Hoffnung Goldakupunktur - Polyarthrose bei Blindenhund "Marlon"

Ein ganz besonderer Fall für mich war "Marlon", ein fünfjähriger Labrador. Sein Herrchen ist sehbehindert und braucht Marlon zur Bewältigung seines Alltags. Marlon wurde uns von seiner Ausbildungsstelle, der Blindenschule, überwiesen. Sie bat um Überprüfung der Vorhandlahmheit links mit der Verdachtsdiagnose Ellbogengelenksdysplasie (ED) und setzte viel Hoffnung in die Goldakupunktur. Marlon lahmte schon seit Wochen, und die bisher verabreichten Schmerzmittel von der Haustierpraxis hatten keine Besserung erbracht. Als Blindenführhund wird von Marlon täglich voller Einsatz und Konzentration gefordert - er darf nicht durch Schmerz abgelenkt sein.

Schulmedizinische und Ganzheitliche orthopädische Untersuchung

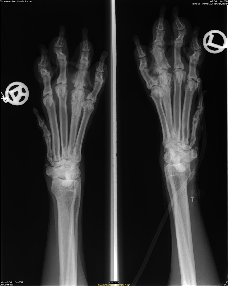
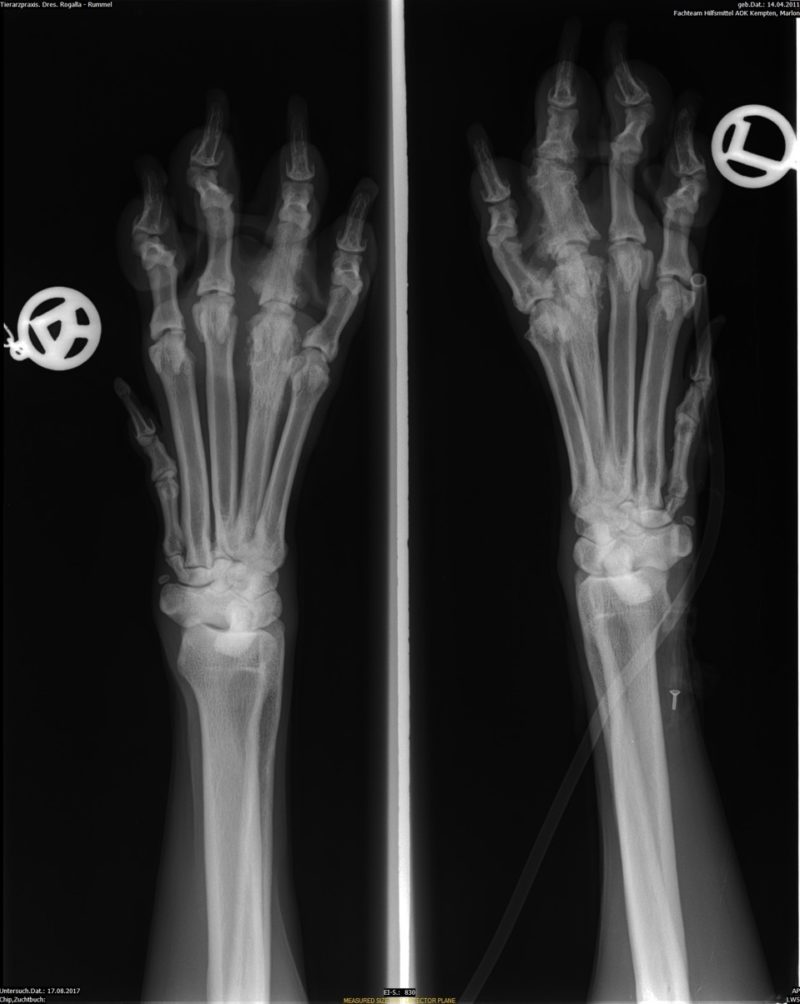
Zunächst erfolgte eine ausführliche schulmedizinische orthopädische Untersuchung - der gesamte Bewegungsapparat wurde in der Bewegung und Ruhe beurteilt. Das Vorlaufen in allen Gangarten im Freien klappte bei Marlon sehr gut - auch wenn Herrchen nicht mitlief. Dann erfolgte eine spezielle palpatorische Untersuchung, die sogenannte Akupunktur-Triggerpoint-Diagnostik. Mit dieser Methode wird anhand der ertasteten muskulären Fehlstellungen das individuelle Schmerzmuster des Hundes erkannt. So können wir jene Punkte bestimmen, in die das Gold implantiert werden muss, um Marlons Schmerzen zu unterdrücken. Marlon schmerzte die gesamte linke Seite, nun musste im Röntgen überprüft werden, welches Gelenk für die Schmerzen verantwortlich ist.

In Narkose wurden Ellbogen, Schulter und Pfoten beidseitig geröntgt. Wie schon vermutet, lag das Problem nicht am Ellbogen, vielmehr waren die Zehengelenke der linken Pfote arthrotisch verändert (Polyarthrose). Ich wählte für Marlon jetzt ganz besondere Akupunkturpunkte aus, um seine Schmerzen zu nehmen. Mit einem kleinen Trokar wurden die Goldbits in diese Punkte implantiert, (funktioniert ähnlich wie das Setzen eines Mikrochips) - die kleinen Einstichstellen verheilten schnell.

Sieben Monate später ...

Sieben Monate sind inzwischen vergangen. Marlon hat bis heute keine Schmerzen mehr gezeigt. Dieser Erfolg hat mich besonders berührt, da nun Marlon wieder schmerzfrei „seinen Job“ erfüllen kann. Sein Herrchen macht Karate und beide kämpfen erfolgreich auf Sieg.

Leider ist es so, dass unsere Hunde sehr häufig an chronischen Arthroseschmerzen leiden. Dabei ist es völlig unerheblich, ob die Arthrose sich entwickelt hat durch ein Trauma, eine Gelenkoperation oder unphysiologische Belastung, wie es bei der HD oder ED der Fall ist. Der Leidensweg dieser Hunde ist stets lang, denn bis heute gibt es kein Medikament, das die Arthrose heilt. Unsere Hunde haben immer größere Schmerzen. Das hängt damit zusammen, dass beim chronischen Arthrosepatienten die Schmerzschwelle sehr niedrig geworden ist. Das heißt, dass ganz kleine Reize große Schmerzantworten auslösen. Für den Hund bedeutet es, dass Bewegungen schmerzen, die normalerweise nicht wehtun würden, und im fortgeschrittenen Stadium löst sogar jeder Schritt Schmerzen aus.

Die Goldakupunktur ist eine so schonende Operation mit einer hohen Erfolgsquote, dass sie als mögliche Therapie vor größeren Eingriffen in Erwägung gezogen werden sollte."

Dr. Margit Rogalla, Tierärztin in Nidderau

Die Schulmedizin kennt keinen anderen Ausweg als die Gabe von Schmerzmitteln. Doch die Beschwerden können so erheblich werden, dass diese auf Dauer nicht mehr wirken. Manche Hunde vertragen auch die Schmerztabletten nicht. Viele Hundebesitzer wollen sie auch nicht ein Leben lang geben, da die Organe geschädigt werden können. Diesen chronischen Schmerzpatienten kann mit der Goldakupunktur – eine absolut nebenwirkungsfreie Sonderform der Schmerztherapie - geholfen werden. Wir haben diese Methode 1996 mit einigen wenigen Akupunkturspezialisten in Deutschland eingeführt. Inzwischen habe ich Tausende von Hunden "vergoldet" und regelmäßige Kontrolluntersuchungen durchgeführt. Es hat sich deutlich gezeigt, dass der Erfolg bei den jüngeren Hunden größer ist als bei den älteren Hunden. Werden dem jungen Hund von klein auf die Schmerzen genommen, bleibt er bewegungsfreudig und bildet einen straffen Muskelapparat aus, der ihn trägt. Ein starker Halteapparat sorgt dafür, dass alle Gelenke gleichmäßig belastet werden und die Arthrose sich sogar langsamer entwickelt. Deswegen raten wir, Hunde, bei denen eine HD oder ED festgestellt wurde, so früh wie möglich zu behandeln. Es macht keinen Sinn abzuwarten, bis die ersten Beschwerden auftreten.

FAZIT

Unsere Hunde gewinnen deutlich an Lebensqualität. Die meisten benötigen keine Schmerzmittel mehr, sie haben wieder Freude an der Bewegung und sind wieder "lebenslustiger". Viele Hunde nehmen sogar wieder aktiv am Hundesport teil. Die Goldakupunktur ist eine so schonende Operation mit einer hohen Erfolgsquote, dass sie als mögliche Therapie vor größeren Eingriffen in Erwägung gezogen werden sollte.

Doch Vorsicht! Es ist keine Wundermethode, und die Patienten, die dafür in Frage kommen, müssen sehr kritisch und genau untersucht und ausgewählt werden, nicht jeder Patient ist geeignet. Die Goldakupunktur sollte von Tierärzten und Tierärztinnen durchgeführt werden, die auf Orthopädie und Schmerztherapie spezialisiert sind und eine Fachausbildung in Akupunktur haben.

Mehr Informationen zum Thema Goldakupunktur auf der Homepage der Praxis.