Thrombozyten-Therapie bei Junghund Aaron

In der Klinik wurde der sechs Monate alter Golden Retriever-Mischlingsrüde "Aaron" vorgestellt, der seit vier bis sechs Wochen auf der linken Vordergliedmaße lahm ging, vor allem wenn er länger gelegen oder viel gespielt hatte. Aaron war als er in der Praxis vorgestellt wurde, altersgerecht geimpft und entwurmt, er fraß und trank normal und setzte normal Harn und Kot ab.

Klinische Untersuchung / Behandlungsverlauf
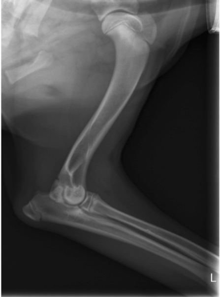
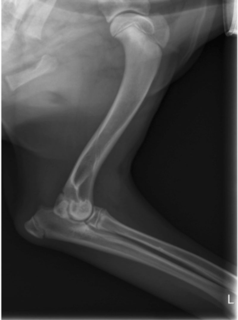
Aaron war munter und aufmerksam, sein Herz-Kreislauf-System und die Palpation des Abdomens waren unauffällig. Seine innere Körpertemperatur lag mit 38,9°C im physiologischen Bereich. Er ging hochgradig lahm auf der linken Vordergliedmaße. Bei der Palpation des linken Vorderbeines konnte man eine deutliche Gelenkfüllung und eine Schmerzhaftigkeit des Ellbogengelenks feststellen. Alle anderen Gelenke waren frei beweglich und nicht schmerzhaft. Es wurde eine Röntgenuntersuchung beider Ellenbögen und Schultern durchgeführt. Die Schultern stellten sich röntgenologisch völlig unauffällig dar. An beiden Ellenbögen konnten Veränderungen in Form einer  Osteochondrosis dissecans (OCD = Knorpelveränderung) nachgewiesen werden, und der linke Ellbogen war hochgradig verdächtig für eine Ellbogendysplasie (ED) mit einem Frakturierten Processus Coronoideus medialis (FCP= abgebrochenes Knochenteil). Aufgrund der röntgenologischen Befunde wurden beide Ellenbögen arthroskopiert. Der Verdacht einer Ellbogendysplasie konnte in der Arthroskopie bestätigt werden. Das abgebrochene Knochenteil wurde entfernt und die Knorpelschuppen der OCD beidseits abgetragen.

Osteophytäre Zubildungen (Arthrosen) wurden am Gelenk diagnostiziert

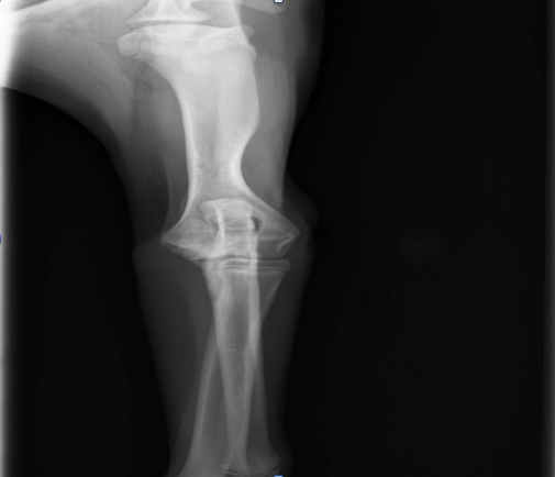
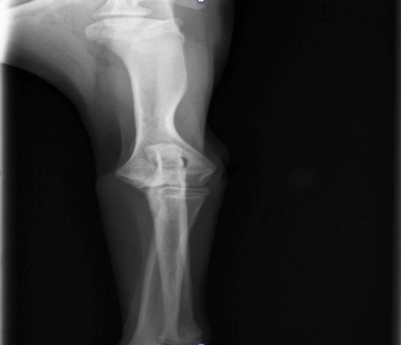
In den nächsten Tagen erhielt der Hund ein Schmerzmittel und Hyaluronsäure zum Knorpelaufbau und ging regelmäßig zur Physiotherapie. Aaron lief vier Wochen lahmfrei ohne Schmerzmittel. Danach ging er wieder zunehmend lahm. Er zeigte wieder deutliche Gelenkergüsse in beiden Ellenbögen. Es wurde eine Computertomographie-Untersuchung (CT) beider Ellenbögen durchgeführt. Im CT wurden mehrere osteophytäre Zubildungen (Arthrosen) am Gelenk diagnostiziert, welche infolge des permanenten Entzündungsreizes entstanden sind. Weitere knöcherne Veränderungen und eine erneute abgelöste Knorpelschuppe (OCD) konnte nicht gefunden werden.

Aufgrund der im CT erhobenen Befunde wurde bei Aaron eine Thrombozytentherapie (V-PET) durchgeführt. V-PET gehört zur regenerativen Therapie und setzt auf die natürlichen Selbstheilungskräfte des Körpers. Dazu werden Thrombozyten spezifisch aus dem eigenen Blut des Hundes filtriert, die über die Ausschüttung von Wachstumfsaktoren Gewebe regenerieren. In Narkose wurden die Ellenbögen und die Blutentnahmestelle der Jugularvene chirurgisch vorbereitet. Es wurde ca. 60 ml Blut aus der Jugularvene entnommen und  in die spezielle Filtervorrichtung gegeben. Nach ca. 15 Minuten war das Thrombozyten-Konzentrat fertig hergestellt und konnte in die beiden Gelenke steril injiziert werden. Der Hund bekam über einen Zeitraum von einer Woche noch Schmerzmittel, sollte sich noch schonen und regelmäßig zur Physiotherapie gehen. Zwei Monate nach der Behandlung wurde Aaron bei uns in der Klinik nochmal vorstellig. Er ging völlig lahmfrei und seine Ellenbögen waren nicht mehr schmerzhaft.

V-PET
Bei dieser Form der Therapie werden körpereigene Thrombozyten aus dem Blut des Tieres gewonnen. Bei V-PET wird das körpereigene Blut des Patienten filtriert und das Thrombozytenkonzentrat steril gewonnen. Die Verträglichkeit ist aufgrund der körpereigenen Substanzen hervorragend. Die Thrombozyten sind für die Blutstillung, die Schmerzreduktion, die Regulation der Entzündung und die Regeneration des Gewebes verantwortlich. Es werden nach der Aktivierung verschiedene Wachstumsfaktoren aus den Thrombozyten freigesetzt, die an der Wundheilung und Regeneration des Gewebes beteiligt sind. V-PET wird bei der Behandlung von Sehnen- und Bänderschäden, von Arthrosen und Wunden angewandt. Nach einer erfolgreichen Therapie können Schmerzmittel oft reduziert, bzw. abgesetzt und die Lebensqualität und Mobilität des Hundes deutlich gesteigert werden. So genießt Aaron nun die neue schmerzfreie Bewegung bei ausgedehnten Spaziergängen.

Weitere Informationen zur V-PET Thrombozytentherapie gibt es übrigens unter www.tier-pet.de.