Sportskanone Chicko

Der Border Collie „Chicko“, acht Jahre alt, eine Sportskanone, wurde vor zwei Wochen in unserer Praxis vorgestellt. Die Besitzer sind kürzlich im Urlaub gewesen und berichteten, der Hund habe dort erbrochen und vom Tierarzt im Notdienst eine Spritze gegen Übelkeit erhalten. Seither fräße Chicko aber weiterhin nur verhalten, darüber hinaus sähen seine Augen nun gelb aus.

In der klinischen Untersuchung ließ Chicko sich keine Bauchschmerzen anmerken und wurde einer Blutuntersuchung unterzogen. Im roten Blutbild zeigte sich keinerlei Veränderung, das Organprofil offenbarte jedoch eine leichte Erhöhung der Leberwerte und eine merkliche Erhöhung des Bilirubins. Bilirubin ist ein gelb gefärbtes Abbauprodukt des roten Blutfarbstoffs. Es wird in der Leber gebildet, in der Galle gesammelt und dann in der Nähe der Bauchspeicheldrüse in den Darm abgegeben. In Chickos Fall sorgte es für die gelbe Färbung von Sklera und Schleimhäuten. 

Ikterus: Diese Gelbfärbung, „Ikterus“ genannt, kann verschiedene Ursachen haben:

1. Prähepatischer Ikterus
Wie der Name bereits sagt, ein Ikterus, der durch Störungen vor dem Eintritt des Bilirubins in die Leber hervorgerufen wird. Es entsteht schlichtweg zu viel Bilirubin, beispielsweise bei Krankheiten, Medikamenten oder Vergiftungen, durch die massiv rote Blutkörperchen absterben und der Blutfarbstoff abgebaut wird. In Chickos Blutbild gab es keinen Hinweis darauf.

2. Hepatischer Ikterus
Hierbei handelt es sich um Probleme innerhalb der Leber, die den Gallefluss beeinträchtigen. Dazu gehören Prozesse wie Entzündungen, Tumore, Leberfibrose oder Gallensteine. Konsequenz: Die intrahepatischen Gallengänge werden abgedrückt oder verstopfen von innen, die Galle kann nicht ausreichend in den Darm abfließen (Cholestase), das Bilirubin verbleibt im Körper.

3. Extrahepatischer Ikterus
Prozesse außerhalb der Leber, also zwischen Gallenblase und Darm, verhindern den Abtransport der Galle. Auch hierbei können Entzündungen, Tumore und Gallensteine beteiligt sein. 

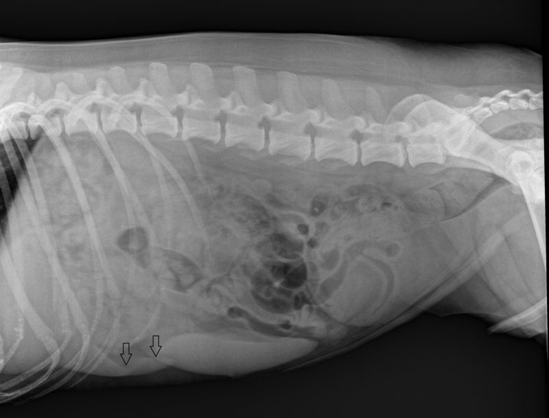
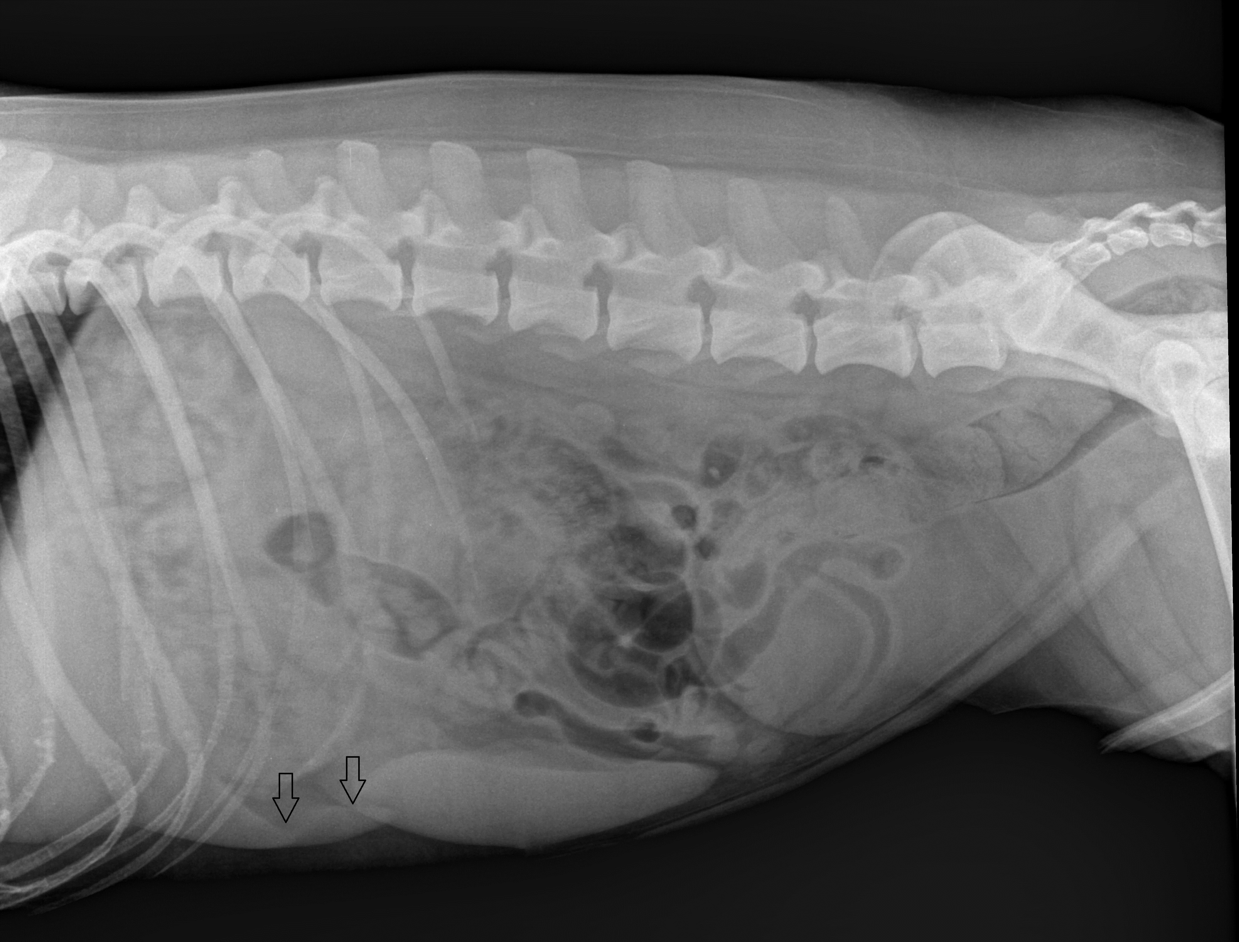
Wir vermuteten eine der letzten beiden Möglichkeiten bei unserem Patienten. Problem ist, dass der Ausführungsgang der Galle, der Ductus choledochus, beim Hund nur 2-3 Millimeter im Durchmesser misst und entsprechend schon winzige Veränderungen zu einer Einengung dieses Kanals führen. Chickos Röntgenbild zeigte lediglich eine geringgradige Vergrößerung der Leber, gab aber keinen Hinweis auf die Ursache seines Leidens. Ein Teil seiner Blutproben wurde ins Labor geschickt, um Leberschäden verursachende Infektionskrankheiten auszuschließen. Die Tests fielen jedoch alle negativ aus.

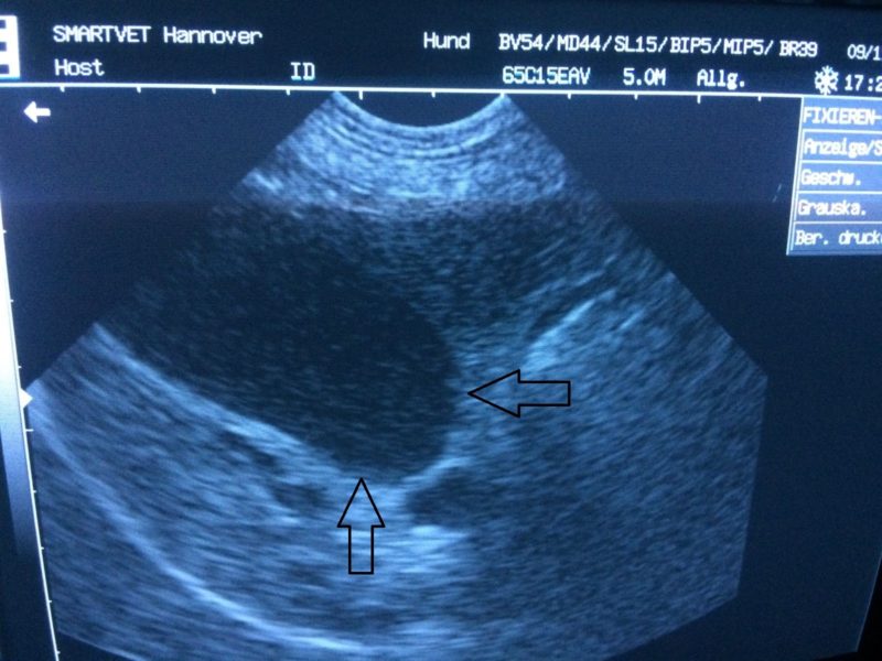
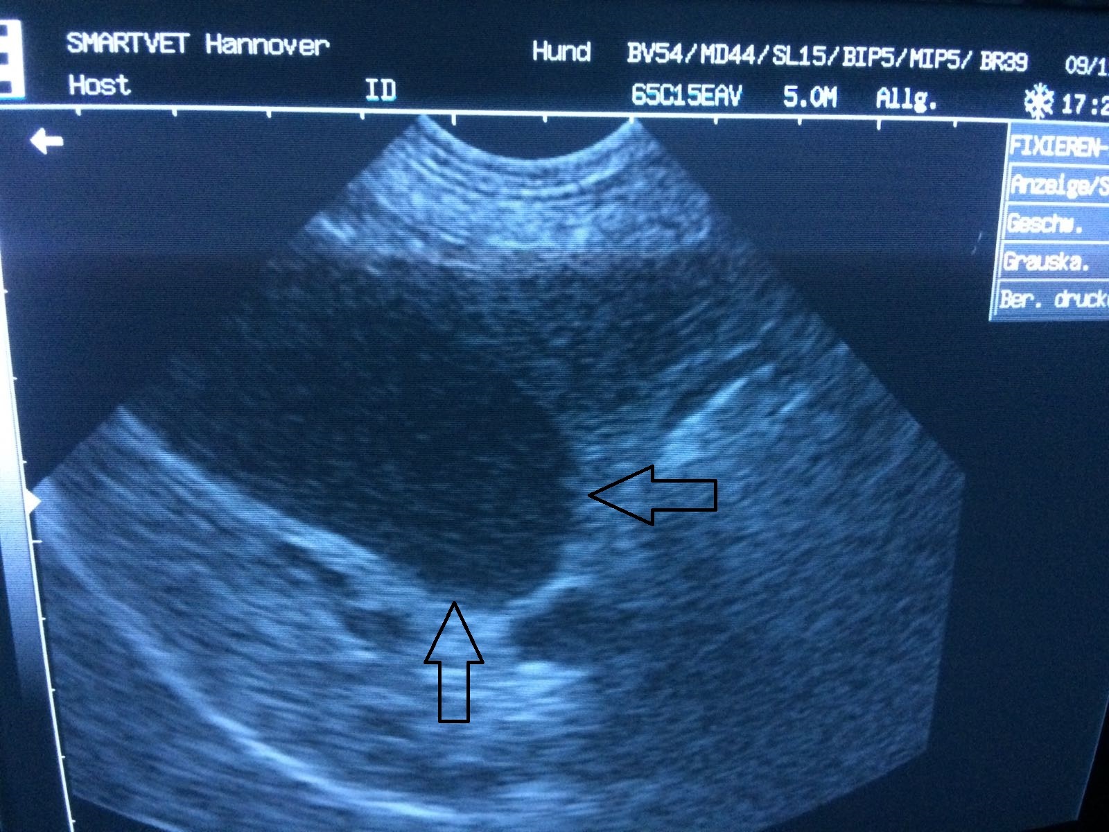
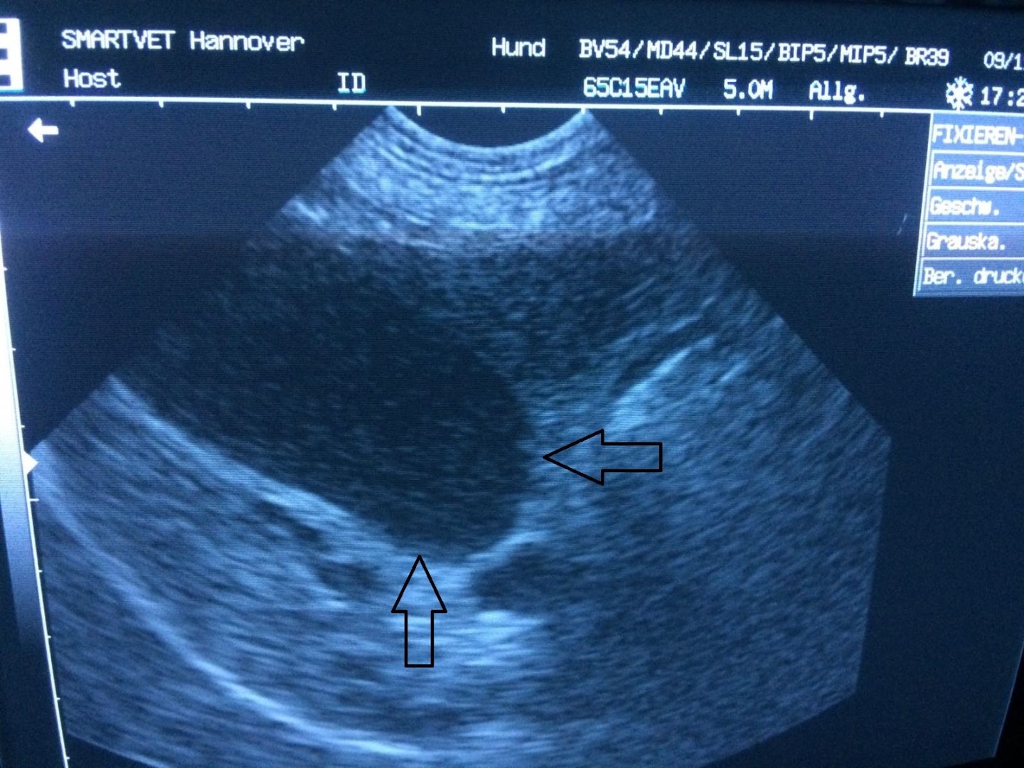
Ein Ultraschall sollte etwas Licht ins Dunkel bringen. Von der Textur, der inneren Beschaffenheit des Gewebes, sah die Leber im Ultraschall trotz ihrer leichten Größenzunahme vorbildlich aus - ohne Vernarbungen, ohne Tumore. Einzige Auffälligkeiten waren Sludge in der Gallenblase (eingedickte Galle), dazu eine Entzündung im Lebergewebe rund um Chickos Gallenblase herum und eben eine Stauung der Gallengänge. 

Wir hofften auf eine Abflussstörung, die durch die Entzündung verursacht wurde.
Eine Infusionstherapie sollte die Konzentration von Schadstoffen in seinem Blut senken. Es wurden Antibiotika und zudem Medikamente gegeben, die das sanfte Austreiben der Galle begünstigen sollten. Bei entzündlichen Ursachen des Gallestaus können diese Maßnahmen schon zu einer Besserung führen. Klinisch besserte sich Chickos Allgemeinzustand augenblicklich: Er fraß wieder, wurde lebenslustiger.

Leider jedoch verschwand der Ikterus nicht. Es wurde eine erneute Blutuntersuchung gemacht. Die Leberwerte und die Konzentration des Bilirubins waren exorbitant angestiegen! Ein herber Schlag für die Besitzer, die  einen fröhlichen Hund zu Hause gehabt und sich eine Besserung der Blutparameter erhofft hatten.

Für Chicko waren nun Blut- und Urintests in unserer Praxis und auch im externen Labor gemacht worden, Röntgen, Ultraschall und unzählige klinische Untersuchungen hatte der Rüde mitgemacht, und nichts hatte die Ursache für sein Gallenleiden hervorbringen können. Wir zogen die letzte Konsequenz: Eine Probe-Laparotomie sollte gemacht werden, eine operative Eröffnung seines Bauches, um zu sehen und zu fühlen, was der Galle auf der Strecke von der Gallenblase zum Darm den Weg versperrte, und um gegebenenfalls Proben von Leber und Galle zu nehmen.

Eine Narkose an einem leberkranken Hund plant man nicht leichtfertig, da fast alle Narkose- und Schmerzmittel einen negativen Effekt auf die Leber haben. In der OP zeigte sich aber, dass die Entscheidung für den Eingriff richtig gewesen ist. Die Bauchspeicheldrüse schien vergrößert - möglicherweise ein Tumor. Das Rätsel nach dem Grund der Stauung der Galle war damit gelöst.

Auf die Ergebnisse der Biopsie warten wir alle nun gespannt, hoffen auf die Nachricht, dass die Veränderung nur entzündlicher Natur ist. Jedoch ist zu befürchten, dass es sich um ein Adeno-Karzinom, also einen bösartigen Tumor, handeln könnte. In diesem Falle gäbe es für Chicko keine Heilung mehr.

Das Ergebnis: Knapp eine Woche nach Operation kam dann das unglaubliche Ergebnis aus der pathologischen Abteilung des Labors. Es fanden sich im eingesendeten Gewebe tatsächlich keinerlei Hinweise auf einen malignen neoplastischen Prozess, sprich Krebs, sondern ausschließlich Anzeichen für eine fibrosierende Pankreatitis, also eine chronische Entzündung der Bauchspeicheldrüse! Natürlich ist auch eine solche Erkrankung ernst zu nehmen, doch für Chicko bedeutet sie vor allem eins: Seine Krankheit ist behandelbar! Uns bleibt nun nur noch, den Rüden medikamentell bei seiner Genesung zu unterstützen und zu hoffen, dass er bald wieder ganz der Alte ist.