Zahnprobleme beim belgischen Schäferhund Alyza

In der letzten Zeit wird der Zahnproblematik bei Kleintieren in der Tiermedizin und auch bei Tierbesitzern immer mehr Aufmerksamkeit entgegengebracht. Die meisten Probleme entstehen durch falsche Fütterung und werden oft von den Besitzern übersehen. Meistens werden die Patienten vorgestellt, wenn es schon zu spät ist.

Parodontose beim Hund

Patient: Belgischer Schäferhund „Alyza“, 6 Jahre alt, 22,7 kg, weiblich, kastriert. Sie wurde Anfang April wegen einer Otitis und einer allgemeinen „Wesensveränderung“ vorgestellt. Dem Besitzer war zudem ein unangenehmer Mundgeruch aufgefallen.

Bei der Untersuchung wurde eine chronische Otitis externa (Entzündung des äußeren Ohres) und vermehrte Zahnsteinbildung auf dem oberen Backenzahn festgestellt. Da die Hundezähne uns besonders am Herzen liegen, wurde ein Termin für die Zahnsanierung vereinbart. Natürlich wurden die Ohren sofort behandelt. Eine gründliche Ohrspülung wird immer in Narkose durchgeführt.

Zahnsanierung am Operationstag

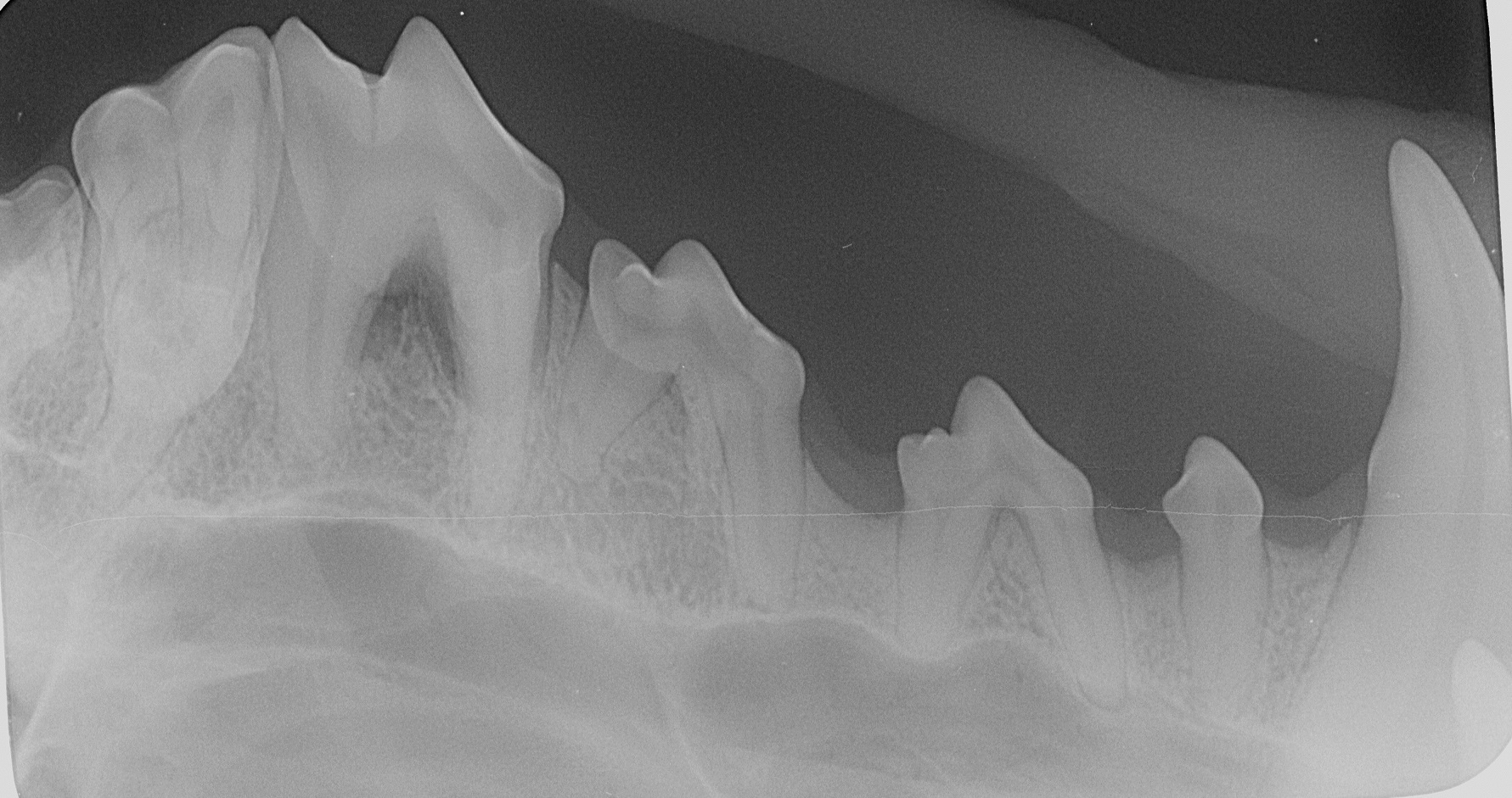
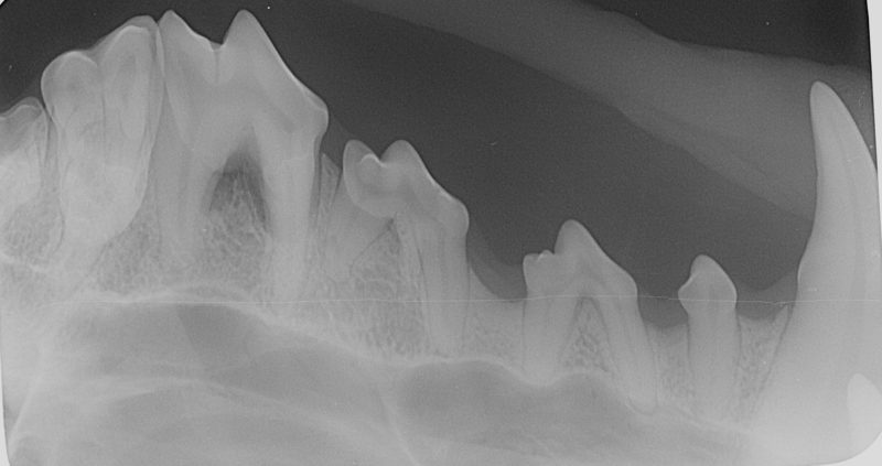
Für eine ordentliche Narkose wird standardmäßig die Inhalationsnarkose durchgeführt. Nachdem „Alyza“ intubiert wurde, wurden die Zähne geröntgt. Die Röntgenbilder zeigen eine deutliche Reduktion des Knochens. Die Zähne wurden von dem Belag befreit, die Zahnfleischtaschen mit Paradontalsonde untersucht. Die Befunde sprechen für beidseitige Paradontose der oberen vierten Prämolare (Backenzähne im Gebiss von Säugetieren). Die Zähne haben ihre Bezeichnungen bzw. Nummern. Diese Zähne heißen P4, genauer haben sie Nummern „108 und 208“, wo 1 für rechts oben, und 2 für links oben steht, und Nummer 8 ist die Zahnnummer auf der entsprechenden Seite.

Leider ist die Paradontose nicht heilbar - die entsprechende Behandlung in diesem Fall ist eine Extraktion (lateinisch extrahere: ‚herausziehen, entnehmen‘). Die betroffenen Zähne haben drei sehr lange Wurzeln, deswegen müssen sie vor der Extraktion zerteilt werden, und jede Wurzel wird einzeln aus der Alveole (aus lat. alveolus für „kleine Mulde“ - Zahnfach, Teil des Kieferknochens) gezogen. Damit keine Wurzelüberreste im Körper bleiben, werden Zahnfleisch und Kieferknochen entsprechend präpariert. Die Operationswunde muss nach einer solchen  Operation sorgfältig verschlossen werden. „Alyza“ darf jetzt nach der Narkose aufwachen. Mit dieser Art der Betäubung geht es relativ schnell. Da die Zahnarztinstrumente mit Druckluft und Wasser betrieben werden, besteht bei der Inhalationsnarkose keine Gefahr, dass Wasser oder Zahnteile in die Luftröhre geraten. 

Eine Woche nach der Zahnbehandlung ist „Alyza“ wieder die alte und kann mit Stöckchen spielen. Die Ohrenentzündung ist auch gut abgeheilt.

Tierhalter müssen sorgfältig auf jede Art von Wesensveränderungen bei ihrem Tier achten."

Dr. Andre Synilo, Tierarzt in Feldkirchen

Überlegungen zu Zahnkrankheiten

Unsere Patienten können nicht reden, sie leiden still, und wollen immer ihren Herrchen und Frauchen gefallen. Sie zeigen kaum Veränderungen bei ihrem Verhalten auch bei massiven Entzündungen in der Maulhöhle. Deshalb müssen Tierhalter sorgfältig auf jede Art von Wesensveränderungen bei ihrem Tier achten!