Bring your own case: Trauma oder Trächtigkeit – oder beides?

„Bring your own case“ ist ein besonderes Angebot der FRONTIER Kleintierspezialisten. Die beiden Gründer des Überweisungszentrums, Dr. Anna Adrian und Pieter Nelissen, bieten Kolleg:innen an, Spezialfälle aus der Praxis einzusenden, die dann mit den FRONTIER-Oberärzt:innen diskutiert werden. Besonders interessante Fälle werden dann jeden Monat in den Tierarztmagazinen KATZENMEDIZIN & HUNDERUNDEN veröffentlicht.

Liebes FRONTIER-Team!

Bei uns wurde kürzlich eine weibliche Katze vorstellig, die von einer Privatperson aufgefunden und in unsere Praxis gebracht wurde. Der Allgemeinzustand war bei Ankunft deutlich reduziert, sowie leicht hypotherm. Die Katze zeigte bei der klinischen Untersuchung zudem eine deutliche Schmerzhaftigkeit im Bereich des Beckens sowie eine eingeschränkte Beweglichkeit der Hintergliedmaßen. Weitere anamnestische Angaben zu Herkunft, Alter oder Vorerkrankungen liegen leider nicht vor. Zur weiteren Abklärung wurden Röntgenbilder angefertigt. Ich bitte um Ihre Einschätzung bzw. Beurteilung der angehängten Aufnahmen – insbesondere in Hinblick auf eine mögliche intraartikuläre Fraktur, Luxationen oder andere pathologische Veränderungen im Beckenbereich.

Dr. Anna Adrian, MS, DACVR, antwortet:

Besten Dank für die Übermittlung dieses spannenden Falles! Es liegen Röntgenbilder des Thorax und des Abdomens in 2 Ebenen vor (sinistro-dextraler Strahlengang, sowie ventro-dorsaler Strahlengang). Wesentliche Hauptbefunde sind im Bereich des muskuloskelettalen Systems, als auch im Abdomen zu vermerken.

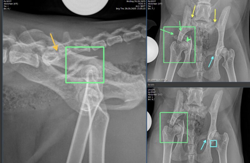
Mehrfrageant-Fraktur am rechten Acetabulum. Zum einen besteht am rechten Acetabulum eine Mehrfrageant-Fraktur mit sicherer Beteiligung des Iliums (grüne Rechtecke). Die rechte Darmbeinschaufel ist nach mediokaudal rotiert, wodurch der Beckenkanal kranial des Acetabulums erweitert erscheint. Zusätzlich besteht eine kaudale, sowie minimal dorsale Verschiebung der Darmbeinschaufel, wodurch in der ventro-dorsalen Aufnahme der Trochanter major überlagert wird. Kranio-lateral des rechten Aceatbulums sind mindestens zwei längliche, teils scharfrandige, teils geringgradig irreguläre Knochenfragmente erkennbar (grüne Pfeile). Das Acetabulum selbst ist, soweit beurteilbar, artikuliert mit dem Femurkopf. Eine Beteiligung des rechten Os pubis kann aufgrund der Überlagerung nicht ausgeschlossen werden. Der Gelenkspalt ist jedoch gering- bis mittelgradig erweitert (grüner Pfeilkopf).

Iliosakrale Gelenksluxation: Linksseitig besteht zudem eine iliosakrale Gelenksluxation, wodurch das Becken nach kranioventral verschoben ist und eine geringgradige linksseitige latero-kaudale Rotation entsteht (gelbe Pfeile). Das rechte Iliosakralgelenk ist fraglich subluxiert.

Transversale Fraktur: Eine transversale, minimal irreguläre, vollständige Fraktur ist am lateralen Aspekt des linken Os pubis erkennbar (blaue Pfeile). Diese resultiert in keiner nennenswerten Knochendeviation. Am kaudolateralen Rand des linken Acetabulums befinden sich multiple kleine Fragmente (blaues Rechteck). Im umliegenden Weichteilgewebe ist weder freies Gas erkennbar, noch besteht eine deutliche Weichteilschwellung.

Verwachsene Wirbelkörper: Der S1 Wirbelkörper ist unvollständig mit dem Wirbelkörper des S2 verwachsen (orangener Pfeil). Bilateral besteht jedoch eine Artikulationsfläche beider Ala ossis sacri.

Auffallend im Abdomenröntgen sind runde, homogene, weichteildichte Strukturen, die um die Harnblase lokalisiert sind und sich etwa auf Höhe von L5, sowie L6-7 (pinke Pfeile) befinden. Ihre Ausdehnung entspricht in etwa der Länge eines lumbalen Wirbelkörpers. Im kranialen Abdomen ist das seröse Detail zudem etwas reduziert. Im gesamten Verdauungstrakt findet sich weichteildichtes, teils auch mineraldichtes, granuliertes Material, begleitet von einer moderaten Menge an Luft (exemplarisch mit pinken Pfeilköpfen markiert). Freies abdominales Gas ist nicht nachweisbar und die Harnblase stellt sich intakt dar.

Trachea/Ösophagus, Mediastinum, Pulmonalgefäße, Aorta/V.cava, Pleuralraum, sowie alle abgebildeten ossären Strukturen stellen sich unauffällig dar. Die Herzsilhouhette misst im VHS 7,5 Wirbelkörper. Das Thoraxröntgen stellt sich somit unauffällig dar, ohne Hinweis auf Rippenfrakturen, Pneumothorax oder Lungenkontusionen.

Zusammenfassend ist hervorzuheben, dass es sich bei den weichteildichten Strukturen im kaudalen Abdomen sehr wahrscheinlich um multiple Fruchtblasen in beiden Uterushörnern handelt und somit der hochgradige Verdacht einer Trächtigkeit im Raum steht. Dies sollte unbedingt alsbald ultrasonographisch abgeklärt werden.

Weiters zeigt sich eine subakute, geschlossene, traumatische intraartikuläre Fraktur des rechten Acetabulums mit Beteiligung des rechten Os ilium und potentieller Beteiligung des Os pubis. Das Hüftgelenk bleibt zwar in Artikulation, weist jedoch eine Laxizität und potenzielle Instabilität auf, was auf eine eingeschränkte Belastbarkeit der rechten Hintergliedmaße schließen lässt.

Begleitend besteht eine linksseitige Sakroiliakalluxation mit kranioventraler Verschiebung des Beckens und Rotation nach links latero-kaudal. Rechts ist das SI-Gelenk fraglich subluxiert. Trotz dieser Verschiebungen ist keine signifikante Verengung des Beckenkanals erkennbar, was das Risiko einer funktionellen Obstipation oder Kompression der Beckenorgane aktuell als eher gering erscheinen lässt. Am linken Os pubis besteht zudem eine Fraktur ohne relevante Knochendeviation, während am linken Acetabulum mehrere kleine Fragmente erkennbar sind. Diese sind am ehesten als Chip-Frakturen zu interpretieren; Avulsionsfrakturen oder frakturierte Osteophyten/Gelenkmäuse können jedoch differentialdiagnostisch nicht ausgeschlossen werden.

Zusätzlich zeigt sich ein S1-Übergangswirbel mit beidseitig ausgebildeten Artikulationsflächen der Ala ossis sacri, was als anatomische Variante zu werten ist und vermutlich ohne klinische Relevanz bleibt. Es besteht kein Hinweis auf freie Luft oder eine Blasenruptur. Abschließend geht der Rat zu einer Reposition der rechtsseitigen Ileum-Frakturversorgung sowie der Versorgung der linksseitigen SI-Luxation mit vorheriger Trächtigkeitsabklärung.