Leo hat Ohrenschmerzen - Otitis externa und Otitis media beim Hund

In unserer auf Ohrenheilkunde spezialisierten Praxis wurde Leo, ein 12-jähriger, kastrierter Mischlingsrüde, wegen Ohrenschütteln vorgestellt. Leo hat eine lange Krankengeschichte hinter sich und kommt nun zu uns, weil die Ohrenentzündung gar nicht mehr besser wird und Leo mittlerweile auch deutlich Schmerzen und einen stinkenden Ohrenausfluss zeigt. Die Besitzer berichten von immer wiederkehrenden Ohrenentzündungen mal einseitig, mal beidseitig, schon seit dem zweiten Lebensjahr. Zwischendurch war es mal besser, aber über längere Zeit gesunde Ohren hatte Leo nie. Eine ganze Tüte voll verschiedener Ohrenmedikamente, Salben, Cremes, Reiniger, usw. brachten die Besitzer mit - nichts jedoch hatte auf Dauer geholfen.

Leo ist ein friedlicher, aufmerksamer Hund. Er ließ sich problemlos untersuchen, nur an den Ohren war er empfindlich. Beide Ohren waren stark gerötet und der Ohrenausfluss war übelriechend. Andauernd schüttelte Leo die Ohren und versuchte, daran zu kratzen - ein Zeichen von starkem Juckreiz. Ganz sicher hatte Leo eine Entzündung des äußeren Gehörgangs (Otitis externa), vielleicht sogar des Mittelohres (Otitis media). Bei der klinischen Untersuchung fiel außerdem auf, dass die Haut unter dem Bauch verdickt und dunkel und zwischen den Zehen die Haut nässend und stark gerötet war. Einige der eigentlich hellen Krallen waren braun verfärbt. Bei genauem Hinsehen war auch noch ein trockener, rissiger Nasenspiegel auf Leos linker Seite zu erkennen. Die Besitzer berichteten, dass Leo sehr sauber sei und die Pfoten sehr häufig sauber lecke. Die Sicht in beide Gehörgänge war durch den Ohrenausfluss behindert; das Säubern tat Leo so weh, dass wir nur einen Tupfer nehmen konnten, um schon mal unter dem Mikroskop zu sehen, welche Bakterien und Pilze da ein Problem sein könnten. Es war deutlich, dass weitere Untersuchungen bei Leo wegen der starken Schmerzen nur in Narkose möglich sein würden. Deswegen wurde eine Blutuntersuchung durchgeführt. Das Blutbild zeigt eine Erhöhung von Blutzellen, die einen Hinweis auf eine Allergie geben können (Eosinophile); ansonsten war bei Leo kein weiterer Hinweis auf eine Krankheit festzustellen.

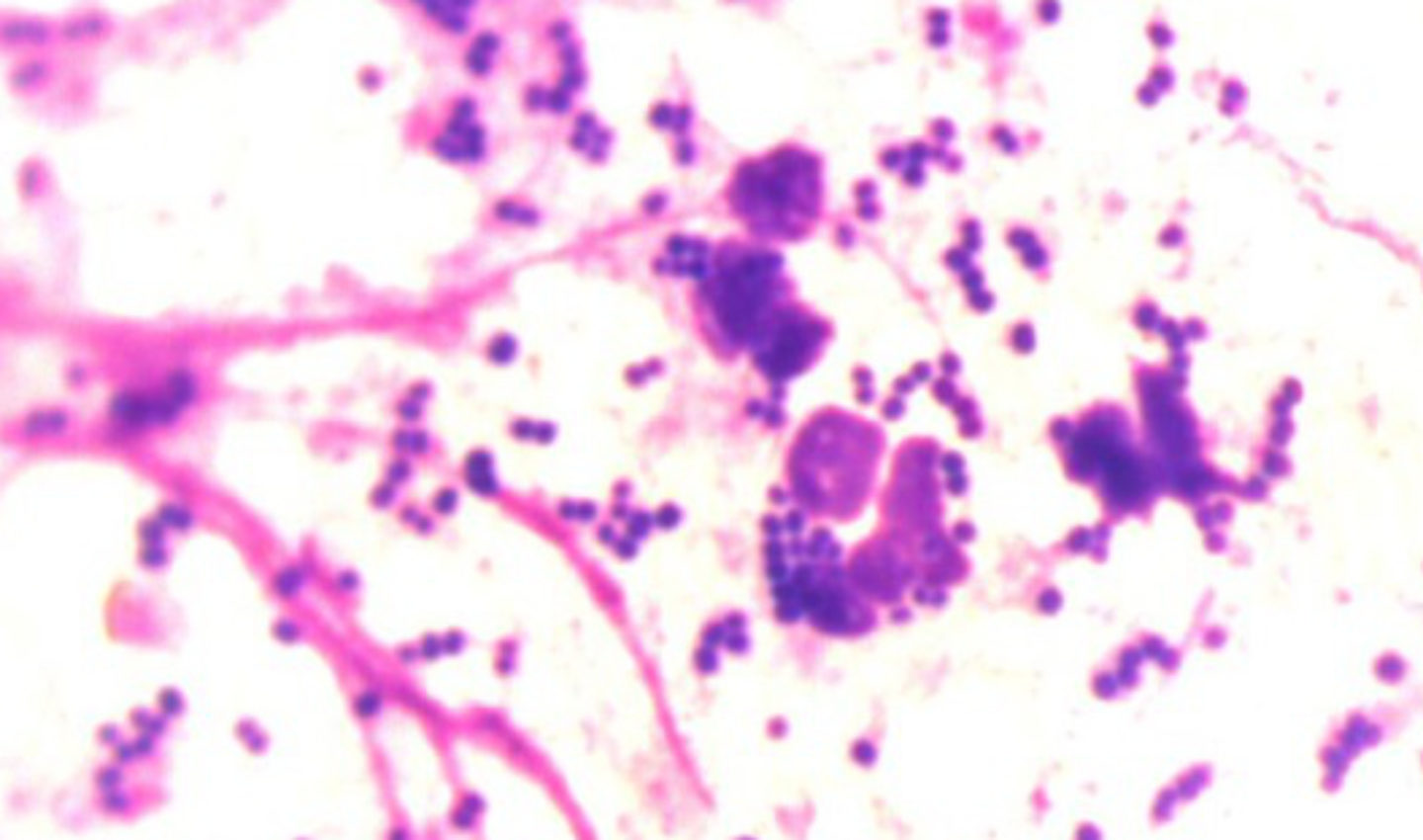
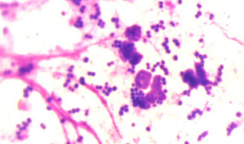
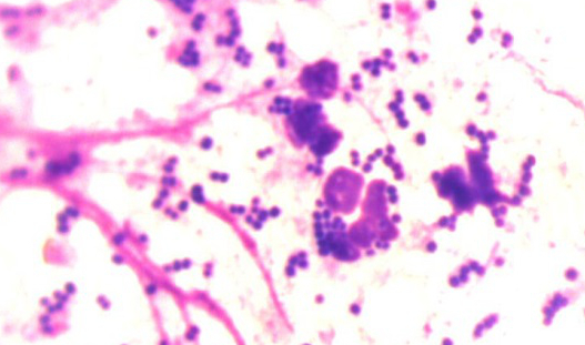
Zwischenzeitlich war der Tupfer unter dem Mikroskop angesehen und es wurden sehr viele Entzündungszellen und Kokken (runde Bakterien) gefunden, eine bakterielle Infektion war in den Ohren!

Weiter wurde Leo in tiefer Inhalationsnarkose untersucht. Während eine Assistentin Leos Narkose überwachte, konnten wir mit dem Videootoskop (Ohrenuntersuchung mit stark vergrößertem Bild auf einem Bildschirm) die Ohren genau betrachten. Zuerst musste dafür der ganze Ausfluss gründlich herausgespült werden. Die gesamte Gehörgangshaut beider Ohren war stark gerötet und den Ausfluss zu entfernen, brauchte etwas Zeit. Solange das Trommelfell (die Trennmembran zwischen äußeren Gehörgang und Mittelohr) nicht sicher gesehen werden kann, muss sehr vorsichtig vorgegangen werden, weil eben in das Mittelohr kein normaler Ohrenreiniger gelangen darf. Während in Leos rechtem Gehörgang nach der Ohrspülung ein reizloses gesundes Trommelfell zu sehen war, zeigte das linke Trommelfell in der Videootoskopie deutlich eine Trübung und ein Loch. Das sind sichere Hinweise auf eine Mittelohrentzündung. Leo hatte uns schon bei der klinischen Untersuchung einen Hinweis gegeben: der trockene rissige Nasenspiegel aufgrund der Reizung eines durch das Mittelohr laufenden Nerves. Nun wurden in Narkose Röntgenbilder von den Ohren (besonders wichtig waren hier die Mittelohren) angefertigt und direkt ausgewertet. Leos Paukenhöhle (das Mittelohr) zeigte noch keine Veränderung im Knochen. Also wurde nun direkt der ganze Eiter aus dem linken Mittelohr sehr vorsichtig mit verträglichen Flüssigkeiten über einen dünnen Schlauch herausgespült und die erste Probe auch wieder unter dem Mikroskop untersucht. Wieder waren Bakterien und Entzündungszellen zu sehen. Um Leo sofort helfen zu können, wurden Medikamente direkt in die Paukenhöhle eingebracht, um dort über mehrere Tage ihre Wirkung zu bringen. Mit einem Schmerzmittel versorgt durfte Leo wach werden.

Leos Ohren waren nun sauber. Aber: Warum aber hat Leo denn eigentlich seit Jahren Ohrenschmerzen? Diese Frage stellten mir die Besitzer zurecht. Möchten man die Ursachen einer Ohrenentzündung herausfinden, müssen verschiedene Faktoren bedacht werden - Faktoren einer Gehörgangentzündung lassen sich in drei Kategorien einteilen:

1. Grundursachen: Nur diese sind in der Lage, eine Gehörgangentzündung auszulösen. Ohne Grundursache gibt es keine Gehörgangentzündung! Allergien sind mit Abstand die häufigsten Auslöser. Aber auch hormonelle Störungen, Autoimmunerkrankungen, Fremdkörper (Granne), Ohrmilben und andere können eine Gehörgangentzündung auslösen.

2. Begünstigend Faktoren: Diese Faktoren können keine Gehörgangentzündung auslösen aber begünstigen. Hier sind vor allem (rassebedingt) enge Gehörgänge (Shar Pei), übermäßiger Haarwuchs (Pudel), vermehrte Drüsen (Cocker Spaniel) oder erhöhte Feuchtigkeit (Schwimmer; Labrador) zu nennen.

3. Aufrechterhaltende Faktoren: Diese Faktoren halten eine Gehörgangentzündung aufrecht. Bakterien und Hefen sind schnell an einer Gehörgangentzündung beteiligt. Vor allem Pseudomonas ist ein gefürchteter, weil schwierig zu bekämpfender Keim im Ohr. Bakterien und Hefen werden manchmal auch als sekundäre Grundursache angesehen. Weil etwa 80 % aller Gehörgangentzündungen nach zwei Wochen schon eine Mittelohrentzündung bedingen, gehört diese zu den wichtigsten aufrechterhaltenden Faktoren. Ebenso können chronisch entzündete Gehörgänge teils irreversible Gewebeveränderungen bedingen und so eine Entzündung aufrecht halten.

Warum also hat Leo nun immer Probleme mit den Ohren?

Leo hat Juckreiz unter dem Bauch (dadurch wurde die Haut im Laufe der Zeit verdickt und dunkel) und an den Pfoten (er schleckt sich sehr viel). Von den braunen Krallen und der Haut zwischen den Zehen haben wir auch einen Tupfer unter dem Mikroskop untersucht und ganz viele Malassezien (Hefepilze) gefunden. Als wir dann auch noch vom Besitzer auf Nachfrage erfuhren, dass Leo ja ab und zu mal ordentliche Blähungen habe, war es fast schon klar: Leo vertrug sein Futter nicht! Nach einer ausführlichen Beratung, welches Futter Leo ab sofort bekommen sollte, konnte es mit Beginn der sogenannten Ausschlussdiät für Leo endlich bergauf gehen- und das ohne Ohrenschmerzen. In der Zwischenzeit war Leo aus der Narkose aufgewacht. Mit einem Shampoo für die Pfoten und den richtigen Medikamenten wurde Leo mit seinen Besitzern nach Hause entlassen.

Nach einer Woche kam Leo uns zur Kontrolluntersuchung schon schwanzwedelnd entgegen. Es ging ihm sehr gut! Endlich keine Ohrenschmerzen mehr! Die Ohren sahen sehr sauber aus, und Leo schüttelte nicht mehr die Ohren. Auch der Tupfer aus den Ohren zeigte unter dem Mikroskop nur noch ein paar vereinzelte Entzündungszellen, aber schon keine Bakterien mehr. Ebenso waren nur noch wenige Hefen an den Pfoten vorhanden - Leo schleckte ja auch schon nicht mehr so viel daran. Die Besitzer berichteten, dass Leo viel munterer sei und wieder die ganz große Runde im Wald mitgehen wolle. Blähungen hatte er auch schon fast keine mehr. Jetzt braucht er nur sehr konsequente Besitzer, damit keine unerlaubten Leckerchen mehr zu Ohrenschmerzen führen und noch über einige Zeit eine gut geeignete Ohrenpflege, damit die Ohren es nun leichter haben, sauber zu bleiben.

Fazit für die Praxis

Jede Ohrenentzündung sollte schnell diagnostiziert und therapiert werden. Ein Fachmann wird nicht einfach ein weiteres Medikament verabreichen lassen, sondern nach der Grundursache und allen Faktoren suchen und diese therapieren. Parallel dazu wird die Ohrenentzündung individuell behandelt.