"Au Backe!" - Zahnschmerzen beim Hund

Was die kleine Leila in ihrem kurzen Hundeleben für Schmerzen hatte, können sich die wenigsten vorstellen! Leila kam eigentlich wegen einer Impfung zu mir in die Sprechstunde. Da ich mich der Zahnmedizin verschrieben habe, schaue ich natürlich bei der allgemeinen Untersuchung besonders genau ins Maul, um eventuelle Veränderungen zu entdecken.

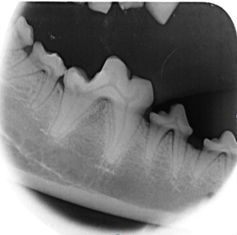
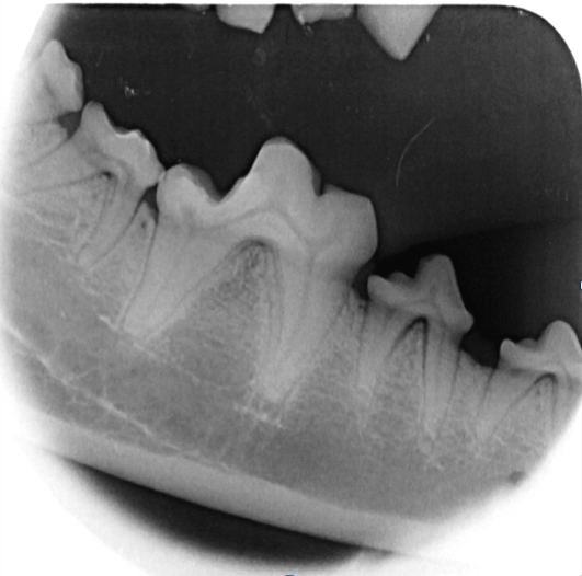
Als ich bei Leila ins Maul schaute, staunte ich schon nicht schlecht. Ich sah die Besitzerin an und fragte: „Wie alt war Leila noch mal?“ Leila war tatsächlich erst drei Jahre alt und doch wusste ich da schon, dass wir wahrscheinlich keinen Zahn retten könnten. Man sieht es wirklich nur, wenn man etwas genauer hinschaut: Leilas Zahnhälse lagen alle frei, und eitrige Beläge kamen aus der Tiefe des Zahnfachs (Abb. 2 - 5).

Der Aufbau des Zahns und seiner Umgebung

Ein Zahn besteht aus der sichtbaren Krone, die über das Zahnfleisch hinausragt, und der Wurzel, die fest in ihrer Alveole sitzt und von außen nicht zu sehen ist. Der Teil genau zwischen Krone und Alveole ist der Zahnhals.

Der Zahn besteht aus verschiedenen Schichten, die sich von außen nach innen wie folgt gliedern:

- Außen ist die Zahnkrone ummantelt vom Zahnschmelz - die Wurzel hingegen vom Zahnzement

- Darauf folgt das Dentin, was lebenslang gebildet wird, wodurch der Wurzelkanal im Laufe des Lebens immer enger wird

- Das Innere besteht aus dem Wurzelkanal, in dem die Pulpa liegt. Sie besteht aus Nerven und Blutgefäßen, die den Zahn versorgen.

Die Pulpa hat durch das apikale Delta Kontakt mit dem Nerven- und Blutgefäßsystem des Körpers. Bei Jungtieren ist dieser Zugang noch sehr weit und nennt sich Foramen apikale. Die Zahnwurzel liegt in den Alveolen des Kieferknochens und wird durch paradontale Ligamente dort gehalten.

Am Übergang zwischen Zahn und Gingiva besteht eine Furche. Dieser Gingivasulcus sollte bei Hunden ein Millimeter (2 mm bei Katzen) tief sein. Nicht keratinisierte Spezialzellen, die Saumepithelzellen, sorgen am Boden des Sulcus mittels Desmosomen für die Anhaftung der Gingiva an der Grenze vom Zahnschmelz zum Zahnzement. Diese Grenzschicht ist eine der empfindlichsten Stellen, da die Bakterien im Plaque angreifen und die Verbindung zerstören.

Weil wir von außen also nur einen Bruchteil des Zahns sehen können und schon gar nicht das Innenleben oder den Kiefer beurteilen können, ist das Zahnröntgen unerlässlich. Aber auch eine gute Sondierung des Zahnes und seines Gingivasulcus ist sehr wichtig, um Attachmentverluste und Furkationen im Zwischenwurzelbereich festzustellen. Dabei sollte jeder Zahn an mindestens vier Stellen sondiert werden (Abb. 6).

Zahnschmerzen werden leider oftmals unterschätzt. Der einzige Weg, um schmerzhafte Prozesse im Bereich der Zahnwurzeln zu erkennen, ist das dentale Röntgen und eine gründliche Aufnahme des gesamten Zahnstatus. Daher gehören zu jeder professionellen Zahnsanierung auch Röntgenaufnahmen aller Zähne mit ihren Wurzeln und die Sondierung aller Zähne an mindestens vier Stellen."

Dr. Claudia Wiese, Kleintierzentrum am Stadtpark

Das ganze Ausmaß der Zahnerkrankung

In Narkose sah man auf Leilas Röntgenbildern dann das gesamte Ausmaß ihrer Zahnerkrankung. Bis auf die Canini wiesen alle Zähne hochgradige Wurzelentzündungen mit Osteolysen des Kieferknochens auf. Deshalb konnte man auch schon von außen die Zahnhälse freiliegend sehen. Im Wurzelbereich waren die Veränderungen so schlimm, dass der Unterkiefer kurz vor einer Fraktur stand.

Doch wie kam es zu diesen schlimmen Veränderungen?

Solche Veränderungen treten oft bei einer hochgradigen Parodontitis auf. Eine Parodontitis ist die Entzündung des gesamten Zahnhalteapparates (also des Kieferknochens, des Zements, der Paradontalfasern und des Zahnfleischs) und wird durch die Bakterien, welche im Plaque enthalten sind, hervorgerufen. Diese zerstören die Anheftung der Gingiva am Zahn, und die Bakterien können bis zur Wurzel vordringen. Hier rufen sie Entzündungsreaktionen des Kieferknochens und der Gingiva hervor, wodurch beide sich zurückziehen und tiefe Paradontaltaschen entstehen lassen. Doch Leila hatte, wie auf den Bildern schön zu sehen ist, kaum Zahnstein oder Plaque.

Wie kommt dieses Bild zustande?

Die Ursache hierfür ist eine vorangegangene Zahnreinigung, wobei die oberflächlichen Beläge der Kronen entfernt wurden, jedoch die Entzündung des darunterliegenden Gewebes nicht gesehen wurde.

Es ist sehr wichtig zu verstehen, dass eine Zahnreinigung ohne Aufnahme eines kompletten Zahnstatus inklusive Zahnröntgen nichts weiter ist als eine kosmetische Behandlung, da krankhafte Prozesse übersehen werden (abb. 7-10).

Was ist zu tun?

Natürlich versuchen wir immer so viele Zähne wie möglich zu erhalten. Eine Füllung der betroffenen Zähne, hätte die Entzündung nicht eindämmen können und eine zusätzliche Wurzelspitzenresektion wäre vonnöten gewesen. Da jedoch fast jeder einzelne Zahn betroffen war und der Kiefer sowieso schon sehr wenig Halt besaß, wurde auf eine zusätzliche Traumatisierung durch das Aufbohren des Kiefers verzichtet. Daher war der Erhalt der Zähne in diesem Fall nicht möglich. Hätten wir die Zähne drin gelassen, hätte sich der Kieferknochen nicht erholen können und wäre sicher demnächst gebrochen.

Es ist in so einer Situation auch durchaus möglich, dass der Kiefer intra OP frakturiert sobald der Zahn extrahiert wurde und dann kein Halt mehr besteht. Da jedoch der Zahn auch die Ursache der Entzündung ist, blieb keine andere Wahl, als alle Zähne mit der größtmöglichen Vorsicht zu extrahieren. Glücklicherweise blieb der Kiefer stabil und es musste keine Osteosynthese vorgenommen werden.

Die Wunden wurden alle sorgfältig kürretiert (dabei wurden mit einem scharfen Löffel Gewebereste und Schmutz entfernt), gespült und das Zahnfleisch in Einzelheften vernäht. Das Nahtmaterial hierfür sollte resorbierbar, monofil und mit atraumatischer Nadel sein, damit es das empfindliche Zahnfleisch so wenig wie möglich verletzt.

Damit es nach der Operation nicht doch noch zu einer Fraktur des sehr dünnen Unterkiefers kam, musste Leila einen Halskragen tragen (eigentlich stören sich die Tiere nach Zahnsanierungen sehr wenig an ihren Wunden. Und Halskrägen sind kaum vonnöten, denn wen kümmern schon ein paar Fäden nach den Zahnschmerzen?!).

Happy End

Drei Wochen später kam Leila zur Kontrolle in die Praxis. Die Besitzerin berichtete mir davon, dass Leila noch nie so viel gefressen hätte wie in den letzten drei Wochen und dass sie sich das erste Mal in ihrem Leben auf einen Spaziergang gefreut hätte. Sie sei munterer geworden und zeigte viel mehr Lebensfreude.

Das alles beweist, wieviel Einfluss Zahnschmerzen auf das Gemüt unserer Patienten haben können. Ohne dass man eine Veränderung bemerkt hätte, war Leila eine ruhige Terrierhündin gewesen, die mäßig fraß und oft teilnahmslos spazieren ging. Nachdem wir ihr den Schmerz, der von den Zähnen ausging, genommen hatten, blühte sie auf und konnte jetzt, endlich schmerzlos, ihren wahren Terriercharakter zeigen.

Leila wurde frechund munter, ging gerne spazieren und verspeiste fortan ihr Futter mit Freude.