Abnorme Wurzelzahl bei Hund und Katze: Wann besteht Handlungsbedarf?

Eine abnorme Anzahl von Wurzeln kann sowohl bei den Zähnen von Katzen als auch von Hunden auftreten. Von einer überzähligen Wurzel spricht man, wenn ein Zahn mehr als die für ihn übliche Wurzelzahl aufweist. Bei Hunden und Katzen handelt es sich hierbei um ein bis zwei Wurzeln – abhängig von der Art des Zahns. Einwurzelige Zähne sind bei der Katze wie auch beim Hund die Incisivi und Canini. Darüber hinaus gibt es Unterschiede zwischen den beiden Tierarten.

Bei der Katze treten überzählige Wurzeln am häufigsten an den P3 im Oberkiefer auf, gefolgt von P2 ebenfalls im Oberkiefer. Beim Hund sind es P3 im Oberkiefer und P4 im Unterkiefer. Meistens ist das Auftreten einer abnormen Wurzelzahl unproblematisch und es besteht kein Therapiebedarf. Im Röntgenbild sollte man besonders im Bereich der Wurzel auf Aufhellungen achten. Diese können auf einen parodontalen Knochenabbau hinweisen, welches ein Anzeichen einer endodontischen Erkrankung ist. Vor einer möglichen Zahnextraktion geben Röntgenaufnahmen einen Überblick über Anzahl, Form und Lage der Zahnwurzeln.

Weitere Fallbeispiele aus dem Bereich Dentalröntgen, die auch für die Kommunikation mit den Patientenbesitzer:innen eingesetzt werden können, bietet der aktuelle Metacam® Fortbildungskalender."

"Mein Lila Kalender" powered by Boehringer Ingelheim Vetmedica

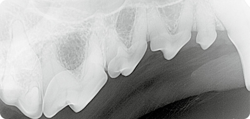
Röntgenbeispiel Katze: Die Aufnahme einer Katze (Abb. 1) zeigt eine überzählige Wurzel des zweiten Prämolaren (⭐️) im Oberkiefer rechts. Darüber hinaus wird auch ein zusätzlich angelegter Zahn im Bereich des zweiten Prämolaren
sichtbar (➡️).

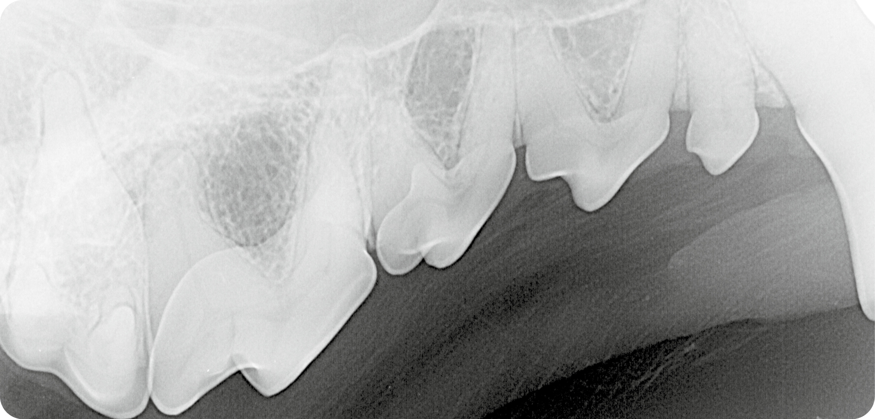
Röntgenbeispiel Hund: Dieser Röntgenbefund (Abb. 2) ergibt eine überzählige Wurzel (➡️) zwischen mesialer (m) und distaler (d) Wurzel des dritten Prämolaren (⭐️) im linken Oberkiefer. Dahingegen ist das Röntgenbild des Oberkiefers rechts unauffällig.

Begriffsdefinitionen: Spezielle Lagebeschreibungen in der Zahnmedizin

  • Mesial: zur Mitte (Mittellinie) des Zahnbogens hin
  • Distal: von der Mitte (Mittellinie) des Zahnbogens weg

Weitere Fallbeispiele aus dem Bereich Dentalröntgen, die auch für die Kommunikation mit den Patientenbesitzer:innen eingesetzt werden können, bietet der aktuelle Metacam® Fortbildungskalender. Er liefert praktizierenden Tierärzt:innen außerdem viele Tipps, wie sie z.B. mit einem stationären Gerät röntgen können oder für welche Situationen sich ein Dentalröntgengerät empfiehlt. Das Bildmaterial ist auch in der digitalen Version unter www.meinlilakalender.de erhältlich. Online kann zusätzlich eine ATF-Prüfung abgelegt werden, die mit 2 ATF-Stunden akkreditiert ist.

www.meinlilakalender.de