Pulmonalstenose beim Welpen

Im November 2014 wurde der Welpe Gonzo (Französische Bulldogge, männlich, 6 kg Körpergewicht) erstmals in meiner Herzsprechstunde des Tierärztlichen Fachzentrum Bayreuth vorgestellt. Vorberichtlich wurde im Rahmen der Erstimpfung, die leider wie so oft nicht beim Züchter erfolgte, von der Haustierärztin ein sehr lautes Herzgeräusch festgestellt. Gonzos Verhalten war unauffällig - Symptome wie Husten, Würgen, Blaufärbung der Schleimhäute oder Ohnmachtsanfälle, die mit einer Herzerkrankung einhergehen könnten, wurden nicht beobachtet.

Beim Abhören des Herzens fiel mir ein sehr lautes Herzgeräusch auf, welches links am Brustkorb im Bereich der Herzbasis unter der Schulter am deutlichsten zu hören war. Der Puls von Gonzo war kräftig und nicht zu schnell. Die klinische Untersuchung verlief ansonsten unauffällig. Die Röntgenaufnahme des Brustkorbes und das EKG sprachen für eine deutliche Rechtsherzvergrößerung.

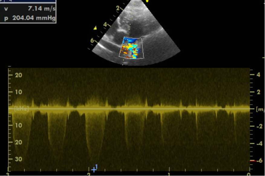
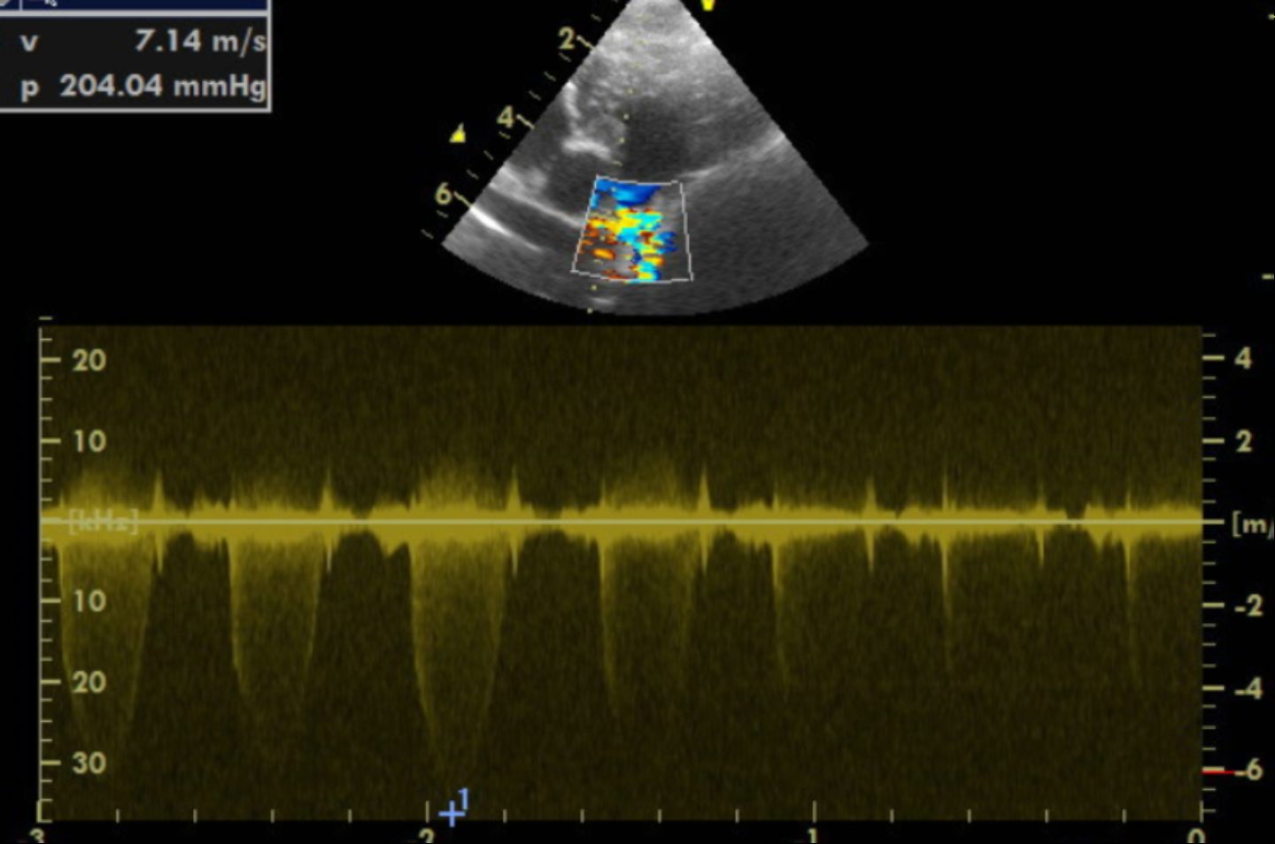
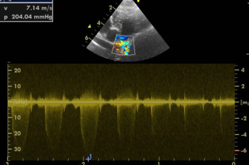
Im Herzultraschall zeigte sich eine hochgradig verdickte Muskulatur der Kammerwände der rechten Hauptkammer aufgrund einer hochgradigen Druckerhöhung. Es offenbarten sich außerdem angeborene Veränderungen der Mitralklappen und der Trikuspidalklappen. Bei der Darstellung der Pulmonalarterie zeigte sich eine missgebildete Pulmonalklappe, die wenig beweglich war. Zudem schloss und öffnete sie sich nicht vollständig. Die hochgradige Verwachsung der Pulmonalklappenöffnung führte zu einem sehr starken Anstieg des Blutdrucks von normalerweise 20 mmHg (Millimeter Quecksilbersäule) auf über 200 in der rechten Hauptkammer. Außerdem war der Klappenring der Pulmonalarterie sehr eng angelegt, wodurch der Schweregrad zusätzlich negativ beeinflusst wurde.

Kompikation: Rechtsherzversagen

Der Patient wurde von mir an die Medizinische Kleintierklinik der LMU München an die Abteilung für Tierkardiologie unter der Leitung von Prof. Dr. Gerhard Wess überwiesen, der durch einen Ballonkathetereingriff die missgebildete Herzklappe aufdehnen sollte. Eigentlich war für Gonzo ein regulärer Termin geplant, da der rechte Vorhof noch nicht stark vergrößert und die Lebervenen im Ultraschall noch nicht gestaut waren. Es wurden bis zum Termin an der Uniklinik drucksenkende Medikamente (Atenolol) verabreicht. Gonzo beschloss leider bereits vor dem regulären Termin bei Prof. Dr. Wess, ein Rechtsherzversagen zu entwickeln. Er bekam eine enorme Ansammlung von freier Flüssigkeit im Bauch (Aszites), was durch den erhöhten Druck im venösen System passieren kann. Es mussten unmittelbar eine Therapie des Herzversagens mit entwässernden Medikamenten und eine Punktion des Bauchwassers durchgeführt werden.

Wir zögerten nicht, sofort die Abteilung der Tierkardiologie der Uni München darüber zu informieren, dass Gonzo einen zeitnahen Termin zur Ballonvalvuloplastie (interventioneller Eingriff zur Aufdehnung der Pulmonalklappen mit einem Ballonkatheter) braucht. Die Abteilung für Tierkardiologie ermöglichte dies nach Stabilisierung des Herzversagens.

Ballonvalvuloplastie

Bei der Ballonvalvuloplastie wird in Vollnarkose ein Herzkatheter über die Halsvene minimalinvasiv über den rechten Vorhof in die rechte Hauptkammer des Herzens vorgeschoben. Der Katheter wird anschließend von der rechten Hauptkammer in die Pulmonalarterie geführt und der Ballon am Katheter wird genau auf Höhe der Engstelle der Pulmonalklappen platziert. Unter Röntgenkontrolle wird der Ballon, der sich an der Spitze des Herzkatheters befindet, mit einem Kontrastmedium aufgepumpt - so wird die Verklebung der immobilen Pulmonalklappe gelöst.

Bei Gonzo konnte der hochgradige Druckgradient von initial über 200 mmHg um mehr als 50 % auf 75 mmHg gesenkt werden. Dies stellt einen überaus erfolgreichen Verlauf des Eingriffes dar. Gonzos Druckgradient in der rechten Hauptkammer konnte vom hochgradigen Bereich erfolgreich auf einen mittelgradig erhöhten Druckgradienten gesenkt werden! Dies bedeutet für Gonzo, dass durch den Eingriff, der minimalinvasiv und ohne Eröffnung des Brustkorbs erfolgte, eine normale Lebenserwartung mit normaler Lebensqualität erzielt werden konnte. Der interventionelle Eingriff hat sich für Gonzo und seine Besitzer gelohnt! Fünf Jahre später geht es Gonzo nach wie vor sehr gut.

Die OP wurde übrigens durch eine Spendenaktion, die die Besitzer über soziale Medien ins Leben gerufen hatten, finanziert.

Die Ballonvalvuloplastie stellt einen minimal invasiven Herzkathetereingriff mit großen Erfolgsaussichten dar, wobei post OP nur eine winzige Hautnaht am Hals zu sehen ist. In Vollnarkose wird dabei ein Herzkatheter über die rechte Halsvene in den rechten Vorhof und die rechte Hauptkammer des Herzens und anschließend in die Pulmonalarterie geführt. Anschließend wird der Ballon mit einem Kontrastmedium gefüllt und die Stenose behoben. Komplikationen sind selten.“

Dr. Christel Schinner-Peters, Kardiologin

Pulmonalstenose

Die Pulmonalstenose ist eine angeborene Missbildung, die das Ausströmen des Blutes am rechten Ventrikel beeinträchtigt. Sie zählt zu den drei häufigsten angeborenen Missbildungen am Herzen beim Hund. Die häufigste Form stellt die valvuläre Pulmonalstenose dar, bei der die Klappensegel miteinander verwachsen sind oder der gesamte Klappenring verengt ist. Einige Hunderassen haben dafür eine Rasseprädisposition, dazu zählt auch die Französische Bulldogge.

Je höher der Druck in der rechten Kammer ist, desto hochgradiger wird die Verdickung der Muskulatur im rechten Herzen. Symptome können Schwäche, Synkopen (Ohnmachtsanfälle) oder ein Rechtsherzversagen sein (wie im Falle von Gonzo, der dadurch eine hochgradige Bauchwassersucht entwickelte). Während leicht bis mittelgradig betroffene Patienten eine normale Lebenserwartung haben, erwartet hochgradige Patienten ohne Eingriff in der Regel ein vorzeitiges Ableben. Dabei zählt bereits ein Druckgradient von 80mmHg als hochgradig. Gonzo hatte anfangs einen Druckgradienten von über 200 mmHg! Eine Absenkung durch den Eingriff auf 75 mmHg spricht für einen absolut erfolgreichen Eingriff.

FAZIT: Augen auf beim Welpenkauf!

Augen auf beim Welpenkauf! Seriöse Züchter lassen ihre Welpen vor dem Verkauf tierärztlich untersuchen und impfen, die Tiere werden üblicherweise auch mehrmals entwurmt, gechipt und mit einem EU Pass an die neuen Besitzer abgegeben!