Ellenbogengelenksarthrose bei Labrador ...

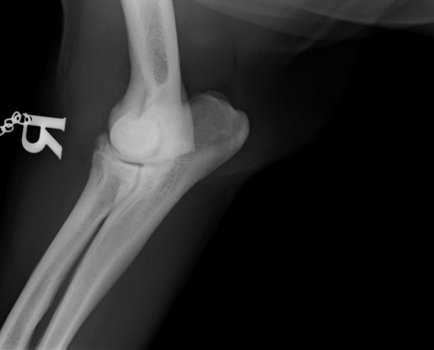
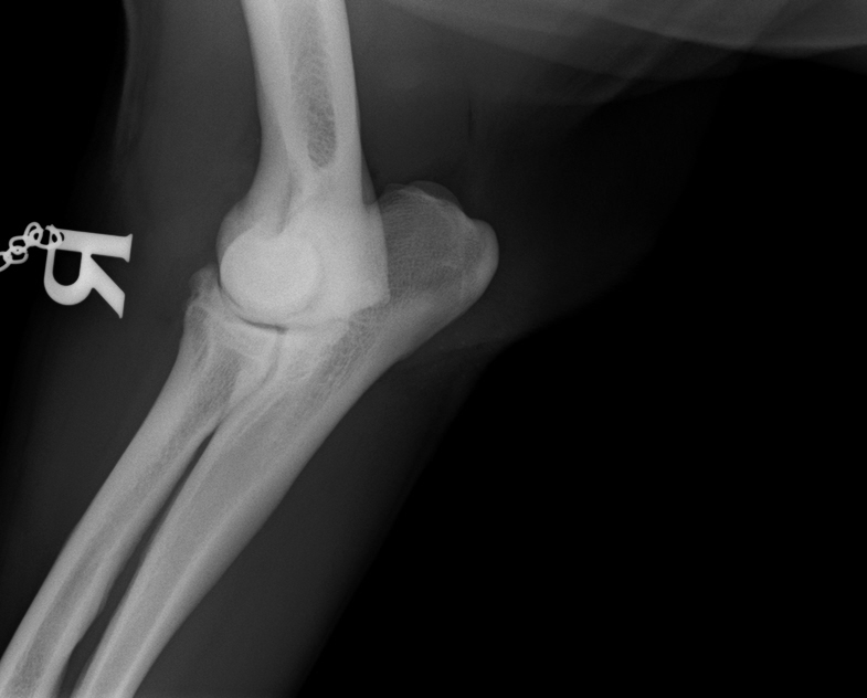
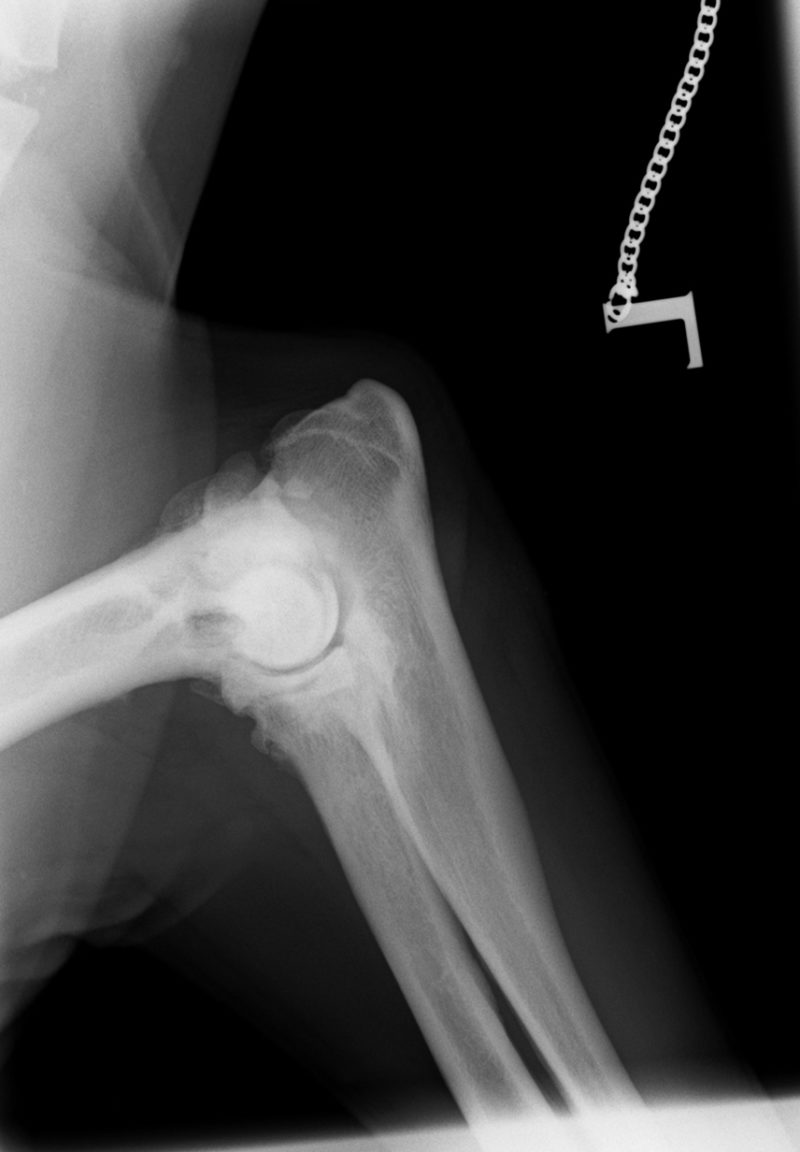
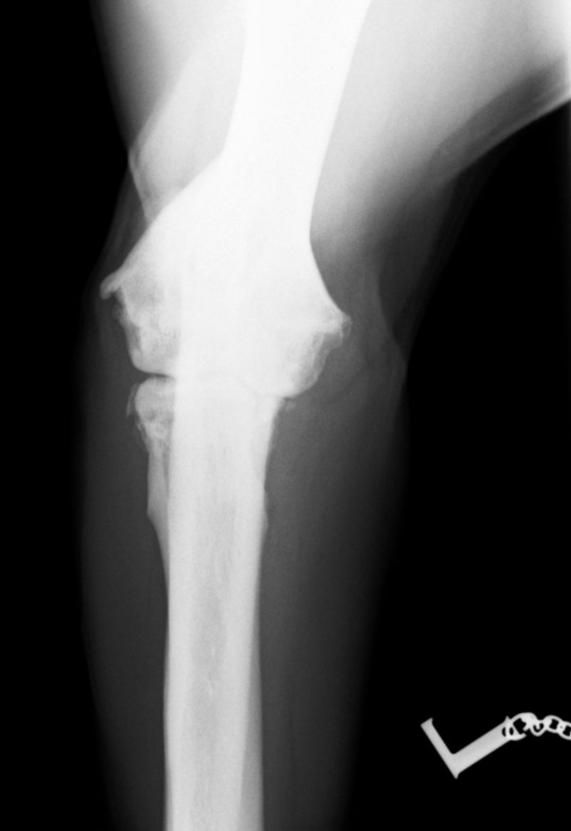
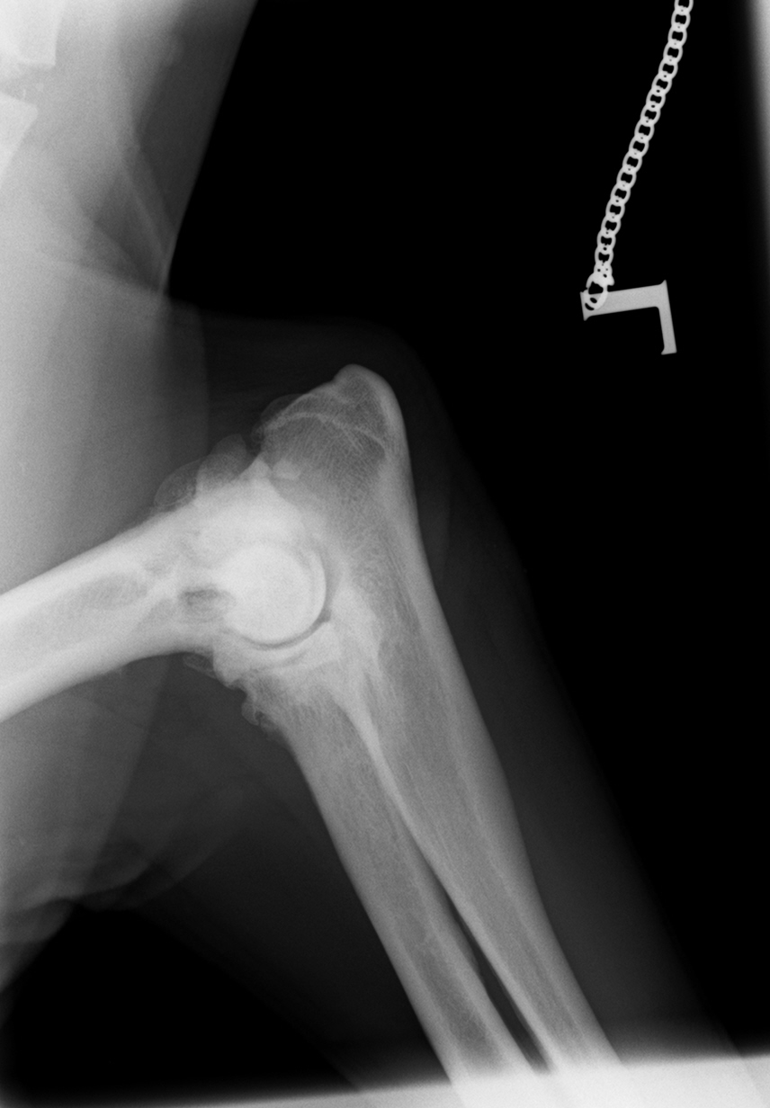
Im August 2013 wurde ein acht Jahre alter männlich kastrierter Labrador mit beidseitig hochgradiger  Ellenbogengelenksarthrose vorgestellt. Der Hund war beidseits wegen eines frakturierten Processus Coronoideus (Der Proccesus Coronoideus stellt einen wichtigen knöchernen Stabilisator des Ellenbogengelenks dar) operiert, einseitig nachoperiert und auf beiden Seiten mehrfach mit Cortison-Injektionen behandelt worden.

Der Hund erhielt zum Zeitpunkt der Vorstellung entündungshemmende und schmerzstillende Medikamente. Er erhielt Physiotherapie und war deutlich übergewichtig. Der Hund galt aus austherapiert - die Besitzer dachten über eine Ellbogengelenksarthrodese (Gelenkversteifung) nach. 

Noch im August 2013 wurde er in Vollnarkose beidseits mit der Thrombozytentherapie behandelt. Thrombozyten sind sogenannte Blutplättchen, die eine wichtige Rolle bei der Blutstillung spielen. Sie heften sich bei Verletzungen an das umliegende Gewebe an und sorgen dafür, dass u.a. geschädigtes Gewebe wieder "aktiviert" werden kann. Bei dieser Behandlungsmethode werden diese aus dem eigenen Blut des Hundes gewonnen und aufkonzentriert. Die Filtration mit V-Pet ist die Methode, um besonders viele und wirksame Thrombozyten schonend zu erhalten. Das Konzentrat wird anschließend in das geschädigte Gewebe gespritzt - in diesen Fall in das befallene Ellenbogengelenk des Labradors. 

Schon drei Wochen nach der Therapie besserte sich das Gangbild deutlich, der Hund lahmte nach Aussagen der Besitzer viel weniger und wollte wieder länger spazieren gehen. Zeitweise konnte sogar die Dosis entzündungshemmender Medikamente um die Häfte reduziert werden.
 
Der Effekt hielt etwa ein Jahr an, dann wurde die Lahmheit wieder schlimmer. Eine weitere Thrombozytenbehandlung nach 13 Monaten ergab erneut eine deutliche Verbesserung der Lahmheit für ca. acht Monate. 

40 Hunde mit C-Pet behandelt

Insgesamt haben wir über 40 Hunde mit C-Pet behandelt, darunter war nur ein Therapieversager, bei allen anderen kam es nach Aussage der Besitzer zu einer deutlichen Verbesserung der Lahmheit. Dabei wurde von uns im überwiegenden Teil der Fälle Ellbogengelenke behandelt, dreimal ein Kniegelenk, einmal eine Hüftgelenk und einmal Zehengelenke.
 
Ich stand offen gesagt der C-Pet-Technologie (Canine Platelet Enhancement Therapy) sehr kritisch gegenüber. Die Thrombozytenaufbereitung bei Hunden und habe sie daher auch zunächst nicht bei meiner Kundschaft beworben. Der Erfolg hat mich jedoch überzeugt. Was mir besonders gefällt ist das Prinzip des "nihil nocere" (kein Schaden) durch die Verwendung einer körpereigenen Substanz. Bei intraartikulären Injektionen mit Cortison habe ich fast immer einen schädigenden Langzeiteffekt beobachtet. Allerdings sollte man C-Pet - wie jede Gelenksinjektion- nur unter ganz sterilen Bedingungen durchführen, was beim Hund fast nur in Narkose oder tiefer Sedation möglich ist.

Weitere Informationen zur V-PET Thrombozytentherapie gibt es übrigens unter www.tier-pet.de.