JUST4VETS +

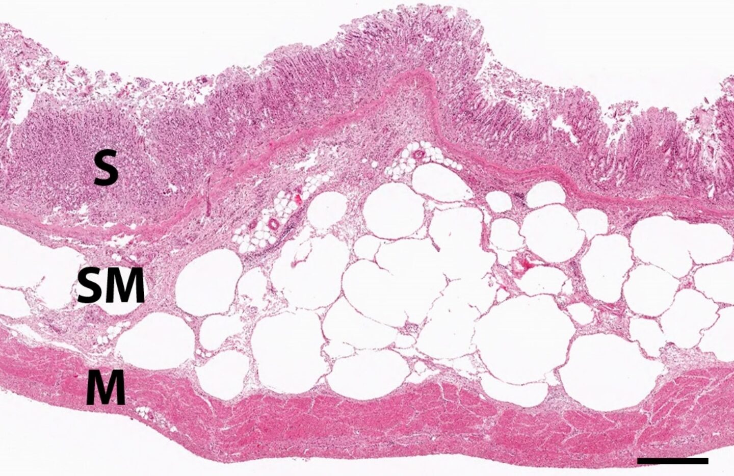
Magenwandemphysem als seltene Komplikation der Pankreatitis bei einer Katze

Romy Röschke & Dr. Stefanie Neumann, Ahlen

In der Kleintiermedizin ist das Magenwandemphysem ein seltener Befund und wird fast ausschließlich als Komplikation infolge einer Torsio ventriculi beim Hund beschrieben. Im Folgenden wird das generalisierte Magenwandemphysem im Krankheitsverlauf einer hochgradigen Pankreatitis bei einer Katze skizziert.

Fallbeschreibung mit Fokus bildgebender Diagnostik

Eine sechs Jahre alte kastrierte EKH wird aufgrund von reduziertem Verhalten, zunehmender Futterablehnung und anhaltendem Vomitus vorstellig. Die klinische Untersuchung zeigt ein geringgradig vermind

Jetzt kostenlos registrieren
und weiterlesen

Um diesen Beitrag weiterlesen zu können, müssen Sie Tierarzt oder Tierärztin sein und sich registrieren. Wir schalten Sie nach entsprechender Prüfung umgehend frei.

Zur Anmeldung