Golden Retriever Oscar lahmt

Der knapp einjährige Golden Retriever namens „Oscar“ wurde in der Tierklinik Ismaning mit einer Lahmheit vorne links vorgestellt, die bereits ein halbes Jahr lang bestand. Andernorts war er bereits untersucht und erfolglos behandelt worden. „Oscar“ präsentierte sich als ein aufgeweckter, organisch gesunder, wohlerzogener junger Hund. Da ja unsere Patienten leider nicht mit uns sprechen und genau beschreiben können, wann und wo es weh tut, müssen wir Tierärzte die Reaktionen unserer Patienten während unserer Untersuchung ganz genau beobachten.

Lahmheitsuntersuchung

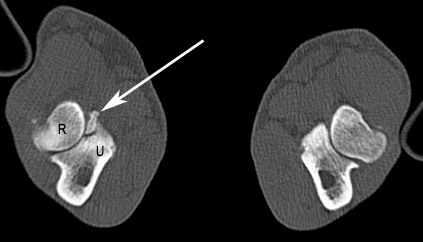
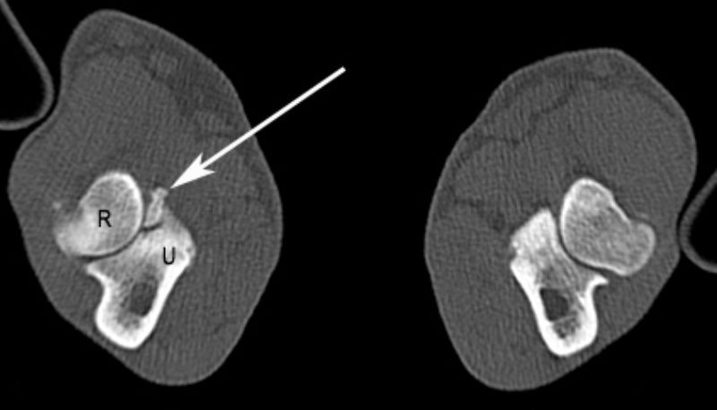
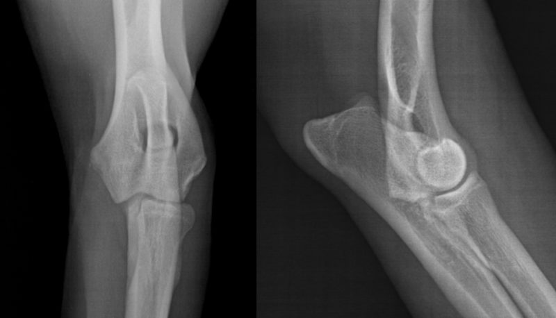
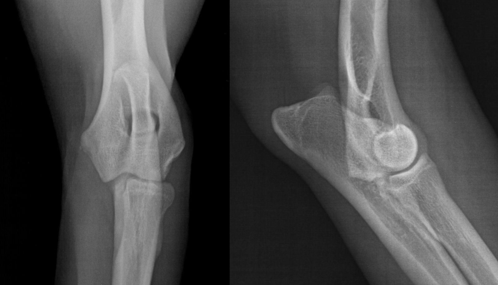
Bei der ausführlichen Lahmheitsuntersuchung seiner Vordergliedmaßen ging ich wie üblich systematisch vor, testete seine Reflexe und ließ kein Gelenk aus. Am linken Ellbogen wurde ich fündig und konnte eine Abwehrreaktion bei der Streckung und der sogenannten Coronoidprobe provozieren. Eine positive Coronoidprobe bedeutet, dass der Patient auf die Rotation der Gliedmaße mit Schmerzen im Ellbogen reagiert. Zum Vergleich untersuchte ich auch die gegenüberliegende Gliedmaße, an der „Oscar“ an keinem der Gelenke reagierte. Da meine orthopädische Untersuchung auf eine Ellbogenerkrankung hinwies und die bisherigen Röntgenaufnahmen der Ellbogen aufgrund der Überlagerung mehrerer Knochen keinen eindeutigen Befund ergaben, empfahl ich die computertomographische Schnittbilduntersuchung (CT) beider Ellbogengelenke.

CT-Untersuchung in Vollnarkose

Die Computertomographie stellt ein spezielles Röntgenverfahren dar, bei dem die Röntgenröhre um den Patienten kreist und damit eine überlagerungsfreie Darstellung des Untersuchungsgebietes ermöglicht. Anschließend können aus den Daten dreidimensionale Bilder erstellt, bestimmte Bereiche ausgeblendet oder wichtige Strukturen speziell sichtbar gemacht werden. In der Tierklinik Ismaning steht uns ein neues 16-Zeilen Spiral-CT der Firma Siemens (Somatom Scope) zur Verfügung. Bei einer Rotation der Röntgenröhre werden gleichzeitig 16 Schichten aufgenommen , was die Untersuchungszeit und damit die Verwacklungsunschärfe deutlich herabsetzt. Mit der Computertomographie ist es sogar möglich, Blutgefäße und deren Verlauf überlagerungsfrei darzustellen. Einziger Nachteil ist der Umstand, dass unsere Patienten für diese CT-Untersuchung eine Vollnarkose benötigen, denn kein Tier bleibt freiwillig in der Röhre liegen. Allerdings planen wir in solchen Fällen im Anschluss an die CT-Diagnostik gleich die Durchführung der Behandlung, beispielsweise eine Arthroskopie, so dass eine weitere Narkose meist erspart bleibt.

Nachdem ich bei „Oscar“ die Narkosefähigkeit geprüft hatte, haben wir einen Venenkatheter eingelegt und darüber die Narkose eingeleitet. „Oscar“ bekam einen Luftröhrentubus, damit in der Narkose die Atmung nicht behindert wird und er Narkosegase einatmen kann. „Oscar“ wurde für die Untersuchung der Ellbogengelenke in Brustlage mit gestreckten Vordergliedmaßen auf dem Untersuchungstisch gelagert und mit kontrastarmen Lagerungshilfen (z.B. Schaumstoffkeile oder Rohrisolationen) positioniert. Die reine Untersuchungszeit im CT beträgt für eine Ellbogensequenz ca. 10-15 Sekunden (120 kV, 200 mAs, Schichtdicke 0,75 mm, W 2500 L 500, Ellbogen beidseits transversal, nativ). Bei „Oscar“ fand ich auf diese Weise einen feinen Riss am inneren Kronfortsatz der Elle (Processus coronoideus medialis ulnae). Seine eigentliche Spitze war durch Entmineralisation bereits weniger röntgendicht. Als Folge dieses „Bruches“ war es zu einer Reizung des Gelenks und damit zu einer beginnenden Arthrose mit Ausbildung von Knochenspikes gekommen.

Diadnose: Abgebrochener innerer Kronfortsatz

Somit stand die Diagnose „abgebrochener innerer Kronfortsatz“ (fragmentierter Processus coronoideus medialis ulnae) als Ursache für die Lahmheit bei „Oscar“ fest. Diese Erkrankung zählt zum Formenkreis der Ellbogengelenkdysplasie und ist eine der häufigsten Lahmheitsursachen der Vordergliedmaße beim großwüchsigen Hund. Da das Belassen des abgebrochenen Kronfortsatzes die Arthrosebildung begünstigt, haben wir in der gleichen Narkose das Bruchstück arthroskopisch entfernt.

„Oscar“ überstand die Narkose, Computertomographie und Operation unbeschadet und konnte abends nach Hause entlassen werden. Dank des minimalinvasiven arthroskopischen Eingriffs bestand keinerlei Beeinträchtigung für „Oscar“ und eine langweilige Ruhighaltung war nur für die erste Woche nötig. Schon zwei Wochen später durfte er ungezügelt herumtollen. Als ich ihn nach sechs Wochen zu einer Kontrolle zu Gesicht bekam war er lahmheitsfrei und seine Besitzer überglücklich.

Computertomografie in der modernen tiermedizinischen Diagnostik

Zusammenfassend möchte ich sagen, dass die Computertomografie aus der modernen tiermedizinischen Diagnostik nicht mehr wegzudenken ist. Insbesondere werden, wie bei „Oscar“, frühe Anzeichen einer Ellbogengelenkdysplasie im Röntgen oft übersehen, die im CT zweifelsfrei darstellbar sind. Da eine unbehandelte Ellbogendysplasie meist zu schweren Arthrosen führt, empfehlen wir beim lahmenden Jungtier eine möglichst frühzeitige computertomographische Diagnostik und entsprechende Therapie, noch bevor es zu irreparablen Schäden am Gelenk kommen kann. 

Mit „Oscars“ Beispiel der computertomographischen Diagnostik am Ellbogengelenk stellen wir an dieser Stelle nur eine von vielen Einsatzmöglichkeiten dieser modernen Technik vor.