PDA beim Hund - "Wenn die Lokomotive im Herzen rauscht"

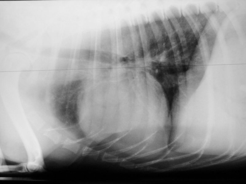
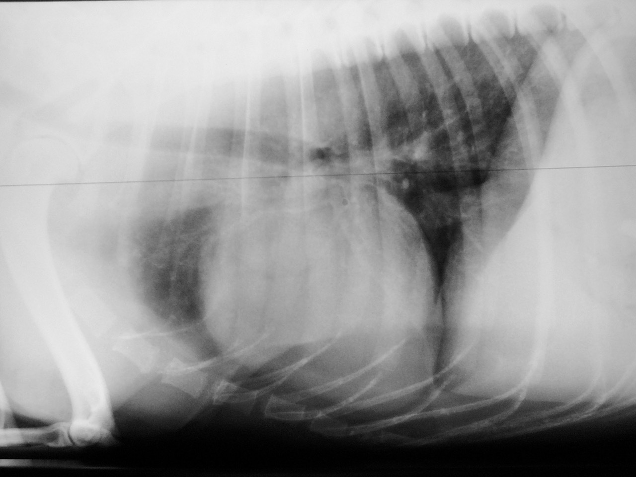
Der persistierende Ductus arteriosus botalli (PDA) bei Schäferhund Rike. In dem warmen Sommer 2018 ist die 7-jährige Schäferhund-Mischlingshündin  "Rike" mit Wärmelabilität und Kurzatmigkeit aufgefallen. Zum Herbst und Winter besserte sich die Symptomatik mit fallenden Temperaturen - anders als erwartet - jedoch nicht. Beim Haustierarzt wurde ein Herzgeräusch festgestellt und aus diesem Anlass ein Röntgenbild des Brustkorbs angefertigt. Der Befund bestätigte die Befürchtung: der Herzschatten war viel zu groß. Eine weiterführende Abklärung wurde empfohlen, und so kam die Hündin zur Vorstellung in meine Praxis für Tierkardiologie.

Herzuntersuchung

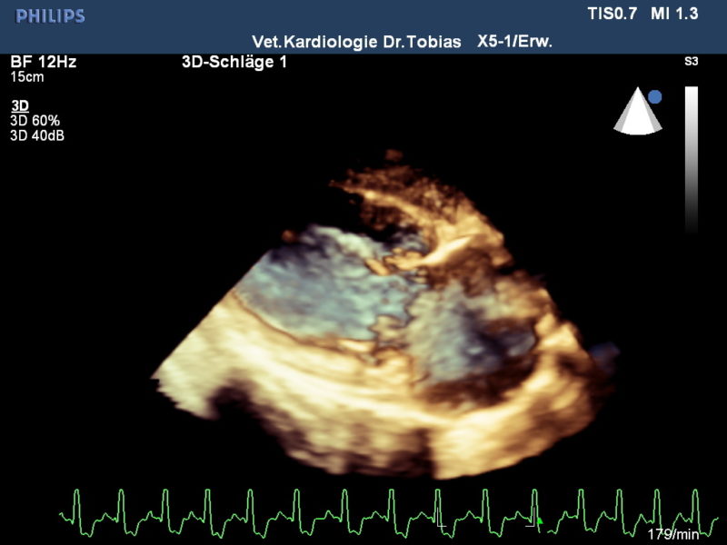
Neben der Auskultation und dem Röntgen stehen dem Veterinärkardiologen die gleichen Untersuchungsmethoden zur Verfügung, wie sie auch in der Humanmedizin Anwendung finden: das Elektrokardiogramm erlaubt eine Rhythmus und Frequenzanalyse, die Blutdruckmessung ist ungleich schwieriger als in der Humanmedizin und spielt bei Katzen eine größere Rolle als beim Hund, das Fundament der Kardiologie ist die Herzultraschalluntersuchung, die den Sitz und die Charakterisierung der Krankheit erlaubt sowie eine Schweregradbestimmung. Zur anatomischen Darstellung werden ein- und zweidimensionale Methoden genutzt, auch 3D- und 4D–Methoden sind in spezialisierten Einrichtungen zu finden. Die Blutflussdarstellung erfolgt mit verschiedenen Dopplermethoden, die viele Hundebesitzerinnen auch aus Schwangerschaftsuntersuchungen kennen. Neuere Methoden zur Herzmuskeluntersuchung sind die Speckle Tracking- und Gewebedopplermethoden.

Bei Rikes Abhöruntersuchung fiel bereits auf, dass das Herzgeräusch für einen 7-jährigen Hund eher ungewöhnlich war. Das Herzgeräusch über den Gefäßen Hauptschlagader und Lungenarterie im vorderen Brustabschnitt tönt wie eine fahrende Dampflokomotive: ein kontinuierliches Herzgeräusch, das zudem zu einem tastbaren Schwirren an der seitlichen Brustwand führte. Diese Art Geräusch ist typisch bei einer Shuntmissbildung, dem Ductus arteriosus botalli. Im hinteren Brustkorbabschnitt war ein systolisches Geräusch zu hören, wie es auch bei erworbenen Klappenerkrankungen auftritt. Diese Kombination ist nicht ungewöhnlich, folgt letzterer Befund oft auf ersteren. Ungewöhnlich ist das späte Alter in dem der angeborene Fehler zur Vorstellung und Diagnose kommt. In der Humanmedizin ist es allerdings auch nicht ungewöhnlich, dass bei Rentnern angeborene Herzfehler festgestellt werden, weil die Untersuchungsmethoden zu ihrer Kinderzeit nicht verfügbar waren. Auch hier werden selbst asymptomatische Fehler behandelt, wenn sie ein prognostischer Risikofaktor für andere Erkrankungen sind (Vorhofscheidewanddefekte für Schlaganfälle beispielsweise).

Rike wurde einer modernen Echokardiographieuntersuchung nach nationalem und internationalem Standard unterzogen und zusätzlich eine 3D/4D-Bildbetrachtung vorgenommen und ihre Herzmuskelleistung via Speckle Tracking untersucht. Die Untersuchung bestätigte eine offene Verbindung zwischen Aorta und Pulmonalrterie, die sich bei der Geburt hätte schließen müssen. Durch die Volumen und Drucküberladung kommt es zu einer Linksherzbelastung, die zu einer deutlichen Vergrößerung der linken Kammer geführt hat. Infolge der Kammervergrößerung wird die linke Vorkammer-Kammerklappe undicht und zunehmend Blut in Richtung Lunge zurücklassen, was das Stauungsrisiko weiter steigert. Typischerweise erhöht sich wie auch bei Rike der Aortendruck, ohne dass anatomische Anzeichen einer Stenose festzustellen wären. In der Pulmonalarterie ist im Farbdoppler ein chaotisch-turbulentes Signal zu sehen, während die Ductusampulle laminar bleibt. Im EKG zeigten sich bereits verlängerte Überleitungszeiten im Kammerkomplex QRS und Senkung des ST-Segmentes, als Zeichen einer Hypoxie des Herzmuskels.

Nach meiner Erfahrung sind insbesondere Schäfer- und Hütehunde und deren Mischlinge Überlebenskünstler beim PDA."

Dr. Ralf Tobias, Tierarzt

PDA: persisitierender Ductus arteriosus botalli 

Der persistierende Ductus arteriosus botalli zählt zu den drei häufigsten angeborenen Missbildungen beim Hund, nach den Gefäßklappenstenosen. Ursache ist eine komplizierte Genetik, die zu einem verminderten muskulären Wuchs in dem embryologisch offenen Gefäß führt. Postnatal unterbleibt der Verschluss dieses Gefäßganges. Weibliche Tiere sind tendentiell stärker betroffen. Je nach Ductusgröße kommt es rasch sekundär zu einer Herzvergrößerung und Symptomen wie Leistungsschwäche, vermindertes Wachstum und Atemnot. Sehr viele Patienten sterben ohne Eingriff bereits  etwa ein Jahr nach Diagnosestellung.  Kleinlumige Ductus können ein längeres Überleben ermöglichen. Nach Erfahrung des Autors sind insbesondere Schäfer-/Hütehunde und deren Mischlinge Überlebenskünstler beim PDA. So auch Rike, bei der es immerhin sieben Jahre gedauert hat, bis die Diagnose gestellt wurde. 

Therapeutische Hilfe beim PDA

Früher wurden Welpen/junge Hunde mit PDA operativ nach Thorakotomie durch Ligaturen des Gefäßganges verschlossen, heute wird der Brustkorb nicht mehr operativ eröffnet, sondern viel eleganter ein Katheter in das Herz vorgeschoben, der mit einer Drahtspirale oder einer Klemmtechnik den blutführenden Gang verschließt. Die Patienten haben eine gute Prognose. Schwieriger wird es bei Patienten mit eingetretener Herzinsuffizienz. Sie muss mit Medikamenten begleitet werden, und die Prognose richtet sich nach der erreichten Druck- und Volumensenkung. Auch nach einem Eingriff muss eine Arzneitherapie oft in diesen Fällen noch fortgesetzt werden. Die Grundlage zur Verkleinerung des Herzens ist mit dem Verschluss des Ductus geschaffen.

Rike nimmt eine modernes Kombinationspräparat aus einem ACE-Hemmer (Benazepril) und einem Inodilator (Pimobendan), sowie ein Diuretikum (Torasemid) ein, um stabilisiert zu werden. Die Entscheidung für die Intervention steht an, dennoch sind Rikes Chancen leider nicht die allerbesten. Die Krankheit ist über die Jahre trotz der Progression bemerkenswert gut kompensiert worden und hat dann ihren Zustand typischerweise rasch verschlechtert.

FAZIT

Angeborene Herzmissbildungen können ihre Konsequenzen bei manchen Patienten erst nach einigen Jahren zeigen. Je früher ein verdächtiger Patient einer speziellen kardiologischen Untersuchung zugeführt wird umso besser kann ihm geholfen werden. Tierbesitzer sollten beim Streicheln und Betasten jedes auffällige Schwirren/Vibrieren am vorderen linken seitlichen Brustkorb ihrem Haustierarzt melden und zur Prüfung vorstellen.