Diagnose Cushing Syndrom – ein ungewöhnlicher Fall!

Jack, ein 14-jähriger Jack Russel Terrier, wurde mit einer beidseitigen Ohrenentzündung in der Praxis vorgestellt. Bei der Untersuchung fielen dann allerdings eine ausgeprägte Stammfettsucht, ein Schwund der Muskulatur der Hintergliedmaßen (Abb. 1) sowie auffällig kleine Hoden auf. Außerdem hatte Jack schütteres Fell und eine übermäßig pigmentierte Haut im Bereich der Flanken. Die Besitzerin berichtete, dass ihr Hund sehr viel trinkt und frisst, aber auch große Mengen Urin absetzt.

Typisch Cushing?!
Die gezeigten Symptome sind in dieser Kombination typisch für eine Erkrankung namens "Cushing Syndrom". Wie auch in Jacks Fall, sind davon häufig kleinere Rassen betroffen. Verursacht werden die Symptome durch chronisch erhöhte Blutkonzentrationen des Hormons Cortisol. Diese erhöhten Cortisol-Konzentrationen können wiederum unterschiedliche Ursachen haben. In der überwiegenden Anzahl der Fälle sind Tumore der Hypophyse (Hirnanhangsdrüse) oder der Nebenniere für die erhöhte Cortisol-Produktion verantwortlich. Aber auch bestimmte Medikamente können zu einer solchen Symptomatik führen. Jacks Besitzerin konnte diese Ursache allerdings ausschließen, da ihr Hund seit Längerem keine solchen Medikamente bekommen hatte.

Weitere Symptome unterstützen den Verdacht.
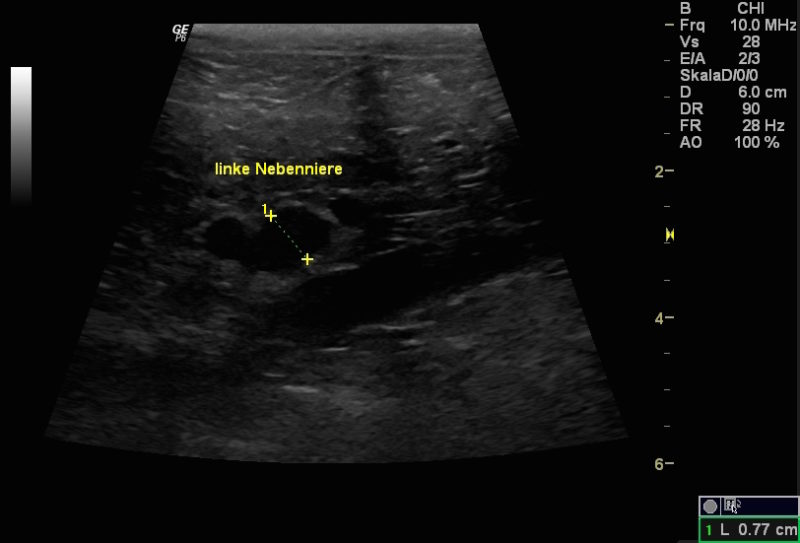
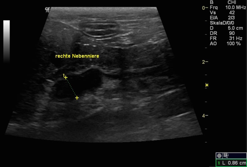
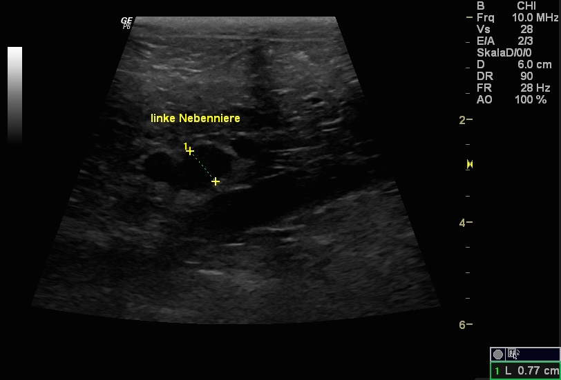
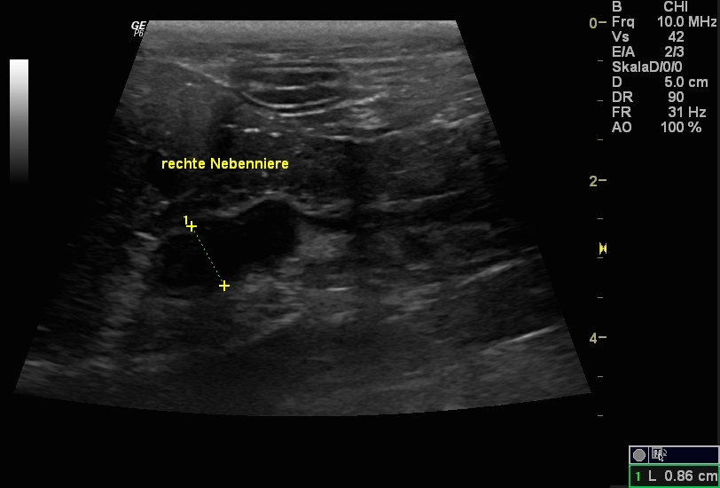
Im Rahmen einer Ultraschall-Untersuchung der Bauchorgane fiel eine stark vergrößerte Leber auf. Die Nebennieren wiesen grenzwertig große Durchmesser auf (Abb. 2, Abb. 3).
Eine angeschlossene Blutuntersuchung zeigte, dass zwei Leberenzyme, die Alanin-Aminotransferase  und die Alkalische Phosphatase,  deutlich erhöht waren.
Auch diese Veränderungen sind typisch für ein Cushing-Syndrom, können aber auch durch andere Erkrankungen verursacht werden. Da die Therapie jedoch nicht nur aufwändig, sondern auch mit Risiken behaftet ist, war eine weitere Abklärung erforderlich.

Bestätigung der Diagnose?
Um die Diagnose „Cushing Syndrom“ zu bestätigen, wurde ein Low-Dose-Dexamethason-Suppressions-Test durchgeführt. Jack wurde dazu morgens Blut abgenommen und anschließend eine geringe Menge Dexamethason intravenös injiziert. Dexamethason ist dem körpereigenen Hormon Cortisol sehr ähnlich. Bei gesunden Hunden führt die Injektion daher zu einer Hemmung der körpereigenen Cortisol-Produktion, sodass nach 4 Stunden und nach 8 Stunden niedrige Cortisol-Werte im Blut gemessen werden. Bei Hunden, die an einem Cushing Syndrom leiden, ist aufgrund der entgleisten Cortisol-Produktion keine solche Hemmung zu beobachten. Jacks Test-Ergebnis war leider weder eindeutig positiv noch eindeutig negativ, sondern befand sich nach 8 Stunden im Graubereich.

Kein klassisches Cushing Syndrom
Neben dem klassischen Cushing-Syndrom, das zu erhöhten Cortisol-Werten im Blut führt, tritt seltener auch ein sogenanntes „atypisches Cushing-Syndrom“ auf. Es kommt hierbei in erster Linie zu einer Erhöhung von Vorläuferhormonen des Cortisols, wie z.B. Progesteron. Die Blutkonzentration dieser Vorläuferhormone steigt beim Vorliegen eines atypischen Cushing Syndroms nach der Gabe des Hormons ACTH zudem deutlich an.

Aufgrund der Ergebnisse der vorherigen Untersuchungen wurde bei Jack daher ein sogenannter ACTH-Stimulationstest durchgeführt. Die Messung der Progesteron-Konzentration vor der ACTH-Gabe ergab bei Jack einen Wert an der unteren Nachweisgrenze. Eine Stunde nach der Injektion von ACTH zeigte der Progesteron-Wert jedoch einen deutlichen Anstieg. Auch das körpereigene Cortisol ließ sich im Rahmen des ACTH-Testes knapp bis über den Referenzbereich stimulieren. Somit konnte für Jack nun die Diagnose „atypisches Cushing Syndrom“ gestellt werden.

Anpassung der medikamentösen Therapie
Jacks Besitzerin entschied sich nach einer ausführlichen Beratung für eine medikamentöse Therapie mit dem Wirkstoff Trilostan. Das verschreibungspflichtige Präparat unterdrückt die übermäßige Funktion der Nebenniere, indem es das Enzymsystem 3-β-Hydroxysteroid-Dehydrogenase hemmt. Dadurch wird nicht nur weniger Cortisol, sondern auch weniger Progesteron, als Cortisol-Vorläuferhormon, in den Nebennieren gebildet (Abb. 4). Das Einstellen der optimalen Dosis ist individuell und muss – gerade zu Beginn der Therapie- engmaschig überwacht werden, da ein Cortisol-Mangel durch eine zu hohe Dosis des Medikaments lebensbedrohlich sein kann. In Jacks Fall war eine Aufteilung der Dosis auf eine zweimal tägliche Gabe erforderlich, um in den Therapiekontrollen optimale Werte zu erreichen.
Mittlerweile haben sich Jacks übermäßiges Trinkverhalten und der häufige Urinabsatz stark verbessert und auch das Fell ist wieder dichter nachgewachsen (Abb. 5). 

Bis die Stammfettsucht jedoch vollständig zurückgegangen ist, können noch einige Wochen vergehen.

Der Heimtierspezialistin und Chirurgin Dr. Constanze Frommhagen ist als Inhaberin der Kleintierpraxis die interdisziplinäre Zusammenarbeit sehr wichtig, denn „nur so können wir ein höchstmögliches Maß an fachlichem Niveau erreichen“.

Dr. J. Kösters, Dr. L. Steinhoff und Dr. C. Frommhagen.