Lebensbedrohlicher Herzbeutelerguss beim Hund

Der Besitzerin eines sieben Jahre alten Mischlingsrüden mit dem Namen „Timmi“ fiel auf, dass sich dieser seit einigen Wochen deutlich ruhiger als gewohnt zeigte und viel hechelte. Als „Timmi“ dann plötzlich deutlich schwächer wurde und auch das Futter verweigerte, wurde er im Notdienst der „Stiftung Tierärztliche Hochschule Hannover“ vorgestellt.

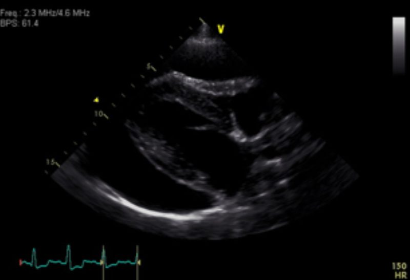
Die Besitzerin berichtete, dass „Timmi“ beim Einladen in das Auto kurz zusammengebrochen sei und sich sein Zustand bei der Anfahrt noch weiter verschlechtert hätte. In der Untersuchung war der Hund sehr matt und atmete verstärkt (Bild 1). Neben blassen Schleimhäuten und einem schwachen Puls war vor allem eine deutlich erhöhte Herzfrequenz bei eher leisen Herztönen auffällig. Eine Röntgenaufnahme des Brustkorbes zeigte eine deutlich vergrößerte und abgerundete Herzsilhouette und führte zu dem Verdacht eines Herzbeutelergusses (Bild 2). Zur weiteren Abklärung wurde ein Herzultraschall durchgeführt, womit die Verdachtsdiagnose schnell bestätigt werden konnte (Bild 3).

Herzbeutelerguss

Ein Herzbeutelerguss (Perikarderguss) ist eine Flüssigkeitsansammlung zwischen Herz und dem Herzbeutel (Perikard), der das Herz wie eine dünne Haut umgibt. Mit steigender Flüssigkeitsmenge wird das Herz in seiner Ausdehnung eingeschränkt. Sobald der durch die Flüssigkeit hervorgerufene Druck im Herzbeutel den des rechten Vorhofes übersteigt, kollabiert dieser. Man spricht dann von einer Tamponade, die mit starken Kreislaufveränderungen einhergeht. Diese hat zur Folge, dass sich rechter Vorhof und Kammer nicht mehr vollständig mit Blut füllen können und sich dieses in den Körperkreislauf zurück staut. Zudem erhält die linke Herzseite weniger Blutvolumen, was zu einem vermindertem Herzauswurf führt und sich durch den Blutdruckabfall in einer Schocksymptomatik äußert. Die häufigste Ursache beim Hund stellen Hämangiosarkome dar. Die bösartigen Tumoren liegen in der Regel im Bereich des rechten Vorhofs und Herzohrs und weisen eine schlechte Prognose auf. Die zweithäufigste Ursache stellt der idiopathische Herzbeutelerguss dar, bei dem die genaue Ursache für den Erguss unbekannt ist. Typischerweise tritt dieser wiederholt auf, ohne dass sich bei der Diagnostik Hinweise auf Tumoren, Infektionen oder eine zugrunde liegende Herzerkrankung ergeben. Bei einigen Hunden ist auch die einmalige Abpunktion vom Erguss (Perikardiozentese) kurativ, die Prognose ist generell günstig. Da es sich jedoch um eine Ausschlussdiagnose handelt, liegt die Schwierigkeit insbesondere darin, dass Tumoren im Frühstadium schwer darstellbar sein können und die Diagnose „idiopathischer Herzbeutelerguss“ versehentlich falsch gestellt wird. Weitere, seltenere Ursachen für einen Herzbeutelerguss stellen unter anderen Herzbasistumoren, eine Ruptur des linken Vorhofes, Trauma oder Herzversagen dar.

Aufgrund der lebensbedrohlichen Situation ist umgehendes Handeln erforderlich. „Timmi“ erhielt zunächst zur Stabilisierung des Kreislaufes Flüssigkeit über einen Venenzugang. Anschließend wurde der Bereich der Punktionsstelle rasiert, desinfiziert und örtlich betäubt. Die Flüssigkeit im Herzbeutel wurde mit einer Kanüle, die über einen Schlauch mit einer großen Spritze verbunden ist, abgezogen. Bei „Timmi“ ließen sich 310 ml rötliche Flüssigkeit entfernen (Bild 4). Nach der Punktion konnte man im Ultraschall bereits erkennen, dass das Herz - insbesondere jedoch der rechte Vorhof - wieder gut gefüllt war und sich besser kontrahierte (Bild 5). Die Laboruntersuchung des Flüssigkeitspunktats ergab ein blutiges Zellbild. „Timmi“ war direkt nach Abpunktion der Flüssigkeit wieder deutlich agiler und nahm bereits Futter auf. In Absprache mit den Besitzern entschieden wir uns, ihn für weitere Untersuchungen und zur Kontrolle der Ergussmenge am Folgetag für eine Nacht stationär aufzunehmen.

Eine Herzbeuteltamponade stellt immer eine Notfallsituation dar. Umgehendes Handeln in Form einer Perikardiozentese kann lebensrettend sein.

Katja Rumstedt, Tierärztin

Verlauf

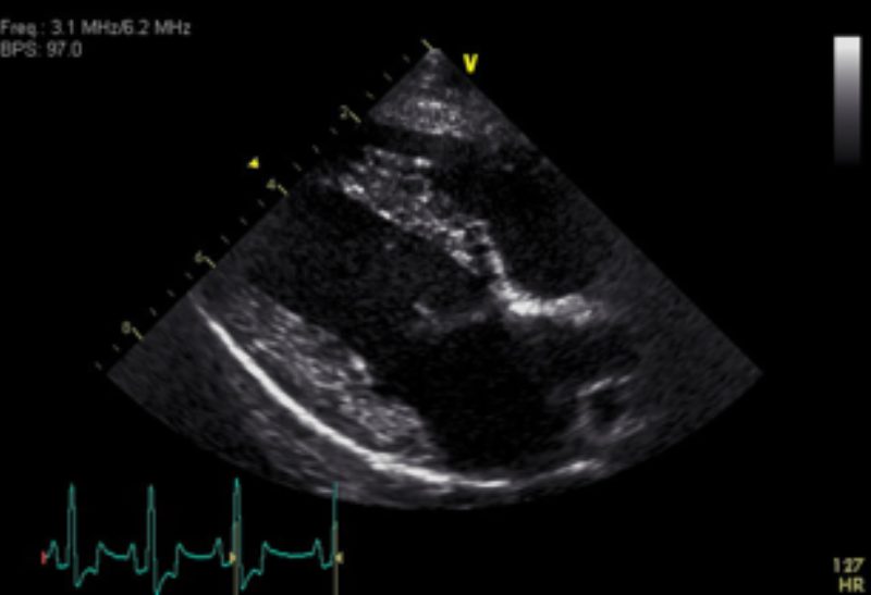
Am nächsten Morgen war „Timmi“ bei bestem Allgemeinbefinden (Bild 6) und auch im Ultraschall war kein Herzbeutelerguss mehr darstellbar. Eine nachfolgende ausführliche Ultraschalluntersuchung des Herzens diente insbesondere dem Ausschluss einer möglichen tumorösen Ursache für den Herzbeutelerguss und war – wie schon am Vortag – unauffällig. Auch eine Ultraschalluntersuchung des Bauchraumes erwies sich als weitgehend unauffällig. „Timmi“ wurde entlassen und zeigte erfreulicherweise auch in den weiteren Kontrolluntersuchungen keinen Herzbeutelerguss mehr. Leider wurde „Timmi“ nach fünf Monaten erneut mit einem Herzbeutelerguss in unserer Klinik im Notdienst vorgestellt. Röntgen- und Ultraschalluntersuchungen von Herz, Lunge und Bauchraum lieferten weiterhin keine Hinweise auf ein tumoröses Geschehen, sodass wir von einem idiopathischen Herzbeutelerguss ausgingen. Nach erneuter Abpunktion der Ergussflüssigkeit verließ „Timmi“ ein weiteres Mal munter die Klinik und zeigte auch in den Kontrollen keinen Erguss mehr.

Bei wieder auftretenden Herzbeutelergüssen besteht die Option, einen Teil des Herzbeutels chirurgisch zu entfernen, jedoch blieb „Timmi“ symptomfrei. Erst zweieinhalb Jahre später meldete sich die Besitzerin mit erneutem Verdacht auf einen Herzbeutelerguss. Umso größer war die Freude, dass „Timmis“ Leiden dieses Mal orthopädischer Natur war und sich schnell mit entsprechendem Schmerzmanagement behandeln ließ.