Multimodale Therapie und Rehabilitation bei felinem Polytrauma

Anita Timmig & Lea Jenhardt, Oer-Erkenschwick.

In diesem Artikel möchten wir einen Fall eines Patienten vorstellen, der sich nicht nur mit der tiermedizinischen chirurgischen Versorgung, sondern darüber hinaus auch mit den Rehabilitationsmaßnahmen beschäftigt. Mehr noch, geht es in diesem Artikel darum darzustellen, wie wichtig eine multimodale Versorgung für Katzen ist, um insbesondere bei komplexen Traumata ein möglichst optimales Outcome zu erzielen.

Anamnese

Ein junger Kater, 1,5 Jahre, m/k, Freigänger, wurde in das Kleintierzentrum Dr. Weber in Oer-Erkenschwick überwiesen. Der Vorbericht umfasste multiple Läsionen. Als Ursache wird ein Autounfall (HBC) innerhalb der 48h vor Auffinden vermutet. Der Kater war bei Bewusstsein, ruhig und orientiert. Er lag in Brust-Bauchlage und war nicht stehfähig. Es bestanden keine frischen Blutungen, nur eine bereits trockene, oberflächliche Abrasionsverletzung am Schädel über dem rechten Auge und am Becken. Herz & Lunge stellten sich auskultatorisch unauffällig dar, Atemtyp costoabdominal. Das Abdomen war weich, nicht dolent, die Harnblase palpatorisch darstellbar.

Neurologische Untersuchung

Anisochorie, im OD bestand eine unvollständige Miosis und reduzierter Pupillarreflex. Das OS war unauffällig. Es bestanden weder Blepharospasmus noch Epiphora, die Hornhäute waren beide Fluorescin negativ. Die Gesichtsnerven wiesen keine weiteren Auffälligkeiten auf. Die rechte Vordergliedmaße konnte nicht willkürlich bewegt werden. Flexorreflex negativ, keine Propriozeption, keine Tiefensensibilität. Lahmheit Grad 5 (komplette Entlastung) der linken Hintergliedmaße, hochgradige Palpationsdolenz mit sichtbarer Dislokation.

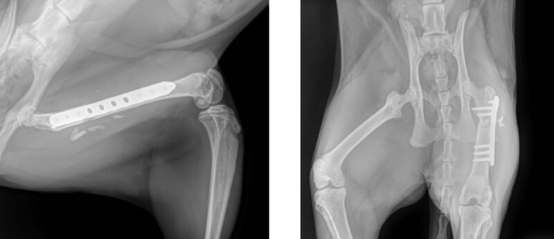
Röntgen

Es gab keine sichtbaren Schäden der Knöchernen Strukturen der Vordergliedmaße. Es bestand eine distale Fraktur des Femur, das Becken war intakt. Verdachtsdiagnosen: Stumpfes Trauma am Kopf, Leichte Gehirnerschütterung. Plexusabriss (Plexus brachialis Läsion, vermutlich axillar) vorne rechts. Geschlossene, stark verschobene Querfraktur / Trümmerfraktur des linken Femurs.

Chirurgische Versorgung der Fraktur

Im chirurgischen Konsil wurde der Entschluss gefasst, zuerst die Fraktur des Femur zu versorgen. Nach vollständiger Ausheilung dieser, wird die Gesamtsituation re-evaluiert. Besteht dann weiterhin eine vollständige oder teilweise Lähmung der rechten Vordergliedmaße, kann diese nach Bedarf in einer zweiten Operation amputiert oder das Karpalgelenk mittels Arthrodese versteift werden. Die Chirurgische Versorgung der Femurfraktur erfolgte inhouse durch Neuro- und Orthopädischen Chirurgen Marcel Sieger und sein Team. Über den kraniolateralen Zugang wurde die Trümmerfraktur mittels Überbrückungsplatte stabilisiert. Die Faszien Sub- und Intakutannaht erfolgte fortlaufend, die Hautnaht mittels Reverdin.

Weiteres Vorgehen

NSAID, Antibiotikum, Vitamin B. Wundkontrolle in 2-4 Tagen. Fäden ex. in 10-14 Tagen. 6 Wochen Boxenruhe, nicht springen, kein Freigang.

Physiotherapeutische Rehabilitationsmaßnahmen: Röntgenkontrolle nach 2, 6 & 12 Wochen. Die Fraktur war 8h post-OP bereits belastbar. 24h post-OP konnte die erste rehabilitationsmedizinische Einheit mit Physiotherapeutin Lea Jenhard stattfinden, im Anschluss wurde „Fussel“ nach Hause entlassen. Zustand nach 14 Tagen: Das Röntgenbild zur Kontrolle 14 Tage post-OP ergab einen zufriedenstellenden Heilungsverlauf. Die Fraktur der Hintergliedmaße wird aller Voraussicht nach komplikationslos abheilen. Die Fäden wurden gezogen, es bestand keine Wundschwellung.

Physiotherapeutische Rehabilitation

Aufgabenstellung: die drohende Quadizepskontraktur soll durch Physiotherapie vermieden und der Plexus vorne rechts aktiviert werden.
Ersteinschätzung
: „Fussel“ zeigte sich im Allgemeinzustand gut. Er war munter, das linke Hinterbein konnte er nach der Operation schon wieder gut belasten, Propriozeption und Tiefensensibilität waren vorhanden. Die Muskulatur war in gutem Zustand, wenn auch aufgrund derSchonhaltung bereits atrophiert. Das rechte Vorderbein konnte nach wie vor weder benutzt oder belastet werden. Den Ellenbogen konnte „Fussel“ schon wenige Tage nach der Operation wieder einsetzen, um das Bein vorzuführen, über das Karpalgelenk hatte er noch keine Kontrolle. Es wurde immer in Kusshandstellung gehalten, die aktive Dorsalextension war ihm nicht möglich. Der Rücken war indolent, die ROM der restlichen Gelenke war obB. Alterstypisch war Fussel sehr aktiv und hatte Lust sich zu bewegen.

Re-evaluierung nach einer Woche: Nach einer Woche mit täglichen physiotherapeutischen Übungen zu Hause, konnte man erste Fortschritte erkennen. Fussel belastete das operierte Bein zunehmend und konnte sich schon mehrere Sekunden stabil im Stand halten. Es wurde bereits in diesem Zustand schwierig, ihn ruhig zu halten. Mit der eingeschränkten Funktion der rechten Vordergliedmaße hatte Fussel sich gut arrangiert und war trotzdem in der Lage sich nahezu normal und altersentsprechend zu verhalten. Er versuchte, mit der Pfote Leckerlies zu fangen und setzte sie zum Spiel ein, die Bewegung der Gliedmaße erfolgte aus Schulter und Ellenbogen heraus. Dieser Umstand wurde für die physiotherapeutischen Übungen genutzt. Durch aktives Bewegungstraining konnten diese Bewegungen gefördert werden. Fussel wurde beispielsweise aktiv dazu aufgefordert, einem die ,,Pfote zu geben'', um damit selbstständig die Bewegung des Ellenbogens zu üben und die Pfote wieder zu aktivieren. Zusätzlich dazu wurde Reflexinduziertes Training in Form von Zehenkitzeln, -kneifen oder Ballenmassagen angewandt.

Zustand nach 14 Tagen: Fussels Zustand war in etwa gleichbleibend. Die Genesung schien zu stagnieren, welches bei dem Ausmaß seiner Verletzungen nicht als dramatisch einzustufen ist. Zu Hause wurde täglich mit ihm geübt, und Fussel ging es klinisch sehr gut. Zur Stabilisation des Karpalgelenks wird für Fussel eine Bandage angefertigt, um eine korrekte Stellung und Haltung zu ermöglichen. Sollte er mit einer Bandage zurechtkommen, könnte diese eine Alternative zur Amputation der Gliedmaße darstellen, auch wenn die Plexusläsion sich nicht regeneriert.

Zustand nach 4 Wochen: Fussel geht es klinisch nach wie vor sehr gut. Die operierte Hintergliedmaße wird stabil belastet. An der Dorsalfläche des Karpalgelenks hatte sich eine Dekubitusläsion gebildet, da er die Pfote bisher nur in Pronation absetzen konnte, sie aber intensiv belastet. Er akzeptiert die Bandage gut und beginnt, die Pfote physiologisch abzusetzen. Bisher ist noch keine Belastung möglich.

Angewandte Methoden & Maßnahmen

Vermeidung von Verspannung, Muskelpflege und Durchblutungsförderung:

  • Massage der linken Oberarmmuskulatur und der Oberschenkelmuskulatur
  • Wärmetherapie der Extremitätenmuskulatur und des Rückens

Verbesserung der ROM & der Körperwahrnehmung:

  • Passive Bewegungstherapien
  • Propriozeptives Training
  • aktives Bewegungstraining, Balancetraining

Aktivierung des Plexus brachialis

  • Reflexinduziertes Training
  • Lasertherapie

Fazit

Bei komplexen Traumata, wie sie bei Katzen mit ungesichertem Freigang verhältnismäßig häufig vorkommen, ist ein multimodaler Ansatz Voraussetzung für eine optimale Genesung. Zum Vorgehen gehört neben der chirurgischen Versorgung auch die Versorgung mit Schmerzmitteln und Supplementen, ebenso wie die physiotherapeutische Rehabilitation. Diese kann bereits wenige Stunden oder Tage nach dem chirurgischen Eingriff beginnen. Übungen und Anwendungen können im klinischen Setting, ebenso wie zu Hause durchgeführt werden. Unser Patient „Fussel“ hat noch viel Arbeit vor sich. Das kurzfristige Ziel, Komplikationen durch Muskelkontrakturen an der operierten hinteren Gliedmaße zu verhindern, ist erreicht. Das langfristige Ziel, die Vordergliedmaße zu erhalten und eine möglichst umfangreiche Funktion wiederherzustellen, erfordert noch Aufwand und Geduld, ist aber zum aktuellen Zeitpunkt durchaus möglich.