Herzprobleme - "Dackel Alf fällt einfach um!"

Sichtlich aufgeregt rief die Besitzerin von Alf mich auf dem Handy an, da ihr Dackelrüde bei der morgendlichen Gassirunde im Wald wie aus heiterem Himmel umgekippt war. „Er lag dann dort für eine halbe Minute wie tot auf der Seite, bevor er wieder zu Bewusstsein kam und langsam aufgestanden ist“. Alf war ein neun Jahre alter Kurzhaar-Dackel, bei dem schon vor längerer Zeit in einer Tierklinik eine leichte Herzvergrößerung durch eine Mitralklappen-Endokardiose diagnostiziert wurde und bekam schon Herzmedikamente. Da sein Frauchen daher sofort das Herz als Ursache für diesen „Anfall“ in Verdacht hatte, wandte sie sich direkt an mich als Kardiologin.  

Die letzte Herzultraschalluntersuchung lag über 10 Monate zurück, und zu diesem Zeitpunkt zeigte der Hund keinerlei Symptome einer Herzerkrankung. Entsprechend der speziell für Hunde entwickelten Einteilung des Schweregrades einer Herzinsuffizienz durch eine Mitralklappenendokardiose befand sich Alf damals im CHIEF - Stadium B2 *. Wie es üblich ist, wurde daher mit einer Herztherapie begonnen, um dem weiteren Fortschreiten der Erkrankung entgegen zu wirken (in diesem Fall mit Benazepril und Spironolacton). Zu einer Kontrolluntersuchung mittels Herzultraschall wurde nach sechs Monaten geraten.

Als mir Alf noch am gleichen Tag zur Untersuchung vorgestellt wurde, berichtete die Besitzerin davon, dass ihr seit ein paar Tagen ab und zu eine schnellere Atmung aufgefallen war und der Rüde auch etwas weniger Appetit hatte als sonst. „Herzhusten“ - oder überhaupt Husten - hingegen hatte der Hund nicht gezeigt, und er war insgesamt sehr munter. Beim Abhören des Herzens fiel sofort ein sehr lautes systolisches Herzgeräusch auf, das auch mit der Hand am seitlichen Brustkorb als Vibration (ein sogenanntes „Schwirren“) zu fühlen war. Die Herzfrequenz war außerdem erhöht (Tachykardie), der Herzrhythmus regelmäßig.

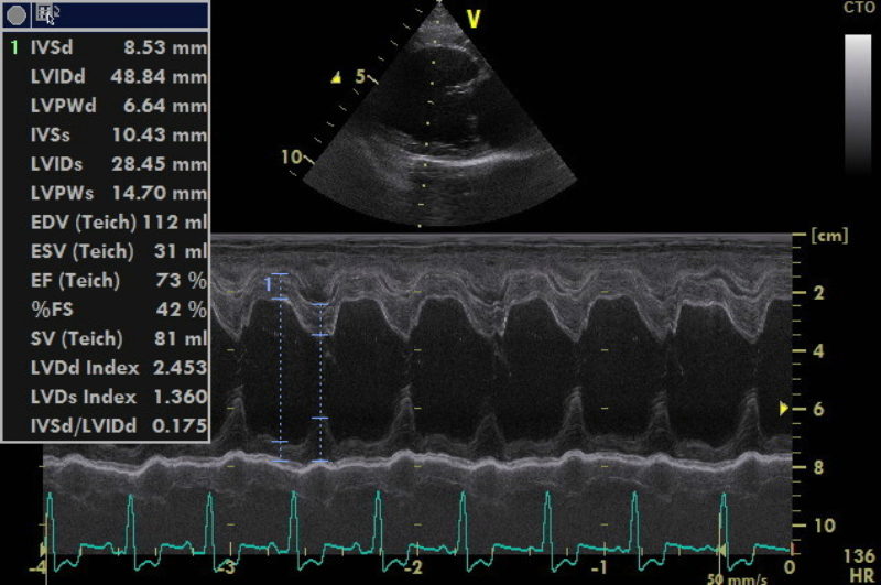
Herzultraschall 

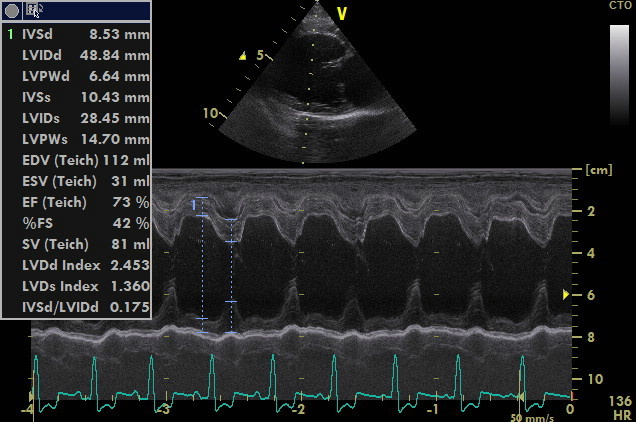
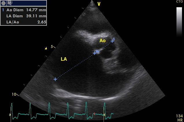
Durch die Herzultraschalluntersuchung konnte dann leider der Verdacht auf eine deutlich weiter fortgeschrittene Herzerkrankung bestätigt werden. Neben einer hochgradigen Vergrößerung der linken Herzhälfte durch die Klappeninsuffizienz ließ sich außerdem ein moderat erhöhter Druck in den Lungenarterien feststellen. Dies nennt man Pulmonale Hypertension oder Lungenhochdruck. Für eine solche Erhöhung des Blutdruckes im Lungenkreislauf gibt es unterschiedliche Ursachen. Eine davon ist ein bestehendes Lungenödem durch ein Linksherzversagen, wie es bei Alf nun offensichtlich der Fall war. Da die Diagnose nun „dekompensierte Mitralklappenendokardiose“ - oder nach der CHIEF - Klassifizierung Stadium C2 * - lautete, verordnete ich dem kleinen Hund zusätzlich zwei weitere Medikamente zur dauerhaften Herztherapie (eines zur Entwässerung und das andere zur Entlastung des Herzens durch Weitstellung der Arterien und zur Unterstützung der Pumpfunktion des Herzmuskels). Die am Morgen im Wald aufgetretene „Synkope“ ließ sich also eindeutig durch die fortgeschritten Herzerkrankung erklären.

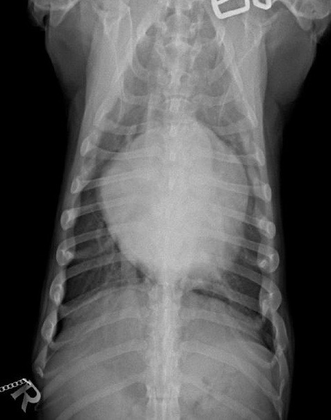
Drei Tage später wurde Alf noch zur Röntgenuntersuchung einbestellt, um den Erfolg des Entwässerungsmittels zu überprüfen. Er machte laut Besitzerin einen deutlich muntereren Eindruck und sein Appetit war unter der neuen Herztherapie wieder normal geworden. Die zu Hause ermittelte Ruhe-Atemfrequenz lag bei 22 Atemzügen pro Minute. Da radiologisch aber weiterhin ein leichtes Lungenödem zu erkennen war, wurde die Dosis der „Entwässerungstabletten“ noch etwas erhöht. Zur nächsten Herz-Ultraschall-Kontrolle wurde der Dackel drei Monate später vorgestellt. Er hatte etwas an Gewicht zugelegt, war laut Besitzerin immer „gut drauf“, zeigte durchgehend eine normale Atmung und hatte keine weitere Synkope. Die Befunde am Herzen waren stabil, nur wurde im mitlaufenden EKG nun eine zusätzliche Herzrhythmusstörung festgestellt, sogenannte Vorhof-Extrasystolen. Die Herztherapie wurde daher um ein antiarrhythmisch wirkendes Medikament ergänzt. Unter dieser Therapie verlebte Dackel Alf einen fröhlichen Sommer inklusive Dänemarkurlaub. Da zwischendurch die Ruhe-Atemfrequenz ein wenig angestiegen war, wurde die Dosis der „Entwässerungstabletten“ noch etwas erhöht. Bis zur nächsten kardiologischen Kontrolle weitere sechs Monate später lag diese dann immer im normalen Bereich zwischen 16 und 20 Atemzügen pro Minute und auch die Ultraschallbefunde waren weiterhin stabil.

Ohnmachtsanfall 12 Monate später

Fast genau ein Jahr nach der ersten Untersuchung bei mir hatte der Dackel dann wieder einen Ohnmachtsanfall auf dem Spaziergang und zeigte danach eine deutlich schnellere Atmung als zuvor. Die Herzuntersuchung zeigte, dass die zuvor eher milde Herzrhythmusstörung nun zu einem schnellen Vorhofflimmern mit einer anhaltenden Herzfrequenz von 230 Schlägen pro Minute fortgeschritten war. Trotz weiterer intensiver therapeutischer Maßnahmen ging es Alf dieses Mal aber nur für zwei Tage wieder besser, bevor er dann nicht mehr fressen wollte und eine plötzliche Apathie und erneute Atemnot zeigte.

Dies war für die Besitzer der Zeitpunkt sich für eine Euthanasie zu entscheiden, um ihm weiteres Leiden zu ersparen.

* Die CHIEF-Klassifikation ist eine veterinärmedizinische Einteilung von Herzerkrankungen bei Hunden, in der Herzpatienten in vier Klassen eingeordnet werden:
A - Risiko einer Herzerkrankung (genetische Veranlagung, andere Grunderkrankungen)
B - Herzerkrankung ohne klinische Anzeichen einer Herzschwäche, Herzvergrößerung möglich
C - Herzschwäche mit früheren oder bestehenden Symptomen
C1 - stabile Herzschwäche mit früheren Symptomen
C2 - Herzschwäche mit geringen bis mittelgradigen Symptomen
C3 - Herzschwäche mit hochgradigen, lebensbedrohlichen Symptomen
D - Herzschwäche, die nicht mehr auf Medikamente anspricht, nur noch lebenserhaltende Maßnahmen