Harnwegserkrankungen beim Hund - nicht immer „nur“ eine Blasenentzündung

Mein Hund trinkt so viel und ist unsauber und macht unter sich.“ - „Es dauert so lange, wenn mein Hund Urin absetzt, und es kommt immer nur eine kleine Menge.“ - „Mein Hund setzt öfter als sonst Urin ab.“ - 
„Der Urin hat eine andere Farbe.“ Das sind sehr häufige Sätze von Patientenbesitzern, wenn es an der Gesundheit der Harnblase „hakt“. Die Ursachen für Erkrankungen mit Störungen des Harnabsatzes sind unterschiedlich, wie die nachfolgenden Praxisfälle zeigen:

FALL NR. 1: Deutsch-Drahthaar-Rüde, 13 Jahre, Kastrationschip, 26 Kilogramm

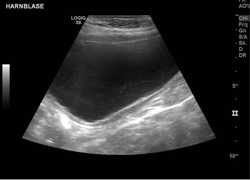
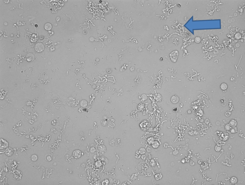
Der Hund kam mit allgemeinen Symptomen wie Unwohlsein/Schwäche, und mit Problemen - verstärktes Trinken und häufiger Harnabsatz, teilweise auch im Haus). In einer unter Ultraschallkontrolle mittels steril entnommener Urinprobe konnten im Sediment bereits mikroskopisch Bakterien nachgewiesen werden. Die Harnblasenwand stellte sich im Ultraschall leicht verdickt (chronisch entzündet) dar.

In einer Mikrobiologischen Untersuchung konnte das Kolibakterium Escheria coli in hoher Keimzahl nachgewiesen werden. Der Hund wurde daraufhin antibiotisch behandelt. Dieser Keim verursacht häufig eine starke Symptomatik bei den Patienten, das vermutlich durch Bakterientoxine ausgelöst wird. Eine gezielte antibiotische Therapie schafft eine schnelle Besserung der Symptomatik bei einer bakteriell bedingten Blasenentzündung. In jedem Fall ist es bei einer Blasenentzündung (bakterielle Zystitis) ratsam, den Urin nach Ende der Therapie nochmals zu kontrollieren, um ein Wiederaufkehren (Rezidiv) zu verhindern.

Doch wie kommen die Keime in die Harnblase?

In der Regel sind es aufsteigende Infektionen. Manchmal kommen diese bei Rüden in Kombination mit einer Prostataentzündung (Prostatitis) oder einer Eichelentzündung (Balanoposthitis) vor, bei der Hündin mit einer Scheidenentzündung (Vaginitis). Deswegen ist eine Urinentnahme mittels Harnblasenfunktion (Zystozentese) ratsam, um eine Kultur der Keime in der Blase festzustellen.

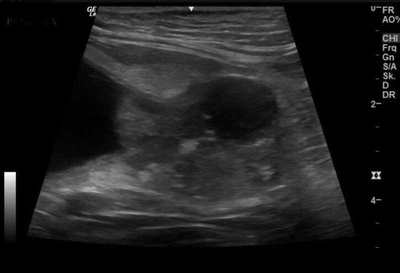
FALL NR. 2: Kooiker-Rüde, 9 Jahre, kastriert, 26 Kilogramm

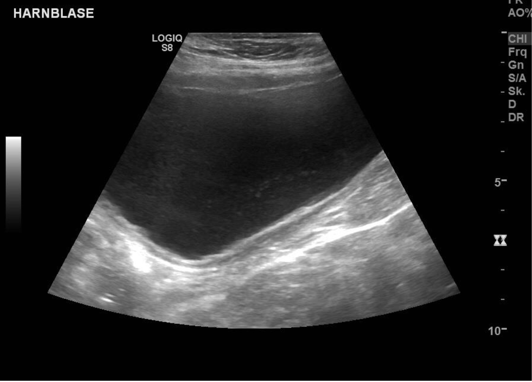
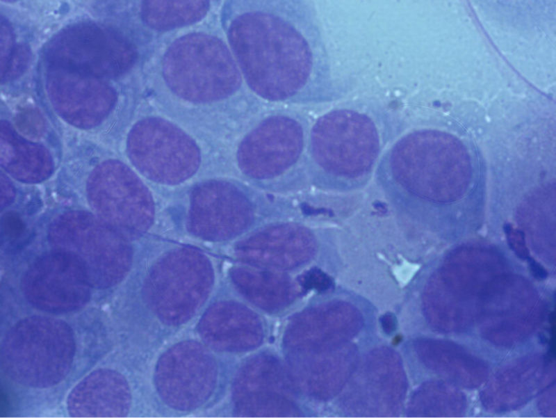
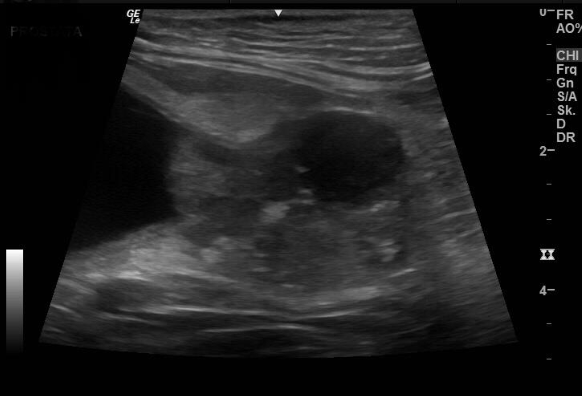
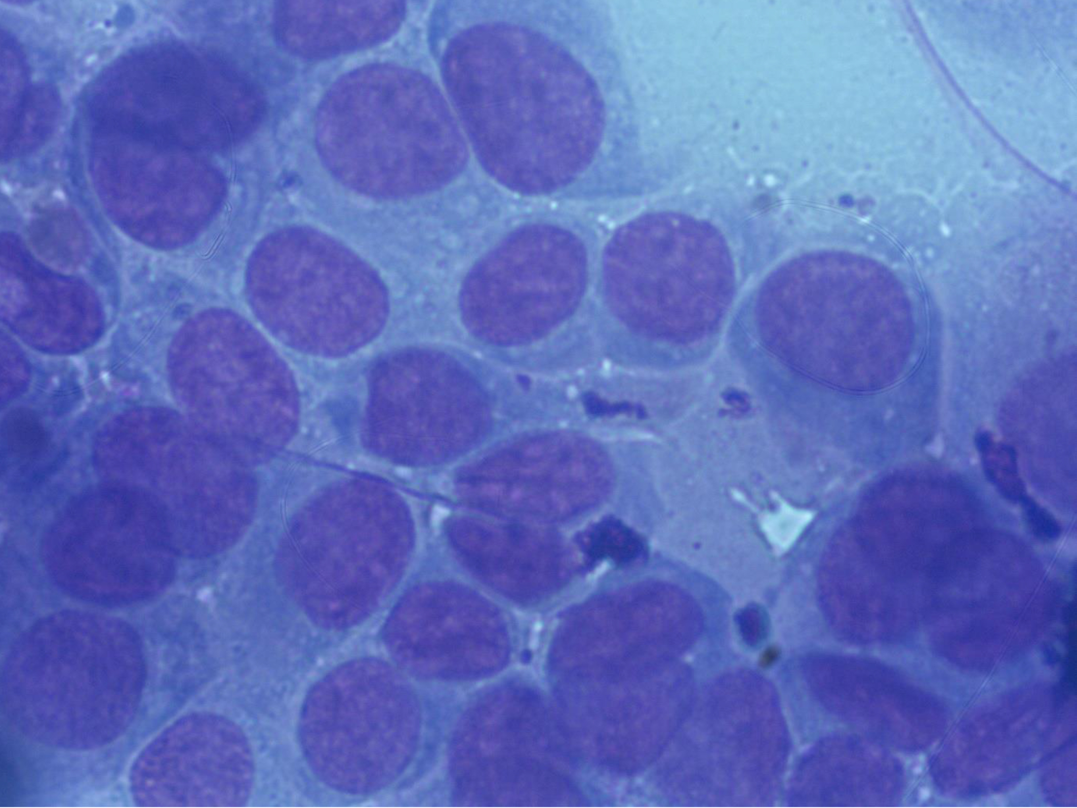
Ein anderer Fall ist der eines neun Jahre alten Kooikerrüden, der bereits mit Antibiotika anbehandelt war und wenig bis keinen Urin absetzen konnte. Der Rüde war seit zwei Jahren kastriert. Röntgenologisch zeigten sich eine stark gefüllte Harnblase und eine röntgendichte prominente Vorsteherdrüse (Prostata). Sonographisch stellte sich diese inhomogen, mit einer teilweisen Ansammlung von Calciumsalzen (kalzifiziert) dar. Im Bereich der Prostata schien eine blumenkohlartige Wucherung in der Harnröhre vorzuliegen, die den Urinabsatz blockierte.

Verdachtsdiagnose: Karzinom

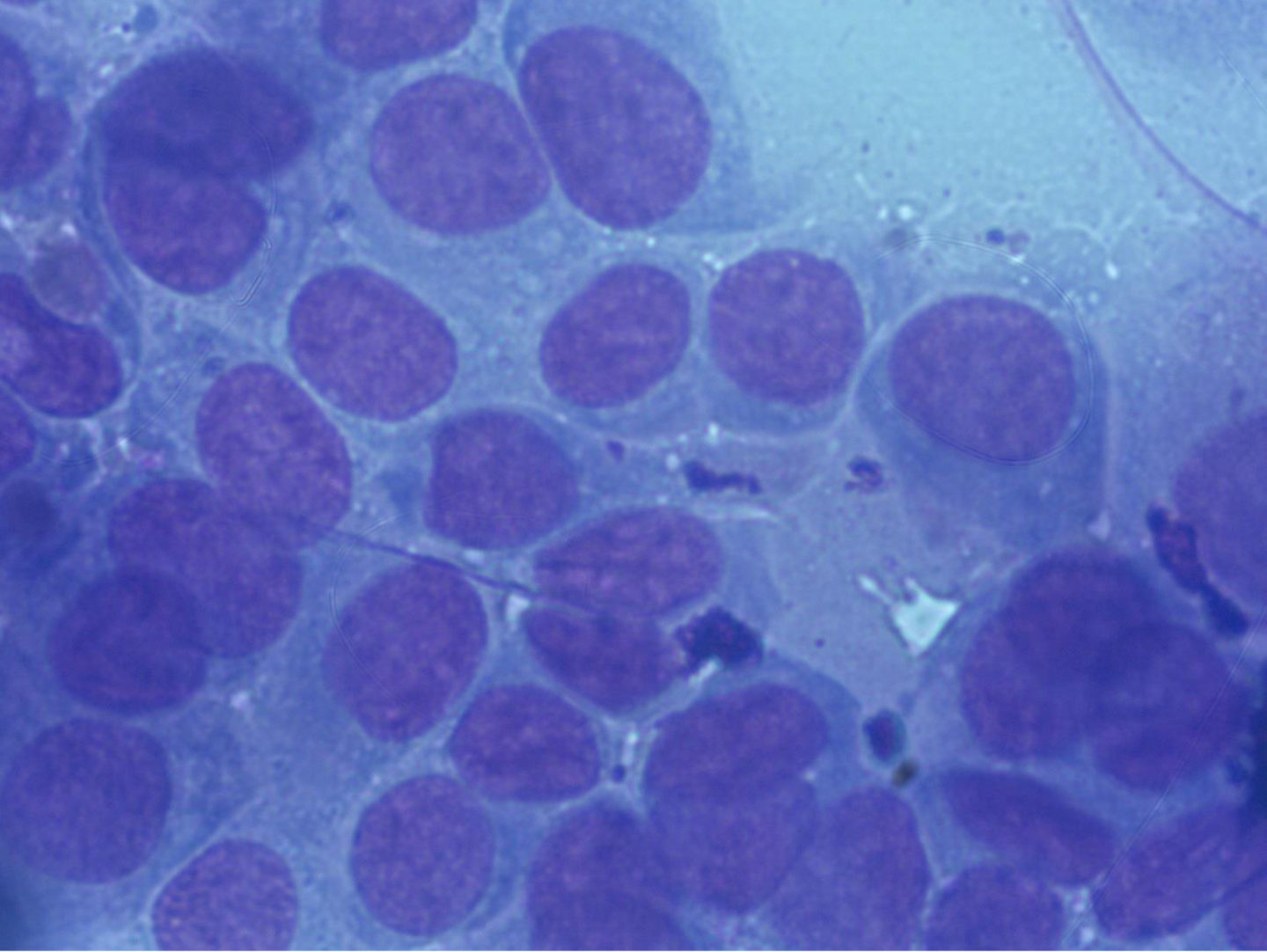
Es wurden eine Urinprobe und per Ansaugbiopsie eine Probe der Veränderung in der Harnröhre entnommen und ein Blasenkatheter zur Entlastung der Harnblase angelegt. Bereits in der mikroskopischen Untersuchung vor Ort wurde die Verdachtsdiagnose eines Karzinoms gestellt. Bei dem Hund wurde eine Blasenspiegelung (Zystokopie) durchgeführt, in der weitere Proben zur pathohistologischen Untersuchung entnommen und eine Erweiterung der prostatischen Harnröhre mittels Laserablation durchgeführt wurden. Die pathohistologische Untersuchung ergab das Ergebnis eines Übergangszellkarzinoms. Das Übergangszellkarzinom (ÜZK) ist bösartig und sehr aggressiv - daher ist eine schnellstmögliche Behandlung entscheidend für eine positive Prognose des betroffenen Vierbeiners.

Beim Kooiker-Rüden wurde ein Staging mittels Computer-Tomograph (CT) gemacht, um den Ausbreitungsgrad dieses bösartigen Tumores festzustellen, sowie eine spezifische Zelltherapie angesetzt. Grundsätzlich ist eine komplette Tumorresektion nicht möglich. Insofern sind hier alle Therapieansätze rein schmerzlinderns (palliativ). Mögliche Therapien sind Laserablationen zur Verkleinerung des Tumors, ggf. Einsetzen einer Schiene in die Harnröhre zur Erleichterung des Harnabsatzes, NSAIDS (nichtsteroidale Antirheumatika sind Schmerzmittel, die wegen ihrer entzündungshemmenden Wirkungspeziell eingesetzt werden), Chemotherapie oder auch die bei diesem Patienten eingesetzte Zelltherapie.

"Beim Symptom „Probleme mit dem Harnabsatz“ gibt es sehr unterschiedliche Ursachen, die häufig erst in speziellen diagnostischen Verfahren sichtbar werden."

Dr Stefanie Berghahn, Tierklinik Bielefeld

Nicht selten liegen bei Hunden mit Blasenentzündung und Urinabsatzproblemen Blasensteine oder auch Harnröhrensteine vor. Dabei wird die Entstehung von Steinen im Urin durch verschiedene Faktoren ausgelöst. Dazu zählen z.B. eine zu mineralstoffreiche Fütterung, Harnwegsinfektionen, Funktionsstörungen der Leber, Medikamente, mangelnde Wasseraufnahme und damit verbundener mangelnder Urinabsatz oder auch eine genetische Veranlagung zu Harnsteinen.

Dementsprechend gibt es auch verschiedenste Harnsteine: Cystinsteine, Urate, Calciumsteine, Struvitsteine, Xanthinsteine. Je nach Größe und Ausprägung der Urolithiasis sind unterschiedliche Symptome auftretend: Von häufigerem Harndrang, über blutigen Urin oder über Strangurie (erschwertem Harnabsatz) bis hin zu keinem Harnabsatz trotz häufigen Versuchens des Absetzens. Dementsprechend sind auch die Therapieformen unterschiedliche aufwendig.

Diagnostik

Die Diagnostik ist immer gleich: Röntgen, Ultraschall und Urinuntersuchung. Bei nur geringer Größe der Steine und je nach Geschlecht und Größe des Hundes ist unter Umständen eine entzündungshemmende, ggf. antibiotische und diäthetische Behandlung möglich.

Bei größeren, gegebenenfalls auch obstruierenden Steinensind in der Regel operative Maßnahme notwendig. Dabei kann unter Umständen eine reine Lithotripsie (Harnsteine werden zertrümmert) ausreichen. Ist dies nicht der Fall, ist eine Operation mit einer Eröffnung der Harnblase notwendig. Bei Rüden mit immer wiederkehrender Symptomatik ist sogar manchmal eine Harnröhrenfistel (Eröffnung der Harnröhre hinter dem Penisknochen) notwendig. Durch die Steinoberfläche liegt in der Regel immer eine - häufig chronische und meist auch bakterielle - Harnblasenentzündung vor.

FAZIT: Optimierung des Futter- und Wassermanagements

Zusammenfassend ist also zu sagen, dass es bei dem Symptom „Probleme mit dem Harnabsatz“ sehr unterschiedliche Ursachen gibt, die häufig erst in speziellen diagnostischen Verfahren sichtbar werden. Wichtig ist bei Hunden mit derlei Problematik, dass - speziell bei Hunden mit rezidivierenden (wiederkehrenden) Symptomen - der Besitzer eine Menge durch Veränderung/Optimierung des Futter- und Wassermanagements beitragen kann.