Hautsprechstunde: "Hilfe, mein Hund kratzt sich die ganze Zeit!"

So oder so ähnlich klingen viele frustrierte Tierbesitzer, die zu mir in die Dermatologische Sprechstunde (Hautsprechstunde) kommen. Meist sitzen mir ein frustrierter und sehr schlecht gelaunter Besitzer und ein ebenso schlecht gelauntes Tier gegenüber, die bereit wären alles dafür zu tun, damit sie endlich mal wieder durchschlafen können. Juckreiz ist in der Tat ein Problem, welches den Besitzer, das Tier und manchmal auch den Tierarzt an seine Grenzen bringen kann und einer der häufigsten Gründe für die Vorstellung beim Dermatologen. Hierbei ist es notwendig, mit der erforderlichen Sachkenntnis und der nötigen Sorgfalt dem Tier und damit auch dem Besitzer auf Dauer zu helfen.

Doch welche Ursachen liegen dem Juckreiz zu Grunde? Und wie arbeitet der Dermatologe, um eine Diagnose zu stellen und letztendlich damit dem Tier durch eine adäquate Therapie langfristig zu helfen? Am Fall von Schäferhund Gino soll das diagnostische Vorgehen bei einem Hund mit Juckreiz erläutert werden.

Gino, ein 3 Jahre alter, nicht kastrierter männlicher Schäferhund wurde mir telefonisch von einer Kollegin mit folgenden Worten angekündigt: "Allergiker mit hochgradigem, nicht auf Therapie ansprechenden Juckreiz, Besitzer sehr besorgt aber hochgradig frustriert, mit der Bitte um Abklärung." Diese dermatologischen Abklärungen werden nach einem ganz speziellen Schema durchgeführt und beinhalten mehrere Untersuchungsschritte. Der Besitzer bekommt vorab einen Fragebogen, der in Ruhe zu Hause ausgefüllt werden kann und zum Untersuchungstermin mitgebracht wird. Oft wird auch vom überweisenden Tierarzt ein Bericht über die bis dahin erfolgten Behandlungen, Therapien und verabreichten Medikamente mitgeliefert. Es folgt ein ausführliches Gespräch mit dem Besitzer (Anamnese). Dieses ist sehr wichtig, aber zeitaufwändig (je nach Fall bis zu 30 Minuten) und liefert meist schon die ersten konkreten Hinweise auf die Erkrankung  und insbesondere ihre Ursachen.

Juckreiz im Gesicht, den Pfoten und in der Flankengegend

Gino zeigte im Alter von 1,5 Jahren erstmalig Juckreiz im Gesicht, den Pfoten und in der Flankengegend. Da der Haustierarzt eine Allergie vermutete, wurde ein Blutallergietest auf Umgebungsallergene durchgeführt. Dieser ergab eine geringe Reaktion auf Schimmelpilze, Futtermilben und Gräser. Auf Grund dieses Ergebnisses wurde eine ASIT (Allergenspezifische Immuntherapie oder Hyposensibilisierung) mit den oben genannten Allergenen über 6 Monate durchgeführt. Da sich die Symptomatik dadurch jedoch nicht verbesserte, bekam Gino Kortison-Injektionen, die anfangs gute Wirksamkeit zeigten. In den letzten Wochen blieb die Wirkung jedoch aus und der Juckreiz wurde immer schlimmer. Außerdem litt Gino immer mal wieder an Ohrenentzündungen. Der Besitzer berichtete außerdem, dass Gino starke Blähungen hatte und fünfmal am Tag größere Mengen an Kot absetze. Gino wurde mit einem handelsüblichen Fertigfutter und Rohfleisch (Pansen und Rindfleisch) gefüttert.

Bei der Erstvorstellung fiel mir als erstes der sehr strenge Geruch auf, der von Gino ausging. Immer wieder kratzte er sich ausgiebig, oder er rieb sich den Kopf an der Hose des Besitzers. Das gesamte Fell sah ungepflegt aus. An einigen Stellen waren die Haare schütter, und darunter kam eine dunkel pigmentierte Haut zum Vorschein. Die Ohren waren verkrustet und rochen intensiv.
 
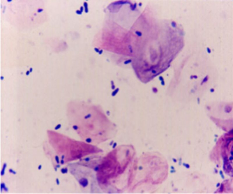
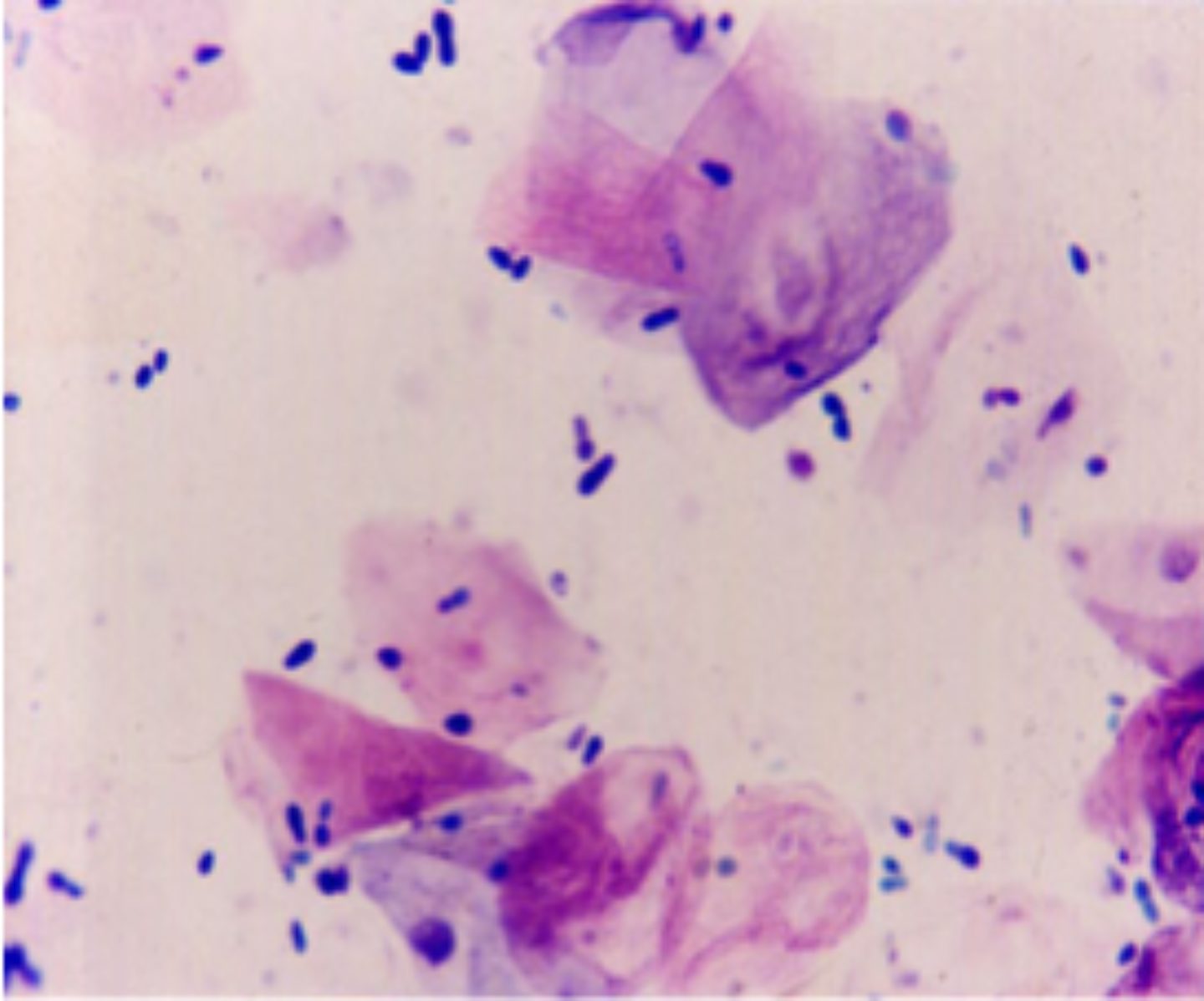
Die nachfolgenden Untersuchungen gaben schnell Auskunft über eine Ursache des Juckreizes. Mit Hilfe einer Untersuchung der Zellen der Hautoberfläche (Zytologische Untersuchung) konnten Hefepilze (Malassezien) und Bakterien identifiziert werden. Diese Mikroorganismen befinden sich als normale Mitbewohner auf der Oberfläche der Haut. Unter bestimmten Bedingungen, z.B. unter häufigem Kratzen, können sie sich jedoch stark vermehren und einen noch  stärkeren Juckreiz verursachen bei dem auch Kortison nicht mehr ausreichend wirksam ist. Da fast immer eine andere Erkrankung dahintersteht, die für den Juckreiz und letztendlich die starke Vermehrung der Hefepilze und Bakterien verantwortlich ist, muss die Ursache identifiziert werden, um den Patienten auf Dauer zu helfen.

Als Grundursache ließen die Ergebnisse der  Untersuchungen bei Gino den Verdacht auf eine Allergie aufkommen, daher wurde eine Eliminationsdiät über mehrere Wochen durchgeführt. Das bedeutet, dass das Tier in dieser Zeit nur und ausschließlich mit dem Fleisch einer Tierart gefüttert wird, die es vorher noch nicht gefressen hat. Dazu bekommt es nicht allergene Kohlenhydrate, wie z.B. Süßkartoffeln. Der Besitzer kann das Futter entweder selbst herstellen oder eine im Handel erhältliche Eliminationsdiät füttern (beides nach Absprache mit dem Tierarzt). Ginos Besitzer entschied sich für eine im Handel erhältliche Diät. Zeitgleich bekam Gino gegen die Sekundärinfektionen (Bakterien und Hefepilze) ein Ohrpräparat und ein Antibiotikum gegen die Bakterien auf der Haut. Außerdem wurde er regelmäßig mit einem gegen Hefepilze wirksamen Shampoo gewaschen. Die Behandlung zeigte schon nach zwei Wochen eine deutliche Verbesserung der Hautsymptome. Nach acht Wochen war auch der Juckreiz fast vollständig verschwunden. Ein später durchgeführter Fütterungstest ergab bei Gino eine Allergie gegen Rindfleisch.

Das Langzeitmanagement bestand aus regelmäßigen Waschungen zur Stärkung der Hautbarriere und als Vorsorge gegen Sekundärinfektionen sowie ein Verzicht auf alle Produkte vom Rind. Mit diesem Vorgehen ließ sich langfristig die Lebensqualität von Hund und Besitzer verbessern. Dieser Fall veranschaulicht, dass die Diagnose einer Allergie nicht ausschließlich an Hand von den Testergebnissen eines Allergietests gestellt werden kann.

Bei Gino passten die Symptome sowie die Befunde der Untersuchungen nicht mit den Ergebnissen des Tests überein und waren daher mit Vorsicht zu interpretieren. Die Diagnose einer Allergie wird mit Hilfe des Ausschlusses anderer Erkrankungen, der Befunde der Untersuchungen und des Vorberichts gestellt. Der Allergietest dient lediglich dazu, die Allergene zu identifizieren, um eine anschließende allergenspezifische Immuntherapie durchzuführen. Das gleiche gilt für Allergietests auf Futtermittelbestandteile. Auch hier gibt es keinen Bluttest, der uns die Diagnose liefert. Die erste Wahl zum Ausschluss einer Allergie gegen Futterbestandteile ist hier die Eliminationsdiät.

Eine Allergie ist zwar nicht heilbar, aber der Fall Gino zeigt, dass  durch die richtige Diagnose und ein gezieltes Management die Lebensqualität des Tieres - und so auch des Besitzers - auf Dauer verbessert werden kann.