Physiotherapie nach multiplen Beckenfrakturen bei einem Bengal-Kater

Katzen gelten in der Physiotherapie oft als herausfordernde Patienten, da Schmerzsymptome subtil auftreten und ihre Kooperationsbereitschaft häufig unterschätzt wird. In der Praxis zeigt sich jedoch, dass sie bei ruhiger, individueller und stressarmer Behandlung bemerkenswert anpassungsfähig sind. Voraussetzung für eine erfolgreiche Rehabilitation sind fundierte Kenntnisse in Tiermedizin, ein sicheres Erkennen von Schmerz- und Stresssignalen sowie ein Verständnis für katzentypisches Verhalten. Ziel ist nicht nur die Schmerzlinderung und Wiederherstellung körperlicher Funktionen, sondern auch ein möglichst hohes Maß an Mobilität, Selbstständigkeit und Lebensqualität.

Der vorliegende Fallbericht beschreibt die Rehabilitation eines jungen Bengalkaters nach multiplen Beckenfrakturen und zeigt, wie eine frühzeitige physiotherapeutische Intervention den Heilungsverlauf positiv beeinflussen kann.

Patientenaufnahme

Kosmo, ein junger Bengalkater und Freigänger, wurde nach einem Trauma im Garten eines Nachbarn aufgefunden. In der Tierklinik zeigte er sich aufmerksam, jedoch nicht stehfähig; der Schwanz hing schlaff.

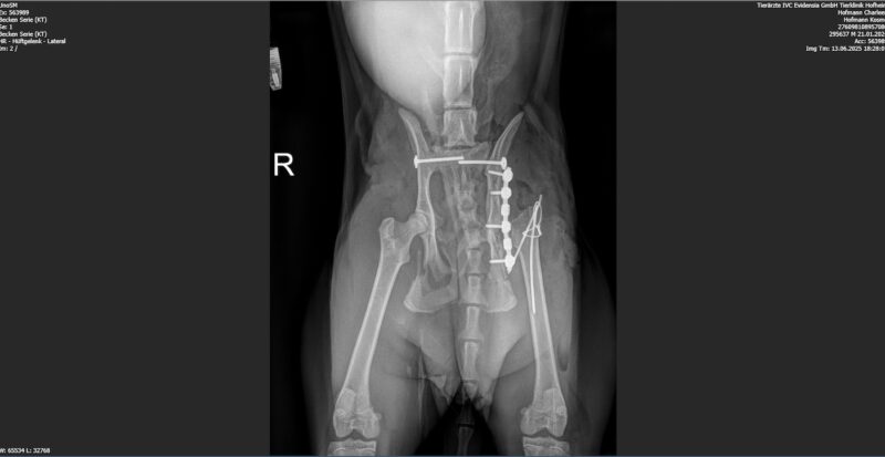
Die Bildgebung ergab multiple Beckenfrakturen, beidseitige Iliosakralgelenksluxationen, eine Beteiligung des linken Acetabulums, eine Läsion des linken Femurkopfes sowie eine mögliche Schwanzablösung im Bereich der ersten beiden Schwanzwirbel. Am Folgetag erfolgte die operative Versorgung mit bilateraler Stabilisierung der Iliosakralgelenke, Versorgung der Iliumfraktur inklusive Trochanter-Osteotomie und einer Femurkopf-Hals-Resektion links. Fünf Tage später wurde Kosmo zur physiotherapeutischen Erstvorstellung überwiesen.

Physiotherapeutischer Erstbefund: physischer, funktioneller und emotionaler Zustand

Bei der Erstuntersuchung zeigte Kosmo ein ausgeprägtes Schmerzverhalten. Trotz Analgesie lag die Schmerzskala bei 5/20 (modifizierte Feline Grimace Scale). Die linke Beckenhälfte wurde vollständig entlastet, wodurch die rechte Hintergliedmaße kompensatorisch überbeansprucht wurde.

Es bestanden eine deutliche Muskelatrophie links, erhöhte myofasziale Spannung rechts sowie eingeschränkte Hüftbeweglichkeit beidseits. Hinzu kamen Druckempfindlichkeit im Abdomen, eine prall gefüllte Harnblase und Kotmassen im Colon; Miktion und Defäkation erfolgten selbstständig, jedoch unter Schmerzvokalisation. Neurologisch war Kosmo unauffällig, zeigte jedoch eine verzögerte Propriozeption hinten links.

Strukturierter Rehabilitationsplan

Die physiotherapeutische Behandlung wurde am fünften postoperativen Tag unter fortlaufender Analgesie eingeleitet. Die Verlaufskontrolle erfolgte bei jedem Termin mittels modifizierter Feline Grimace Scale sowie durch die Beobachtungen der Besitzerin im häuslichen Umfeld. Für den etwa achtwöchigen Rehabilitationszeitraum wurden folgende Ziele definiert: Reduktion nozizeptiver und entzündlicher Prozesse, Verbesserung der Gelenkfunktion, Muskelaufbau, Förderung von Gleichgewicht, Koordination und posturaler Kontrolle sowie Stabilisierung des emotionalen Wohlbefindens.

Zum Einsatz kam ein multimodales Behandlungskonzept aus Massagen und Akupressur, passiver Gelenkmobilisation, Gleichgewichts- und Koordinationsübungen, aktivem Training, Rollstuhl-gestütztem Gehtraining, Magnetfeldtherapie, Lasertherapie, Radiofrequenztherapie, Elektrotherapie, Akupunktur und – in einer späteren Phase – Unterwasserlaufband. Ergänzend wurden Heimübungen für die Besitzerin angeleitet, die Ernährung angepasst und auf eine stressarme, stimulierende Umgebung geachtet.

Verlauf und Ergebnisse

Die physiotherapeutische Behandlung begann am fünften postoperativen Tag unter fortlaufender Analgesie. Der Therapieplan wurde engmaschig anhand der modifizierten Feline Grimace Scale sowie der häuslichen Beobachtungen der Besitzerin angepasst. Sowohl während der stationären physiotherapeutischen Betreuung als auch im häuslichen Umfeld erfolgte ein kontinuierliches Schmerzmonitoring, was eine zuverlässige Verlaufskontrolle und eine flexible, bedarfsorientierte Anpassung der Maßnahmen ermöglichte. Die frühzeitige physiotherapeutische Intervention unterstützte gezielt die Geweberegeneration und die Wiederherstellung funktioneller Mobilität. Die Ziele der etwa achtwöchigen Rehabilitation umfassten:

  • Reduktion nozizeptiver und entzündlicher Prozesse
  • Verbesserung der Gelenkfunktion und Mobilität
  • Muskelaufbau und neuromotorische Kontrolle
  • Förderung von Gleichgewicht, Koordination und posturaler Stabilität
  • Unterstützung des emotionalen Wohlbefindens

Zum Einsatz kam ein multimodales Konzept aus manuellen Techniken, passiver und aktiver Kinesiotherapie, Gleichgewichts- und Koordinationsübungen, Rollstuhltraining, physikalischen Verfahren (Magnetfeld-, Laser-, Elektro- und Radiofrequenztherapie), Akupunktur sowie – in späterer Phase – Hydrotherapie. Ergänzend wurden Heimübungen, eine angepasste Umgebungsgestaltung und gezielte Ernährungsanpassungen (z. B. Erhöhung des Faseranteils, Pro- und Präbiotika) integriert, um Verdauung und Immunfunktion zusätzlich zu unterstützen.

Verlauf und Ergebnisse

Kosmos Fall zeigt, wie wichtig ein ganzheitliches und flexibel angepasstes Rehabilitationskonzept bei schwer verletzten Katzen ist. Entscheidend war die frühe physiotherapeutische Begleitung unmittelbar nach der Entlassung aus der Klinik. Im Zentrum standen zunächst Schmerzreduktion und Entzündungsmanagement, später Muskelaufbau, Gleichgewicht, Koordination und die Wiedererlangung funktioneller Mobilität. Der Fall macht deutlich, dass auch Katzen von einem multimodalen Konzept profitieren können, wenn dieses behutsam, respektvoll und individuell umgesetzt wird.

Ein wesentlicher Erfolgsfaktor war zudem die enge Einbindung der Besitzerin. Ihre konsequente Mitarbeit bei Heimübungen, ihre genaue Beobachtung von körperlichen und emotionalen Veränderungen sowie die vertrauensvolle Bindung zu Kosmo trugen wesentlich zum Rehabilitationserfolg bei. Auch die emotionale Stabilität des Patienten spielte eine große Rolle: Ein sicherer, stressarmer Rahmen erhöhte Kosmos Bereitschaft zur aktiven Mitarbeit und wirkte sich positiv auf den gesamten Verlauf aus.

Falldiskussion

Kosmos Fall verdeutlicht die Bedeutung eines frühzeitigen, individuell angepassten und multimodalen Rehabilitationsansatzes bei schwer verletzten Katzen. Entscheidend war die Kombination aus Schmerzmanagement, manuellen Techniken, aktiver Kinesiotherapie und physikalischen Verfahren.

Ein wesentlicher Erfolgsfaktor war die enge Einbindung der Besitzerin, deren konsequente Mitarbeit und genaue Beobachtung maßgeblich zum Fortschritt beitrugen. Ebenso zeigte sich, wie stark emotionale Stabilität und ein stressarmer Rahmen die Bereitschaft zur aktiven Mitarbeit fördern – sowohl während der stationären Betreuung als auch in den anschließenden Rehabilitationssitzungen in der Praxis und im häuslichen Umfeld.

Fazit

Dieser Fall zeigt eindrucksvoll, dass Katzen – entgegen verbreiteten Annahmen – hervorragend von physiotherapeutischen Maßnahmen profitieren können. Ein empathischer, individuell abgestimmter Therapieansatz ermöglicht nicht nur funktionelle Verbesserungen, sondern auch eine deutliche Steigerung der Lebensqualität. Der Verlauf unterstreicht, dass Fortschritt nicht linear sein muss, sondern Geduld, Flexibilität und genaue Beobachtung erfordert. Gleichzeitig zeigt er, dass auch Verfahren wie Hydrotherapie, Akupunktur oder Elektrotherapie bei Katzen erfolgreich eingesetzt werden können, wenn sie behutsam eingeführt werden.