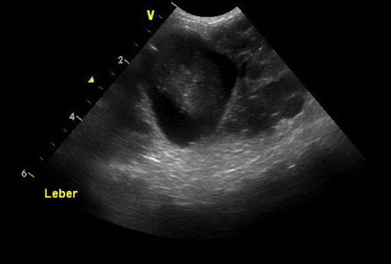
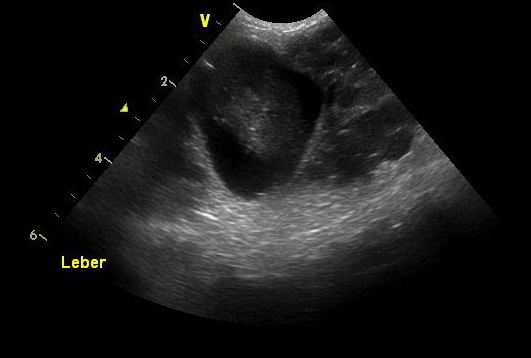
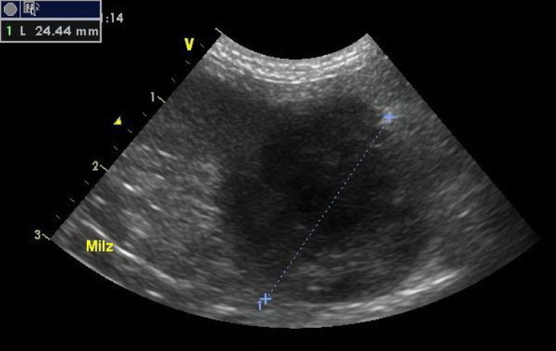
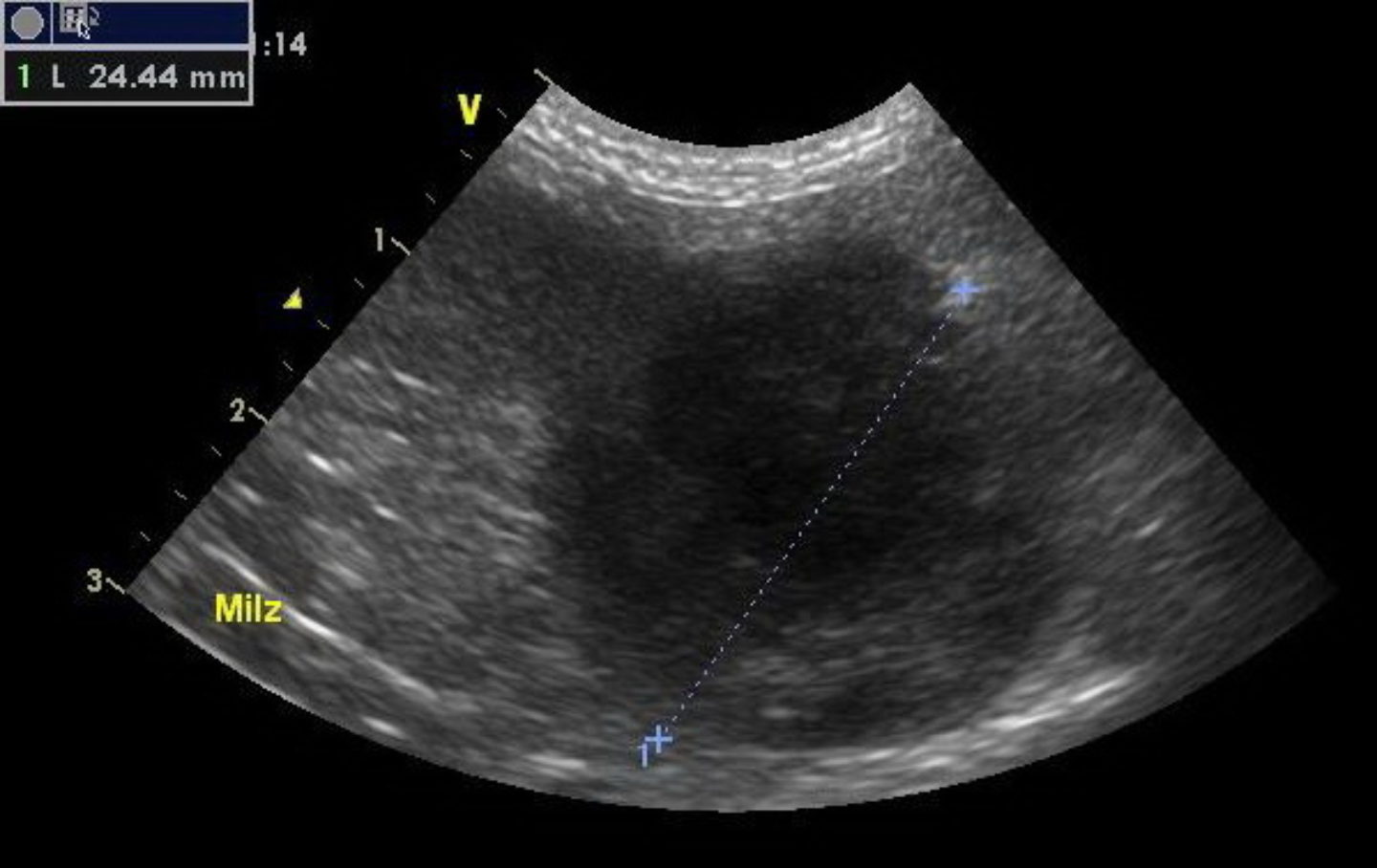
Um die Ursache zu ergründen, wurde bei Lisa eine Ultraschalluntersuchung des Bauchraumes durchgeführt. Hierzu wird der Patient mit dem Rücken in eine weiche kuhlenförmige Matte gelegt, der Bauch geschoren, mit Ultraschallgel bestrichen und mit verschiedenen Sonden „abgefahren“. Leider sind die Veränderungen, die wir im Bauchraum von Lisa finden, gar nicht schön: so ist in der Milz ein Tumor, der alsbald die Größe einer Faust hat. Darüber hinaus ist die gesamte Leber von Tumoren durchsetzt, und so kommt eine eventuelle chirurgische Hilfe für die kleine Hündin leider zu spät.

Ohne Milz, die relativ problemlos operativ entfernt werden kann, kann ein Organismus unproblematisch leben, ohne Leber leider nicht. Auch wenn die Tumore in Milz und Leber noch nicht aufgebrochen sind - was jedoch jederzeit passieren kann - und in die Bauchhöhle bluten, können wir Lisa nur noch palliativ behandeln. Im Vordergrund steht dann der bestmögliche Erhalt der Lebensqualität des Tieres und die Linderung von Schmerzen und anderer Symptome.

Festhalten ist leicht. Loslassen ist schwer.

Leider gibt es wie bei Lisa auch immer wieder traurige Fälle in der Tierklinik. Auch nicht selten haben Tierbesitzer einen Grund, weshalb sie mit ihrem Haustier in einer Klinik oder Praxis kommen und eine Vorstellung über dessen Ursache, die schließlich in gänzlich anderen Befunden mündet.

Was für den Tierfreund oft überraschend bis unbegreiflich ist, fordert im Vorfeld uns Tierärzte. Symptome, wie zum Beispiel Appetitlosigkeit und auffälliger Geruch aus dem Maul können mannigfaltig begründet sein. Und sofort geht der verästelte Baum möglicher Differenzialdiagnosen, also alternativer Diagnosen, auf. Jeder kennt das, wenn man rechts abbiegt, eröffnet sich alsbald die Möglichkeit erneut links oder erneut rechts abzubiegen oder einfach geradeaus zu fahren. Mancher Weg führt direkt zum Ziel, der Diagnose, mancher auf Umwegen, mancher nie - das ist und bleibt die Herausforderung! Und das zumal wir unsere Patienten zwar fragen können, doch eine Antwort erhalten wir eigentlich nicht.