PDA und HOD - Elliots Krankengeschichte - alles nur Pech oder hätte man das ahnen können?

Elliot war keine drei Monate alt und just im Begriff, sein Leben in die Hand zu nehmen, als er unverhofft kurz nach der zweiten Impfung starke Schmerzen und Fieber bekam. Bis zu dem Zeitpunkt hatte sich der Kleine gut entwickelt und wurde regelmäßig untersucht. Das Fieber paarte sich mit wiederkehrenden Lahmheiten der aller Gliedmaßen. Das Laufen wurde immer mühsamer, an Rennen war nicht mehr zu denken. Selbst eigenständiges Stehen war mitunter ausgeschlossen.

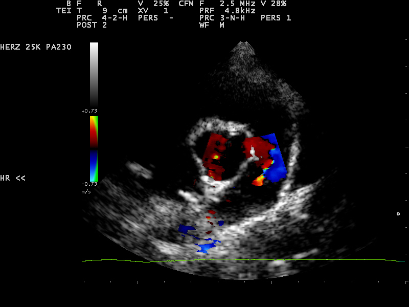
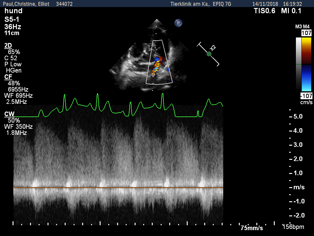
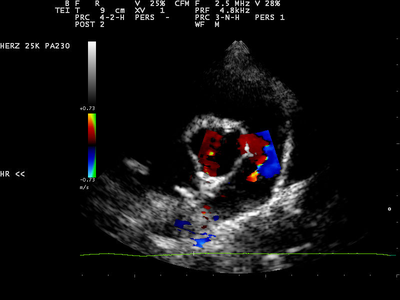
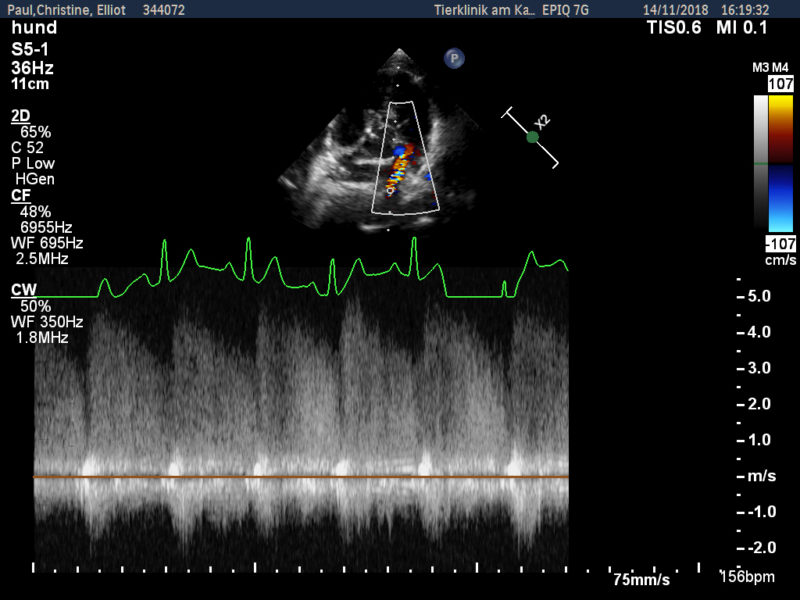
Zunächst wurde von den Kollegen - aufgrund des zeitlichen Zusammenhangs - eine Impfreaktion vermutet, woraufhin Elliot starke Schmerzmittel bekam. Allerdings besserte sich seine Lahmheit weder durch Schmerzmittel noch durch Kortison wesentlich. Da man äußerlich nichts feststellen konnte, wurde eine erste Röntgenuntersuchung des Rumpfes durchgeführt, bei der aber die Ursache leider nicht gefunden wurde. Als auch nach dieser weder Fieber noch Lahmheit verschwanden, wurde der Hund zur Spezialdiagnostik überwiesen. Es sollte nun bei uns in der Klinik erneut geröntgt und eventuell eine Computertomographie durchgeführt werden. Bei der Eingangsuntersuchung vor der notwendigen Narkose wurde ein kontinuierliches Herzgeräusch festgestellt. Dieses konnte nur unter dem linken Schulterblatt in Höhe des 2.-3. Zwischenrippenraumes auskultiert werden. An dieser Stelle war es aber sehr laut (Grad 5 von 6) und gut hörbar. Der untersuchende Kardiologe stellte einen klinisch relevanten PDA (Ductus arteriosus botalli persistens) fest, der sich schon in einem behandlungswürdigen Stadium befand. Daher war an eine Narkose zur Abklärung der Lahmheit an diesem Tage nicht zu denken.

Da die Wachstumsfugen im distalen Antebrachium (Höhe der Handwurzelgelenke) schon äußerlich sichtbar stark verdickt waren, wurde die Gunst der Stunde genutzt und Röntgenaufnahmen ohne Narkose angefertigt. Das Ergebnis war für Elliot eine Überraschung, aber eigentlich eine wenn auch sehr seltene rassetypische Erkrankung des wachsenden Knochens.

Das Röntgenbild zeigt eine beidseitige HOD

Dahinter verbirgt sich die hypertrophe Osteodystrophie. Es handelt sich um eine Wachstumsstörung, die bei Welpen großwüchsiger Rassen zwischen dem 2.-7. Lebensmonat auftritt und wie bei Elliot mit Fieber, Anämie, Veränderungen im weißen Blutbild und Schmerzen in Erscheinung tritt. Die HOD wurde schon vor einigen Jahrzehnten beim Hund erstmalig beschrieben. Man vermutete immer einen Mangel in der Ernährung, insbesondere einen Vitamin C-Mangel und Fehler im Proteingehalt des Futters. Mittlerweile gibt es aber einige Berichte, Publikationen und eine Studie zum Weimaraner, die einen zeitlichen Zusammenhang mit der Impfung nahelegen. Der genaue Auslöser der Erkrankung ist aber immer noch unbekannt. Man vermutet eine genetische Veranlagung (Disposition) gegenüber modifizierten Lebendimpfstoffen, die zu einer Immunreaktion an den Knorpelzellen der Wachstumsfugen führt.

Ein PDA verläuft für fast 2/3 der Welpen im ersten Lebensjahr tödlich.


Erfreulicherweise verschwindet die Erkrankung mit Ende des Knochenwachstums. Für Elliot zunächst aber das kleinere Problem. Ein PDA, wie er im Herzen von Elliot festgestellt wurde, verläuft für fast 2/3 der Welpen im ersten Lebensjahr tödlich. Daher muss dieser verschlossen werden. Bei dem PDA handelt es sich um ein Blutgefäß, welches sich nach der Geburt nicht ordnungsgemäß verschlossen hat. Deshalb fließt Blut auch nach der Geburt an der Lunge vorbei zurück in das linke Herz, welches sich daraufhin stark vergrößert.

Es ist wichtig, Welpen sehr genau abzuhören. Nicht nur links seitlich, sondern auch unter dem Schulterblatt, am Brusteingang und auf der rechten Thoraxseite.

Dr. Jan-Gerd Kresken, Tierklinik am Kaiserberg

Wir führen in der Klinik beide Methoden, einen PDA zu verschließen, durch.

1. Interventioneller Verschluss, d.h. durch ein kleines Loch in der Leiste wird unter Durchleuchtung mittels Herzkatheter ein kleiner Stopfen in das Gefäß eingelegt.

2. Offen chirurgischer Verschluss durch ein Loch zwischen den Rippen wird das Blutgefäß freipräpariert und mit Faden oder einer Spange verschlossen.

Durch die besondere Krankengeschichte von Elliot mit den seit Wochen erhöhten Entzündungswerten, haben wir uns entschlossen, kein Implantat mittels Katheter einzulegen, um keine Abstoßungsreaktionen des Implantates in einem Blutgefäß zu riskieren (Thrombosegefahr). Daher wählten wir den offen chirurgischen Weg, um das PDA-Gefäß von außen zu verschließen. Da seine Entzündungswerte (C-reaktives Protein) sehr hoch waren, wurden zunächst nichtsteroidale Antiphlogistika verabreicht und regelmäßig kontrolliert. Nach Absinken der Entzündungswerte wurde der Eingriff durchgeführt. Das Gefäß wurde ohne nennenswerte Komplikationen verschlossen und Elliot am Folgetag entlassen.

Mittlerweile geht es Elliot schon längere Zeit gut. Er hat kein Fieber oder Schmerzen mehr. Die Gefahr an der Herzerkrankung zu sterben, ist ebenfalls gebannt. Man hat hier den seltenen Fall, das ein Hund gleich zwei für seine Rasse bekannte aber seltene Dispositionen gleichzeitig aufweist. Wie die in der Literatur beschriebene Disposition für die HOD beim Weimaraner, haben wir in den letzten Jahren einige PDA bei Welpen dieser Rasse mittels Herzkatheter oder offen chirurgisch verschlossen.

Fazit

Aus diesem Grund ist es wichtig, Welpen, insbesondere zu den ersten Impfungen, sehr genau abzuhören. Und das nicht nur links seitlich, wo man üblicherweise das Stethoskop platziert - nein auch unter dem Schulterblatt, am Brusteingang und auf der rechten Thoraxseite. Nur so kann man verhindern, dass ein großes Problem „durchrutscht“.

Weiterführende Informationen:

Weimaraner Club of America: Information zu HOD.
Hypertrophic Osteodystrophy (HOD) – A Weimaraner Case Study 

Fallstudie für Besitzer inkl. Studien: Urbandognyc
Wissenschaftlicher Artikel: Weimaraners with hypertrophic osteodystrophy: 53 cases (2009-2011)